

比赛规则
1、评比规则:在公众号“心力衰竭网”本期病例发布后一周内,点击下方“留言”进行评论。我们将从每期发布病例的留言里选取3条针对具体的病例内容进行专业点评且点赞数多的评论予以奖励。(本期精彩评论统计截止时间:4月24日早上9:00)
2、本期奖品:前三名每人获奖50元红包。
以下是来自上海交通大学医学院附属瑞金医院的席锐分享的精彩病例《心衰超滤病例分享》。欢迎关注微信公众号“心力衰竭网”,在该篇病例留下的精彩点评!小编会用心品读您的点评。
点评后,请持续关注我们之后的评选结果。预祝您的点评榜上有名!
病历资料
患者:董女士
性别:女
年龄:68岁
职业:驾驶员
➤ 主诉:胸闷伴下肢水肿1月
➤ 现病史:患者2015年12月因活动后气喘就诊,明确诊断为扩张型心肌病,心功能不全,予规范药物治疗。近1月来胸闷、水肿再发,伴咳嗽、端坐呼吸,至我院急诊,予速尿、螺内酯联合托伐普坦利尿,效果不佳,加用予新活素2支,尿量增加至2000ml,但胸闷水肿改善不明显。目前患者不能平卧,仍有阵发性呼吸困难,夜间较白天气喘加重。现为行超滤收入我科进一步诊治。
➤ 患者发病以来神清,精神萎,胃纳差,夜眠差,二便正常,体重较前增加。
➤ 既往史:高血压,口服缬沙坦,控制可,后因心衰控制不佳,于2017年底改为诺欣妥;糖尿病史,口服拜糖平及亚莫利,控制可。
➤ 个人史:否认烟酒不良嗜好。
➤ 家族史:否认家族遗传疾病史。
➤ 体检: T:36.9℃ R:20次/分 BP:149/94mmHg P:64次/分
神志清楚,慢性病容,高坡卧位,颈静脉怒张,双肺可闻及散在湿罗音,心前区无震颤,心尖搏动位于第五肋间左侧锁骨中线外侧1cm,无抬举样心尖搏动,HR 64次/分,律齐,各瓣膜听诊区未及明显杂音。腹软,肝脾肋下未及,移浊(-),双下肢(双踝至腹股沟部)可及明显凹陷性水肿。
辅助检查
【氨基末端B型利钠肽前体】 10434.0↑pg/mL
【空腹血糖】11.46↑mmol/L
【电解质】钠 136mmol/L 钾3.44↓mmol/L 氯 105mm
【血常规、心肌蛋白、DIC、hsCRP、肝功能、肾功能、血脂】均正常
心电图

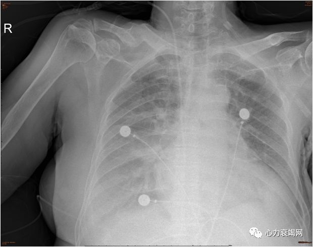
胸 片

两肺渗出,两侧胸腔积液,心影增大,两肺门增大
心超

一、M型主要测值(单位mm):
名称 测量值 正常参考值
主动脉根部内径 31 20-37
左房内径 52 9-40
左室舒张末期内径 67 35-56
左室收缩末期内径 57 20-37
室间隔厚度 8 6-11
左室后壁厚度 7 6-11
二、二维超声心动图描述:
1. 全心增大,以左心增大为主。
2.左室壁不增厚,静息状态下左室壁收缩活动普遍减弱,LVEF低下。在心尖切面观中用双平面改良Simpson法测得LVEF约26%。
3.各心瓣膜未见明显增厚,开放不受限。
4.三尖瓣瓣环收缩期位移约17mm。
诊断意见:全心增大,心功能不全;中度二尖瓣关闭不全;中度肺动脉高压伴中重度三尖瓣关闭不全
初步诊断
扩张型心肌病
心功能不全(NYHA分级Ⅳ级)
高血压病2级(极高危)
2型糖尿病低蛋白血症
目前用药
47.5mg倍他乐克(琥珀酸美托洛尔缓释片),47.5mg/片,每天1次,每次0.25片,口服
沙库巴曲缬沙坦钠片(诺欣妥),50mg/片,每天2次,每次0.5片,口服
螺内酯片,20mg /片,每天2次,每次1片,口服
呋塞米片,20mg/片,每天2次,每次1片,口服
托伐普坦片,15mg/片,1粒,每天2次,每次1片,口服
地高辛,0.25mg/片,每天1次,每次半片,口服
盐酸曲美他嗪缓释片(薄膜衣片),35mg/片,每天2次,每次1片,口服
亚莫利(格列美脲片),2mg/片,每天1次,每次1片,口服,餐前30分钟
拜唐苹(阿卡波糖片),100mg/片,每天3次,每次1片,随第一口饭嚼服
诊疗经过
1、患者入院24小时内因阵发性呼吸困难,接受静脉呋塞米20mg、托拉塞米10mg*2次、螺内酯20mg利尿
2、向患者及家属讲明病情,签署知情同意书
3、超滤前完善血常规、DIC、电解质、肾功能检查
4、测量超滤前患者腹围、体重、血压、心率、体温、呼吸频率
5、停用利尿剂
1、用8F双腔管经颈内静脉穿刺建立体外循环。
2、体外循环管路和滤器用500ml生理盐水+5000单位普通肝素进行预冲,排除气体和浸泡滤器,预冲时间≥30min
3、低分子肝素(依诺肝素 首剂7000单位,连续超滤6小时后补4000单位 )
4、给予白蛋白,营养支持,提高胶体渗透压,减少低血容量风险

初始血泵流量25ml/min
初始超滤速度200ml/h,逐渐加快到350ml/h;第二天患者水肿明显改善,超滤速度控制在250ml/h以内
治疗期间监测血压、心率、体温、呼吸困难及压力参数变化情况
记录液体出入量,超滤量

超滤过程中,患者呼吸困难开始缓解,水肿明显改善
期间血压稳定在130/70mmHg左右,心率在60-70次/分
患者间断超滤2天

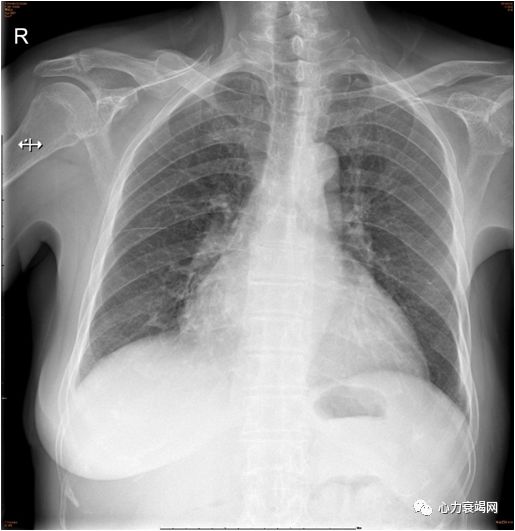
胸片

两肺纹理增多稍模糊,右侧胸膜反应,心影增大
患者超滤结束后,夜间能平卧,静息时不吸氧情况下无呼吸困难,心功能稳定,食欲明显改善,下肢水肿明显消退。
超滤后每日应用呋塞米20mgiv+螺内酯20mgBid po,尿量维持在2000ml左右。
超滤后检测血红蛋白和肾功能较前无明显变化,血钾较前轻微下降。
超滤后NT-proBNP水平从10434ng/L降至2519ng/L。超滤后复查胸片,两肺渗出,两侧胸腔积液明显改善。
后续治疗及转归
➤ 患者每日尿量维持在1500-2000ml,病情平稳,带药出院
➤ 出院带药:
47.5mg倍他乐克(琥珀酸美托洛尔缓释片),47.5mg/片,每天1次,每次0.25片,口服
沙库巴曲缬沙坦钠片(诺欣妥),50mg/片,每天2次,每次0.5片,口服
呋塞米片,20mg/片,每天2次,每次1片,口服(根据尿量调整)
螺内酯片,20mg,每天2次,每次1片,口服 (根据尿量调整)
亚莫利(格列美脲片),2mg/片,每天1次,每次1片,口服,餐前30分钟
拜唐苹(阿卡波糖片),100mg/片,每天3次,每次1片,随第一口饭嚼服
盐酸曲美他嗪缓释片(薄膜衣片),35mg/片,每天2次,每次1片,口服
治疗体会
——心衰超滤技术可减轻液体潴留,改善心衰症状

超滤直接从血浆中清除体液,作为代偿机制,组织间隙的液体同步向血管内回流移动,这个回流称为血浆再充盈(plasma refill ,PR),回流速度称为血浆再充盈率(plasmarefill rate,PRR)
连续缓慢的超滤方案,使超滤速度≤PRR,可以保持治疗期间有效循环血容量稳定
——超滤技术减轻组织间隙水肿优于利尿剂
➤ 在患者接受超滤治疗前,已经应用积极的药物治疗方案,包括小剂量多巴胺、米力农、托伐普坦及新活素等药物治疗,虽然尿量较前有所增加,但是胸闷气短及水肿症状改善不明显,组织间隙水肿没有减轻。在停用利尿剂进行超滤治疗后,虽然每日滤过的超滤量增加不明显,仅为3000ml,但是患者组织间隙水肿改善明显,水肿快速消退。
➤ 我们推测这种现象可能与组织间隙的液体同步向血管内回流移动,即血浆再充盈机制有关,这也是超滤治疗与利尿剂治疗比较的优势之一。尚需临床实践工作中进一步观察探索。
——超滤增加患者对利尿剂的敏感性
患者停止超滤后,每日仅应用较小剂量的利尿剂(呋塞米20mgiv+螺内酯20mgBid po),每日尿量维持在2000ml左右,对利尿剂敏感性恢复。
——间断超滤患者耐受性较好
本例患者接受12小时的间断超滤治疗,血压、心率等生命体征稳定,血常规、肾功能及电解质无明显升高,症状改善,超滤后对利尿剂敏感性恢复。
急待解决的问题
➤ 根据本例患者及前期数例超滤患者治疗情况,可见超滤治疗对于利尿剂抵抗的患者可以改善症状、减轻组织水肿
➤ 目前尚有几个问题需要明确:
1 超滤时机
2 连续超滤、间断超滤效果及安全性比较
3 定期超滤
4 长期预后
➤ 相信目前正在进行的全国多中心超滤临床试验可以回答上述这些问题,进一步指导临床实践。
作者简介
席锐
上海交通大学医学院附属瑞金医院
上海交通大学医学院附属瑞金医院心脏内科,医学博士,主治医师。擅长心肌病心力衰竭的诊疗,是瑞金医院心内科心力衰竭亚专业的主要成员之一。参与多项国家自然科学基金面上项目、上海市科委重大基础研究项目,在国内外发表论文十余篇。目前担任中华医学会心血管病学会心血管病学分会第十届委员会心脏康复学组委员,上海市中西医结合学会心血管病专业委员会高血压学组组员,中国心脏联盟心血管疾病预防与康复专业委员会上海联盟委员等。
专家点评
首先,这是一个非常好的病例,是临床上非常典型的病例,是属于临床医生比较关注的且非常具有教育的病例。
第二,这个病例是临床上最常见的一种突发性的扩张型心肌病,心功能不全的病人,这类病人基本的治疗还是立足于药物治疗基础上。我们看有没有其他问题可能需要处理的,比如有没有再同化的问题,有没有心衰猝死预防的问题,剩下就是最基本的心功能保持和维护的治疗。这个病例是最典型的,本次入院是因为心功能急性恶化,或是慢性心力衰竭的基础上出现的急性心功能不全。相对比较晚期的扩张性心肌病合并心力衰竭的病人在治疗或管理上最重要的话题是水钠滞留的管理。因为水钠潴留会形成一些恶性循环;比如说,当病人体内堆积了一定的水钠,这会产生一些恶性循环,包括对肾脏的影响,对排尿能力的影响,对心功能也会产生一个反馈性的恶化的影响。这类病人一旦进入某个恶性循环的阶段,你想通过利尿和扩张血管药物来改善病人的临床症状,有时候是不可能的。那就需要用机械和人工的方法把水钠排除。这是一个非常重要的措施。
这个病例的心衰超滤治疗,个人觉得是,对这样的病人来讲是非常非常重要的治疗。我们临床上很多的病人都是一直拖延,拖到最后实在没办法了,才去做CRRT。我觉得虽然可以,但是很肯定一点是心衰超滤对于这类病人它的意义会更加大。因为对这样的病人我们可以提前介入。当我们临床判断病人心功能状态相对比较差,水钠潴留是很重要的因素之一的情况下,我们及时的或超前的帮病人除去一部分的水和钠。我相信病人的心功能会较快的恢复,且回到一个良性的循环。
就这个病来讲他的超滤治理我觉得是非常必要的,而且从某种意义上,或从我个人理解上认为,适当的提前可能会更加好一些。
对这个病人来讲,我认为还有两点需要评论,第一、这类病人超滤治疗后,心功能明显改善以后,药物治疗的调整也是非常重要的,尤其是对心功能保持和维护。第二点,对这类病人我们要花一定的时间和精力和病人及家属详细的交流和沟通。有必要了解一下病人每次在慢性心功能不全的基础上急性发作时,有没有一些可以被克服、或者可以被发现、或者可以被早期处理的原因,比如肺部感染,过多的钠盐摄入,疲劳,紧张,焦虑等因素;或者是药物的原因,如不规则服用或过平凡的调整用药,这些因素有没有?我们要对这些因素做非常好的排查,以预防这类病人反复出现水钠潴留。
某种程度上讲这类病人的体重管理也很重要。应该鼓励这类病人坚持每天称体重,一旦发现体重发生比较大的变化,应及时就诊,及时调整利尿药物,并且争取不要进入恶性循环。如此我相信这类病人的愈后会更加好一些。
专家简介
傅国胜教授
浙江大学医学院附属邵逸夫医院
留德医学博士,主任医师,心血管病学教授,博士研究生导师。现任浙江大学医学院附属邵逸夫医院心内科主任,浙江大学心血管研究所副所长,中华医学会心血管病学会中青年委员会常务副主任委员,中华医学会内科学青年委员,中华医学会浙江省心血管病学会候任主任委员,浙江省医学会心电生理与起搏分会常务委员,美国心脏病学院专家委会委员,美国心血管造影与介入学会专家委员会委员,《心电学杂志》副主编,《心脏杂志》常务编委、《心脑血管防治杂志》、《世界核心医学期刊文摘心脏病分册》、《国外医学心血管分册》等专业期刊编委。
从事心血管内科学的基础研究和临床工作二十余年,擅长冠心病的介入诊治、心脏起搏器植入、心律失常射频治疗及其他心血管病介入诊疗技术,尤其在冠心病介入诊治领域有较高的造诣,是亚太地区经桡动脉治疗复杂心血管疾病的领导者之一,是我省经桡动脉途径冠状动脉介入治疗的主要推动者,先后多次应邀到香港、韩国、日本、塞尔维亚、土耳其等国(地区)做手术演示。临床思维清晰,对各种复杂疑难心血管疾病的诊断与治疗、特别是在临床决策的选择上具有独到的见解和丰富的临床经验。