

◆患者男性,32岁
◆主诉:胸闷气急伴双下肢浮肿1年余,加重1月。
◆现病史:
▶患者2015-9月因胸闷气急于外院肺科住院,发现胸腔积液,UCG提示左室增大,EF0.38,予以抽胸水及降压等对症治疗后好转。此后仅服用降压药和中药治疗。
▶2016-10月,患者于出现胸闷气促加重,伴双下肢浮肿;
▶外院生化提示肝肾功能严重损害;
▶胸部CT检查提示双侧胸腔积液、腹腔积液;
▶心超检查提示左室收缩功能减弱,左室内多发占位;
▶外院予利尿、抗感染、保肝、改善肾功能等治疗后胸闷气促等不适症状缓解,双下肢浮肿有所消退。为进一步诊治,于2016.11.22入我院。
既往史:
慢性肾小球肾炎 慢性肾功能不全20余年;
发现高血压3-4年,最高血压170/120mmHg;平素服用钙离子拮抗剂和利尿剂,血压控制尚可。
家族史:
无家族遗传病史,无心脏病家族史
◆入院体征:HR 114bpm;BP 166/105mmHg;
◆肺部听诊未闻及啰音;心脏听诊心律齐,各瓣膜听诊区未闻及明显杂音;双下肢凹陷性浮肿(+);右腹股沟扪及痛性肿块(外院穿刺所致)。

心电图


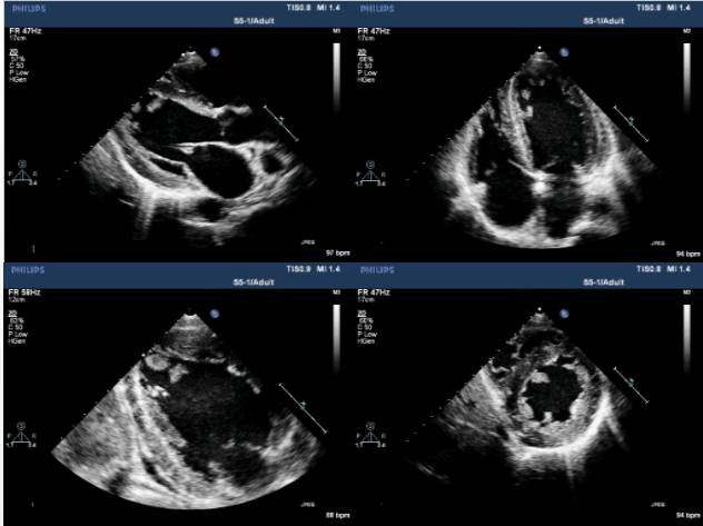
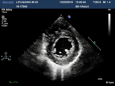
2016-11-23心超:
◆左房增大(46mm),左室增大(LVEDD 60mm),
◆左室壁整体收缩活动减弱(左室壁均匀性增厚,心肌内回声不均,LVEF 38%),
◆左室舒张功能减退 E/E`>12;
◆左室内多发占位(下壁心尖部2处、侧壁心尖部1处团块样中等回声,随血流甩动,有蒂连接室壁,大小分别为19*14mm、15*9mm、8*4mm);
◆右房增大(52*44mm),右室内径正常,TAPSE 16mm;
◆微量心包积液(左室后方房室沟内4mm无回声区)



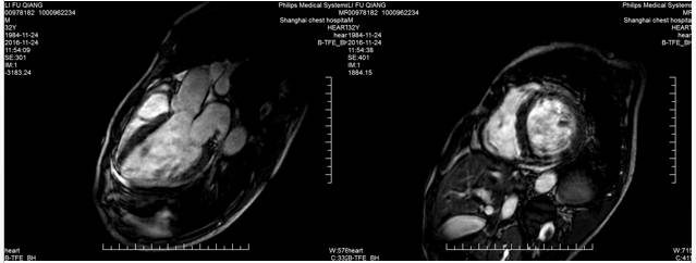
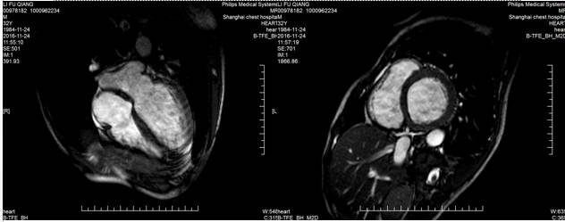
回到我们的病例--心脏MRI






心脏MRI提示
◆2016-11-24心超:
◆左房增大,左室增大;
◆左室壁整体收缩活动度下降,LGE显像提示整个心室壁心肌未见延迟强化现象,故可排除缺血性心肌病
◆LGE显像也未见类似限制性心肌病的特征性心内膜下延迟强化现象。
◆左室内多发条形信号影;LGE扫描未见强化,考虑血栓可能性大。


扩张性心肌病
心室腔内血栓形成
心功能III级
慢性肾功能不全
肾性高血压
◆积极改善心功能:利尿、“金三角”(卡维地洛10mg bid+安体舒通20mg qd+培哚普利 2mg qd)
◆控制血压:拜新同30mg bid
◆抗凝治疗:华法令+低分子肝素
◆改善肝肾功能
◆控制心室率策略:倍他乐克12.5mg bid已经超过2周,入我院后改用卡维地洛10mg qd 3天,患者临床心功能改善,但是心率持续在110次/分左右,血压仍高,经PiCCO持续血流动力学监测,并在加强利尿基础上,应用艾洛控制心室率、协助降压治疗,艾司洛尔加量3天后,加用伊伐布雷定,艾洛应用6天后停用,同时卡维地洛加量至10mg bid维持量。



Parameters of myocardial tagging curves.

参考文献:Boris Schmitt et al. Am J Physiol Heart Circ Physiol 2015;309:H45-H52
Synopsis of one volunteer's curves.

Descriptive analysis of all volunteers' myocardial shortening values.

Comparison of upslope and decline of the longitudinal shortening curves at different doses of esmolol.

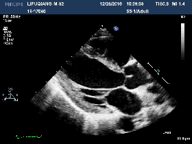
2016-12-20
◆BNP:115pg/ml
◆肌酐: 317umol/L
◆心超:
▶左房左室内径较前相仿
▶左室收缩功能整体减退,LVEF 43%
▶左室舒张功能未见异常E/E`=8
▶左室下壁心尖段见1处条索样回声,随血流甩动,大小约8mm
▶右房右室内径正常,TAPSE 17mm
▶心包腔内未见无回声区
作者:上海市胸科医院心内科CCU——张敏