

在第15期全国心力衰竭骨干研讨班活动中,来自北京协和医院心内科方理刚教授带来了题为“射血分数保留心力衰竭的超声评估”的精彩报告。

一、心衰的定义
心 衰
[1]
心脏结构和/或功能异常引起静息或负荷下心搏量降低和/或心内压力升高的临床综合征。
症状(如呼吸困难、踝部水肿和乏力)±体征(如颈静脉压升高、肺啰音、外周水肿)
射血分数保留的心衰(HFpEF
[2]
通常称为舒张性心衰,病理生理机制尚不明确
左室舒张期主动松弛能力受损,心肌顺应性降低(心肌细胞肥大伴间质纤维化)
导致左室舒张期充盈受损,CO减少,LVEDP升高
氧化应激、炎症反应、冠脉微血管障碍等
二、HFpEF诊断
心衰诊断流程
[3]

不同类型心衰的定义(ESC2016)

利钠肽:BNP > 35pg/ml; NT-proBNP > 125pg/ml
在心衰早期阶段(尤其HFpEF)或利尿剂治疗后的患者体征可不存在

V =7D3/(2.4+D) (Teichholz校正公式)
EF(%) =(Vd-Vs)/Vd


HFpEF诊断更具挑战性
◆LVEF正常, 心衰的症状和体征常无特异性,与一些临床疾病不能很好区分。
◆在老年、肥胖、慢性肺疾病患者症状和体征识别困难。
◆在伴共病和无明显液体负荷过重的老年患者中慢性HFpEF的诊断困难。
◆除了LVEF,需要静息或运动时舒张功能不全的客观测定。
HFpEF诊断需要以下条件
◆1.心衰的症状和/或体征存在。
◆2.保留的LVEF[≥50%(人为定), 或HFmrEF 40-49%]
◆3.利钠肽升高(BNP >35 pg/mL和 /或 NT-proBNP>125 pg/mL
◆4.引起HF的心脏功能和结构变化的其它客观证据
◆5.在不确定的患者,应用负荷试验或有创检查测定LV充盈压升高,来证实诊断。

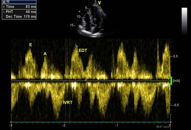
心脏舒张期


二尖瓣口血流随跨瓣压差变化而改变,与压力曲线的关系,可反应充盈压


二尖瓣口流速与LA-LV压力阶差
◆E峰流速主要反映舒张早期LA-LV压力阶差,它同时受前负荷及LV松弛功能的影响。
◆A峰流速反映舒张晚期LA-LV压力阶差,它受LV顺应性及LA收缩功能的影响。


二尖瓣血流充盈模式
◆由E/A比值及DT决定的
◆正常、松弛功能障碍(I级)、LV假性正常化充盈(II级)及LV限制性充盈(III级)。
◆不典型的模式,如三相二尖瓣血流速度模式。


[4]



三、超声心动图
[4]
◆是能较好评估舒张功能的无创方法。(核医学,CMR)
◆目前还没有一个特异的指标可以单独应用于舒张功能的评估;需要多参数综合评估;
◆左室舒张功能障碍的分级应建立在有无左室充盈压升高的基础之上
◆关键性结构参数
左房容积指数(LAVI) >34 mL/m2 ,
左室质量指数(LVMI,g/m2) : 男性 ≥115 ,女性 ≥95
◆关键性功能参数
间隔和侧壁平均e’< 9cm/s
E/e′ ≥13
◆其它参数
三尖瓣反流速度( >2.8m/s ),与充盈压相关
长轴应变
LVEF正常患者左室舒张功能不全的诊断流程


超声判断左室舒张功能分级

舒张功能超声心动图负荷试验
◆适应症:静息超声不能解释的气短(尤其在活动时)或超声表现为Ⅰ级舒张功能不全;
◆方法:采用半仰卧踏车或平板运动方式,静息状态下,记录 TR、二尖瓣 E 峰峰值、二尖瓣环 e’;运动过程中、运动结束后1-2min记录相同指标;
阳性指征
满足以下三个条件:提示充盈压升高
①平均 E/e’>14或室间隔 E/e’> 15;
②三尖瓣最大反流流速(TR)> 2.8 m/s;
③室间隔 e’<7cm/s,或侧壁e’<10 cm/s


Valsava 动作

Valsava 动作
◆Valsava 动作是在深吸气后屏气,闭住口鼻用力做呼气动作。
◆Valsava 动作使前负荷减少,二尖瓣口血流由假性正常化模式转变为松弛障碍模式。
◆在心脏病患者,E/A比值减少≥50%对提示LV充盈压增高具有高度特异性。
舒张功能负荷试验
[5]

舒张功能负荷试验(-)


舒张功能负荷试验(+)





其它超声指标
二尖瓣:
E/A, E, A
DT,
IVRT
e’,a’,E/e’
LAI
肺静脉:Ar,S, D



房颤中HFpEF诊断困难
◆AF本身引起利钠肽升高
◆AF使LAVI升高
◆AF中舒张功能不全的功能参数较少
◆AF和HFpEF的患者特征相似
◆AF亦是HFpEF的征象
◆与窦律HFpEF相比,AF HFpEF心衰更重
房 颤
◆TR > 2.8 m/s提示 LAP升高;
◆LVEF下降的患者,二尖瓣E峰DT≤160ms提示左室舒张压升高,临床预后较差;
◆ 其他提示有舒张功能障碍的指标:
①二尖瓣E峰加速度≥ 1900 cm/s2
② IVRT ≤65 ms
③肺静脉 D 波减速时间≤220 ms
④ E/Vp ≥1.4
⑤ E/e’≥11

CASE
◆男性,57岁 ,阵发房颤1年余
◆2型糖尿病
◆超声心动图(ECHO)示心房大小正常范围,左室射血分数 60%
◆消融术后第2日夜间患者突发胸闷、憋气、强迫端坐位,咳嗽,咯白色泡沫痰
◆NT-proBNP 由术前155pg/ml升至776pg/ml;
◆动脉血气分析:pH 7.45, pO2:50.6mmHg, pCO2:29.7mmHg;


四、小 结
◆HFpEF诊断:症状、体征、利钠肽、ECHO(包括负荷试验),结合临床。
◆ECHO应多参数结合判断左室舒张功能。
参考文献
[1]2016 ESC Guidelines for the diagnosis and treatment of acute and chronic heart failure
[2]中国心力衰竭诊断和治疗指南2014
[3]2016 ESC Guidelines for the diagnosis and treatment of acute and chronic heart failure
[4]J Am Soc Echocardiogr 2016;29:277-314.
[5]Penicka M, et al. Heart 2014;100:68–76.
专家简介

方理刚,北京协和医院心内科主任医师、教授、内科学博士,博士生导师,心内科副主任。本科毕业于浙江大学医学院医学系,在中国协和医科大学获得内科学硕士及博士学位。2005年曾在美国UAB医学院附属医院心内科做Research Fellow。
长期从事心血管内科的临床、科研、教学和医疗保健工作。在应用超声心动图诊断各种心血管疾病方面有20余年的临床经验。和心内科同事建立了北京协和医院心内科心衰团队,设立了心衰心肌病门诊。对心肌梗死、各类心肌病、糖尿病等引起的心力衰竭的诊治具有丰富的经验。在《中华心血管病杂志》、《Eur Heart J》、《J Am Soc Echocardiogr》、《Eur Heart J Cardiovasc Imaging》、《Echocardiography》、《Circulation Journal》等杂志至今发表中英文文章190余篇, 近8年一直主持《中国心血管杂志》心血管疑难病例解析专栏。参与撰写18本专业著作,主译Mayo Clinic的《the manual of echocardiography》