

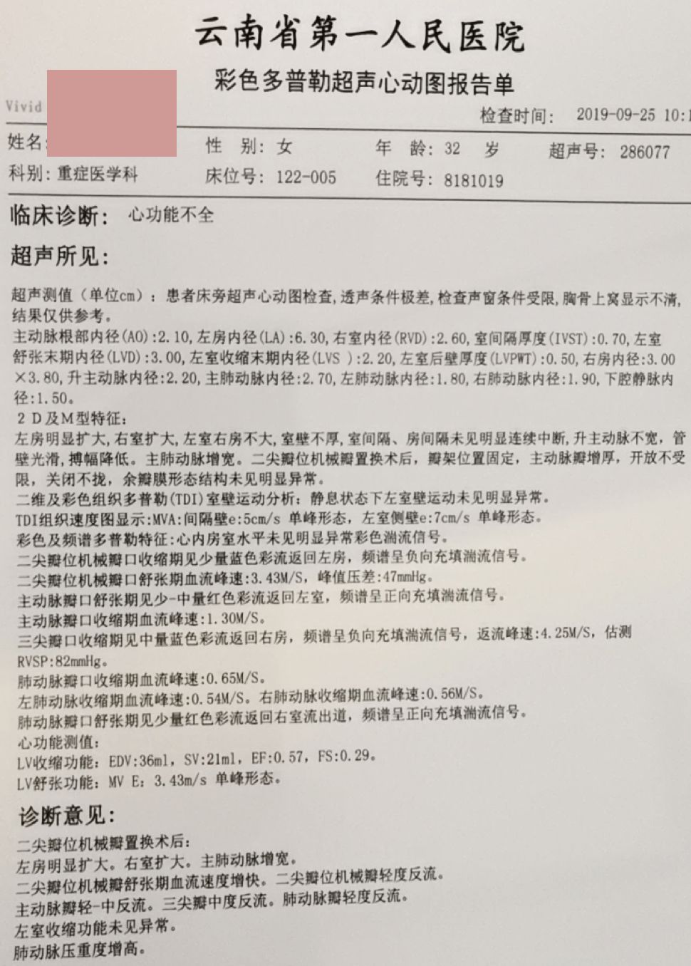
1

01
Case
LA 6.30cm
LVD 3.00cm
RVD 2.60
RVSP 82mmHg

02
右心衰的定义及病理生理
右心衰竭是任何原因引起的右心室收缩和/或舒张功能障碍。是由于右心室充盈能力不足或排血量下降导致的以体循环淤血为主要表现的综合征。

➤ 背景及流行病学


• 最开始最重要是右室游离壁的内向运动(手风琴效应)
• 右心室收缩的特点纵向纤维收缩,主要沿长轴缩短明显
• 左心室收缩对右心室有牵引作用(扭转效应)
• 收缩期左右心室的相互作用是通过室间隔介导
• 舒张期左右心室的相互作用是通过心包作用


03
右心衰的评估及诊断
• 急性右心衰竭
• 慢性右心衰竭
— 左心疾病所致
— COPD,肺间质疾病所致
— PAH所致
— 其他:右心瓣膜、复杂先心病、器械植入


➤ 右心室衰竭的评估及诊断
• 心电图
• 胸片
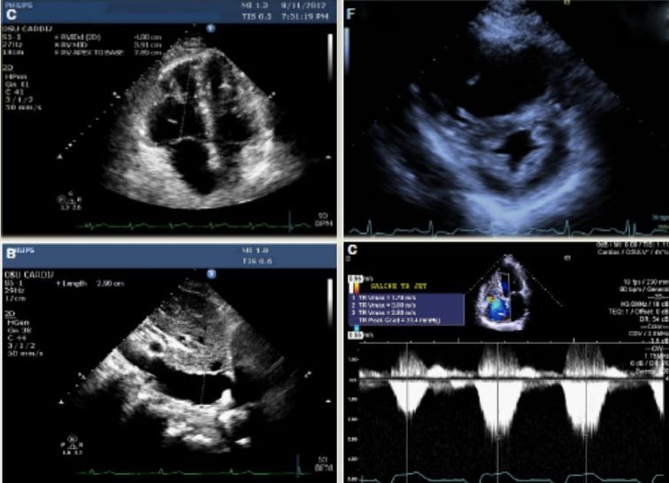
• 超声心动图
• MR
• 核素心肌显像
• 右心导管
• 六分钟步行距离实验
• 心肺运动实验
• 血浆NT-proBNP、BNP
• 肌钙蛋白I/T



• 右心室结构:室壁厚度;腔室大小:内径、面积、容积;
-右室纵向收缩功能:TAPSE、脉冲组织多普勒S波、定量组织速度成像S波、GLS
• 右心室舒张功能

• 多个血流动力学参数已被确定可作为评估发生右心衰的危险因素
• 右室功能障碍:右房压升高,特别与肺毛细血管契压升高不成比例,右房压/•肺毛细血管契压(RA/PCWP)>0.5
• 诊断肺动脉高压的“金标准”
• 压力容积环,定量测定右室功能
➤ 右心衰竭的评估:心脏核磁


6分钟步行试验:
步行距离<150m:重度心功能不全
150~425m:中度心功能不全
426~550m:轻度心功能不全

• B型钠尿肽(BNP)、心脏肌钙蛋白的检测主要应用于诊断急性右心衰。乳酸,肝功,肾功,D-二聚体。
• 目前无右心衰的特异性生物标记物,急性右心衰新型生物标记物仍在研究评估中。
中国右心衰指南建议采用以下述标准:
• 存在右心衰症状和体征;
• 存在右心结构,功能和心腔内压力增高的客观证据;
• 存在可能导致右心衰病因。
• 急性右心衰可根据引起右心衰疾病(如肺栓塞或右心梗),导致急性发作的低血压和休克而诊断。
04
急性右心衰的治疗

➤ 容量优化

➤ 各种利尿剂的作用部位和机理

➤ 血管活性药物和正性肌力药物

➤ 左西孟旦作用机制
左西孟旦是唯一不增加细胞 Ca2+含量的正性肌力药物

• 钙增敏作用 → 正性肌力作用
浓度依赖型的选择性收缩期钙增敏作用
• KATP通道开放剂 → 扩血管和心肌保护
开放血管平滑肌KATP 通道 → 扩血管
• 开放线粒体KATP 通道 → 心肌保护、多器官保护
降低死亡率,改善预后
➤ 左心左西孟旦对心衰患者右室功能的影响

➤ 左西孟旦降低平均肺动脉压作用

➤ 左西孟旦应用中需监测指标
效果评估
— 症状改善(2-3小时)
— 尿量增加(3-4小时)
— BNP下降(2-3天)
— LVEF(5天)
注意监测
基础疾病控制,去除诱因
— 血钾:大于4.0mmol/L
— 血压:收缩压不低于85mmHg
— 心率:不高于130次/分
— 心电图:监测恶性心律失常
➤ 机械循环支持

05
慢性右心衰的治疗
药物治疗:
• 利尿剂
• 洋地黄制剂
• 抗凝治疗
• 血管活性药物 硝酸酯类和硝普钠,多巴酚丁胺,多巴胺
• 血管紧张素转化酶抑制剂与β受体阻滞剂,
• 抗心律失常治疗
➤ 阶段A

• 合并右心衰竭高危因素但无器质性心脏病或心衰症状;
• 如合并肺高压(早期)、左心室异常或瓣膜疾病、心肌病家族史或 ARVD、心脏毒性药物应用史、动脉粥样硬化性疾病等。
• 治疗目标:
- 危险因素的管理
- 检测右心功能
- 家族性疾病及遗传性疾病的筛查
- 戒酒、避免使用心肌毒性的药物
- 鼓励适度锻炼

• 合并右心室功能障碍或器质性心脏病,但无心衰症状;
• 如合并肺高压、先心病、左心衰竭或瓣膜病、心肌病家族史或ARVD、无症状性心瓣膜病 、既往RVMI病史。
• 治疗目标:在阶段A治疗基础上加用
- ACEI、ARB或β受体阻滞剂
- 对于有房扑/房颤、肺栓塞性肺动脉高压及PAH的患者,考虑华法林抗凝治疗
- 对先心病、瓣膜病、肺动脉高压(尤其CTEPH)患者考虑外科手术或介入治疗
- 有适应证的患者可性ICD植入
➤ 阶段C

• 合并右心衰竭且既往或现在有心衰症状;
• 如患者合并器质性心脏病或右心室功能障碍、液体潴留、疲劳、运动耐力减退、心悸等。
• 疗目标:在阶段A、B基础上加用
- 药物:地高辛、阶段B建议药物
- 外科手术或介入:先心病、瓣膜病及肺动脉高压
- 植入装置:电复律、起搏器、ICD、射频消融、RV再同步治疗
➤ 阶段D

• 难治性右心衰竭且需特殊治疗干预措施;
• 如合并接受了最大剂量药物或介入手段或外科手术治疗后静息状态下仍有显著心衰症状、顽固性危及生命的心律失常等。
• 治疗目标:在阶段A、B、C基础上加用
- 非常规治疗:房间隔造口(PH患者)、心脏/心肺联合移植
- 长期使用正性肌力药物
- 终末期机械支持
- 试验阶段的药物或手术
- 临终关怀
06
特殊类型右心衰的管理
降低肺血管阻力
• 钙通道阻滞剂
• 前列环素及其类似物
• 内皮素受体拮抗剂
• 磷酸二酯酶-5抑制剂
• 选择性的前列环素IP受体激动剂
• 鸟甘酸环化酶激动剂
右心衰竭治疗
• 利尿剂:有静脉及全身淤血表现肺高压患者首选利尿剂治疗
• 正性肌力药:多巴酚丁胺,磷酸二酯酶抑制剂
• 避免非选择性血管扩张剂
• 经皮房间隔造口术
• 肺移植
➤ 急性右心室心肌梗死
• 冠脉血运重建基础上,包括晚期再灌注治疗。
• 慎用避免使用利尿剂,血管扩张剂和吗啡。
• 如没有左心衰和肺水肿,优化右室前后负荷,中心静脉压不足12-15mmHg,扩容治疗。补液至RAP升高,CO不增加或PCWP≥18mmHg。每次补液200-300ml,根据血压,心率,周围灌注判断疗效。
• 扩容后仍有低血压使用正性肌力药:多巴胺,多巴酚丁胺,米力农,左西孟旦。
➤ 瓣膜性病变的手术管理
三尖瓣狭窄的手术指征包括C期和D期三尖瓣狭窄,表现为T1/2≥190 ms,瓣膜面积<1.0 cm2,伴或不伴临床症状。

• 肺动脉瓣反流:严重肺动脉瓣反流合并中重度右室功能障碍、中重度右室扩大、症状性/持续性心房和心室心律失常,或中重度三尖瓣反流的患者,需考虑手术治疗或经导管肺动脉瓣置换(Ⅱa)。
• 肺动脉瓣狭窄:肺动脉瓣发育不良或合并严重三尖瓣反流的患者可进行手术治疗(Ⅰ)。
07
小结
• 右心衰是一种复杂的临床综合征,需要对右室解剖和功能有更深刻的理解;
• 心脏磁共振检查是评价右心结构、功能的金标准,右心导管是评估肺动脉压、右室舒张末压的金标准,但临床最常用的检查为心脏超声检查;
• 治疗主要针对病因治疗,改善症状以利尿治疗为主;
• 很多假说尚未得到证实,需要大量循证医学证据支持。

赵燕教授
云南省第一人民医院