首页
新闻
学术前沿
公开课
心衰国际学院
心衰医联体
心衰年会
心衰日
专家团队
联系我们
学术前沿
病例分享|黄志梅:放疗致心包损伤一例
点击量: 时间:2020-05-15 18:00
现病史
➤ 患者女性,55岁。
➤ 因胸腺瘤放疗后伴胸腔积液24年,再发3年入院。
➤ 24年前因进食哽噎确诊胸腺瘤伴双侧胸腔积液,予放射治疗,历时1年半,共38次(总放射量不详)。放疗后出现心包积液及胸腔积液明显增多,经治疗好转。以后无复诊,复查。
➤ 3年前患者再次发现心包及双侧胸腔积液,多方就诊、治疗并坚持抗涝1年半仍无效后就诊我院。
既往史
➤ 既往体健
➤ 无高血压、糖尿病、冠心病、肾脏病史
➤ 家族史、过敏史无特殊
查体
➤ T:36.5℃ P:79次/分 R:20次/分 BP:125/59mmHg
➤ 神志清晰,慢性病容,口唇紫绀,颈静脉怒张,双侧胸腔叩成浊音,双肺呼吸音低,未闻及干湿性啰音。心界稍大,心律齐,心率79次/分,A2=P2,各瓣膜听诊区未闻及病理性杂音。腹平软,肝脾未触及,肝颈静脉回流征(—)。双下肢不肿。
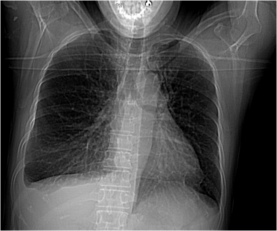
胸片检查
左心增大,右肺中下叶肺组织膨胀不全,右侧胸腔中等量积液
心电图检查
心电图:窦性心律,心率79次/分,ST无特殊
心脏超声
➤ LA33mm LV38mm IVS7mm LVPW7mm EF55%
➤ 心包局部增厚,右房顶少量心包积液,三尖瓣少中量反流,主动脉瓣轻微狭窄并少量反流
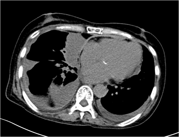
心脏CT
心包影宽,密度增高,考虑心包不规则增厚,双侧胸腔及叶间积液
心脏MRI
胸膜活检
化验室
➤ 血常规:正常范围
➤ 尿常规:正常范围
➤ 大便常规:正常范围
➤ 电解质:正常范围
➤ 肝功能:正常范围
➤ 肌酐:85.7umol/L 尿素氮:10.37umol/L
➤ TNI:0.000
➤ NT-proBNP:1674mg/L
胸水常规及生化
抗磷脂综合征检测组合
抗磷脂综合征检测组合
免疫组合
肿瘤标记物5项
诊断
缩窄性心包炎
心包积液
心脏瓣膜病
主动脉瓣轻度狭窄
主动脉瓣轻中度关闭不全
胸腔积液
胸腺瘤放疗后
治疗
➤ 药物治疗:托拉塞米 托伐普坦 呋塞米螺内酯 等
➤ 胸腔穿刺:引出血性混浊胸水约3700ml
➤ 手术治疗:评估手术风险极大,手术效果差
➤ 心脏移植:不建议
随访
➤ 进行性食欲减低
➤ 进行性消瘦
➤ 进行性运动耐力减低
➤ 不断利尿剂调整
➤ 不断各大医院就诊
思考
1. 患者的缩窄性心包炎原因?
a)与胸腺瘤放疗治疗一定有关吗?
b)是感染还是肿瘤引起?
2.放疗相关并发症如何监测及预防?
3.放疗相关并发症如何治疗?
|作者:黄志梅
|
单位:贵州医科大学附属肿瘤医院
上一篇:
中国最大样本量住院心力衰竭患者调查研究(China-HF)结果公布
下一篇:
新型正性肌力药物使用病例(一)|欧洋:急性下壁ST段抬高型心梗合并急性心衰患者一例
学术前沿