
病历摘要
患者,男,26岁,主因“胸闷气急3天,加重6小时伴晕厥一次”入院;
患者3天前感冒后出现胸闷气急,夜间为主,平卧时加重,休息后缓解。无胸痛,无呼吸困难。偶有咳嗽,无痰,未就诊。
后胸闷加重,夜间不能平卧,自觉乏力,伴呼吸困难,并出现双下肢水肿。
6小时前急诊就诊,就诊过程中自觉恶心,呕吐一次,随后出现一过性意识丧失,数秒后意识恢复。
无抽搐,无二便失禁,无肢体活动障碍。
既往史
法洛四联症
1997年、2008年分别行手术治疗
体格检查
T36℃,P 142bpm, R 28次/分钟,Bp146/68mmHg
神清,精神软,慢性病容,口唇散在疱疹,部分破溃结痂,肝颈静脉回流征阴性。心前区见手术疤痕。桡动脉脉搏短促且微弱,近不可及。
两肺呼吸音粗,双下肺可闻及少许哮鸣音及湿啰音;
心界向右增大,心律不齐,三尖瓣听诊区可闻及3/6级舒张期隆隆样杂音。
腹膨隆,软,全腹未及压痛反跳痛,肝肋下3指,脾肋下未及。
杵状指,四肢湿冷,双下肢轻度水肿。

心电图

心超

Rastelli术后:
1、右室流出道轻中度狭窄,右心肥大,右室收缩功能减低,体循环回流障碍;2、左室收缩功能减低;
3、重度三尖瓣反流伴右室高压;
4、轻度二尖瓣反流;
5、心律不齐。
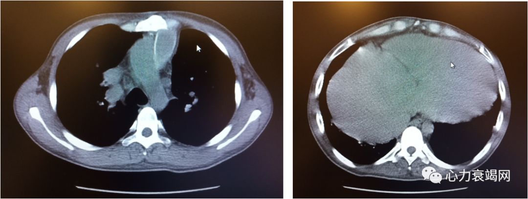
CT

病情演变
患者入抢后当日下午收住心内科CCU病房

患者CCU住院期间病情恶化,出现了心跳骤停,遂转诊患者至急诊监护室(EICU)

法洛四联症(TOF)

肺动脉狭窄
室间隔缺损
主动脉起始部向右偏移(骑跨)
右心室向心性肥大
Rastelli手术
Rastelli手术于1969年首次描述,通常在伴有大型室间隔缺损(VSD)和肺动脉狭窄的患者中进行。
应用一个板障来关闭VSD,从而使左心室中氧合的血流向主动脉,并安置一个管道连接右室与肺动脉。
Rastelli手术需要一个足够大且位置合适的VSD,从而能放置板障使血流改道流入主动脉。
行Rastelli手术的患者随时间推移需要在管道变窄时连续更换管道。
房性和室性心律失常更频繁,且可能发生左心室和右心室衰竭。

手术经心室切口,用人工血管片或涤纶布修补室缺,重建心内通道。切断主肺动脉并缝闭肺动脉近端开口,在右心室与肺动脉之间使用带瓣外管道连接,以自体肺动脉和人工血管为首选材料。先吻合远端,在吻合近端,也可先吻合近端再吻合远端。
1)入EICU时患者气管插管、镇静状态,心电图提示心房颤动;
2)生命体征极不稳定,血管活性药物维持血压;
3)心肺复苏成功后导致多器官功能障碍。
入EICU诊断
心跳呼吸骤停心肺复苏(成功)术后
多器官功能障碍综合征
心源性休克
法洛四联症术后
心功能不全 NYHA IV级
室性心动过速
急性肾损伤
肝功能异常
······
钾5.92mmol/L,钠136mmol/L,钙2.08mmol/L,肌酐195μmol/L,尿素氮14.93mmol/L,谷丙转氨酶1533U/L,谷草转氨酶3123U/L,总胆红素138.6μmol/L,直接胆红素92.8μmol/L。
面临困境

诊疗计划


诊疗经过




NT-proBNP


乳酸

剩余碱

血肌酐

谷丙转氨酶

总胆红素

思考
医者不应心存侥幸,如果当时更加积极地介入,是不是后面就不会有我们今天的故事?
当碰到实际临床问题时,主动学习和查阅文献是非常必要的

作者简介
秦绪常
浙江大学医学院附属邵逸夫医院
浙江大学医学院附属邵逸夫医院急诊科,主治医师。
2016毕业于复旦大学急诊医学专业,并于复旦大学附属华山医院完成住院医师规范化培训。2016年8月至今,就职与浙江大学医学院附属邵逸夫医院。
专家点评
法洛四联症是一种常见的先天性心脏畸形,在儿童发绀型心脏畸形中居首位。Rastelli手术是治疗复杂先心的常用术式,术后右心衰竭发生率高,且由于存在心室切口及人工补片,术后室性心律失常发生率也极高,一旦出现,宜尽早尝试导管射频消融治疗。左西孟旦增加心肌收缩蛋白对钙的敏感性,与肌钙蛋白c结合,促进心肌收缩,不增加心肌耗氧量,不影响舒张功能。同时通过激活ATP敏感的K通道,降低肺动脉压、肺毛细血管楔压及肺血管阻力,遗憾的是,该患者应用后虽BNP一度明显下降,但由于多脏器功能衰竭,最终未能挽救。
专家简介
徐东杰教授
江苏省人民医院
江苏省人民医院心内科主任医师,医学博士,南京医科大学心血管内科学副教授、硕士研究生导师。现任学会职务:中华医学会心血管学会第九届、第十届委员会心力衰竭学组委员;江苏省心血管病学会第七届委员会心力衰竭学组秘书。