
病例简介
患者:马X,男性,27岁
2月前出现活动后胸闷,气短,无胸痛,无感染史
当地医院心脏超声示LVD75mm,LVEF35%
HOLTER:平均心率108次/分,室早12824个
诊断 为“扩张型心肌病”
予以地高辛0.125mg qd、美托洛尔缓释片 43.75mgqd、曲美他嗪片 20mg tid、厄贝沙坦片 75mg qd
否认高血压、糖尿病、高脂血症,肥胖4年(BMI=29.4)
饮酒:100g/日X8年
吸烟:4-5支/日X3年
父亲糖尿病,母亲体健
体格检查
身高:170cm,体重:85kg,BMI:29.4
BP126/74mmHg,HR:77次/min
颈静脉充盈
心界向左下扩大,心律不齐,有早搏,心音低钝,心前区未闻及明显杂音
双肺未及干湿性啰音
双下肢不肿
血液检查
NT-PROBNP:888pg/ml
血气大致正常
血生化:ALT:62u/L,余大致正常
血常规:大致正常
尿常规:正常
心电图

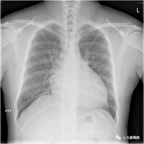
胸部X-ray

两肺淤血
全心增大
心胸比0.55
心脏超声(6-28)

LVD73mm LA:38mm
RV23mm LVEF29%
室间隔和左室游离壁厚度正常
室壁运动弥漫减弱
心尖部肌小梁增多增粗
二尖瓣少量反流
心肌受累疾患
心脏核磁

左室明显扩大
左室各壁厚度大致正常
左室心尖部非致密化心肌/致密化心肌>2.3
各节段收缩运动均明显减弱
心肌首过灌注及延迟增强未见明确异常信号
右房室大致正常,右室流出道饱满,肌小梁明显增多
主肺动脉无扩张
二、三尖瓣及主动脉瓣活动大致正常
心包无增厚,未见明显胸腔积液左室EF值 25%,CO4.1L/min
扩张型心肌病可能性大
冠状动脉CT

冠状动脉平扫未见钙化,无明确狭窄,左室大
睡眠呼吸监测

阻塞性睡眠呼吸暂停综合症(重度)
间歇低氧血症(重度)
HOLTER(6月30日)

窦性心律,室早46628次,占总心搏数49.8%,成对室早120次,短阵室速,室早4种形态
入院诊断
心力衰竭
心脏扩大
心律失常
频发室早
入院后用药

病情分析
➤ 心力衰竭原因?
先天发育异常➜心肌致密化不全?
长期饮酒➜酒精性心肌病?
频发室早➜室早性心肌病?
其他?
扩心病?
➤ 合并症
睡眠呼吸暂停
心肌致密化不全

酒精性心肌病
➤ 诊断标准(WHO标准)
• 有长期过量饮酒史或反复大量酗酒史
女性>40g/d
男性>80g/d
持续5年以上
• 出现心脏扩大和心力衰竭的临床表现
• 既往无其他心脏病病史
• 早期患者戒酒后,临床表现可逆转
2007 中国心肌病诊断与治疗建议中华心血管病杂志,2007,35(1):5-16.
室早性心肌病
➤ 定义
由持续、频发室早引起患者心脏扩大及心功能下降,室早根除后心功能改善,心脏扩大逆转,排除其他原因与其它类型的心肌病
主流观点认为室早负荷占总心搏数的15%~25%以上与左室收缩功能受损有关,但也有观点认为室早负荷>10%即可导致左室收缩功能不全
室性心律失常中国专家共识[J]. 中国心脏起搏与心电生理杂志,2016,04:1-38.
室早也有可能是心肌病引起

具体到每个患者,往往很难判定室早与心肌病孰为因果
室早性心肌病
➤ 评估-确定是否合并结构性心脏病
• 心电图/心脏超声/心脏核磁
• 扩张型心肌病、肥厚型心肌病、心脏结节病、淀粉样变和致心律失常性右室心肌病(ARVC)等
➤ 治疗
• β受体阻滞剂、胺碘酮、钙拮抗剂
• 经保守治疗症状仍然明显或高负荷室早伴左室收缩功能下降的高选择患者,建议导管消融
• 左心功能受损的患者,即使存在明显的心肌瘢痕,消除高负荷室早(>10%)后左室功能也会明显改善
室性心律失常中国专家共识[J]. 中国心脏起搏与心电生理杂志,2016,04:1-38.
HOLTER(7月11日)

窦性心律,室早19856次,占总心搏数28.4%,成对室早2次,室早2种形态
心内电生理检查及射频消融

在右冠窦标测到最早心室激动,该处放电室早即刻消失
血压监测

心衰合并高血压
高血压是心衰的主要危险因素,大约2/3的心衰患者有高血压病史
慢性心衰合并高血压,有效降压可减少心衰的发生率达50%
首先推荐ACEI(或ARB),β受体阻滞剂和醛固酮受体拮抗剂中的至少1种或多种联合(I类,A级)
中国心力衰竭诊断和治疗指南2014
治疗方案调整
美托洛尔缓释片 71.25➜95mg qd
厄贝沙坦 75mg qd➜150mg qd➜225mg qd


治疗要点
戒酒、戒烟
严格控制血压(减重、OASAS、药物)
治疗室早
规范用药(心衰金三角)
制定自我管理方案
严密随访
用药方案

心衰的随访管理
对患者及其护理人员进行继续教育,加强患者与心衰团队之间的沟通
早期发现并发症,早期干预以减少再住院率
便于根据患者临床情况变化及时调整药物治疗,提高患者的生活质量
每3~6个月1次
中国心力衰竭诊断和治疗指南2014
患者教育
运动量、饮食及液体摄入量、出院用药、随访安排、体质量监测、出现心衰恶化的应对措施、心衰风险评估及预后、生活质量评估、家庭成员进行心肺复苏训练、寻求社会支持、心衰的护理等
随访计划
• 出院后1月、3月、6月、12月随访
• 每次随访评估
症状、体征
心脏超声、NTPROBNP、血生化、血常规
• 调整药物治疗
• 患者教育
随访

复诊心电图(出院后1月)

复诊心电图(出院后6月)

年轻心衰患者


总结
年轻心衰患者病因更多考虑先天性疾病
积极为心肌病患者寻找并干预可逆因素
最大程度使用循证医学证据充分的药物
综合治疗、重视随访及患者教育
心肌病患者“痊愈”不是神话
翟玫
中国医学科学院阜外医院
博士,中国医学科学院阜外医院副主任医师,现任阜外医院心衰中心心力衰竭重症监护室医疗组长,现任中华心力衰竭和心肌病杂志审稿专家。医疗工作情况:擅长各种疑难重症心衰、各种类型心肌病、心肌炎、瓣膜病、先天性心脏病等多种复杂心脏疾病的诊断和治疗。作为主要课题执行者参与国家级重大重点项目、国家科技十二五支撑项目、十三五国家重点研发计划项目等国家级课题多项,参与多项国际临床试验。作为主要成员参与国家心力衰竭医联体及国家心血管病专业质控中心心力衰竭质控的工作。以第一作者及通讯作者发表SCI及核心期刊论文多篇。参与《心力衰竭合理用药指南》、《静脉β受体阻滞剂临床规范化应用专家共识》、《基层医疗卫生机构常见疾病诊疗指南》等撰写工作。