
流行病学
脓毒症发病率1.5%,死亡率10%,其中约 4% 发展为脓毒性休克[1]
脓毒症相关的心肌抑制称为脓毒性心肌病,当出现脓毒性休克时病死率高达50~70%[2]
[1]Rusconi Am,et al.Early goal -directed therapy vs usual care in thetreatatment of severe sepsis andsepticshock: a systematic review and meta-analysis Intern Emerg Med,2015,10 ( 6) : 731 - 743.
[2].YingLi,ShupingGe,et.al.Inflammation and cardiac dysfunction during sepsis.musculardystrophy,andmyocarditis.Burns and Trauma,2013,1:109-121.
脓毒症心肌抑制机制
缺血再灌注损伤
心肌抑制因子及过度炎症反应
高心排量使心室壁的张力及心室充盈压力升高
Ca2+敏感性降低
药物影响
[1]Rusconi Am,et al.Early goal -directed therapy vs usual care in thetreatatment of severe sepsis andsepticshock: a systematic review and meta-analysis Intern Emerg Med,2015,10 ( 6) : 731 - 743.
如何改善脓毒症心肌抑制是
目前需要研究的内容
病例分享
患者:谭某,女性,46岁,因“左侧输尿管软镜下激光碎石术后+左侧输尿管镜下J管植入术后 ”于2017-11-27入院泌尿外科,拟择期行二期手术
既往无心慌、气促、胸痛等病史
入院时情况

入院诊断

2017-11-30
全麻下行左侧输尿管软镜激光碎石取石术+左侧输尿管镜下J管植入术
术中尿液呈白色脓性,BP:128/78mmHg(NE 0.3ug /kg .min)
术后发热(T39℃),血压由NE0.27ug/kg.min维持,I型呼吸衰竭,立即气管插管,接呼吸机辅助呼吸
积极液体复苏

2017-12-1(转入ICU)

入ICU诊断
1、左肾结石
2、尿路感染
3、脓毒症
4、脓毒性休克
5、ARDS
6、多器官功能障碍综合征(呼吸、循环、心脏、肾脏)
7、左侧输尿管双J管置入术后
入ICU治疗
抗感染:亚胺培南—西司他丁钠+替考拉宁治疗
呼吸支持:呼吸机辅助呼吸(FiO245%)
循环支持:去甲肾上腺素维持血压
为清除炎症反应:床旁血液净化治疗
营养心肌、预防应激性溃疡、改善微循环、减轻炎症反应、维持电解质及内环境稳定等治疗
血流动力学评估
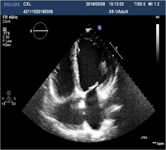
神志昏睡,肢端冷,散在花斑,p:125次/分左右,血压125/67mmHg(NE 1ug/kg.min),呼吸机辅助呼吸,氧合指数173,Lac5.3 mmoL/L,——组织灌注不足
尿量<10ml/h,CVP15mmHg左右,ScvO256%,CO2 gap 11 mmHg ——血容量评估(足?不足?)
心电图提示:窦性心动过速,T波改变;BNP 4100pg/ml,血清心肌钙蛋白0.65ug/L, CK265IU/L,CK-MB3.64 IU/L——心功能受损?
重症超声
1、下腔静脉变异度9 %
2、右心无增大
3、左室收缩功能降低
(EF=46% EDV=106ml SV=48ml)
左室舒张功能降低
4、肺部超声肺间质综合征

Picco


指南推荐
2016年脓毒症与脓毒性休克处理国际指南
在充分的液体复苏及使用血管活性药物后,如果仍存在持续低灌注,建议使用多巴酚丁胺强心治疗(弱推荐,低证据质量)
Crit Care Med. 2017 Jan 17
2017-12-1(入ICU第1天)

2017-12-2(入ICU第2天)
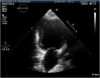
神志昏睡,p:90次/分左右,血压(NE 0.45ug/kg .min),呼吸机辅助呼吸,氧合指数198,Lac3.5mmoL/L
尿量<20ml/h,CVP16mmHg,ScvO2 63.3%,CO2gap12mmHg
BNP 6000pg/ml,血清心肌钙蛋白0.78ug/L, CK356IU/L,CK-MB4.56IU/L
心电图提示:窦性心律,T波改变
重症超声
1、下腔静脉变异度11 %
2、右心无增大
3、左室收缩功能降低(EF=47% FS=28% EDV=112ml SV=52ml)
4、肺部超声肺间质综合征

Picco


强心治疗药物
多巴酚丁胺?
磷酸二脂酶抑制剂(米力农)?
左西孟旦?
左西孟旦、米力农和多巴酚丁胺治疗脓毒症心肌抑制的对比研究



左西孟旦机制
Ca2+增敏作用
不影响细胞内Ca2+浓度,不引起因细胞内Ca2+超载导致的心律失常
不增加细胞内Ca2+转运能,不引起心肌耗氧量增加和交感神经激活
开放血管平滑肌细胞膜ATP敏感性的K通道,血管平滑肌松弛
左西孟旦说明书
初始负荷剂量为6~12μg/kg,大于10分钟,后应持续输注0.1μg/kg.min
较高的负荷剂量会产生较强的血液动力学效应,并可能导致不良反应发生率短暂升高
如初始剂量耐受性好且需要增强血液动力学效应,则输注速率可增至0.2μg/kg.min
2017-12-2(入ICU第2天)
左西孟旦强心治疗
1、由于患者循环不稳定,未给予左西孟旦负荷剂量,起始剂量0.1ug / kg .min
2、严密监测心率、血压、呼吸等情况下,将左西孟旦剂量调整为0.2ug / kg .min,维持24小时
2017-12-3(入ICU第3天)
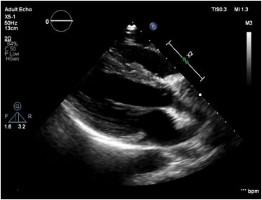
神志昏睡,P:95次/分左右,血压(NE 0.23ug/kg.min),呼吸机辅助呼吸,氧合指数254,Lac2.1mmoL/L
尿量约60ml/h,CVP11mmHg,ScvO2 70%, CO2gap6mmHg
BNP 3000pg/ml,血清心肌钙蛋白0.59ug/L, CK 321IU/L,CK-MB3.89IU/L;
心电图提示:窦性心律,T波改变
重症彩超
1、下腔静脉变异度8%
2、左心收缩功能:EF=57%FS=30% EDV=111ml SV=64ml
左室舒张功能降低

Picco

2017-12-5(入ICU第5天)
神志昏睡,无发热,自主血压波动在110/78mmHg左右,乳酸正常
2017-12-7(入ICU第7天)
脱离呼吸机,鼻导管吸氧3L/min,氧合指数大于300
肺X片变化

心电图变化



临床转归
ICU住院时间:8天
总体住院时间:13天
器官功能:循环、呼吸、心功能、肾功能均恢复正常
90天随访:可自行活动,生活自理
体会
➤ 脓毒症的发病率和病死率均较高,脓毒症的心肌抑制占有较高比例
➤ 脓毒症心肌抑制对于血流动力学及组织灌注均存在一定影响
➤ 脓毒症心肌抑制使用左西孟旦(Ca2+增敏剂)具有一定临床价值
心功能及组织灌注的动态评价
重视个体化治疗(负荷剂量、剂量逐渐增加)
用“心”体会
脓毒症休克治疗-除了容量、血管张力的改善...也许还需要走“心”
作者简介
陈祖芝
陆军军医大学西南医院
陆军军医大学西南医院重症医学科医师。工作在临床一线,对于各种急危重症抢救、神经重症、脓毒症、多器官功能衰竭抢救有较深造诣,对于重症血液净化、ECMO等技术具有丰富经验。参与重庆市级课题一项。SCI 文章1篇,中文核心文章5篇。
专家点评:
本例病例是一位女性46岁脓毒性休克患者,原发感染灶是泌尿系统,术后患者病情发展迅速,很快发生了多脏器功能不全,发生了应激性心肌损伤,该患者整个处理过程比较到位,通过生命体征监测,心肌酶学,乳酸,BNP,床边心脏彩超,Picco,床边B超等手段评估治疗效果,患者在应用多巴酚丁胺不耐受后选择应用左西孟旦,患者最终康复出院,是一个救治比较成功的病例。
几点体会和建议:
1. 脓毒症相关的心肌抑制称为脓毒性心肌病,当出现脓毒性休克时病死率高达50~70%。随着床边心脏彩超的普及,对于感染导致的应激性心肌的认识和重视逐渐提高,及时对症的处理非常重要。
2. 左西孟旦是新型强心药物,是Ca2+增敏剂,其增敏作用不影响细胞内Ca2+浓度,不引起因细胞内Ca2+超载导致的心律失常,不增加细胞内Ca2+转运能,不引起心肌耗氧量增加和交感神经激活。
3. 这个患者先是应用了多巴酚丁胺改善心功能,但病人心率上升到150次/分,患者不耐受又选择了左西孟旦,该患者之前的心率已经是110次/分,这类窦性心动过速的患者是否一开始我们就选择左西孟旦。大家可以思考和讨论。
4. 感染灶的去除是原发病治疗,是治疗的根本,取石和J管的放置解决了引流问题,加之正确的抗生素选择,是最终多脏器功能恢复的根本。
5. 之前应用左西孟旦,如果患者血压低,是我们不敢应用的顾虑,该患者存在这方面的问题,但应用了左西孟旦后最终的结局是好的,可以给大家提供借鉴,但这种情况我们需要慎重应用首剂量。这个病例就没有应用首剂。
专家简介
胡丹教授
青岛市市立医院
现任青岛市市立医院东院区重症医学科主任医师,副主任。硕士生导师。
山东省病理生理学会危重病分会委员,青岛市医学会重症医学分会副主任委员,青岛市生理科学学会危重病分会副主任委员。所负责课题获山东省科技攻关立项1项,青岛市科技局立项资助2项;参与课题获山东省科技进步奖三等奖1项,青岛市科技进步奖三等奖2项,山东省医学进步奖三等奖1项。发表SCI论文4篇。