• 5月24日出现胸闷、气促,自服感冒药无好转,症状逐渐加重,出现双下肢浮肿,夜间阵发性呼吸困难、端坐呼吸
• 5月28日门诊入院
• 既往糖尿病病史10年,口服二甲双胍治疗,未规律监测血糖
• 血常规:WBC 13.1×10^9/L,Neu%88.5%,Hgb124g/L
• Cr 98μmol/L,胱抑素-C 1.30mg/L,Alb35.3g/L,ALT 31U/L
• CRP34.55mg/L,PCT0.101ng/ml

心电图示:V1-V5ST抬高,Q波形成,急性广泛前壁心肌梗死

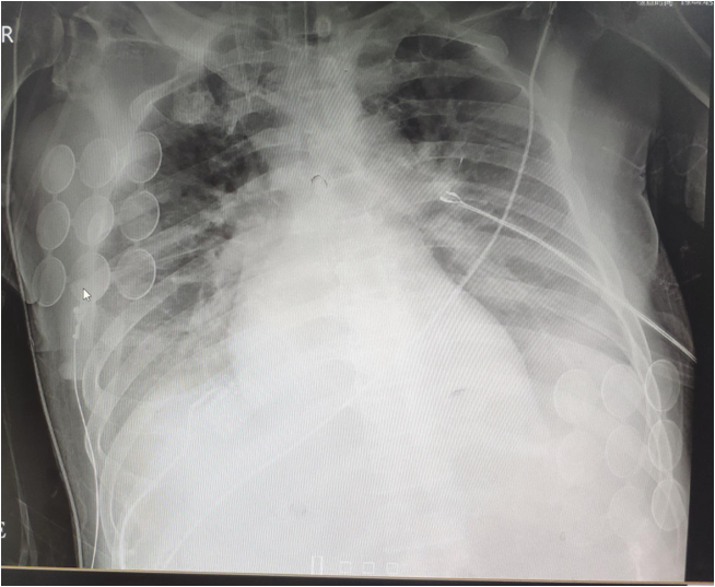
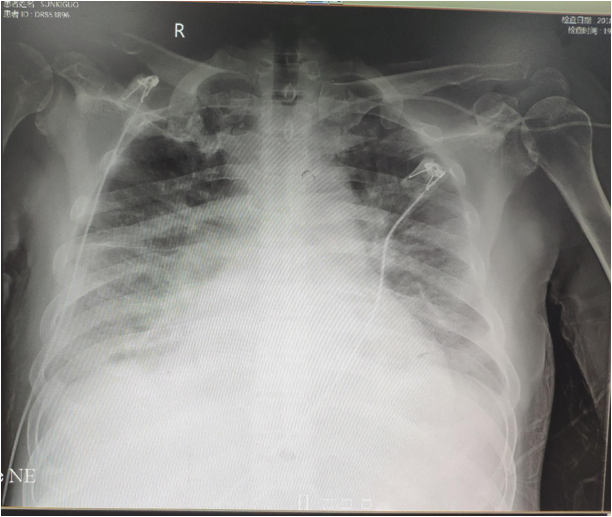
5.27及6.1查胸片示:双肺肺水肿,双侧大量胸腔积液,明显进展

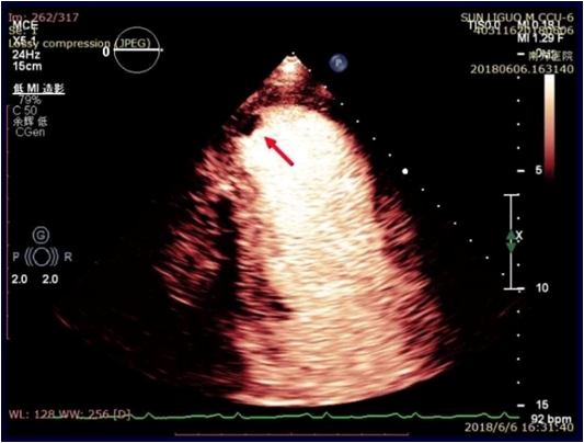
左心心尖室壁瘤形成,心尖附壁血栓,LVEF 39%
• 心率79-106次/分,血压 85-118/57-86mmHg,血氧96-100%
• 阿司匹林肠溶片、硫酸氢氯吡格雷片抗血小板、阿托伐他汀钙片降脂、低分子肝素钙注射液抗凝
• 利尿(呋塞米、托拉塞米、托伐普坦)
• 冻干重组人脑利钠肽扩血管(血压不耐受停用)
• 头孢哌酮抗感染
• 胰岛素控制血糖
• 护胃、通便、营养支持
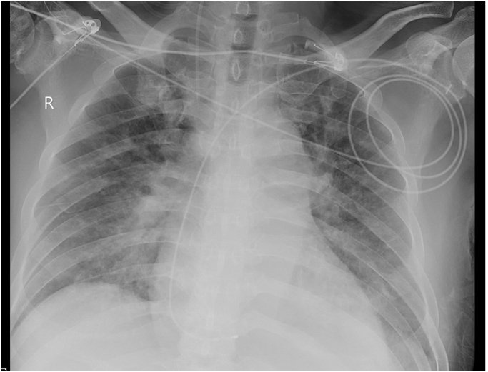
• 06-01行胸腔穿刺引流,提示漏出液,共引流出2000ml胸水


血压波动于85-124/57-73mmHg,心率波动于87-93次/分,血氧95-100%。
患者心衰纠正不理想,药物治疗效果欠佳,经讨论后,拟行PCI介入治疗
考虑到患者心功能差,存在术中不能耐受的可能,提前准备IABP及呼吸机,备术中必要时使用。




看似走向好转,情况却急转直下......
• 胺碘酮、利多卡因、艾司洛尔、去甲肾上腺素静脉泵入
• 氯化钾、硫酸镁、碳酸氢钠静脉滴注,肾上腺素间断静推
• 至11:50,反复除颤30余次后,患者转复为窦性心律





• 逐步将艾司洛尔改为美托洛尔并逐渐加量至95mg2/日
β-肾上腺素受体阻滞剂 95mg 2/日,利多卡因持续泵入
下一步怎么办?
射频消融?
ICD?

起搏前心率56次/分,设置起搏心率80次/分,心房起搏
根据肝肾功能恢复情况,逐步恢复降脂治疗并加用ACEI/ARB

撤机后患者可平卧,但仍有气促,双下肢轻度水肿,复查心脏超声EF41%,其余与术前无明显变化。
监测BNP下降至3900pg/ml,Cr186umol/L

建议患者心梗42天后行ICD预防室颤,患者因自身经济原因拒绝
• 阿司匹林肠溶片 0.1g1/日+硫酸氢氯吡格雷片 75mg 1/日+利伐沙班片 2.5mg 2/日