

在2017中国国际心力衰竭大会(CIHFC)暨中国医师协会心力衰竭专业委员会年会上,来自第三军医大学新桥医院的耿召华教授为我们带来了“CRT术后参数优化 ”的精彩报告。


CRT术后参数优化
●优化AV间期:增加心室舒张期充盈时间,减少二尖瓣反流,每搏输出量最大化
●优化VV间期:左、右心室达到最大程度同步化,改善室间、左室内收缩同步性
如何实现CRT参数优化?
目前常用的AV和VV间期优化常规方法:
●超声心动图法
●腔内心电图(IEGM)
●程序自动监测法
目前尚无公认的CRT术后优化标准
AV间期优化
– 二尖瓣血流多普勒超声心动图

●超声心动图能测量每个时限的血流。P波是A波的前奏电信号,QRS波是主动脉血流的前奏电信号。
●E波: 心室舒张时的被动充盈。A波: 心房收缩期心室的主动充盈。
●等容舒张时间:二尖瓣和主动脉瓣都关闭的时间。心室进行舒张过程。此舒张过程导致心室压力下降到主动脉压力以下导致主动脉关闭,但是没有下降到使血流从心房进入心室的程度。这是一个主动的过程。
较长的AV/PV间期:E峰和A峰融合
●E峰持续时间延长导致E峰嵌入了A峰
●减少了心房收缩的贡献
●舒张期二尖瓣返流增加
●减少了舒张期心室充盈时间

Fusion: E wave represents passive ventricular filling
A wave represents active ventricular filling from atrial contraction
MR: 二尖瓣返流
Passive V Filling (E wave) can not occur until V systole completed
Ventricular systole is delayed due to delayed conduction →
therefore E wave is “pushed into” A Wave (active V filling) which
occurs on time (following A systole)
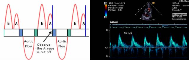
短的AV/ PV间期:导致A峰被切
●A峰被切,导致A峰不完整
-可引起血流动力学受损和加重淤血

心房压力大,导致肺静脉淤血
改善房室间期,增加舒张期充盈时间

如果心室舒张功能减退,可能出现E峰<A峰
二尖瓣血流多普勒方法的观察过程
●程控SAV或PAV短于自身PR间期
●记录下E峰和A峰
●缩短SAV或PAV 20ms直到A峰被切
●延长SAV或PAV 10ms直到A峰完整
自身传导对CRT同步治疗的影响[1]

2005年,首先有人验证了前人的研究。该文章入选了PR间期<200ms的CRT患者,观察了不同AV delay下的左室收缩指标:dp/dt max。当逐步延长AV delay 至左室起搏与自身传导发生融合时,患者获得了最佳的左室性能,此时的患者获益超过了双心室起搏。
心率对CRT同步治疗的影响[2]\u000b

除了PR的影响,单纯LV起搏是否还存在其他限制?有文章设想:不同的心率下,是否都是左室起搏优于双室呢,结果是否定的。看到这里,我总算是对于CRT的前景松了一口气,之前的文献都太不和谐了。
通过分析(LV dp/dt) and LVEDP两个指标,研究者发现心率在80左右时单左室起搏最佳,而心率超过100bpm后,双心室起搏具备更好的收缩性能。
优化AV间期—LV起搏

使用左室压力指标优化左室起搏

美敦力自己进行了相关的研究,同样以 LV dp/dt max为依据,观察左室起搏和双室起搏在不同时间点的表现。
研究结果:在先于自身传导VS事件出现前的30-90ms,单左室起搏获益最大,且由于双心室起搏。

超声指导下的LV起搏优化

另一篇发表于2011年 EuroPace杂志的研究综合评估了指标:包括EF,LVESV及MR面积,其结论将AV间期设置在70%自身传导时间,这时但左室起搏的各项指标都达到最好。
优化AV间期——BiV起搏
在不能应用单左室起搏的时候,我们还需要好好的看一看双室起搏的优化策略。正如之前讨论AV间期优化时所说的,最佳AV间期需要不断根据患者自身状态而改变。我们如何做?

ECGOPT:默认的AV间期都太短

这里展示的美敦力开展的ECGOPT研究,试图通过超声方法来找到最佳的双室起搏AV间期。
其中优化AV采用的是测量二尖瓣血流的方法,优化VV则是取最短的左室射血前间期(LV Pre-Ejection Interval)
两个图表表示在窦性心率和心房起搏下,不同患者的不同最佳间期,红线表示默认的AV设置。

根据P波宽度调整AV间期

理论也预示,P波宽度是最佳AV的最好的预测因子。通过线性分析,研究者发现双心室起搏的最佳AV出现在P波结束后30ms。我个人觉得,这30ms既是心电和心肌机械运动相耦合的时间。
当然,AV间期也不能随着P波宽度过分延长,该研究还对AV间期做出了另一个限制,既是AV间期应先于自身传导50ms。

BiV 起搏时优化AV Delay

从之前美敦力的研究我们也可以看到,在双心室起搏下,提前50ms能获得最佳的左室收缩指标。

主动脉血流速度时间积分(VTI)
●心室收缩时血流通过主动脉的速率
●与心输出量成一定比例
●“最佳的”SAV/PAV间期能产生最大的VTI值

测量主动脉血流速度时间积分


主动脉血流速度时间积分(AVTI)

VV间期优化\u000b
●– 速度时间积分(VTI)\u000b
●M型超声\u000b
●三维超声心动图\u000b

M型超声测量方法[3]
●测量左室前间隔-后壁运动延迟(SPWMD)
●目的
通过减少左室前间隔与左室后壁的时间延迟来优化患者的左室收缩功能

正常的左右心室间激动顺序

The 2nd abnormality that Multisite Biventricular pacing can cure is the interventricular asynchrony : as a routine marker of interevntricular asynchrony is the differences between the preejection interval of the left side and right side of the heart . With the standard echo is a very easily measurement of the AoEJ phase and Pulm. EJ fase. A difference of 40 msc is the maximum tollerated for a good synchronization

间隔-后壁运动延迟(SPWMD)


实时三维超声在CRT参数优化中的应用
实时三维超声心动图(Real-time Three Dimensional Echocardiography,RT-3DE)将左室容积分成16或17个节段,得到各节段收缩达峰容积-时间曲线,计算收缩不同步指数(Systolic Dyssynchrony Index,SDI)



组织多普勒超声在CRT参数优化中的应用
将左室分成12个节段,分别测量QRS起点距左室各节段收缩速度峰值的时间,(Ts),其标准差即为左室内不同步指数(Ts-SD)

CRT术后超声优化存在如下问题

腔内电图优化VV间期——BiV起搏

自身传导对VV Delay的影响

ECGOPT通过超声方法寻找到VV delay最佳值,再寻找其和心电的关联。

VV 优化


QuickOpt :基于IEGM的AV/PV间期优化


心房感知测试,优化PV/AV间期


VV间期优化



AdaptivCRT 反应率对比分析


AdaptivCRT 30天再入院分析结论


AdaptivCRT 降低 46%AF风险 \u000b\u000b


小结
●超声仍是常用的优化方法,实时三维超声、组织多普勒超声对VV间期优化实现左室内同步具有重要价值
●腔内电图仍是简便、重复性好的优化手段
●个体化、动态优化可能有效改善CRT的反应
参考文献
[1]van Gelder BM, et al. JACC. 2005;46:2305-2310.
[2]Vollman D, et al. Circulation. 2006;113:953-959.
[3]Pitzalis, MV et al. JACC 40, 9 Nov 6 2002:1615-22.
专家简介

耿召华教授
●中国医师协会高血压专委会委员,第十届全军保健医学专委会委员,重庆市起搏电生理专委会委员,重庆市老年医学会心血管病专委会委员。
●擅长高血压、冠心病、心律失常、心衰的诊治,心脏起搏器植入术