

以血管壁的炎症和纤维素样坏死为病理特征的一组异质性疾病,可累及不同的血管,临床表现复杂多样且可交叉重叠。


TAK大动脉炎;GCA巨细胞动脉炎;PAN结节性多动脉炎;
EGPA嗜酸细胞肉芽肿性血管炎;GPA肉芽肿性多血管炎/MPA显微镜下多动脉炎
BD 白塞氏病
冠脉疾病
心肌炎
瓣膜严重受累
累及心脏各结构,心血管受累发生率>50%
心包疾病
心肌疾病
瓣膜病,心内膜炎
冠状动脉
传导系统
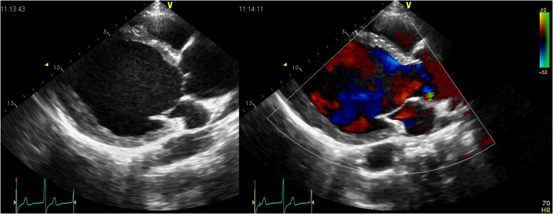
心腔内血栓
肺高压

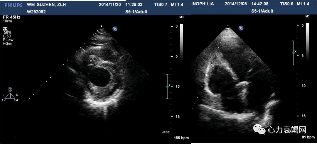
女,16岁。反复发热4年,活动后胸闷气短7月
ANA、抗Sm抗体、抗nRNP及抗SSA均阳性,LA(++++),白细胞降低,严重血小板降低,最低至30×109/L ,诊断“系统性红斑狼疮” 。
7个月前左心衰症状:开始出现快步走后即觉胸闷、憋气, 及突发夜间不能平卧。上二楼即感呼吸困难
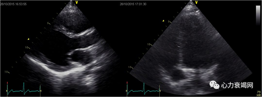
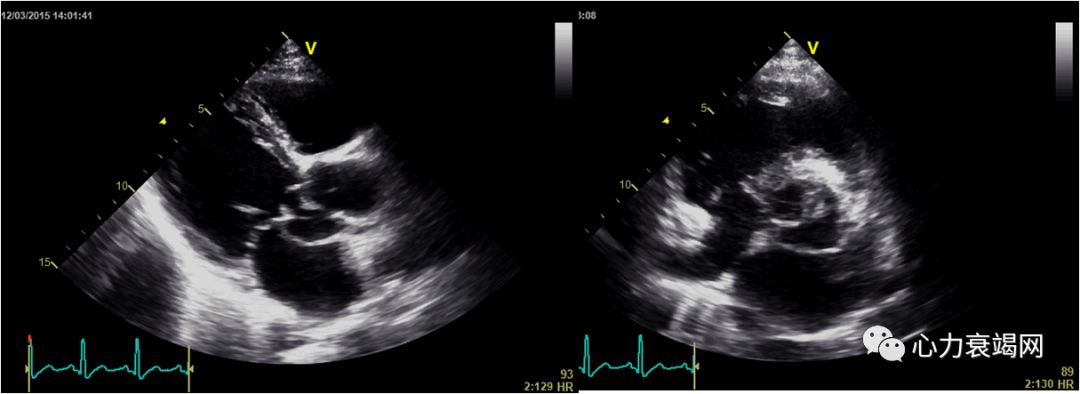
外院ECHO:扩张型心肌病,左房、左室扩大,左室舒张、收缩功能降低,二尖瓣少量返流,EF27- 45%。


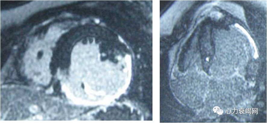
节段性运动异常




延迟扫描见左室多发异常强化,考虑心肌缺血坏死改变


肺动脉型

主动脉及分支
肺动脉
冠状动脉(多发生于冠脉起始段)
心肌炎(呈扩张型心肌病样改变)
瓣膜(主动脉关闭不全多见)

女,15岁
双下肢红斑1年,全身乏力1月,喘憋咯血2周
BP:(左上肢)161/114mmHg,(右上肢)140/?mmHg,下肢血压测不出
NT-Pro-BNP 12653pg/ml

右侧肱动脉近心段局限性重度狭窄,
双侧股总、股浅动脉狭窄

治疗前

甲强龙40mg qdivgtt,CTX0.4g/w
四联抗结核:
- 异烟肼0.3g qd+利福平0.45g qd+吡嗪酰胺0.5g tid+乙胺丁醇0.75g qd
补钙、抑酸、保肝
胸闷明显好转、无咯血,可以平卧,平地活动不受限

限水每日1500ml、利尿(每日速尿60mgiv+螺内酯20mgqdpo)、扩血管(硝酸甘油泵入25mg/h)、补充电解质。
卡维地洛6.25mg Q12h,开博通6.25mg Q8h。

2个月后
激素及抗心衰治疗后




➤ 典型的CSS分病程初始常为哮喘、过敏性鼻炎,此后出现心内膜心肌的嗜酸性粒细胞浸润。
引起类似Loftier心内膜炎的心脏病变。
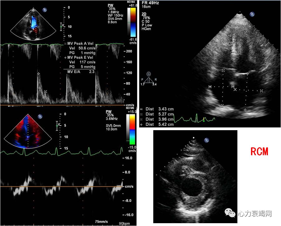
心室心尖闭塞及限制性心肌病,心腔内血栓形成,心内膜和心肌间质纤维化。
➤ 部分患者并不出现典型的Loftier心内膜炎的改变,而主要表现为坏死性心肌血管炎导致的心脏扩大、心力衰竭或心律失常。
➤ 心包炎、心肌梗死
F/63
间断胸痛2月余,憋气伴双下肢水肿1月
血常规:
WBC11.81*10^9/L,EOS 4.14*109/L,EOS%35%,便寄生虫(-)*3
T-IgE 569.0KU/L↑
CTnI 1.12 → 2.67ng/ml;BNP378ng/L
支气管哮喘十余年。对花粉等多种物质过敏。

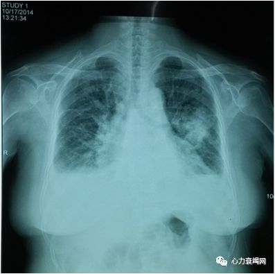
胸片:左肺中野团絮状高密度影,边界不清,双侧胸腔积液;

冠脉造影:右冠轻度动脉硬化,前降支、回旋支大致正常



冠状动脉炎(60%)
少数为间质性心肌炎和心包炎
充血性心力衰竭常见。
女性28 岁,因发热、皮疹7 个月余,反复胸闷、胸痛3个月余。诊断PAN
超声心动图:双平面法LVEF48%,左心室心尖部、后壁中下部运动减弱,心尖部变薄)。左心室增大。轻度二尖瓣关闭不全,左冠状动脉7.5mm, 右冠状动脉8mm

三支病变

激素+CTX
抗血小板+降压+他汀
抗心衰
症状有所好转
瓣膜病(主动脉瓣多见)
冠脉受累
肺动脉高压
心包炎
心腔内血栓
主动脉窦瘤
心律失常
心内膜心肌纤维化
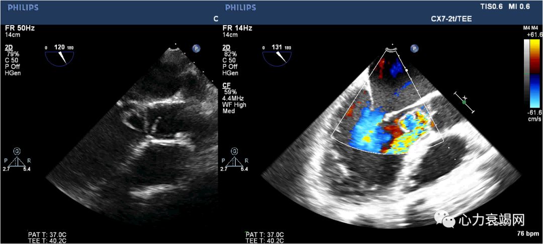
白塞病的瓣膜病变主要表现为主动脉瓣关闭不全,可以急挂或慢性。
病理基础为主动瓣膜、瓣环及瓣环周围组织广泛的炎症,主动脉壁弹力纤维层损伤,中膜细胞浸润及外膜纤维化
也可累及二尖瓣、偶尔累及三尖瓣
未控制疾病活动而手术,术后缝线松解、瓣周漏、人工瓣膜脱落、吻合口假性动脉瘤及其它严重并发症的发生率达25%~40%

瓣膜脱垂,主动脉瓣关闭不全,主动脉窦扩张、主动脉扩张、夹层
朱燕林,郭巧贝…方理刚。白塞病患者心腔内占位和主动脉瓣受累临床特点分析。
中国心血管杂志,2012,17(3),177-180



血管炎可累及心脏各部分结构,引起心肌病变、冠状动脉疾病、瓣膜病等,引起心衰。
如心衰患者有多系统受累临床表现,炎性指标高,同时超声心动图上有多种结构受累,需考虑血管炎可能。
年轻患者主动脉瓣关闭不全或术后瓣周漏等需除外白塞氏病。
心衰患者心内膜广泛增厚或血栓形成常是高嗜酸细胞血症(包括CSS)累及心脏。
伴心衰的血管炎患者,在治疗心衰的同时,应积极治疗原发病(激素,免疫抑制剂)。早诊断早治疗改善预后。部分患者LVEF可逆转,但需继续心衰药物治疗。
方理刚教授
北京协和医院
北京协和医院心内科主任医师、教授、内科学博士,博士生导师,心内科副主任。本科毕业于浙江大学医学院医学系,在中国协和医科大学获得内科学硕士及博士学位。2005年曾在美国UAB医学院附属医院心内科做Research Fellow。在北京协和医院经历了严格的内科临床训练,有扎实的内科学基础。长期从事心血管内科的临床、科研、教学和医疗保健工作。讲授北京协和医学院8年制医学生课程(心力衰竭心肌病、心脏瓣膜病、感染性心内膜炎、超声心动图的临床应用等)。超声心动图诊断各种心血管疾病方面有20余年的临床经验。和心内科同事建立了北京协和医院心内科心衰团队,设立了心衰心肌病门诊。对心肌梗死、各类心肌病、高血压等引起的心力衰竭的诊治具有丰富的经验。在《中华心血管病杂志》、《Eur Heart J》、《J Am Soc Echocardiogr》、《Eur Heart J Cardiovasc Imaging》、《Echocardiography》、《Circulation Journal》等杂志至今发表大量中英文文章, 近10年余一直主持《中国心血管杂志》心血管疑难病例解析专栏。参与撰写20本专业著作,主译Mayo Clinic的《the manual of echocardiography》。2014年获中华医学科技奖三等奖及北京市科学技术奖三等奖(疑难性心肌肥厚疾病诊断技术研究)。为中国医师协会心力衰竭专业委员会常委,中华医学会心血管病学分会心力衰竭学组委员,国家心血管病专业质控中心专家委员会专家,欧洲心脏病学会会员(FESC),欧洲心脏中国医学工程学会中国超声心动图学会全国常委,中华医学会超声医学分会超声心动图专业学组委员,中国医师协会心血管内科医师分会超声心动图工作委员会委员,北京中西医结合学会全科医学专业委员会副主任委员,海峡两岸医药卫生交流协会超声医学专家委员会委员,北京市超声医学质量控制和改进中心专家委员会委员,海峡两岸医药卫生交流协会老年医学专业委员会常委,中国老年医学学会老年高血压分会委员,中国老年医学学会北方分会委员,北京市科学技术委员会专家,北京市自然科学基金评审专家,首都卫生发展科研专项基金评审专家等。《中国心血管杂志》副总编,《中华心血管病杂志》通讯编委,《中华心力衰竭和心肌病杂志》、《临床内科杂志》及《协和医学杂志》编委,《中华临床医师杂志》专家委员会委员。