

在2017年心力衰竭国际学院北京站活动中,来自北京协和医院的林雪教授为我们带来了题为“肾综,肾衰,心衰,软组织感染常见疾病组合带来的挑战”的精彩报告。

◆M25岁,工地民工
◆主诉:浮肿40余天,腹泻、皮肤红肿、发热3天,呼吸困难1天
◆入院前1.5个月出现恶心、进食减少,后出现双下肢水肿,逐渐加重,伴尿量减少
◆外院:
尿常规+沉渣:Pro>3g/L,RBC 6-8/HP,异形100%
24hUpro:1.88g
Alb 15g/L,Cr 93umol/L,TC 17.01mmol/L↑,TG 3.76mmol/L↑,LDL-C 13.05mmol/L↑,HDL-C 1.00mmol/L↓
◆患者浮肿加重,伴活动耐量减低,平地行走数步即感呼吸困难,偏方治疗。
◆后出现黄色水样便,每日10-20次,次日发热,Tmax 39.5℃,3天前出现下肢表皮疼痛,1天前因呼吸困难入抢救室
◆病来患者精神欠佳,饮食减少,每日尿量1000ml,体重增加20kg
◆个人史:吸烟10余年,每日7-8支,饮酒10余年,每日1瓶啤酒
◆既往、婚育及家族史均无殊。妻子孕9个月。
◆T 37.4℃,P 135次/分,R 35次/分,BP:134/84mmHg
◆SpO2:92%(鼻导管5L/min)
◆平车入病室,右下肢大腿内侧、左侧腰部大片皮肤红肿热痛(+),有溃疡和水疱
◆贫血貌,全身重度可凹陷性水肿
◆心律齐,心率135bpm,心音强,各瓣膜听诊区未闻及病理性杂音
◆两上肺可闻及痰鸣音及散在哮鸣音,右肺明显,两下肺呼吸音低,语颤减弱,叩诊呈浊音
现病史-实验室检查
◆血常规:正常;WBC 6.19×109/L,Hb 96g/L,Plt 105×109/L
◆肝肾功:Alb 5g/L,Cr 170umol/L,K 4.9mmol/L
◆炎症指标及自身免疫:
◆hsCRP 274.29mg/L,ESR 106mm/h PCT>10ng/ml
◆免疫8项:CH50 58.8U/ml,IgG 3.16g/L,余正常;
◆ANA 19项、ANCA、ACL、抗β2GP1、LA(-).
◆血气分析:46/24/70/21.1,SpO2 95%,Lac 1.8mmol/L
◆超声:少量腹腔积液,双侧胸腔积液(右侧深6.2cm)
◆胸部CT:双肺实变,双侧胸腔积液伴双肺膨胀不全,心衰可能
现病史
◆心脏检查:
——心肌酶:CK 1315u/L,CKMB 13.8ug/L,cTnI 37.83μg/L
——NTproBNP:80872pg/ml
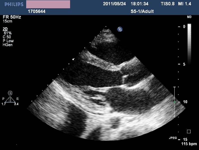
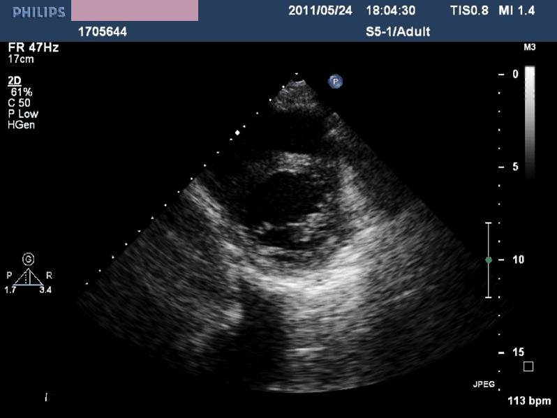
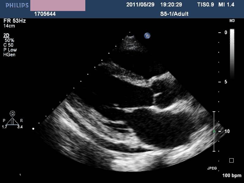
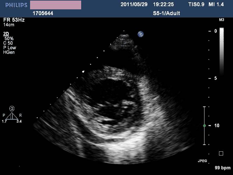
——床旁超声心动:节段性室壁运动异常,左房增大,轻度二尖瓣关闭不全,左室收缩功能减低,LVEF 45%,少量心包积液
——心电图


现病史-超声心动





急性左心收缩功能不全
心功能不全IV级
肾病综合征
急性肾功能不全
高脂血症
低蛋白血症
全身浮肿
双侧胸腔积液
皮肤、消化道感染
◆青年男性,急性病程
◆重症肾病综合征,感染后加重
◆合并心肌损伤和心力衰竭
◆大面积软组织感染
◆经济极为困难
-肾病治疗
◆肾脏方面
——尿常规+沉渣:BLD 200cells/ul,PRO >3.0g/L
——24hUpro:15.38g
——肝肾脂全:Alb 14g/L,Urea 29.60mmol/L,Cr 178umol/L,K 3.5mmol/L,——TC 6.10mmol/L,TG 1.37mmol/L
超声:
——双肾动脉流速偏低,双肾静脉未见血栓
——双下肢静脉未见血栓
◆微小病变可能性大,合并特发性急性肾功能不全;
◆甲强龙 60mg qd iv drip,克赛抗凝
诊治经过-感染
◆感染方面
——皮肤软组织感染:球菌,万古霉素敏感
——CMV-DNA<500copies/ml;EBV-IgA、IgM(-)
——胸腔积液
常规:淡黄微浑,细胞总数1450×106/L,WBC 220×106/L,单核85%,多核15%,黎氏试验(-)
生化:TP 4g/L,Alb 1g/L,LDH 82U/L
——根据肾功能调整万古霉素剂量
心脏
心脏病变:
——是继发改变?
肾综+感染合并存在的并发症?
还是同一系统性疾病?
血管炎?
感染之后出现
广泛心肌受累
初期有心肌坏死表现
心力衰竭
无心律失常
诊治经过-心衰治疗
【治疗】
◆补充白蛋白20g/d,利尿治疗
——前两日:静脉速尿220mg+氢氯噻嗪25mg:I/O 1100-1300/850ml
——第三日 静脉速尿泵入480mg/d I/O:2619/1250ml
——血管活性药物:硝普钠+多巴胺(2ug/kg/min)
胸腔置管引流 每日800ml左右
诊疗挑战——多脏器功能衰竭
◆患者SpO2(储氧)93%,高枕卧位,全身重度水肿,多次床旁胸片提示肺水肿
◆心功能进行恶化:床旁超声EF% 32%
◆进行性恶化的肾功能(Cr 278umol/L)
◆呼吸衰竭加重,需无创呼吸设施支持
◆随时可能出现的感染性休克——PCT远远高出正常值
—考虑转往监护病房,家属无力支付费用

[1]
◆更推荐持续速尿泵入(严重心衰:5-40mg/h)
◆亦推荐速尿合并多巴胺/多巴酚丁胺合用,可减少单纯增加利尿剂的副作用
◆在血压高于>100mmHg时,建议合用扩血管药物(硝酸酯类、硝普钠、脑钠肽)
◆但在肾病综合征时,合用白蛋白+利尿剂减轻水负荷,是没有明确指南支持的
◆利尿剂抵抗的出现
◆达到消除水肿的目标之前,病人对利尿剂的反应减低或者完全消失,见于20-30%的心衰病人
◆利尿剂剂量不够
◆病人医从性差
——不服药
——NaCl摄入过多
◆吸收差
◆利尿剂在肾小管中分泌少
——慢性肾病
——高龄
——肾移植后
——慢性心衰
——药物
——NSAIDs
——丙磺舒
◆蛋白尿
◆低蛋白血症
◆低血压
◆药物的直接作用
——NSAIDs
——ACE/ARB **
◆利尿剂耐受(结构或功能适应)
◆神经内分泌激活
[2]
◆如果水肿缓解不明显,需考虑一下措施:
◆限Na
◆增加袢利尿剂的剂量
◆持续静脉使用袢利尿剂
◆增加其他种类的利尿剂(美托拉宗或螺内酯)
考虑血液滤过(strength of evidence: c)
诊治经过
◆入院第四天开始床旁血滤,UFR 300-400ml,持续8小时,液体量分别为2400ml
◆第一次血滤过程中,病人呼吸困难缓解, SpO2 100%,停用血管活性药物及无创呼吸机,8小时后停止血滤,结束血滤30分钟后,病人再次出现胸闷、憋气,BP160/90,HR 120bpm, SpO2 90%,双肺满布干湿罗音,考虑心衰再次发作,再次予以硝普钠、速尿泵入,无创呼吸机辅助呼吸。5小时后再次开始血滤,持续31小时,共脱水10900ml。
[3]
◆超滤速度在 35- 45 mg/kg/hr的病人比20 mg/kg/hr 死亡率低
◆超滤时间
——>48 hours is very good;
——24 hours is acceptable
——< 12 hours is problematic
——< 6 hours is very poor
——无出血倾向,肝素尽量给予最高剂量
◆到目前为止,尚无明确指南对于AHF的血滤剂量给予明确界定,经验认为AHF脱水8-10kg,但代价可能是肾功能的损害
◆心肺方面
——憋气症状明显缓解,水肿减轻,氧合改善,皮肤炎症有所好转。
——血滤结束后第二天,患者出现发热,Tmax 37.8 ℃,咳鲜红血丝痰,双肺可闻及痰鸣及哮鸣音
——血滤后静脉速尿100mg/d,尿量600-800ml/d, Cr最高升至307umol/L,谨慎调节出入量
——WBC最高至23.49×109/L
——复查胸部CT是双肺内新发斑片影
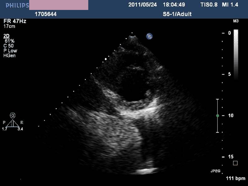
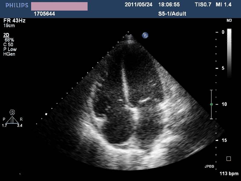
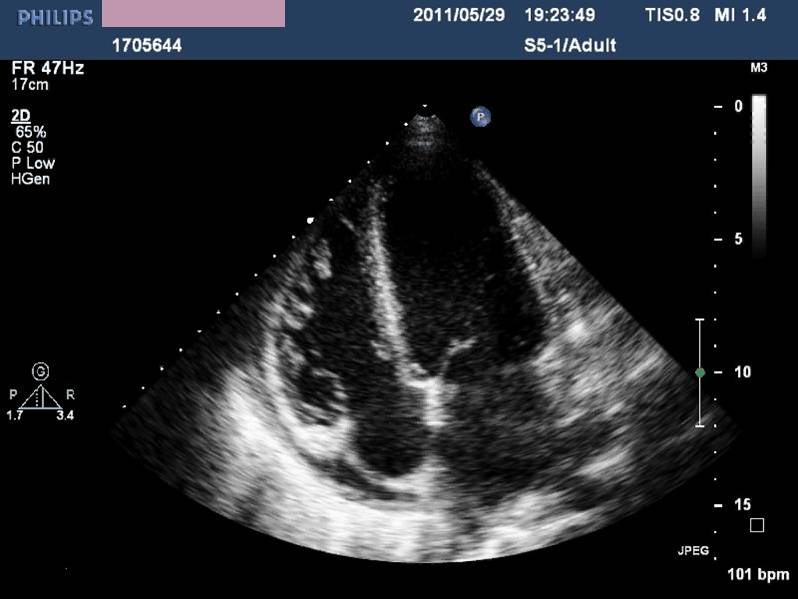
——各房室内径正常,左室收缩功能及室壁运动未见异常,LVEF 72%,少量心包积液(入院后1周)。
——经多科会诊,认为肺部病变性质较难确定,建议支气管镜

诊治经过-第二次心脏超声



6-1支气管镜:肺泡出血(灌洗液淡血性);病原学检查(-)
考虑为心力衰竭肺水肿所致,咳血与血滤应用低分子肝素相关,在影像学上有滞后表现,治疗上暂观察,
2天后复查CT:双肺渗出病灶明显吸收
◆感染之后出现
◆广泛心肌受累
◆初期有心肌坏死表现
◆心力衰竭
◆无心律失常
◆一周内完全恢复
——病毒性心肌炎?
应激性心肌病?
应激性心肌病
◆Takotsubo cardiomyopathy
◆Stress-induced cardiomyopathy
◆Transient left ventricular apical ballooning syndrome
◆Apical ballooning syndrome
◆Broken heart syndrome
◆Ampulla cardiomyopathy
◆见于2%的ACS 病人
◆住院死亡率 0-8%
◆女性多见 (~90%),尤其是绝经后妇女(>80% )
◆平均年龄 58-75
◆诱因:亲人死亡,财务状况恶化,自然灾害,躯体疾病/ICU, 其他。

[4]

病因挑战—可能的发病机理
◆儿茶酚胺过量
——血中的儿茶酚胺水平显著高于心梗患者
——75%的病例有去甲肾上腺素水平升高
——可导致微循环痉挛和障碍? 心肌顿抑或直接的心脏毒性
——少数心肌活检提示有儿茶酚胺中毒征象
◆冠脉或微小血管痉挛
◆心肌炎
应激性心肌病Mayo Clinic诊断标准
◆左室室壁中段出现的一过性无运动、运动减低,有可能包括心尖部。常有应激因素
◆除外冠心病和急性冠脉综合征。
◆新出现的ECG异常或中度肌钙蛋白升高
◆除外嗜铬细胞瘤和心肌炎。
——根据随诊表现,患者最终诊为应激性心肌病
转归过程中肺部病变的识别
◆血丝痰
◆可平卧
◆超声心脏功能恢复
◆胸部CT提示始于上肺的弥漫性双肺渗出性病变
——心衰?
感染,尤其是结核?
血管炎——肺内出血?
◆支气管镜和肺泡灌洗:
支气管内未见病变,极易出血
——考虑心衰,观察
此时血痰的原因是肺淤血+血滤肝素的作用,影像学有滞后表现
先拍胸片
支气管镜的结果有些借鉴价值
诊治经过
◆感染方面
——皮肤软组织感染逐渐好转
◆无发热后,抗生素逐渐降阶梯,并减停
◆肾脏方面
——患者尿量逐渐恢复,度过多尿期,每日尿量3000ml左右
——24hUpro:45.35g→5.22g
——Scr:307→50μmol/L,Alb 5→26g/L
——肾穿:微小病变肾病,合并肾小管坏死
◆泼尼松龙50mg qd po,科素亚 50mg qd
◆缺血
——长期肾前性氮质血症
——低血压
——低容量休克
——心脏骤停
——体外循环
◆毒血症
◆肾毒性药物
——造影剂
——氨基糖甙类
——二性霉素B
——顺铂
——对乙酰氨基酚
——色素性肾病
——血红蛋白
——肌红蛋白
——管性性肾病
ATN病理生理

单剂量速尿80mg即可影响肾功能(GFR)
[5]

肾小管坏死可否避免
◆低血容量状态
◆不可避免的利尿剂使用
◆大量管型
◆菌血症
◆万古霉素剂量?
◆白蛋白输注的疗程?
◆血滤的超滤量?
——恐难以避免,但意识上仍需更加注意


◆临床常见病在处理时要随着病程不断调整治疗重点;
◆及早识别利尿剂抵抗,改变治疗策略,积极血滤治疗,足够的超滤量是重点;
◆没有足够的其他疾病的证据,比如感染,要考虑是基础疾病的不典型表现。
◆良好的团队合作是基石
◆病人命大很重要:医生要随时注意自己的决定即使不能治病 ,最次也不能给病人带来不可逆的损伤
◆临床情况随时变化,需临床医生时时检讨自己的知识是否扎实,不断学习
[1]European Heart Journal (2005) 26, 384–416
Cells 2015, 4, 622-630
[2]HFSA 2006 指南
[3]Lancet 2000; 355 : 26-30
[4]Prasad et al., Am Heart J 2008;155:408-417
[5]Gottlieb et al. Circulation. 2002;105:1348.
作者简介

林雪 教授
副主任医师,北京协和医院心内科
擅长系统性疾病心脏受累以及疑难心脏疾病的诊治和研究,关注病人的生活质量和心理状态,以挽救病人生命和提高病人生活质量为己任。