

在2016年心力衰竭国际学院苏州站活动中,来自郑州大学第二附属医院心内科的黄亚萍教授给我们带来了“病例讨论”的精彩报告。

病情介绍
●患者,刘某,男,65岁,2015年10月19日第1次入院。
●主诉:间断胸闷6年,再发伴咳嗽、咳痰11天。
●现病史:6年前行走80步左右时出现胸闷、乏力症状,程度能忍受,无胸痛、心慌、颈部紧缩感、头晕、头痛、恶心、黑矇、晕厥、咳嗽、咳痰、咯血症状,休息后缓解,持续约3分钟,就诊于当地医院,诊断“房颤、心衰”,给予药物治疗(具体不详)后好转出院。
●院外规律口服: 华法林片 2.5mg qd
氯吡格雷片 50mg qd
洛伐他汀胶囊 10mg qn
缬沙坦分散片 40mg qd
硝酸异山梨酯片 5mg tid
地高辛片 0.125mg qd
氢氯噻嗪片 12.5mg qd
●能耐受日常体力活动,无胸闷、胸痛发作。
●11天前受凉后出现咳嗽、咳痰症状,痰为黄色粘痰,继而出现活动后胸闷、气短,休息后渐缓解,持续时间不等,无夜间阵发性呼吸困难症状,自服消炎、止咳药物效不佳。
既往情况
●无高血压病、2型糖尿病、高脂血症病史。
●无风湿性疾病病史。
●无肝炎、结核等传染病史,无手术外伤史,无药物食物过敏史。
●无吸烟史,饮酒35年,1两/日,戒酒1月余。
●无早发心血管病家族史。
体格检查
●T 36.5℃ P 70次/分 R 19次/分 BP 142/78mmHg SpO2 96%
●神志清,眼睑无水肿,巩膜轻度黄染,口唇轻度发绀,颈静脉怒张,肝颈静脉回流征阳性。
●双肺呼吸音粗,可闻及散在哮鸣音。
●心率78次/分,律不齐,S1强弱不等,胸骨右缘第2肋间可闻及3/6级喷射性收缩期杂音。
●腹软,无压痛及反跳痛,肝脾肋下未及,肝区压痛及叩击痛阳性,移动性浊音阴性。
●双下肢中度水肿,双侧足背动脉搏动一致。
辅助检查
1、实验室化验



2、心电图

●心房颤动
●心室率77次/分
●T波异常
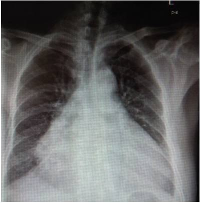
3、胸部正位片

●两肺纹理增多、紊乱。
●心影明显增大。
4、心脏彩超



●升主动脉增宽,全心增大,左室壁增厚。
●动脉瓣狭窄(中-重度)并关闭不全(轻度)。
●肺动脉高压(中度)。
●室间隔运动幅度减低。
●左心舒张功能减低。
5、外周血管彩超

方框中为右侧颈总动脉

左侧颈总动脉

方框中为右侧颈内动脉起始部

●右侧颈总动脉中段前壁可见约16×2.0mm的强回声斑块。
●右侧颈内动脉起始部后壁可见约2.5×0.9mm的点状强回声。
●左侧颈总动脉中段前壁可见约17×1.7mm的不均质低回声斑块,近分叉处前壁、内侧壁、后壁可见偏心性不均质低回声斑块,致颈总动脉分叉处狭窄,直径狭窄率约50%。

●双侧颈总、颈内、颈外动脉粥样硬化斑块形成。
●左侧颈总动脉局部轻-中度狭窄。
●双侧髂、股、腘动脉粥样硬化斑点形成,双侧髂、股、腘静脉瓣无异常。
6、消化系统彩超

●左叶肝切面大小约71×65mm,右叶肝斜径:124mm。
●三支肝静脉增宽,肝左、中、右静脉内径分别约16mm、14mm、15mm。
●符合肝淤血声像图改变。
●胆囊多发结石。
7、动态血压


动态血压正常
8、动态心电图





●心房颤动,24小时平均心室率78次/分。
●24小时室性早搏17个,有2阵成对室早。
●下壁、前侧壁ST-T改变。
9、心脏ECT检查

静息状态下,各壁心肌灌注明显减低,以心尖区及后壁为著。

●左室心腔扩大
●LVEF 32%
患者特点
1、症状:胸闷、气短、活动耐量减低、咳嗽、咳痰。
2、体征:口唇发绀、双肺哮鸣音、体循环淤血。
3、辅助检查:心脏增大、心功能标志物升高。
以上三种特点最终导致心力衰竭
4、排除肺栓塞、急性心肌梗死、气胸、呼吸衰竭。
5、病因:心脏瓣膜病、冠心病、主动脉瓣狭窄三联征:心绞痛、心力衰竭、晕厥。
6、诱因:受凉病史+咳嗽咳痰症状+肺部啰音+炎症指标=呼吸道感染。
初步诊断
1、心脏瓣膜病 主动脉瓣狭窄 心律失常 持续性房颤 慢性心力衰竭 心源性肝淤血 心功能Ⅲ级;
2、冠心病 不稳定型心绞痛?
3、肺部感染;
4、2型糖尿病;
5、左侧颈总动脉粥样硬化性狭窄
6、亚临床甲状腺功能减退症
心外科会诊

治疗方案
1、计划A:
●行CAG术明确冠脉情况。
●尽早行主动脉瓣置换术,若合并冠心病,术中同时行CABG术。
2、计划B:
●行CAG术明确病情,必要时血运重建治疗。
●经导管主动脉瓣换瓣术。
3、计划C:
●抗心肌缺血药物治疗
●抗心衰药物治疗
●防治并发症
●纠正心衰诱因
药物治疗

出院时病情
●2015年10月31日出院,出院时活动耐量改善。
●监测血压波动在110/70mmHg左右。
●心室率波动在80次/分左右。
出院医嘱:
●药物指导
●生活方式指导
●随访指导
病情进展
●患者2016年2月11日第2次入院。
●主诉:胸闷5天。
●5天前劳累后再发胸闷、气短症状,伴咳嗽、咳白色粘痰、纳差、双下肢水肿,无胸痛、心慌、恶心、呕吐、发热、咯血、晕厥症状。
●就诊于当地医院,查PT26.9s,胸片示:心影普大,心胸比0.73,双侧胸腔积液,给予“丹红针、氨溴索糖浆、地高辛片”应用效不佳,并出现晨起咳血丝痰。
入院时服药

体格检查
●T 36.5℃ P 96次/分 R 20次/分 BP 114/79mmHg
●巩膜中度黄染,口唇轻度发绀,颈静脉怒张,肝颈静脉回流征阳性。
●双肺呼吸音粗,未闻及干湿性啰音。
●心率102次/分,律不齐,S1强弱不等,胸骨右缘第2肋间可闻及3/6级喷射性收缩期杂音。
●腹软,肝肋下约4cm,剑突下约6cm,压痛阳性,移动性浊音阴性。
●双下肢中度水肿
1、快速心室率房颤
2、体循环淤血加重
急诊实验室化验

床旁心电图

●心房颤动
●心室率101次/分
●侧壁、后壁T波改变
入院后药物

实验室化验

心脏彩超

●全心增大,左室壁增厚。
●主动脉瓣钙化,狭窄(中-重度)并关闭不全(轻度)。
●三尖瓣大量返流,肺动脉高压(中度)。
●左心功能减低。
●心包腔少量积液。
●左侧胸腔积液。
患者情况

方案调整
2月16日:增加美托洛尔缓释片剂量至47.5mg,停用坎地沙坦片。
2月17日:08:00血压95/67mmHg,心率80次/分,体重65kg。
18:00胸闷、气短症状加重,伴恶心、纳差、腹胀。
全天利尿剂剂量:托拉塞米针40mg、呋塞米针60mg。
2月18日:08:00血压111/71mmHg,心率89次/分,体重67kg;复查肝功能较前无变化,血肌酐 84umol/L,ACR 57.9mg/g;加用托伐普坦片7.5mg qd po,托拉塞米针共50mg。
病情变化
1、2月19日:00:20突发胸闷、气短症状,测血压135/91mmHg→给予吸氧、西地兰针应用症状不缓解→出现烦躁不安、胡言乱语症状,血压最高180/114mmHg→如何鉴别诊断并给予有效措施?
2、首先:
患者血压突高,急查PT38.8s,怀疑急性脑血管病。
其次:
神经系统查体未见阳性体征
急诊头颅CT示:左侧基底节区及右侧丘脑腔隙性脑梗塞。
接着:
急诊胆红素较前无改变
血氨22umol/L。
再者:
复查电解质:
钾5.59mmol/L
钠133mmol/L
肾功能无急性恶化表现。
最后:
复查心肌酶示:CKMB 56U/L
心肌标志物示:
Myo 454.8ng/mL
NTproBNP 16269pg/mL。
3、首先:高钾血症、心肌损伤标志物升高、心功能恶化。
其次:查血糖1.6mmol/L
再者:高渗糖治疗
最后:症状缓解
药物调整

根据血压、心率、体重、出入水量调整药物剂量。
利尿剂方案

药物方案

临床结局
●患者无胸闷、气短症状,活动耐量改善。
●血压波动在100-110/60-70mmHg。
●心室率波动在70-80次/分。
●体循环淤血体征减轻。
●体重波动在57-57.5kg。
●6分钟步行试验402米。
●复查肾功能示:
肌酐69umol/L
估算GFR 76.37ml/min。
●复查电解质示:
K 4.04mmol/L
Na 138mmol/L 。
●复查心功能标志物示:
NT-proBNP 5582pg/ml。
思考和体会
●心力衰竭是临床综合征。
●心力衰竭是进展性疾病。
●病因干预应尽快进行,避免诱因反复打击。
●要进行有效地随访。
●新型利尿剂的应用。
●重视一般治疗,血糖管理不容忽视。