

急性心衰已成为>65岁患者住院的主要原因
15%~20%为新发心衰,大部分为原有慢性心衰的急性加重。

急性心衰处理流程

急性心衰药物治疗

正性肌力药物的范畴
• 增加心肌收缩力,增加心肌收缩强度和频率的药物
• 按照作用于兴奋-收缩耦联的机制划分
Ⅰ类:增加细胞内的cAMP浓度
Ⅱ类:影响离子泵和离子通道
Ⅲ类:增加收缩蛋白对钙离子的敏感性,或增加钙离子的释放
Ⅳ类:通过以上多种机制作用
Ⅰ类正性肌力药物
Ⅰ类:ß-受体激动剂、磷酸二酯酶抑制剂
机理:增加细胞内cAMP→激活PKA→调节蛋白磷酸化→增加Ca2+的摄取和利用→增加心肌收缩力
不同ß-受体激动剂对α、ß受体的选择性不同,而且有不同的剂量依赖性药理学反应
衰竭心脏对ß-受体激动剂和磷酸二酯酶抑制剂的反应,都要弱于正常的心脏
•代表药物:多巴酚丁胺、多巴胺
•作用机制:兴奋β1-受体,增加细胞内cAMP,Ca2+增加,心肌收缩力增强
•药理作用:增加CI;小剂量时扩张动脉,降低血压;大剂量时收缩血管,升高血压;增加心率和房颤时的心室率;增加心肌耗氧量
•副作用:室性心动过速和室性早搏增加
•代表药物:米力农
•作用机制:抑制磷酸二酯酶,减少cAMP的降解,细胞内Ca2+增加,心肌收缩力增强
•药理作用:增加心输出量;可均衡扩张动静脉血管,降低肺动脉阻力和外周血管阻力,不增加心肌氧耗
•副作用:低血压、心律失常
Ⅱ类正性肌力药:洋地黄类
心脏作用:抑制心肌细胞膜的Na+-K+-ATP酶
正性肌力、负性频率、负性传导
神经内分泌作用:
抑制神经系统的Na+-K+-ATP酶,交感活性降低•抑制肾脏的Na+-K+-ATP酶,肾素分泌下降
传统正性肌力药物存在缺陷

FIRST研究:持续应用多巴酚丁胺增加死亡危险
Continuousintravenous dobutamine is associated with an increased riskof death in patients with advanced heart failure: insights from the Flolan International Randomized Survival Trial (FIRST).
FIRST研究结果:在重症心衰患者持续静脉应用多巴酚丁胺增加死亡危险
OPTIME-CHF :米力农增加不良反应和死亡率

Ⅲ类正性肌力药
通过作用于细胞内的钙稳态增强心肌收缩力
代表药物:左西孟旦
作用机制:通过稳定Ca2+导致的肌钙蛋白C的构象改变,使细肌丝更容易穿过横桥,从而增加心肌收缩力
药理作用:血流动力学效应呈剂量依赖性,增加CO,降PCWP、平均肺动脉压和外周血管阻力
心肌收缩机制
Ca2+与TN-C结合时,TN-I的活性被抑制,原肌凝蛋白构型改变,开放肌动蛋白和肌凝蛋白的活性部位而发生收缩

左西孟旦的Ca2+增敏作用

左西孟旦的综合药理作用

左西孟旦VS传统正性肌力药物
不增加细胞内钙离子浓度
不引起心肌钙超载和耗氧量增加
不易导致恶性心律失常
不影响心室舒张功能
不增加患者远期死亡率
2014中国心衰指南推荐

左西孟旦的临床研究
左西孟旦在欧美国家应用近十六年,能改善急性失代偿性心衰症状及血流动力学,不增加死亡率,作为第一个被指南推荐的钙增敏剂,将成为心衰药物治疗中的一个重要选择。
左西孟旦国内Ⅱ期临床试验

2016 ESC心衰指南推荐
左西孟旦可以与升压药联用治疗心源性休克。对于AMI并发心源性休克的患者,在多巴酚丁胺和去甲肾上腺素基础上使用左西孟旦,能改善血流动力学,同时不引发低血压。


强心:多巴胺(DA)、多巴酚丁胺(DB)、肾上腺素、米力农、左西孟旦、利尿、新活素。


DB
作用部位
强烈地选择性激动β1受体,对β1受体的作用强于多巴胺
对β2和α1受体的作用较弱
不激动多巴胺受体
主要特点
增加心肌收缩力作用较强
增加心率作用较弱
很少引起心律失常
注意事项
连续输注72小时可致β1受体下调,疗效降低

“打马”阶段
◆ 利
增强心肌收缩力,维持生理状态机体的最低需求
◆ 弊
增加心脏氧耗
被迫而为之
◆ 最终目的是通过“打马”过槛,有好处也需付出代价
左西孟旦
Levosimendan–Clinical data has confirmed
Improved haemodynamics .
Contrary to other inotropes, O2 consumption is not increased
Symptoms of acute HF have been shown to be diminished–Rat model
Decrease infarctsize and improve recovery of cardiac function following global ischaemia.
Improves survivalrate with healed myocardial infarction.
Levosimendan has an active metabolite–OR-1896,which ensures sustained efficacy for at least 7 days .
Incontrast to dobutamine–Effectsare not attenuated by concomitant administration of β-blockers.
速尿的副作用
电解质紊乱
高尿酸高血糖
恶心呕吐,甚至消化道出血
耳毒性:耳鸣、听力减退及暂时性耳聋;剂量依赖性;发生机制可能与药物引起的内耳淋巴液电解质成分改变有关–大剂量静注过快时;可出现听力减退或暂时性耳聋
利尿剂的使用剂量与死亡率增加有关,但与心衰液体潴留风险相比,利大于弊
托伐普坦
速尿:排钠利尿剂
托伐普坦:管加压素受体拮抗剂,排水利尿剂。心衰患者体内血管加压素水平升高,且随着疾病进展而增高
人体体液分布

新活素的生物学效应

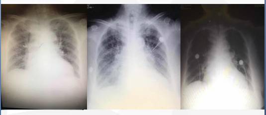
治疗后胸片

作者简介

王宇石
吉林大学白求恩第一医院
副主任医师,医学博士
1995年毕业于湖南医科大学。擅长于内科急救及危重症抢救治疗。
擅长领域:心血管疾病及心肺、脑复苏等危重病急救。