
现病史
➤ 患者男性,35岁,因活动后气短8年,加重半月于2018年3月30日入院
➤ 患者8年前开始出现活动时气短,伴心悸,休息后气短可逐渐缓解。此后症状进行性加重,活动耐量逐渐下降
➤ 2009年就诊我院:
胸片:双侧肺门动脉扩张,外围肺纹理相对纤细,主动脉结不宽,肺动脉段凸出,右房室增大,心胸比0.52
超声心动图:LA 28mm,LV 31mm,LVEF 54%,RV 25mm,三尖瓣舒张期少中量反流,右心扩大,肺动脉高压(估测sPAP 90mmHg)
右心导管示中度肺动脉高压(78/41/53mmHg)
完善相关病因筛查后考虑诊断为“IPAH,慢性肺源性心脏病”,给予强心、利尿、抗凝、靶向药物治疗
➤ 患者长期坚持药物治疗,但症状仍逐年加重,多次于劳累或饮水较多出现急性喘憋、端坐呼吸,反复多次入院治疗,调整药物:
西地那非20mg qd、安立生坦5mg qd
伊洛前列素1ml qid、曲前列尼尔10U/h持续泵入
华法林2mg qd16、地高辛0.125mg qd
螺内酯20mg qd、呋塞米20mg qod/托拉塞米10mg qod
氯化钾缓释片1.0g bid
➤ 半月前患者劳累后出现气短症状加重,夜间阵发性咳嗽、无痰,间断憋醒,急诊以“IPAH、慢性肺源性心脏病” 2018年3月30日收入急诊19病区。
体格检查
➤ T36.2℃,Bp83/62mmHg,P88次/分,HR25次/分
➤ 神志清楚,四肢微凉,口唇轻度发绀,颈静脉充盈,颈部无血管杂音
➤ 双肺呼吸音稍粗,双下肺可闻湿啰音
➤ 心率88次/分,心律齐,心音正常,P2亢进,三尖瓣区可闻及收缩期杂音
➤ 腹软,肝脾未触及,双下肢轻度水肿
入院诊断
➤ 特发性肺动脉高压
➤ 肺源性心脏病
心脏扩大
心功能III级(NYHA分级)
心电图

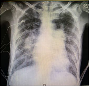
胸部X线

➤ 两肺纹理杂乱
➤ 双肺门动脉扩张,外周肺纹理相对纤细
➤ 双侧肋膈角区未包全
➤ 主动脉结不宽;肺动脉段明显凸出
➤ 右心圆隆
超声心动图

实验室检查
➤ 血常规:WBC6.60×109/L,Hb129g/L,PLT137×109/L
➤ 肝肾功能:Alb30.6g/L,ALT22U/L,AST23U/L,Cr115μmol/L,K 4.90mmol/L
➤ NT-pro BNP:5416pg/ml
➤ cTnI、CK-MB、Myo、D-Dimer(-)
➤ ESR 3mm/h,CRP 2mg/L
➤ 凝血功能:PT 40.8s,INR 4.14,APTT 67.3s
➤ 血气分析:pH7.493,pCO222.5mmHg,pO244.3mmHg,HCO316.9mmol/l,BE-6.4,Lac1.67mmol/l,sO282%
治疗
➤ 面罩吸氧10L/min
➤ 速尿片20mgqod/托拉塞米10mgqod
➤ 螺内酯20mgqd
➤ 地高辛0.125mgqd
➤ 阿魏酸钠0.1gtid
➤ 多巴胺100ug/min → 200ug/min
➤ 安立生坦10mgqd、西地那非 20mgtid、伊洛前列素1mlq3h、曲前列尼尔10u/h→11u/h泵入
➤ 经上述治疗后患者症状无明显改善,持续乏力、气短,半卧位、纳差,氧饱和度84-85%左右,呼吸频率 25-28次/分。
左西孟旦-第1次
➤ 时间:2018-4-2 14:40
➤ 剂量:左西孟旦 12.5mg
➤ 使用方法:左西孟旦 12.5mg+5%GS45ml泵入
➤ 速度:0.5ml/h(0.043μg/kg·min)
→1.0ml/h(0.086μg/kg·min)
→1.3ml/h(0.113μg/kg·min)



➤ 经第一次左西孟旦治疗后患者症状有所改善,乏力、气短、纳差症状略有减轻,半卧位,四肢稍温暖
➤ 血压 75/49~82/52,HR 84~88次/分
➤ 呼吸频率 22-25次/分
➤ 氧饱和度89-92%左右
➤ 尿量1300~1800ml左右
左西孟旦-第2次
➤ 时间:2018-4-7 10:00
➤ 剂量:左西孟旦12.5mg
➤ 使用方法:左西孟旦 12.5mg+5%GS45ml泵入
➤ 速度:以0.5ml/h(0.043μg/kg·min)开始,逐渐上调泵速至2.5ml/h(0.217μg/kg·min),共泵入10.5mg




➤ 经第二次左西孟旦治疗后患者症状明显改善,乏力、气短、纳差症状减轻,半卧位,四肢稍温暖
➤ 血压 78/49~102/70,HR 70~88次/分
➤ 呼吸频率 18-23次/分
➤ 鼻导管吸氧 5-8L,氧饱和度92-96%左右
➤ 尿量1300~1500ml左右
➤ 逐渐减停血管活性药物
➤ 4月16日出院,出院后接受肺移植治疗
出院诊断
➤ 特发性肺动脉高压
➤ 肺源性心脏病
心脏扩大
心功能III级(NYHA分级)
左西孟旦(悦文)
——具有Ca2+增敏作用的新型心衰治疗药物

主要机理:左西孟旦与TnC结合,增加TnC与Ca2+复合物的构象稳定性;促进横桥与细肌丝的结合,增强心肌收缩力
左西孟旦Ca2+增敏作用为Ca2+浓度依赖性
➤ 当收缩期细胞内Ca2+浓度升高时, 此药与cTnC结合,而当舒张期Ca2+浓度下降时,药物从cTnC上解离下来,即所谓“选择性收缩期Ca2+增敏作用”,因此其在增加心肌收缩力的同时不影响舒张功能
➤ 增加心肌收缩力的同时不影响细胞内Ca2+浓度,因此,左西孟旦不引起因细胞内Ca2+超载导致的心律失常
➤ 不需要增加细胞内Ca2+转运能,因而不引起心肌耗氧量增加和交感神经激活
左西孟旦作用机制

讨论1-左西孟旦在肺动脉高压合并右心衰患者中的使用

➤ 对于肺动脉高压合并右心衰竭的患者
左西孟旦可依赖ATP敏感K+通道(小阻力血管)、钙激活性钾通道和电压依赖性钾通道(大的输送血管中)对肺血管床产生血管舒张效应1,降低肺血管阻力
较高剂量的左西孟旦可抑制血管平滑肌内的磷酸二酯酶(PDE) III,导致细胞内cAMP浓度升高,产生血管舒张作用
而对于右心衰竭的患者,左西孟旦还可提高右心室收缩能力2-3,其改善程度甚至强于左心室,从而改善患者右心功能和临床症状4
1.De Witt BJ, Ibrahim IN, Bayer E, et al. An analysis of responses to levosimendan in the pulmonary vascular bed of thecat. AnesthAnalg2002; 94:1427–33.
2.Leather H A, Ver E K, SegersP, et al. Effects of levosimendan on right ventricular function and ventriculovascular coupling in open chest pigs. [J].Critical Care Medicine, 2003, 31(9):2339-2343.
3.Ukkonen H, SarasteM, Akkila J, et al. Myocardial efficiencyduring levosimendan infusion in congestive heartfailure. [J]. Clinical Pharmacology & Therapeutics, 2000, 68(5):522.
4.Poelzl G, Zwick RH, Grander W, et al. Safety and effectiveness of levosimendan in patients with predominant right heart failure[J]. Herz, 2008, 33(5):368-373.
讨论2-低血压
肺动脉高压合并右心衰竭的患者,室间隔明显左移,导致左心室变小,左心室舒张末期容量明显减少,心排血量减低,常表现为体循环低血压;同时,右室收缩力下降,三尖瓣反流加重、左室充盈受损也可导致心输出量降低,因此,在应用左西孟旦需格外注意低血压的不良反应
患者住院期间两次使用左西孟旦,耐受良好,血压并未明显下降,未出现血压下降、心律失常等副作用,且患者气短症状、指氧、NT-pro BNP水平均较前明显改善
左西孟旦快速推注可诱发某些与PDE-抑制剂相似的效应。但本患者未采取负荷剂量,而是从较低的维持剂量水平(0.043μg/kg·min)开始,并在严密监测血压水平同时,缓慢增加左西孟旦输注速率。采用这一给药方法时,左西孟旦血浆浓度不易达到可产生PDF-抑制效应的水平,因此左西孟旦所诱发不良反应的发生率会降至最低,这也与既往研究结果相符1-2
与多巴胺、去甲肾等药物联合治疗
1. PoelzlG, Zwick R H, Grander W, et al. Safety andeffectiveness of levosimendan in patients with predominant rightheart failure[J]. Herz, 2008, 33(5):368-373.
2. Jiang R, Zhao Q H, Wu W H, et al.Efficacy and safety of a calcium sensitizer, levosimendan, in patients with right heart failure due to pulmonaryhypertension[J]. Clinical Respiratory Journal, 2017.
讨论3-肾脏保护
➤ 在心衰及其他心脏功能受损如手术、脓毒血症等情况中,肾功能不全是常见的并发症,在心力衰竭患者中,常继发于肾脏血流减少和/或中心静脉压上升,导致肾小球滤过率下降
➤ 本例患者在治疗过程中曾有一过性血肌酐上升
➤ Ccr的变化:
73.53ml/min*173m2
➞67.09ml/min*173m2
➞84.92ml/min*173m2
➤ 2013年左西孟旦肾保护欧洲专家共识中提出的可能机制:
开放血管平滑肌上KATP通道的作用
改善血流动力作用,对肺、肾、肝脏、胃肠黏膜、大脑和内皮均有保护作用
具有肾小球血管舒张作用
通过KATP通道机制舒张血管增加肾灌注
总 结
➤ 终末期心衰患者病情危重,变化迅速,常合并多器官功能损伤,需要早期识别和管理,纠正危及生命的临床情况和/或诱因,挽救患者的生命
➤ 迅速准确的判断患者的状态有助于准确的制定治疗方案
➤ 应在指南的指导下规范化应用正性肌力药物,注意用药的个体化
作者简介
冯广迅
中国医学科学院阜外医院
中国医学科学院阜外医院心内科副主任医师,在阜外心血管病医院心内科长期从事心血管病的临床及科研工作,现任急诊副主任医师。
多年工作在心血管疾病的诊疗第一线,在冠心病、心力衰竭、高血压、心律失常的诊治及心血管急重症抢救等方面积累了丰富的临床经验。参加多项国际、国内外合作及国内多中心临床研究,积累了较丰富的科研经验。
专家点评
✦ 治疗的亮点:
左西孟旦(Levosimendan)是一种钙增敏剂,与儿茶酚胺不同,左西孟旦增加心肌收缩力和扩张血管的同时,对增加心肌氧耗的作用较弱,且不影响心脏舒张功能,并且扩张肺血管可以一定程度上降低肺动脉压力,降低右心后负荷。2016年ESC指南推荐在急性心力衰竭合并低血压的患者中应用正性肌力药物,应用左西孟旦因其舒张血管作用,需与其他血管活性药物连用以避免低血压。对于该患者来说,肺源性心脏病,肺动脉高压,右心功能衰竭,血压降低,应用扩血管,利尿,西地兰,多巴胺等治疗病情仍进展。
左西孟旦可以降低肺动脉楔压,降低右心后负荷,从而改善右心功能衰竭,同时扩张冠脉,增加心肌血供,虽然可能因扩张血管作用加重低血压,但左西孟旦不影响心脏的舒张功能,一定程度上避免了其他正性肌力药物所致的左心舒张功能下降,静脉回流不足,舒张末期心室充盈不足的问题。左心舒张末期有充足的回心血量可以增加心输出量,同时联用多巴胺更进一步避免了扩张血管造成血压进一步降低不良事件的发生。在密切的监护下,该患者给予左西孟旦治疗的适应症选择和用药时机是非常成功的,治疗效果也非常显著。
✦ 需要商榷的地方:
1.患者入院时收缩压小于90mmHg,且伴随皮肤发冷等外周灌注不足表现,应诊断“心源性休克”,且患者持续乏力,纳差,半卧位,氧饱和度下降,心功能分级应为IV级(NYHA)。
2.急性心衰患者应首先评估容量状态。按作者描述,该患者存在外周灌注不足表现,有下肢水肿,颈静脉充盈,双肺湿啰音,为“湿冷”患者,应利尿治疗,SBP小于90mmHg应加用升压药,目前指南推荐的首选升压药物为去甲肾上腺素而非多巴胺。
3.作者未提供出入量信息,是否存在利尿不足的情况?
4.患者应用左西孟旦前出现出现血氧饱和度在90%以下,呼吸频率在25次以上的严重呼吸困难表现,是应用机械通气的指证,该患者是否应给予无创通气治疗?
专家简介
孙同文教授
郑州大学第一附属医院
教授,主任医师,博士生导师。郑州大学一附院急诊党支部书记,综合ICU主任。河南省千人计划:中原科技创新领军人才。中国研究型医院学会危重医学专委会主任委员,《中华急诊医学杂志》编委,河南省重症医学重点实验室主任,河南省医学会灾难医学分会主任委员,河南省医师协会重症医学医师分会候任会长,2015年国家医药卫生界生命英雄“科技之星”奖,2016年“中国健康传播大使”,科学中国人2016年度人物。