

霍××,男,48岁
主因间断胸闷、气短20余年,双下肢浮肿1周,加重不能平卧、伴心悸3小时,于2015-09-22 16:00急诊入院
20余年前出现劳累后胸闷、气短。间断发作,有时伴夜间不能平卧,当地医院给予对症治疗(诊断及治疗不详)后可好转
2年前,上述症状加重,就诊于我院。查心脏超声显示:IVS 15mm,LVPW 10mm,ESD 55mm,EDD 61mm,EF22%,诊断为“肥厚型心肌病 心力衰竭 心功能IV级”。住院治疗后症状好转出院
1周前,无明显诱因再次出现胸闷、气短,伴双下肢浮肿,当地医院给予“利尿、强心”等治疗,症状缓解不明显
3小时前,气短加重,不能平卧,伴心悸,就诊于我院急诊科。当时BP80/46mmHg,SpO285%(高流量吸氧),双肺可闻及大量干湿性啰音。BNP 3147.5pg/ml,初步诊为“肥厚型心肌病 急性心力衰竭 心源性休克”,予以多巴胺、多巴酚丁胺静脉泵入后收住CCU
既往史:否认高血压、冠心病、糖尿病史
个人史:无烟酒嗜好
家族史:家族中高血压、糖尿病及同样疾病患者
T35.8℃P96次/分,R38次/分,BP100/56mmHg (多巴胺6μg/kg/min,多巴酚丁胺2.5μg/kg/min)SpO2测不出
神志清楚,表情淡漠,半卧位,呼吸急促;全身皮肤湿冷,发花,面色晦暗,口唇发绀,颈静脉怒张,肝颈静脉回流征阳性;双肺可闻大量干湿性啰音;叩心界向左下扩大,心尖搏动位于左锁骨中线第Ⅴ肋间,心率96次/分,律齐,心音低钝,P2>A2,各瓣膜区未闻杂音;肝大,肋下6cm、剑突下8cm;双下肢指凹性水肿
血气分析:PH 7.244、PaCO2 21.3mmHg、
PaO2 251mmHg、
BE -18mmol/L、
HCO3-9.2mmol/L、
Lac 10.15mmol/L
急诊生化:
BUN 14.29mmol/L,
Cr 171umol/L,
Na+135mmol/L,
K+4.4mmol/L,
Cl-98mmol/L
心电图

肥厚型心肌病
急性心力衰竭
心源性休克
诊断明确:急性心力衰竭、肺水肿,心源性休克
当前状况:病情危急,生命体征不稳定
救治原则:积极纠正休克、减轻心脏负荷,增强心肌收缩力、缓解肺水肿
立即给予监护(心电、血压、呼吸、SpO2)
继续维持多巴胺、多巴酚丁胺泵入
无创呼吸机辅助呼吸
静注速尿40mg、吗啡3mg
静点碳酸氢钠
导尿

入院 2.5小时(18:30)
仍然无尿、皮肤湿冷发花、肺部啰音
意识不清,呼吸减慢至17次/分,叹气样呼吸,立即给予气管内插管,即刻涌出大量粉红色泡沫痰
吸痰后接呼吸机辅助呼吸(PEEP4,PS24,FiO2100%)
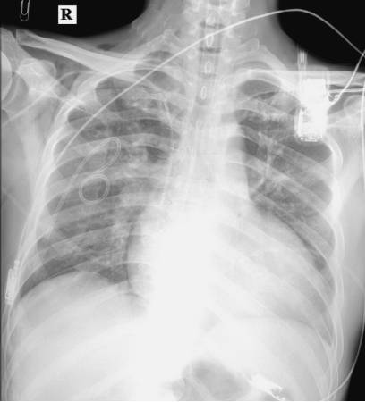
锁骨下静脉穿刺
在穿刺过程中出现气胸,立即给予胸腔闭式引流
CVP 27cmH2O

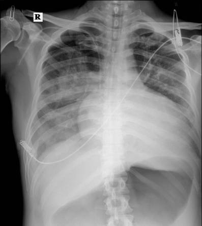
2015年9月22日

2015年9月22日
入院 3小时(19:00)
呼吸机辅助呼吸
DA 20 μg/kg/min,NA 1 μg/kg/min,DBA 8 μg/kg/min
P 114次/分,R 32次/分,BP 80/40mmHg,SpO2 70%
皮肤湿冷、发花,肺内大量干湿性罗音
无尿
血气分析:PH 7.10,PaCO2 84.8mmHg PaO2 62mmHg、 BE -3mmol/L,HCO3 26.3mmol/L,Lac5.29mmol/L
急性肾损伤
床旁超滤治疗
严重心源性休克 可行吗 ?
心衰超滤脱水专用装置与CRRT
血泵速度对心脏负荷的影响
超滤开始和结束时,血容量变化对循环容量的冲击
对血压的影响
右侧股静脉穿刺


9月22日
19:00 开始超滤治疗
P 114次/分,R 32次/分,BP 80/40mmHg,SpO2 70%
血流速度 25ml/min,超滤速度 150ml/h
1小时(20:00)
超出体液 130ml
尿量 0ml
P 125次/分,R 27次/分,BP 57/30mmHg,SpO2 92%
静注多巴胺10mg
2小时(21:00)
超出体液 350ml
尿量 15ml
P 118次/分,R 28次/分,BP 96/50mmHg,SpO2 90%
2.5h 鼻饲,肠内营养
3.0h 清醒,烦躁,间断予以咪达唑仑注射液镇静
3.5h(22:30) 皮肤湿冷、发花好转
23日
09:00 P120次/分 R22次/分 BP93/40mmHg SpO2100%(FiO280%)
双肺湿性啰音明显减少,哮鸣音消失
11:30 左西孟旦(无负荷量)
每小时尿量持续逐渐增加
23日 20:00(连续超滤25h) 尿量明显增多,停止血滤
25日 17:00 呼吸平稳,拔除气管插管
序贯无创呼吸机辅助呼吸
逐渐减量:多巴胺、去甲肾上腺素、多巴酚丁胺








2015年9月22日
超滤治疗为心衰提供了一种安全、精准可靠、行之有效的脱水治疗方法
低血压
血液净化标准操作规程(2010版)
无绝对禁忌证,但严重低血压(透析中收缩压下降>20mmHg或平均动脉压降低10mmHg以上,并有低血压症状)慎用
一旦出现需停止超滤
心衰超滤脱水装置临床应用中国专家建议
超滤禁忌证之一:收缩压≤90mmHg,且末梢循环不良者
心源性休克患者超滤治疗时机与指征