

在2017中国国际心力衰竭大会(CIHFC)暨中国医师协会心力衰竭专业委员会年会上,来自华中科技大学同济医院心内科的郭小梅教授为我们带来了“心源性休克的机械辅助泵支持 ”的精彩报告。


一、心源性休克的定义与病因
狭义心源性休克的病因:
由于心肌收缩力下降所致的心泵衰竭,使心输出量明显减少,组织灌注不足,而血容量基本正常。以急性心肌梗死最常见,其次为急性重症心肌炎不包括因静脉回流血量不足(低血容量和单纯右心室梗死)、机器性梗阻(如肺栓塞和心包疾病)、心律失常是急性左心衰竭的最后阶段,死亡前表现
Acute MI
♦Pump failure
♦Mechanical complications
♦Right ventricular infarction
Other conditions
♦End-stage cardiomyopathy
♦ Myocarditis (Fulminant Myocarditis)
♦ Myocardial contusion
Other conditions
♦Prolonged cardiopulmonary bypass
♦Septic shock with myocardial depression
♦Valvular disease, cardiac tumors
♦ Acute massive pulmonary embolism
♦Stress-induced cardiomyopathy
急性心肌梗塞心源性休克发生率
[1]


二、心源性休克的诊断
心源性休克的特征
♦1.显著的低血压(SBP <90 mm Hg或平均压较基础血压降低>30mmHg)持续30分钟以上
♦2.心脏指数<1.8 L/min/m 2或在治疗支持下<2.2 L/min/m 2
♦3.PCWP >18 mm Hg 或 RV end-diastolic pressure >10-15 mmHg
♦4.全身组织或重要脏器供血不足,少尿<30 mL/h
♦5. 院内死亡率为60%~90%

三、心源性休克处理策略
处理策略
♦早期预测,早期诊断,尽早病因治疗
♦治疗措施
病因治疗
♦改善心肌代谢
♦对症治疗
♦建立中心静脉通路
♦镇静/镇痛
♦强心/升压药物
♦动力机械支持如 IABP、ECMO、Impella Tandem Heart

四、治疗心源性休克的机械支持

ACC/AHA 指南针对心源性休克患者 PCI的建议

循环支持
(1)动脉内球囊反搏不应用于被有效控制的心肌梗死所致心源性休克患者。(弱推荐)
(2)如果需要暂时的循环支持,最好用体外膜肺氧和技术。(强烈推荐)
(3)如果手术团队对病灶定位很有经验的话,在心源性休克并发心肌梗死的治疗中可应用Impella® 5.0 设备辅助。(弱推荐)
(4)在将患者转运至专业治疗中心之前推荐就地建立动静脉ECMO循环支持。(强烈推荐)
左室循环辅助装置
对常规药物治疗无反应的心源性休克(如何定义?)
要求更强化的心脏支持---
左室辅助装置或其他血流动力学装置
以帮助心肌恢复或在合适患者桥接施行病因治疗,单独治疗疗效有限

左室辅助装置-IABP
♦STEMI后应用药物治疗不能很快稳定的心源性休克患者,建议应用IABP
♦对多支冠状动脉病变的患者支持最大
♦对冠状动脉慢血流/无复流疗效好
♦只是一种可短时间内稳定病情的暂时性手段,依赖心脏自身残存功能

IABP SHOCK II:研究结果

IABP-SHOCK II 研究的争论
♦对照组有部分( 10% )交叉到IABP组。 临床医生更信赖IABP ?
♦IABP组有5%患者未接受IABP植入,已先死亡
♦IABP组中同时接受左室辅助装置治疗的比例为3.7%,而在对照组为7.4%,两者有明显差异
♦对于CS患者应该强调尽早应用IABP以稳定循环,但本研究仅13.4%于PCI术前植入IABP
IABP:指南推荐

IABP的现状和问题
♦IABP仍然被临床广泛使用,包括心外科,但有益的循证证据缺乏
♦IABP最大局限是不能主动辅助心脏,依赖自身心脏收缩及稳定的心脏节律,且支持程度有限
♦IABP是最简单且安全的左室辅助装置,并发症很少
♦IABP不应用于被有效控制的心梗所致心源性休克患者
♦IABP最佳应用人群和最佳使用时机尚有待进一步探索
心源性休克的机械支持ECMO
ECMO
♦ECMO通过心肺旁路途径将静脉血引流至体外,经膜氧合器氧合后再灌注体内,主要用于心肺功能衰竭患者的循环和呼吸辅助治疗
♦单中心研究提示ECMO可改善患者存活,但尚缺乏大型随机对照研究
如果需要暂时的循环支持,最好用ECMO(强推荐)
ECMO plus IABP 优于 IABP or ECMO alone

ECMO并发症及局限性
♦限制ECMO疗效的最大问题。明显增加弥漫性血管内凝血、出血、溶血及血栓形成等风险,很多植入ECMO患者死于该并发症
♦还可能出现感染、末端肢体缺血、肺水肿以及中枢神经系统受损等并发症
♦lECMO对系统管道护理要求高,不适合长期循环支持

心源性休克的机械支持Impella

Impella 系统

Impella设计原理与理想心室辅助

使用安全且简易

血流动力学支持优于IABP

Impella LP2.5并发症及局限
♦Impella LP2.5并发症包括:肢体缺血、出血、溶血、弥漫性血管内凝血及感染等。
♦Impella LP2.5主要局限是由于血流的作用力,泵体有被推入左心室或主动脉内的倾向,因此如何将其维持在跨主动脉瓣的位置上是一个棘手问题。
♦Impella LP2.5提供的流量有限, Impella 5.0对心源性休克患者效果更佳。
♦目前价格较昂贵。但很可能是未来之星。
LVAD:指南推荐


五、急性心肌梗死心源性休克病例
♦患者 朱XX 男 48岁
♦主诉:呕吐、腹泻1天,伴胸痛半天
♦现病史:患者于12月4日凌晨突发呕吐、腹泻,呕吐物为胃内容物,腹泻物为黄色稀水样便,反复呕吐,腹泻数次,今晨9点左右患者出现胸骨后压迫性疼痛,疼痛程度剧烈,持续不缓解,伴全身大汗,无放射痛,无发热、咳嗽、咳痰,无头昏,晕厥等,遂至我院急诊科就诊。
♦急诊心电图提示急性下壁心肌梗死,肌钙蛋白显著升高,立即给与拜阿司匹林+倍林达负荷量;于14点55分患者突发室颤,意识丧失,行电除颤后患者心律为加速性逸博心率,15点10分,患者出现心脏骤停,行心肺复苏及气管插管、药物抢救后急诊转入我科
体格检查
♦T 36.0℃ P 90次/分 R 20次/分 BP99/65mmHg l
♦神志清楚,全身皮肤巩膜未见黄染,浅表淋巴结未及肿大,颈软
♦双肺呼吸音粗,双下肺可闻及湿性啰音,HR 90次/分,心音低钝,律齐,各瓣膜听诊区未及明显杂音,肝脾肋下未及,双下肢无水肿
♦辅助检查:我院急诊查ECG:急性下壁心肌梗死;
♦TnI 2.2 microg/L,NT-proBNP 2920ng/L;血常规:WBC 17.59*109/L,中性粒细胞 88.7%;
急诊心电图

2016-12-4PCI术后植入临时起搏器

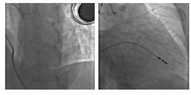
冠脉造影结果

冠脉造影结果(右冠)

2016-12-4入院当天

12-4 20:30分病情恶化
♦患者为镇静状态。
♦心电监护示:p89次/分,血氧90%(呼吸机状态下),bp86/40mmhg;
♦复查:高敏肌钙蛋白>50000pg/mL,NT-proBNP 2325 pg/mL。
♦行床边超声示:左室稍扩大并收缩功能低下(EF:13%);
♦晚8点半 给予床边IABP支持并开始准备ECMO生命支持
ECMO(急性心肌梗死 心源性休克)2016-12-4

2016-12-4ECMO+IABP+CRRT+呼吸机辅助通气

患者主要生化指标变化

血气分析

心脏彩超左心功能变化趋势

♦2016-12-6 早7点30分停多巴胺泵
♦2016-12-06 16:33
♦患者自主呼吸逐渐恢复,尝试脱用呼吸机,脱机后从气管内给氧(氧流量15 l/min),心电监护示:血压106/80mmhg,血氧100%,心律89次(起搏心律)
♦2016-12-06 20:30
面罩给氧,血压105/78mmhg,血氧100%,心律90次(起搏心律),床边超声示心脏好转,停用EMCO 。
2016-12-6---拔除ECMO

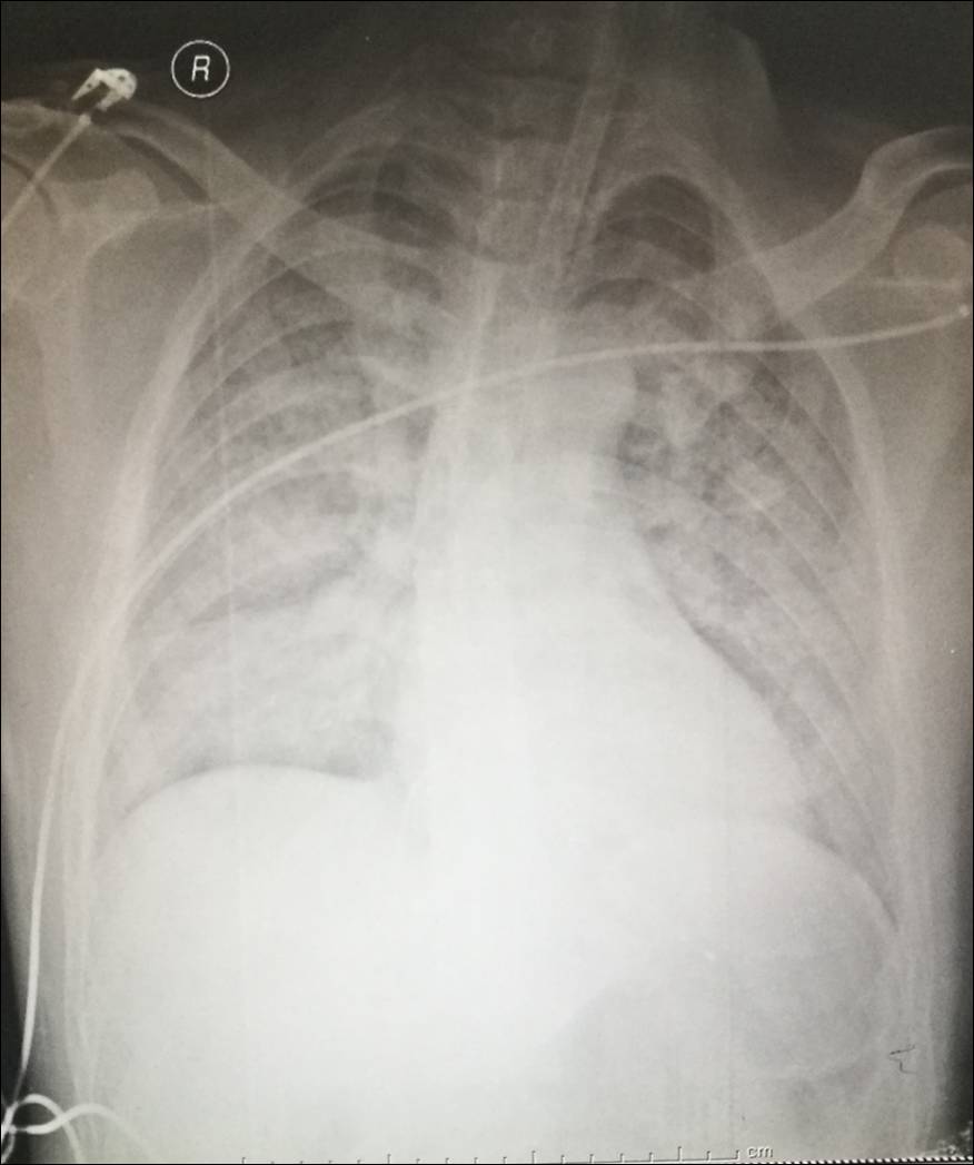
12-7 床边胸片

2016-12-8患者已恢复清醒状态,成功拔除气管插管,胃管,ECMO,撤除所有血管活性药物

主要生化指标变化

12-20 冠脉造影+PCI术

爆发性心肌炎并心源性休克
♦患者龚正霞,男,57岁。2016-11-25 16:03收住我科。
♦主诉:胸闷胸痛4天,加重1天“
♦现病史:患者于11-21早上无明显诱因出现剑突下疼痛,伴胸闷、乏力、喘气、呕吐,无腹泻。无畏寒、发热,无咳嗽、咳痰。23中午12时许患者骑车回家后再次出现胸痛、胸闷伴乏力、恶心,休息后稍缓解,下午15时许再次出现上述症状,再次于当地卫生院含服“硝酸甘油”后仍缓解不明显,晚21时许输液后症状稍有改善,2016-11-24晚22时许再次出现胸闷、恶心,呼吸困难,乏力,于蕲春县人民医院急诊查心电图示“急性心肌梗死”
入院检查

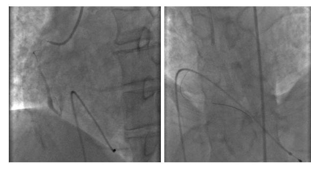
冠脉造影结果


2016-11-26(13点30分)

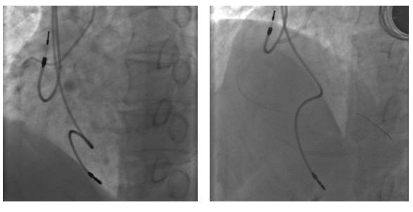
床边胸片(入院当天)

患者住院期间主要生化指标

血气分析

2016-11-28

患者继续行ECMO,IABP,呼吸机及CRRT治疗,生命体征逐步平稳
2016-11-29 -----成功撤除ECMO

ECMO运行4天,患者各项生命体征平稳,心脏彩超:EF值45-50%

六、总 结
♦CS在AHF中占4-12%,CS是ACS的极危险状态,我国发病率在增加,死亡率极高
♦加强早期评估和预测,高危患者早期转诊到PCI中心
♦处理策略是分秒必争,早期诊断,尽早病因治疗
♦强化系统综合性药物治疗,细化一般治疗,血管活性药物
♦强化原发病治疗,尽早再灌注治疗
♦ 适时尽早机械性辅助循环:IABP、ECOM、左室辅助泵等
♦IABP是最基本和安全的装置,ECMO能提供更佳的循环支持,Impella 更小巧方便,可能是未来发展方向。左室辅助装置应在药物应用不能很快稳定循环的CS患者使用
参考文献
[1]Goldberg Circulation 2009
专家简介

郭小梅教授
华中科技大学同济医学院附属同济医院心血管内科
二级教授、主任医师、博导、同济科学家、同济新铭医
美国卫生研究院博士后、德国埃森心脏中心访问教授
同济医院连续7年十佳核心人才资源奖获得者
中国医师协会心力衰竭委员会常务
中国心胸麻醉精准医学会副主委
中国心血管整合医学会副主委、
中国老年心血管保健协会副主委
武汉市心血管病学会副主任委员、结构心脏病学组组长
武汉市中西医结合学会副主任委员
湖北省络病学会副主任委员
介入心脏学专家、特需门诊专家、心电学专家
国家健康教育专家、分子心脏病学专家
武汉市100名优秀跨世纪科技人才
国际自然杂志、循环研究、动脉粥样硬化杂志发表论文临床心血管病杂志、内科急危重症杂志、医药导报等多家杂志编委。
5家医学杂志编委