
今天介绍的是心腔结构的测量。
二维定量时图像获取与测量的要点

如何确定测量时相?
舒张末期——
心电图QRS波的起点
超声心动图二尖瓣关闭后那一帧图
心动周期中心室内径最大的那一帧图

收缩末期——
超声心动图二尖瓣开放之前的那一帧图
心动周期中心室内径最小的那一帧图

注意:无论是舒张末期还是收缩末期,二尖瓣的前后叶都是关闭的。
如何进行心腔定量?
1、左心室径线的测量
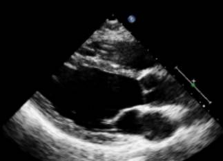
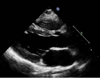
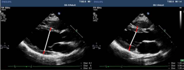
测量位置:胸骨旁左心室长轴,或二尖瓣瓣尖水平左心室短轴切面。
测量内容:室间隔厚度、左心室后壁厚度、左心室内径。
测量时相:收缩末期、舒张末期。
直接二维测量或在二维引导下的M-型曲线上测量。

图|胸骨旁左心长轴切面,二尖瓣瓣尖水平。左图为舒张末期,右图为收缩末期。
随着图像处理技术的改进,已经提高心脏结构的分辨率。可按照真实的组织和血流的界面来测量室间隔和左心室后壁的厚度,而不是像以前测量前缘回声之间的距离。

ASE推荐于二尖瓣瓣尖水平胸骨旁短轴切面直接测量或采用M型曲线测量。M-型超声时间分辨率好。有助于帮助二维超声区分临近左室后壁的肌小梁、室间隔左室面的假腱索、室间隔右室面的调节束等结构。即使采用二维引导也可能无法保证M-型取样线完全垂直于室间隔和左心室后壁。
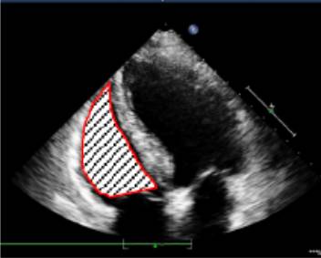
2、左心室容积的测量
双平面法(改良Simpson法):分别于收缩末期和舒张末期,在心尖四腔心及两腔心切面手动描记心内膜以计算容量。描记过程中,应将乳头肌从室腔中删除。心尖四腔切面上左心室面积的基底部边界应由二尖瓣环侧缘与间隔缘之间的直线来确定,而在两腔切面,则用瓣环前缘与下缘之间的直线来确定。

双平面法示意图
3、左心室质量的计算
主要用于在流行病学研究和治疗实验中估测人群中LV 质量及其在抗高血压中治疗中的变化。所有LV心肌质量测量法均是基于将LV心外膜所勾划的容积中减去LV腔容量得到LV心肌或壳体容积,然后乘以心肌密度求得LV的质量值。医生可采用二维或二维引导下M-型超声进行测量。
ASE 推荐公式:

左心室正常值范围——


可用目测方法对定量数据进行反复核查。





4、右心室大小的评估
由于右心室的几何构型复杂、定量评估困难,目前临床上多采用右心室的面积或内径与左心室对比来作出定性评价。

5、右心室舒张末期面积


右心室的大小(与左心室二维面积比较)
6、右心室舒张末期内径
右室基底段舒张末期横径小于等于42mm;
右室中段舒张末期横径小于等于35mm;
右室舒张末期长径小于等于86mm。


7、右室壁厚度的测量
测量位置:常用胸骨旁长轴与剑突下四腔心切面。
测量时相:舒张末期。
若合并有心包增厚时,难以确定;超过5mm即为右心室增厚,在没有其他病理改变的情况下提示右室压力负荷过重。

ASE推荐采用剑突下四腔心切面测量右心室壁厚度,因其重复性和与右心室收缩压的相关性较好。

8、右室流出道的测量
测量位置:分别于胸骨旁长轴、短轴、肺动脉长轴切面测量RVOT近段和远端内径。
测量时相:舒张末期。
正常值:舒张末期RVOT远端内径(肺动脉小于等于27mm)。
9、右室收缩功能的测量
面积变化率(FAC)=100*(EDarea-ESarea)/EDarea。

FAC<35%提示右心室收缩功能降低
组织多普勒(三尖瓣瓣环收缩期速度)

<10cm/s提示右心室收缩功能降低
10、M型超声三尖瓣瓣环的位移(TAPSE)
TAPSE<16mm提示右室收缩功能

11、左心房的径线测量
测量位置:胸骨旁长轴切面。
测量时相:收缩末期左房最大时。
正常值:LA(左房)小于等于34mm。
LA前后位径线的增大可被胸骨和脊柱间的胸腔所限制,使得前后位径线可能无法代表LA大小,应与容量测定结合使用。


12、左心房容量测量
在临床实践中测量LA大小时,容量的测定优于径线的测量,因为它们能够准确地评价LA的非对称性重构。心血管疾病与LA容量的关系也比LA径线更为紧密。

在心室收缩末期(左心房径线最大时),用心尖四腔(A4C)和心尖二腔(A2C)双平面圆盘法(改良的Simpson‘s法)测量左心房(LA)容量。
13、右心房的径线测量
测量位置:心尖四腔切面。
测量时相:舒张末期。
右房的长径:从三尖瓣环连线的中点到右房顶部的垂直线。
横径:从房间隔的中部到右房前侧壁的中部。

来源:医学界