
➤ 患者,男,58岁,农民。既往无高血压、糖尿病病史。
➤ 因“劳累性呼吸困难9年,加重伴双下肢水肿1月”入院。
➤ 近1月来患者稍走动即感呼吸困难,不能平卧,时有夜间阵发性呼吸困难,出现下肢水肿,伴腹胀、纳差。先后就诊我市多家医院,诊断为“扩张型心肌病,二尖瓣中-重度关闭不全,全心扩大,心功能IV级”,经改善心功能等治疗后,效果不佳,建议行“心脏移植术治疗”。
➤ 入院时体检:BP120/90mmHg,P98次/分,颈静脉怒张,两肺底闻及少许湿啰音,心界向左下扩大,心率98次/分,心律齐,心尖区闻及SMIV级杂音,向左侧腋下传导,腹软,无压痛,肝肋下2.0cm,双下肢轻度水肿。
➤ 入院时实验室检查:BNP大于5000pg/ml

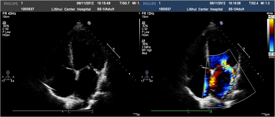
➤ 全心扩大(左房内径48mm,左室内径(d)75mm,(s)62mm)
➤ LVEF36%,肺动脉压80mmHg
➤ 二尖瓣前叶收缩期突向左房,二尖瓣收缩期见中重度关闭不全
➤ 室间隔厚11mm,左室后壁厚11mm

➤ 窦性心律
➤ 完全性右束支传导阻滞(158Ms)


➤ 淤血肝

➤ 扩张型心肌病?
二尖瓣中重度关闭不全
全心扩大
心功能IV级
➤ 二尖瓣脱垂?
二尖瓣中重度关闭不全
全心扩大
心功能IV级
心脏扩大导致二尖瓣关闭不全?
二尖瓣病变导致心脏扩大?
两者处理将不一致!
两者预后也不相同!
➤ 心力衰竭诊断明确。
➤ 心脏超声:全心扩大,左室射血分数明显降低,心肌病不能排除。
➤ 建议积极抗心衰治疗后复查心脏超声。
➤ 多巴胺+硝酸甘油针微泵维持
➤ 呋塞米利尿
➤ 地高辛
➤ 卡托普利+螺内酯+美托洛尔
➤ 门冬氨酸钾镁片、曲美他嗪等
➤ 患者在病房内行走无明显呼吸困难
➤ 水肿消退
➤ 体重从入院时的75kg,减为64kg。
➤ BNP下降到1200pg/ml

➤ 全心扩大(左房内径48mm,左室内径(d)70mm,(s)53mm)
➤ LVEF48%,肺动脉压80mmHg
➤ 二尖瓣前叶收缩期突向左房,二尖瓣收缩期见中-重度关闭不全
➤ 室间隔厚11mm,左室后壁厚11mm

➤ 心力衰竭诊断明确。
➤ 经积极治疗后,心脏缩小,左室收缩功能改善,考虑为瓣膜病变所致。
➤ 建议行心脏瓣膜置换术。
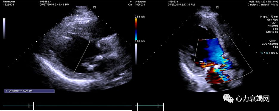
➤ 左心扩大(左房内径47mm,左室内径(d)63mm,(s)43mm)
➤ LVEF59%,肺动脉压65mmHg
➤ 二尖瓣前叶收缩期突向左房,二尖瓣收缩期见中-重度关闭不全
➤ 室间隔厚13mm,左室后壁厚13mm

➤ 全心扩大(左房内径50mm,左室内径(d)76mm,(s)58mm)
➤ LVEF47%,肺动脉压94mmHg
➤ 二尖瓣前叶收缩期突向左房,二尖瓣收缩期见重度关闭不全
➤ 室间隔厚11mm,左室后壁厚11mm

➤ 心脏超声:
1.二尖瓣前叶裂缺伴中重度反流
2.左房室增大
3.左室下壁及前壁收缩活动减弱
4.轻度肺动脉高压
➤ 冠状动脉造影:

➤ 诊断:二尖瓣反流。在全麻下行二尖瓣成形术
➤ 术中经食道超声心动图检测提示:二尖瓣腱索断裂伴重度反流
➤ 手术经过:

➤ 出院诊断:
二尖瓣腱索断裂
二尖瓣重度关闭不全
全心扩大
心功能III级
➤ 出院医嘱:
华法林
呋塞米
螺内酯
比索洛尔
贝那普利
瓣膜病变与瓣膜相对关闭不全的区别
➤ 左心扩大(左房内径44mm,左室内径(d)64mm,(s)48mm)
➤ LVEF50%,肺动脉血流未见异常
➤ 二尖瓣收缩期见轻微反流
➤ 室间隔厚10mm,左室后壁厚09mm

➤ 左室扩大(左房内径38mm,左室内径(d)64mm,(s)45mm)
➤ LVEF56%,肺动脉血流未见异常
➤ 二尖瓣收缩期见轻微返流
➤ 室间隔厚09mm,左室后壁厚12mm

1年后患者失访
➤ 呼吸困难加重
➤ 咳嗽、咳浓痰
➤ 体检:颈静脉无怒张,两下肺闻及湿罗音,心率82次/分,心律齐,心尖区闻及SMII,肝肋下未及,双下肢无水肿
➤ BNP800pg/ml
➤ 全心扩大(左房内径41mm,左室内径(d)70mm,(s)58mm)
➤ LVEF36%,肺动脉血流未见异常
➤ 二尖瓣收缩期见轻微返流
➤ 室间隔厚09mm,左室后壁厚10mm

为什么心力衰竭症状再发?
为什么心脏再次扩大?
自行停服任何药物1年
吸烟
饮酒
肺部感染
心肌病?
➤ 左室扩大(左房内径36mm,左室内径(d)58mm,(s)41mm)
➤ LVEF58%,肺动脉血流未见异常
➤ 二尖瓣收缩期见轻微返流
➤ 室间隔厚08mm,左室后壁厚10mm

病因诊断非常重要!
规范诊治非常重要!
规律随访非常重要!
吕玲春教授
丽水市中心医院
主任医师,心内科副主任。省151第三层次人才,市138第一层次人才。
中国医师协会心力衰竭专业委员会委员,浙江省康复医学会心血管病专业委员会青年委员,浙江省医学会老年医学分会委员,浙江省预防医学会第一届高血压预防与控制专业委员会委员,丽水市医学会起搏与电生理分会委员,丽水市中西医结合学会脑心同治专业委员会委员,丽水市医学会心血管病专业委员会委员,主持市厅级2项,中医药项目1项,第1作者发表论文12篇(SCI收录4篇,中华系列2篇)。