

心力衰竭国际学院暨2019心力衰竭治疗研讨会期间,南京大学医学院附属鼓楼医院王涟教授为我们分享了关于《围生期心肌病的新观点》的精彩报告,现将其精华内容整理如下。

PPCM 定义的发展
定义
流行病学

发病机制
➤ 发病机制新进展——血管激素假说


➤ 发病机制新进展——抗血管生成理论

➤ 发病机制新进展——遗传理论



临床表现
European Journal of Heart Failure (2017) 19, 1131–1141
J Card Fail. 2009 Oct;15(8):645-50.
妊娠晚期或分娩后早期的呼吸困难
需鉴别PPCM

➤ 辅助检查
常规,排除鉴别诊断
NT-proBNP, 血红蛋白,感染指标,肝肾功能、甲状腺功能、血气分析
诊断关键,LVEF <45%, 心室可能扩张.

➤ 诊断
围产期急性呼吸困难——鉴别诊断


确定诊断
• ECG
• BNP
• UCG、肺部超声
• 其他检查
严重PPCM伴心肺窘迫——初始治疗

严重PPCM伴心肺窘迫——高级支持治疗
1、应用时机:当药物治疗无效时,早期应用机械循环辅助装置


➤ 短期支持:

经皮左心室辅助装置Impella

➤ 短期支持: TandemHeart 左心房-股动脉通路PLVAD



➤ 心脏移植:
➤ PPCM伴心源性休克——case report


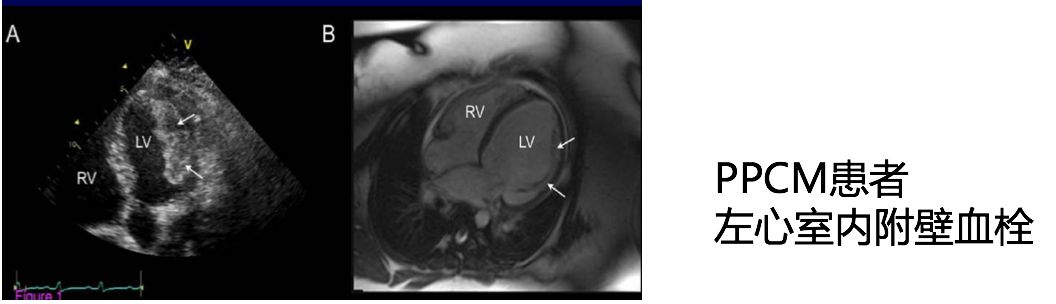
PPCM注册研究——30天的血栓栓塞事件

➤ 抗凝治疗



• 德国一项PPCM 回顾性研究,n=96
• 溴隐亭组 IMP(92 %, 59/64),NIMP(8 %, 5/64) ,非溴隐亭组(IMP: 72 %, 23/32, NIMP: 28 %, 9/32)
• β受体阻滞剂+ACEI/ARB+溴隐亭(2.5 mg bid *2w+2.5mg qd *6w)联合治疗恢复率高(达96%)


急性PPCM的BOARD疗法

➤ 母乳喂养
➤ 预防猝死
Eur J Heart Fai 2014:16, 1331–1336

• PPCM 药物优化治疗3-6个月, LVEF≤35% + LBBB(QRS>130 ms):CRT适应症
• 症状性心衰,非-LBBB (QRS 时限 >150 ms), 可考虑CRT


➤ 再次妊娠的风险


总结

王涟教授
南京大学医学院附属鼓楼医院
南京鼓楼医院心内科主任医师、硕士生导师。中国医疗保健国际交流促进会心脏重症分会江苏省副主任委员,中国医师协会心力衰竭专业委员会委员,江苏省医学会心血管病分会心衰学组成员,江苏省微循环学会委员,《中华心力衰竭与心肌病杂志》编委,国家卫计委冠心病介入培训基地导师,美国Rochester大学访问学者,江苏省六大高峰人才,发表论文30篇,SCI8 篇。获得中华医学科技奖三等奖、江苏省新技术引进奖一等奖、南京市科技进步三等奖。