

在2016年心力衰竭国际学院苏州站活动中,来自沈阳军区总医院心力衰竭重症监护病房 的李璟昊教授为我们带来了“晚期瓣膜病合并重度心力衰竭治疗1例”的精彩讲述。

患者:尚某、女、54岁、于2015年10月29日入院。
主诉:活动后胸闷、气短10余年,加重3天。
现病史:患者10余年前开始出现活动后胸闷、气短,活动耐力差,当地医院查心脏超声示“二尖瓣关闭不全”,医生建议手术换瓣,但患者当时因症状轻,未进一步治疗。近3年患者因劳累或感染后反复出现上述症状伴随加重,曾多次住院治疗。平时在家间断服用“地高辛、呋塞米、螺内酯、卡托普利。3天前患者感冒后胸闷、气短症状明显加重,伴咳嗽,咳黄色黏痰,有时痰中带血丝,无发热、胸痛,伴尿少、双下肢浮肿,夜间不能平卧入睡,外院治疗无好转,遂转诊我院。
否认高血压、冠心病等既往病史。
体温:37.0℃,脉搏:80次/分,呼吸:24次/分,血压102/64mmHg。端坐位,慢病面容,颈静脉怒张,肝颈静脉回流征阳性。听诊两肺呼吸音增粗,双下肺可闻及湿啰音。心界向左下扩大,心率96次/分,S1增强,心律绝对不齐,二尖瓣听诊区可闻及3/6级收缩期返流性杂音,三尖瓣听诊区可闻及2/6级收缩期杂音,肺动脉瓣区第2心音增强。腹部平软,肝右肋下5cm,质硬。双下肢重度凹陷性水肿。
周围静脉压:25cmH2O
血气分析:正常
NT-ProBNP:3264pg/mL↑
肝肾功、心肌酶、TNT、血脂、甲功、凝血功能无异常
血常规:白细胞 10.7*10^9/l,N 78.4%,血红蛋白、血小板正常
降钙素原:0.081ng/ml↑
CRP:69mg/l ↑
呼吸道病原谱:肺炎支原体抗体阳性
血尿酸:764umol/L↑
糖化血红蛋白:8.10%↑
空腹血糖:7.75mmol/l

检查日期2015-10-29
左房内径(mm ):92mm
左室舒张末期内径(mm):76mm
右室内径(mm):30 mm
LVEF:47%
超声提示二尖瓣后叶脱垂并重度关闭不全,二尖瓣后叶部分腱索呈“梿枷样”改变,提示二尖瓣后叶部分腱索断裂,三尖瓣中重度关闭不全,肺动脉高压(跨三尖瓣压差 53mmHg),心包积液少量。
心电图示异位心律,快速性心房颤动,ST-T改变,室内传导延迟QRS117ms,HR113次/分。

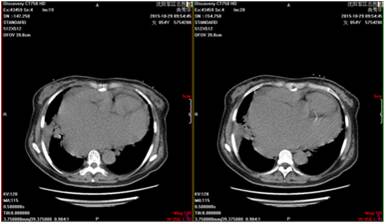
肺部CT示右肺下叶基底段见斑片状稍高密度,边界清晰。考虑:考虑右肺下叶炎症,不除外占位性病变。




动态心电图:心房颤动,偶发室早,ST-T改变,24小时平均心率83次/分。
腹部超声:肝脏体积增大,肝静脉增宽,下腔静脉内径2.3cm,提示淤血肝改变,余腹腔脏器无异常。
充血性心力衰竭心功能Ⅳ级
二尖瓣脱垂伴部分腱索断裂二尖瓣关闭不全(重度)三尖瓣关闭不全(中度)
心包积液(少量)
心律失常心房颤动
肺炎
糖尿病
抗心衰 :左西孟旦、重组人脑利钠肽静脉泵注
抗感染、祛痰:莫西沙星静脉输注. 盐酸氨溴索静注
营养心肌 :磷酸肌酸静脉输注
利尿补钾:多巴胺速尿泵 布美他尼、螺内酯、氯化钾片口服
抗凝:低分子肝素皮下注射
扩血管 :硝酸异山梨酯静脉泵注
改善心室重塑:比索洛尔、奥美沙坦酯口服


患者经上述治疗,胸闷、气短症状逐渐好转,可进行床旁轻微活动,夜内可平卧入睡。查体:颈静脉充盈减轻,双肺啰音消散,心率控制平稳,触诊肝脏质变软、体积变小,双下肢浮肿基本消退。
住院患者Barthel指数评估量表评分逐渐好转。







(复查肺增强CT,炎症部分较前有所吸收,未发现肺部占位性病变)
患者经积极治疗,心衰症状明显好转。为评估冠脉情况,完善冠脉造影检查。 后与心外科医生反复讨论该患者病情,有机会进行手术治疗,遂转入心外科。
转科前患者状态:胸闷、气短症状明显缓解,可平卧,夜内无憋醒,查体双肺啰音消散,心率80次/分,心律绝对不齐,S1增强,肝肋下3-4cm,质软,双下肢浮肿消退。
撤离呼吸机:患者于术后第2日拔出气管插管成功撤机。
术后转监护室:监测肺动脉压力波动在40-45/22-30mmHg,心输出量CO波动在4.49-5.31,CI波动在2.89-3.38之间,中心静脉压CVP12-18之间
术中探查所见:心脏重度增大,全心增大,左心室明显扩张,肺动脉扩张,主动脉:肺动脉直径1:2,肺动脉压力重度增高,心包积液250ml,二尖瓣瓣叶P2、P3腱索断裂,A3区腱索延长,瓣膜重度关闭不全,三尖瓣瓣环中度增大,轻度关闭不全



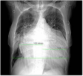
胸片提示:双肺纹理增强模糊,左侧少量胸腔积液,心胸比0.81。
复查NT-proBNP1342pg/ml。
出院后给予患者规范化治疗,长期口服药物,嘱其定期复查
患者于2016-01-04(术后1个月)来院复查。
复查NT-proBNP2397pg/ml
复查心脏超声


考虑患者大量心包积液,故在局麻下行心包穿刺置管术,心包引流约1000ml。
复查NT-proBNP1340pg/ml。
再次复查心脏超声少量心包积液。
患者于2016-02-17(术后3个月)我院复查。
复查心脏超声:


疾病诊断及分析:
患者中年女性,二尖瓣脱垂伴部分腱索断裂二尖瓣关闭不全(重度),慢性病史,因感染心衰症状急性加重。患者既往未接受规范化治疗,且未及时进行手术纠正原发病。其二尖瓣关闭不全属原发性二尖瓣关闭不全,出现二尖瓣腱索断裂、脱垂。NYHA评定心功能分级Ⅳ。
依照指南该患者瓣膜病分期

给予患者监测基础生命体征、液体出入量及血糖情况。
针对感染等诱因积极抗感染治疗。同时给予抗凝治疗预防血栓栓塞。
针对患者目前伴有严重心功能不全,给予其标准抗心衰治疗,在应用利尿剂及扩血管药物基础上,加用ACEI或ARB及β受体阻滞剂。因其心功能不全严重,院外传统方式治疗效果不佳,给予其根据心率、血压情况,先后加用左西孟旦及重组人脑利钠肽持续静脉泵入抗心衰治疗。
经过上述治疗,患者心功能不全症状能够得到改善,使得能够接受手术治疗解除原发病。
包括介入治疗及外科手术
介入治疗:MitraClip手术
外科手术治疗:二尖瓣修复术OR二尖瓣置换术

1.有症状慢性原发性严重MR(D期)和LVEF>30%的患者,推荐二尖瓣手术治疗(ⅠB类,证据水平B级)。
2.对于外科手术高危的或禁忌、心脏超声显示解剖符合标准、预期寿命超过1年的症状性重度原发性MR可行MitraClip(ⅡB类,证据水平C级)。
EVEREST研究及欧洲、美国注册研究已经证实MItraClip成功率约为75%,MitraClip有一定局限性,其在减少MR方面逊于外科修复术;目前最长随访时间2年;在EVEREST-Ⅱ研究中,1年内仍有20%需要再次介入治疗;该技术有严格入选标准,并非所有患者都适合该类手术。
指南特别强调对于有手术指征的患者,优先推荐二尖瓣修复,这是因为: 1)二尖瓣修复较二尖瓣置换有着更低的手术死亡率; 2)二尖瓣修复术由于保持了二尖瓣结构的完整性较二尖瓣置换能更好地保护左心室收缩功能; 3)二尖瓣修复可以避免人工瓣膜固有的风险如机械瓣栓塞或抗凝出血或生物瓣衰败等。
患者外科术后预后预测因素包括年龄、心房颤动、肺动脉高压、术前左室功能、瓣膜可修复性。

该患者为二尖瓣脱垂伴部分腱索断裂 二尖瓣关闭不全(重度),近3年因心衰反复加重,未接受规范化治疗,且未及时进行手术纠正原发病。此次住院心功能极差,心衰症状明显,无法立即耐受外科手术。遂于我科住院调整心衰治疗,症状缓解后行外科手术。术后心脏超声左房、左室内径较前减少,LVEF有所提升,临床症状明显好转。但由于其心脏内径增大,LVEF减低,错过最佳手术时机,故而外科术后反复出现大量心包积液。
如患者能够早期接受规范化治疗并接受手术,可能得到较为满意的治疗效果。
及早明确诊断,并启动规范化治疗,合理选择手术干预时机,方能取得较好预后。
患有心脏瓣膜病,如其心功能不全加重,为避免手术,单纯药物治疗,可能会错过最佳治疗时机。
内科治疗:规范化诊治,延缓心功能进一步恶化,减轻临床症状,使得重症患者能够耐受手术。
外科治疗:恰当时机进行手术干预,及早解除病因,取得满意预后。