在第15期全国心力衰竭骨干研讨班活动中,来自中国人民解放军总医院的董蔚教授带来了题为“心力衰竭患者容量管理及超滤治疗的应用”的精彩报告。

一、心力衰竭概况
◆心力衰竭是任何心脏结构或功能异常导致心室充盈或射血能力受损的一组复杂临床综合征。是冠心病、心肌梗塞、心肌病、高血压病等诸多心血管疾病的最终共同归宿。
◆急性失代偿心衰突出的临床表现是液体潴留,引起肺、肝、肠道等脏器和外周充血,由此产生一系列临床症状。症状驱动患者住院治疗。
心力衰竭是严重的全球问题
[1]
◆美国现有500万慢性心力衰竭患者,年新增55万,年死亡50万,心衰是65岁以上人群最主要的住院原因。
◆每年以急性失代偿性心衰为主要诊断的住院患者愈100万例,作为第二诊断入院者愈200万例。
◆心衰是医疗保险单病种开支最大的疾患,美国2009年花费约370亿美元。
中国心力衰竭流行病学资料
[2]
◆2000年中国35~74岁人群慢性心力衰竭患病率为0.9%;男性0.7%,女性1.0%;
◆北方高于南方,城市高于农村。
◆心衰患病率随着年龄增加显著上升。
◆近二三十年来,引起心力衰竭的主要原因已从风湿性瓣膜性心脏病转为冠心病。
中国心力衰竭注册登记研究的初步结果
◆目前心力衰竭患者平均年龄为(66±15)岁,呈上升趋势,54.5%为男性,纽约心脏协会心功能Ⅲ~Ⅳ级占84.7%。
◆心力衰竭的主要合并症构成发生明显变化,瓣膜病所占比例逐年下降,高血压(54.6%)、冠心病(49.4%)及慢性肾脏病(29.7%)成为主要合并症。
◆感染仍是心力衰竭发作的首要诱因,占45.9%,其次为劳累或应激反应(26.0%)以及心肌缺血(23.1%)。
◆住院心力衰竭患者利尿剂的使用率变化不明显,地高辛的使用率(26.1%)受国际临床研究的影响呈下降趋势,血管紧张素受体拮抗剂(24.6%)、醛固酮受体拮抗剂(55.4%)及β受体阻滞剂(50.6%)的使用率明显上升。
主要治疗目标:清除体液
液体潴留是心衰患者住院的主要原因

心衰钠水潴留机制

二、心衰治疗 — 利尿剂
目前指南中对于急性心力衰竭药物治疗中利尿剂的推荐仍是I级推荐

冲击剂量/持续静滴、低剂量/高剂量利尿剂对临床症状和肌酐水平的影响

利尿剂不能充分解决心衰的液体潴留
[3]

利尿剂的利和弊
【利尿治疗的有益作用】
◆增加尿量,减少总体液量
◆缓解临床症状
【利尿治疗的不良作用】
◆直接激活RAAS系统
◆增加心肌醛固酮摄取
◆K, Mg, Ca丢失, 继发心肌细胞Ca loading
◆间接降低心排量
◆增加血管阻抗
◆降低尿钠排泌和肾小球滤过率
◆与致残率、病死率增加相关利尿剂可能增加死亡
【使用利尿剂增加死亡风险】

利尿剂治疗心衰:有用?有害?还是必须之害?
利尿剂是双刃剑,用其利,难以避其弊,临床上的两难选择

新型利尿剂:托伐普坦
◆可试用新型利尿剂托伐普坦,这是一种血管加压素V2受体拮抗剂,具有利水不利钠的独特作用,其加用可迅速发挥作用,极其适合严重水肿而常规利尿剂疗效不佳或伴利尿剂抵抗的患者。心衰伴低钠血症或伴肾功能受损患者尤为适用。
◆中国心衰指南2014中积极推荐该药的应用。近几年在我国应用的实践已证实该药确有优良的利尿效果。
作用机制:AVP在肾脏集合管作用
[4]

那么我们详细讲解下血管加压素对于肾脏集合管V2受体的作用
血管加压素(AVP)刺激位于肾脏集合管细胞基侧膜上的V2受体, 继而激活细胞内一系列生化反应,最终将水通道2打开,使自由水通过水通道蛋白2进入集合管细胞,然后再通过水通道蛋白3和4进入血液。
在这个过程中,水通道蛋白2起主要调节作用, 只有血管加压素存在,才会被打开
Reference: Mayinger B, Hensen J. Nonpeptide vasopressin antagonists: a new group of hormone blockers entering the scene [review]. Exp Clin Endocrinol Diabetes. 1999;107:157-165.
托伐普坦作用机理

苏麦卡(托伐普坦)是高选择性血管加压素V2受体拮抗剂,其与V2受体的亲和性是天然血管加压素的1.8倍,V1受体的29倍, 对V1b受体没有作用。
这张图阐述了托伐普坦的作用机理:
正常状态下,肾小管集合管对自由水是不通透的;
病理状态下,抗利尿激素(ADH)增高,作用于肾小管集合管上的V2受体,打开水通道,让集合管中的自由水重新回到血管中,增加了血管容量 导致低钠血症
服用苏麦卡后,苏麦卡与肾脏集合管的V2受体的结合,阻止了抗利尿激素的作用,水通道蛋白2从内膜上脱落,并使其表达降低;将病例状态下出现的水通道重新封住,1-4
苏麦卡(托伐普坦)增加尿液中水的排泄,且是不含电解质的游离水的排泄, 这样就减少水储留, 从而降低血容量并使血钠离子能恢复到正常水平
Kumar S, Berl T. Vasopressin antagonists in the treatment of water-retaining disorders. Semin Nephrol. 2008;28:279-288.
Shoaf SE et al. Pharmacokinetics, pharmacodynamics, and safety of tolvaptan, a nonpeptide AVP antagonist, during ascending single-dose studies in healthy subjects. J Clin Pharmacol. 2007;47:1498-1507.
Verbalis JG. AVP receptor antagonists as aquaretics: review and assessment of clinical data. Cleve Clin J Med. 2006;73(suppl 3):S24-S33.
Mayinger B, Hensen J. Nonpeptide vasopressin antagonists: a new group of hormone blockers entering the scene [review]. Exp Clin Endocrinol Diabetes. 1999;107:157-165.
三、超滤治疗-心衰容量管理
[5]

如何看待超滤治疗对于心衰的 治疗作用

体重的变化

液量的变化

肌酐的变化

对于再住院率的影响

对于死亡率的影响

超滤治疗用于心衰在指南中的推荐

中国心衰指南2014:心衰的超滤治疗(Ⅱa类,B级)
◆机制:对于心力衰竭患者,超滤治疗和静脉连续利用利尿剂相比,在液体丢失方面二者无明显差异,但能更有效地移除体内过剩的钠,并且可以降低患者因心衰再住院率(UNLOAD研究证实)。
◆但CARRESS-HF研究表明在急性失代偿性心力衰竭合并持续淤血和肾功能恶化的患者中,在保护96小时肾功能方面,使用阶梯式药物治疗方案优于超滤治疗方案,两种治疗体重减轻方面类似。超滤治疗与较高的不良反应事件相关。
中国心衰指南2014:心衰的超滤治疗的适应证:
◆对急性心衰有益,但并非常规应用的手段。
◆出现下列情况之一时可以考虑采用:
(1)高容量负荷如肺水肿或严重的外周水肿,且对利尿剂抵抗
(2)低钠血症(血钠<110mmol/L)且有相应的临床症状如神志障碍、肌张力减退、腱反射减弱或消失、呕吐以及肺水肿等

超滤治疗优点

◆血泵速度:0~50ml/min
◆超滤量:0~600ml/h
◆体外循环管路总容量65ml

超滤治疗并发症
◆低血压
◆与抗凝相关的出血
◆血管穿刺并发症
◆管路或滤器内凝血
◆滤器破膜漏血
并发症——低血压
◆超滤速度太快可能引起
◆通常发生在后程或结束前
◆监测血压和心率
—如收缩压低于90mmHg,或比基线血压下降大于30mmHg,应降低超滤量,必要时补充NS或胶体液
- 若持续20分钟后仍有低血压,应中止超滤治疗
并发症——与抗凝相关的出血
◆因肝素抗凝,有引起出血的风险
预防及处理措施包括:
◆超滤前应评估出血风险
◆检测APTT,保持在65-85秒
如有严重出血事件,应暂时停用肝素,并按标准方法给予鱼精蛋白中和肝素,采取止血措施,必要时输血
SCUF过程中监测内容
◆生命体征(随时)
◆患者主观症状,体位(随时)
◆出入量(每日)
◆体重(每日)
每日一次:血常规、尿常规、肝肾功,电解质、总胆红素、直接胆红素,白蛋白, 床旁胸片、中心静脉压
◆每2-4小时一次: APTT、指氧饱和度,穿刺部位渗血、出血情况
四、病例分享
◆李XX,女性,88岁
◆主因发作性胸闷胸痛5天入院。
◆2016年4月26日无明显诱因出现胸闷胸痛,持续约1小时候自行缓解,但此后逐渐出现不能平卧,感气短,外院检查提示心肌酶升高,心电图提示II、III、aVF导联Q波形成。
◆入院查体:血压132/87mmHg,心率81次/分 ,型肥胖,坐位,颈静脉未见明显怒张,双肺呼吸音粗,双肺底可闻及湿罗音,肝脏未触及,腰骶部及双下肢无水肿。
◆诊断“急性下壁心肌梗死,Killips III级,高血压3级”
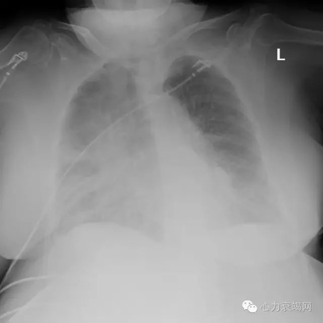
胸片(2016-5-1)

超声心动图
◆左心室舒张末内径45mm
◆左室射血分数41%
◆左房前后径41mm
◆下腔静脉24(14-21mm)
◆左房扩大,余房室腔大小形态正常,静息状态下可见下壁室壁变薄,运动减弱,左室整体功能减低。
◆印象:节段性室壁运动障碍(下壁),左室整体功能减低,二尖瓣中度反流
出入量情况

病 程
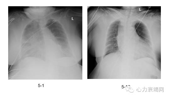
◆5-7超滤后呼吸困难症状明显减轻,夜间可以平卧,食欲改善,查体湿啰音消失
◆为了改善症状,使患者能够接受PCI,5-12日第二次超滤,后复查胸片明显改善
◆5-13行PCI治疗,因患者肾功能不全,当天24h给予800ml生理盐水水化
◆术后间断静脉利尿剂维持
胸片

血肌酐变化趋势

血BNP变化趋势

五、问题及思考
◆早期 vs 利尿剂抵抗
◆间断 vs 持续
◆肌酐轻度升高时的注意事项
◆对于不可纠正的原因,如瓣膜病,长期间断使用?
◆症状/体重/液量/血压,谁为主导?
六、 总 结
◆利尿剂作为治疗ADHF的一线药物主要在于解除容量超负荷,改善症状,非改善预后药物,依然存在利尿剂抵抗等问题。
◆血液超滤治疗心力衰竭纠正心衰患者水钠滞留和容量超负荷,是心衰容量管理的重要临床手段
◆超滤治疗的时机、疗程、方法、节点等依然有许多问题需要回答
[1]中华心血管病杂志 2003;31(1):3-6
[2]中国心血管病报告 2015
[3]ADHERE Registry. 2003 National Benchmark Report. http://www.adhereregistry.com
[4]Adapted from Mayinger et al. Exp Clin Endocrinol Diabetes. 1999;107:157-165.
[5]Cardiorenal syndrome type 2: from diagnosis to optimal management
Ther Clin Risk Manag. 2014;10:949-961.
女,副主任医师,擅长慢性心力衰竭、冠心病及高血压、高脂血症的诊治。