

在2017年心力衰竭国际学院北京站活动中,来自华中科技大学同济医院心内科的郭小梅教授为我们带来了题为“冠心病缺血性心肌病的介入治疗”的精彩报告。

一、缺血性心肌病的定义与病因
缺血性心肌病ischemic cardiomyopathy, ICM
◆ICM,心力衰竭型和心律失常型冠心病,是冠状动脉以多支病变,高度狭窄或完全闭塞,导致慢性广泛心肌缺血、坏死、凋亡、弥漫性心肌纤维化,引起的心脏扩大、心律失常/心力衰竭
◆1995年WHO/ISFC工作组将ICM定义为
——表现类似扩张型心肌病伴心功能不全
——但不能用冠状动脉病变或缺血损伤程度来解释的收缩功能受损
缺血性心肌病预后差
◆缺血性心肌病的发病率不断增高
——人口老龄化
——急诊PCI延长ACS事件HF患者的生存时间
◆预后不良,存活率低
◆药物治疗效果差
——EF<35%患者4年存活率35%一60%
◆广泛的CA病变、存活心肌数量、EF值、脑肾动脉病变与功能是其生存期缩短的独立危险因素
主要危险因素

二、缺血性心肌病的发病机制
发病机制
◆冠心病所致心衰在不同阶段机制不同。心绞痛患者仅有心肌缺血,在症状发作时可有心脏收缩和(或)舒张功能异常,如果范围较大会导致一过性心衰
◆MI时心衰与坏死心肌的部位和数量相关
——坏死心肌≤20%,且处于非重要部位,EF可正常
——坏死心肌>30%或累及重要收缩部位,EF降低,患者心衰
◆心肌长期严重缺血可导致多灶性心肌梗死、心肌凋亡和心肌冬眠,弥漫性心肌纤维化或心脏结构变化,左室射血分数(LVEF)降低,引起充血性心衰
◆自主神经紊乱致心脏调控失衡
◆细胞因子损伤心室舒缩功能
心肌缺血对左室功能的响
◆ICM时坏死心肌、缺血心肌、顿抑心肌、冬眠心肌组织相互掺杂共同影响心室收缩功能
◆心肌顿抑:
——缺血心肌再灌注后需数分钟、数小时或数天才能恢复收缩或舒张功能
——心肌仍存活
◆心肌冬眠:
——冬眠心肌累及心室肌兴奋收缩耦联
——部分心肌仍存活,数周、数月、数年,但收缩功能低下
——缺血纠正后, 心功能恢复正常
冬眠心肌及其意义
◆冬眠心肌 hibernating myocardium
——是指由于慢性冠状动脉血流减少所致的静息状态下可逆性心肌的功能受损的状态
——存活的心肌,收缩功能慢性受损
——自我保护机制,灌注与收缩匹配
——CA严重狭窄时减轻心肌缺血及细胞损伤
◆严重冠状动脉狭窄的患者十分常见
◆在有大量存活心肌的节段,严重受损的左室节段运动功能在血管重建术后可迅速改善
三、缺血性心肌病的诊断
◆临床分类
◆Pantely分类:限制型及扩张型
◆限制型缺血性心肌病
——心室舒张功能减退为病生基础,即僵硬心脏综合征
——心影及心室腔增大不明显
——临床有心肌缺血及左心功能不全等表现
——心脏收缩功能正常或仅轻度受损
◆扩张型缺血性心肌病
——心室腔明显扩大,慢性充血性心力衰竭为表现
——心绞痛见于病程的某一时期,每随HF症状的加剧而减轻
——心律失常
——以室性早搏、心房颤动及左束支传导阻滞
——血栓性栓塞症状:14%~24%,好发于心房颤动及心腔明显扩大者
临床诊断
◆肯定条件
——有患冠状动脉疾病的依据(心绞痛、心肌梗死、冠脉造影阳性)
——心脏轻/中/重度扩大
——严重心力衰竭
◆凡患者存在心脏扩大、心力衰竭及心绞痛等典型临床表现或冠心病心电图特征,且有明确冠心病危险因素和病史者,在排除其他导致心脏扩大原因后即应考虑,确诊需要冠脉造影
◆否定条件
——除外冠心病并发症(室壁瘤、室间隔穿孔、乳头肌功能不全)引起的心力衰竭
——除外其他心脏病或其他原因所致心脏增大和心力衰竭
冠状动脉动脉结构特点
◆最常见冠状动脉广泛的粥样硬化性病变
——3支血管病变占71%
——两支病变占 27%
——单支占2%
◆常见冠状动脉严重的粥样硬化性病变
——支冠脉、多节段高度狭窄病变或次全闭塞
——CTO
缺血性心肌病心律失常特点
◆并存其他情况多
◆多种心律失常并存
◆多变性心律失常
◆难治性心律失常
◆心脏性猝死——直接死亡原因
四、缺血性心肌病的介入治疗
治疗原则
◆去除冠心病危险因素
◆改善缺血和冬眠心肌供血:药物、血运重建
◆纠正心力衰竭
◆纠正心律失常
冬眠心肌及其检测
◆节段性室壁运动异常的节段鉴别
——冬眠心肌?或梗死瘢痕区?
——梗死区中有无存活心肌?
◆存活心肌检测指标
——反复发作的劳力性心绞痛史
敏感性和特异性不够
——心电图
胚胎性r波、R波持续存在、非Q波MI、持续T波倒置以及一过性Q波
——18F-FDG-PET心肌代谢显像金标准
金标准
预示室壁运动改善敏感性88%,特异性73%
——99TC-MIBI/18F-FDG同时采集法(DISA)SPECT
——多巴酚丁胺负荷超声心动图
——心脏磁共振
缺血性心肌病PCI遵循原则
◆手术难度、时间、风险可控
◆确保手术成功而不发生严重并发症
◆手术成功后病人症状改善和不良心脏事件减少
◆手术可达到长期效益
◆达到与CABG相同疗效而费用减少、风险更低
2014SCAD或无症状心肌缺血患者血运重建指证

SCAD:优化患者血运重建的推荐,低中危患者PCI推荐级别升高
[1]

慢性心力衰竭(EF<35%)再血管化治疗指证

多支血管病变的PCI与CABG比较
◆多支病变并心衰患者CABG组与PCI组住院病死率相似,两组无事件生存率相似,围术期事件发生率CABG组显著高于PCI组
◆在完全血运重建患者中,多支血管病变进行PCI治疗或CABG治疗,住院期间病死率及心肌梗死的发生率差异无统计学意义
◆远期随访5年无事件生存率CABG组显著高于PCI组
支架选择:高再发缺血风险者优选新一代DES

缺血性心肌病PCI适应症
◆病变特征及心功能状态
——有利于PCI成功的病变特征
——短病变、无钙化、无成角和血栓
——两支病变中仅一支CTO
◆病人全身状态较差者因CABG风险明显增高而不能耐受
——对年老体弱、伴有恶性肿瘤或处于其他慢性病晚期、估计存活时间有限者宜考虑行PCI
——对合并严重肝、肾、脑及呼吸系统疾病、预计CABG风险较大者宜首选PCI
——伴DM的三支病变、尤其对病变累及LM或LAD近端者
◆社会学因素
——病人及家属愿意接受PCI,拒绝CABG
治疗策略
◆ACS-处理“罪犯病变”
——AMI时的IRA引起UA的高度狭窄病变
◆稳定心绞痛
——首先处理供血范围和功能意义最大、最重病变
——如果2个病变PCI的难度相近,先扩张供血范围大病变
——强化重要分支保护和PCI
◆分期PCI
——一次完成多支血管风险大者,先处理“罪犯病变”
——计划一次PCI,但第一支血管PCI时间较长(>3h)、造影剂用量较多(>400ml)或病人不能耐受时,余下的病变可在后期处理
——严重心、肾功能不全、病变血管供血范围大的高危病人,宜分期实施PCI
◆不完全血运重建
——CTO供血区无或仅有少量存活心肌
——小分支(直径<1.5mm)、供血小范围心肌(10%以下)
——远端弥漫性病变不适合行CABG
——高龄或严重心、肾功能不全的高危病人
——有终末期消耗性疾病或晚期癌症病人
并发症防治
◆难度和危险大,手术时间长,术中易出现急性心力衰竭和并发症
◆术中应严密监测病人的血压、心电图和血氧饱合度
◆尽量使病人舒适体位,以保证操作顺利进行
◆为安全起见,可于对侧动、静脉插入7F鞘管以备临时起搏、IABP
◆如出现血流动力学不稳定,可迅速更换大号动脉鞘管植入IABP导管
◆对部分高危病人术前即应给予IABP及临时起搏以保证术中安全
◆球囊扩张的持续时间尽量缩短,以避免发生低血压及泵衰竭
◆对支架内急性血栓形成或慢血流、无复流者可紧急冠脉内注射GPI或尼可地尔
◆术后要特别注意监测血压、心率、呼吸、意识、凝血指标(ACT等)、尿量、尿常规及潜血、血常规、肾功能、消化道反应、肺罗音等
◆要充分抗凝、抗血小板治疗,以防止扩张处或支架内血栓形成,还要注意预防过度抗凝引起的脑、胃肠、泌尿道、穿刺局部及皮肤出血
◆术后适当补液促进造影剂排泄,还要防止补液过快或过量诱发急性心力衰竭,术前存在心功能不全者应静脉注射适量速尿和西地兰,以防止心衰加重
五、临床病例
◆患者,女、78岁
◆因“上腹痛四天”入院
◆患者4天前进食时出现上腹部持续性隐痛,伴腹胀、恶心,于当地医院对症治疗后,腹痛较前稍好转,为求进一步治疗收住我院胃肠外科。后因排查考虑消化道症状原心衰可能性大,于2017年 6 月8日遂收住我科
◆既往病史:高血压、肝肾功能不全
◆相关检验
高敏肌钙蛋白2600.6pg/L,肌酸激酶同工酶6.8ng/mL,肌酐137umol/L
◆心脏彩超:
左房扩大(46mm),左室扩大(58mm),室间隔左室前壁及心尖部室壁
运动减低;收缩功能减低(30%)
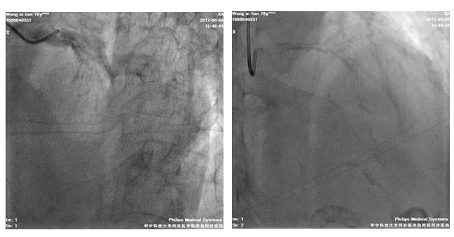
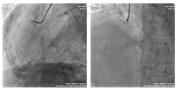
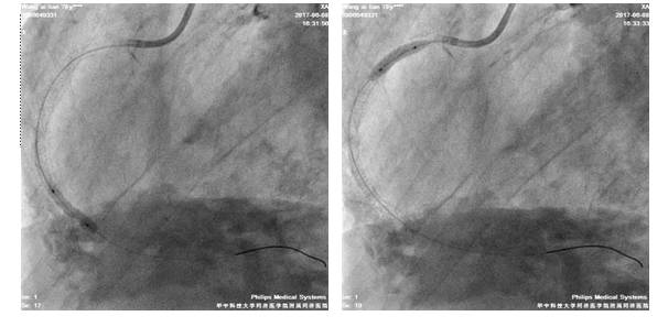
我院冠脉造影

LM严重钙化,体部散在斑块;LAD近段-中段弥漫性钙化伴狭窄,最重处约70%

LCX弥漫性钙化伴狭窄,最重处狭窄约90%

RCA开口处严重钙化,近中段弥漫性狭窄,中段最重狭窄达90%,狭窄最重处达90%,伴溃疡

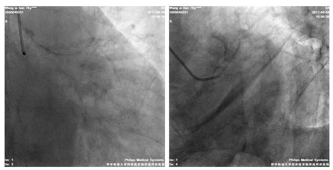
6F JR4.0/GC
BMW/GW
2.5*20mmTazuna扩RCA中段8-16atm
3.0*33mm DES置入RCA中段

3.5*36mmDES置入RCA近段10-14atm,与前支架串联

3.5*15mm Hiryu 扩RCA8-20atm

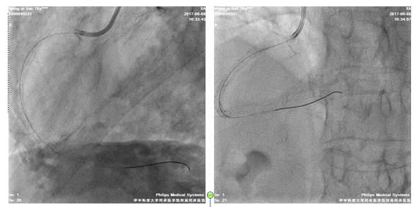
术后造影

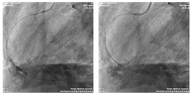
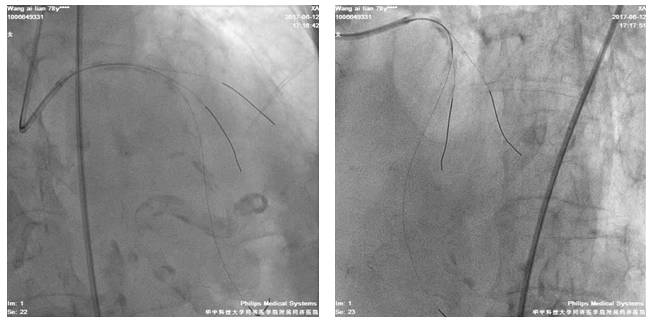
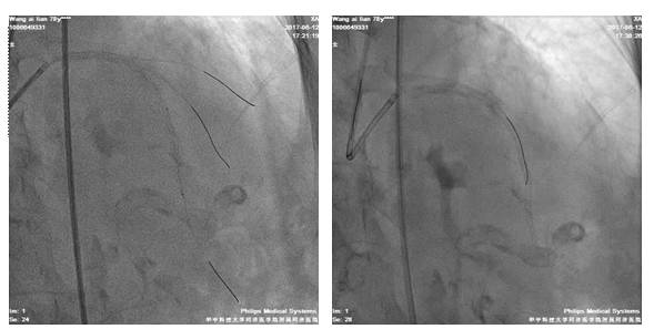
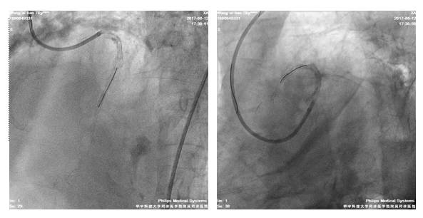
四日后,尝试左冠PCI术

股动脉路径
7F EBU3.5/GC
Runthrough NS,ASAHI SION,BMW导丝

2.5*20mm球囊扩张LAD10*12atm
先后与LAD远段-近段置入2.5*33mm、2.75*33mm、3.0*29mm DES支架,三支架串联

参考文献
[1]中华医学会心血管病学分会介入心脏病学组等。中华心血管病杂志,2016;44(5):382-400
专家简介

郭小梅教授
华中科技大学附属同济医院心血管内科 副主任
二级教授、主任医师、博导、同济科学家、同济新铭医
美国卫生研究院博士后、德国埃森心脏中心访问教授
同济医院连续8年十佳核心人才资源奖获得者
中国医师协会心血管整合医学委员会副主委
中国医师协会心力衰竭委员会常委
中国心胸麻醉精准医学会副主委
中国老年心血管保健协会副主委
武汉市心血管病学会副主任委员、结构心脏病学组组长
武汉市中西医结合学会副主任委员
湖北省络病学会副主任委员
介入心脏学专家、特需门诊专家、心电学专家
国家健康教育专家、分子心脏病学专家
武汉市100名优秀跨世纪科技人才
国际自然杂志、循环研究、动脉粥样硬化杂志发表论文
临床心血管病杂志、内科急危重症杂志、医药导报
等多家杂志编委。 5家医学杂志编委