

在深圳心力衰竭国际发展论坛暨心力衰竭治疗研讨会•深圳站活动中,来自中山大学附属第五医院心血管内科的陈剑教授为我们带来了题为“心脏瓣膜病介入治疗进展”的精彩报告。

Royal Brompton Hospital
始建于1841年
国家心肺研究所 · 伦敦帝国理工大学
英国最大的心肺专科医院
结构性心脏病介入技术
◆经导管主动脉瓣修复
——Evolut R …
◆经导管二尖瓣修复术
——腱索修复
Harpoon
NeoChord
——瓣膜修补
MitraClip
——瓣膜置入
Tendyne
Direct Flow
◆左心耳封堵/缝扎
——封堵
Watchman
Amulet (ACP)
——缝扎
LERIAT
经导管主动脉瓣置入(TAVI)

Evolut R
◆Evolut R 是一个自膨式、可回收、可重新定位的经导管主动脉瓣置入系统
——更低的输送外径 (22F→18F, >5mm FA)
——定位更准确
可回收、可重定位
释放手柄与瓣膜展开1:1 响应
自动居中
——瓣环更贴合
减少瓣周漏
减少永久起搏器植入

CE Mark Study

结论:
Evolut R 在1年随访中表现出优越的安全性和有效性
无瓣膜血栓形成、血栓栓塞、瓣膜移位、感染性心内膜炎事件,无瓣膜退行性变证据




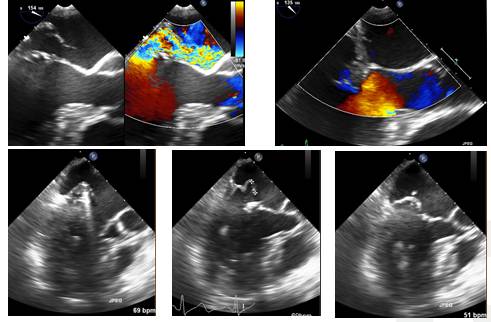
Case 1
◆男性,87岁
◆主诉:进行性劳力性呼吸困难12月,上斜坡时明显,无胸痛或晕厥
既往史:1992年冠脉搭桥,永久性房颤,高血压3级,左肾动脉70%狭窄
◆辅助检查:
Hb: 90, Cr 65 (CC: 90), BNP: 202
经胸心脏超声:三叶式主动脉瓣,瓣叶明显增厚、钙化,开放受限,PG max62/mean37mmHg, AVA 0.54 cm2, EF 47%, mild AR; Mild-moderate MR, Moderate TR
冠脉造影: RCA & LAD桥血管通畅
◆


Our study
◆Objective
To evaluate the performance of Evolut R in a broader and larger real-world population vs that in the device’s CE Mark clinical trial
◆Method
Consecutive patients with symptomatic severe aortic stenosis (including mixed aortic valve disease) or bioprosthetic aortic valve failure receiving Evolut R at our institution during the period, Jan-Nov 2015, were examined.
Our study included patients who would otherwise have been excluded from the device's CE Mark trial
[1]



Conclusion
◆The performance of the Evolut R system observed in its CE Mark clinical trial appears reproducible in our larger and broader cohort of real-world patients.
◆The Evolut R system appears safe and effective in the treatment of high surgical risk patients with symptomatic severe aortic stenosis, mixed aortic valve disease or bioprosthetic aortic valve failure.
经导管二尖瓣修复(TMVR)
◆腱索修复
Harpoon (全英第1例,内外科医生联合)
NeoChord (外科医生操作)
◆瓣膜修补
MitraClip (经导管二尖瓣钳夹术,内科医生操作)
◆瓣膜置入
Tendyne (全英第1例,外科医生操作)
Direct Flow (内、外科医生操作)
二尖瓣返流及治疗
◆退行性改变所致的退行性二尖瓣反流(Degenerative Mitral Valve Regurgitation, DMVR)是发达国家中最常见的心脏瓣膜疾病之一
◆DMVR涉及瓣膜结构和功能的一系列的变化,主要包括腱索的延长、断裂,瓣叶的增厚并最终引起瓣膜整体功能的不协调,导致二尖瓣反流的发生
◆外科手术修复腱索使用的人工腱索采用ePTFE制作,能够校正由于腱索断裂或伸长导致的二尖瓣脱垂。主要问题是创伤大、开胸、体外循环,难以准确估测所需腱索长短
Harpoon


结论
所有患者(n=11)的腱索均成功置入,平均总手术时间为 108 分钟。患者不用输血、术中正性肌力药物或升压药,也没有围手术期卒中、新发生肾功能衰竭、术后房颤或心肌梗死
一名患者在术后 2 个月发现有症状性重度二尖瓣关闭不全并接受心脏手术,发现三对 ePTFE 腱索有一条在心外膜心尖处揭开,但依然拴在小叶结上。该患者经成功二尖瓣修复和环套成形术后出院

Case 2

TAKE HOME MESSAGE
◆心血管病介入治疗技术日新月异
◆MDT在结构性心脏病介入治疗的必备条件
◆心脏超声医生是介入室最重要的成员与朋友
参考文献
[1]*Manoharan G, et al. JACC Cardiovasc Interv. 2015;8:1359
本文是讲者陈剑根据其在2016年英国的访学见闻所整理
专家简介

陈剑
医学博士,副主任医师,中山大学附属第五医院心内科二区主任
2002年本科毕业于中山大学临床医学系,2012年获医学博士学位。一直在中山大学附属第五医院从事临床、科研与教学工作,大内科基础扎实。曾在北京阜外心血管病医院及精研冠心病介入诊治技术,曾参加中山大学-约翰•霍普金斯大学医学院的临床研究人员强化培训,由国家公派到英国心肺研究所皇家布朗普顿医院访学研修心脏介入技术及临床研究。
擅长心血管急危重症诊治及冠心病的介入治疗,熟悉血管内超声、冠脉血流储备等技术的操作及结果判读。主要从事心肌梗死后交感神经重构与心律失常的研究工作。
近年来主持省级和厅局级科研项目各2项,参与国家自然科学基金项目1项(排名第二),获中山大学“五个五”青年培育项目;以第一作者或通讯作者发表论文10余篇,其中SCI收录9篇;参编专著6部,共计13余万字。
现为广东省高等学校“千百十工程”校级培养对象、中国医师协会心力衰竭专业委员会青年委员会委员、广东省医师协会心血管内科医师分会第二届委员会委员和中国经导管瓣膜病介入治疗联盟会员。获中山大学2014学年度医科优秀长学制全程导师称号,获2017年获首届“南粤好医生”称号。