


北京水利医院 赵连山
病 例 摘 要
性别:男
年龄:54岁
现病史:
缘于1年前受凉后始出现胸闷、气短。曾就诊于上海同济医院,经超声心动、冠脉CTA等相关检查后,诊断为“扩张型心肌病、心功能不全”
平素口服美托洛尔、呋塞米、螺内酯、曲美他嗪等治疗
活动耐量进行性下降,平地步行约300米,伴口齿不清
入院前1月,气短加重伴皮肤粘膜黄染,就诊于南华大学附属医院,NT-proBNP 8700pg/ml,超声提示:LA 41mm,LV 56mm,EF41%,考虑“扩张型心肌病、心功能不全、淤血性黄疸”
为调整心功能收入我科
既往体健,否认高血压等病史
否认家族遗传病史
入院查体
血压90/50mmHg,体重71Kg,皮肤粘膜黄染,舌体肥厚,颈静脉充盈,双肺呼吸音粗,双肺底少量湿罗音,心率60次/分,律齐,各瓣膜听诊区未闻病理性杂音,腹部膨隆,腹围90cm,肝肋下4cm可触及,肝颈静脉回流征阳性,移动性浊音阳性,双下肢中度水肿。

辅 助 检 查
生化:GGT76 U/L、TBIL69.2umol/L、DBIL53.3umol/L、Cr80umol/L、K4.02mmol/L、Na128.9mmol/L
凝血:PT16.9秒、APTT38.8秒、D-Dimer3.78mg/L、FDP12.7ug/L
NT-proBNP4400pg/ml
TNI 0.02g/L
血气分析:PO2 78 mmHg、PCO2 37 mmHg、PH7.42、BE-0.2mmol/L
尿常规:BIL+、URO++
24小时尿蛋白定量 0.79g/L
传染病八项阴性
其余结果大致正常



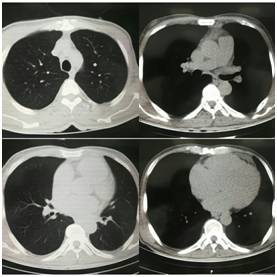
CT


入 院 诊 断
扩张型心肌病
心脏扩大
心功能IV级
肺部感染
肝功能异常
淤血性黄疸
治 疗 策 略
琥珀酸美托洛尔缓释片
螺内酯
贝那普利
盐酸曲美他嗪
呋塞米
氯化钾缓释片
多烯磷脂酰胆碱
多巴胺
新活素

提出问题
这是扩张型心肌病吗?
双房增大,室壁对称性偏厚
心电图
舌体肥大
尿蛋白增加
体重下降、NT-proBNP下降,肝炎病毒常规筛查阴性,胆红素却急剧升高
MRCP


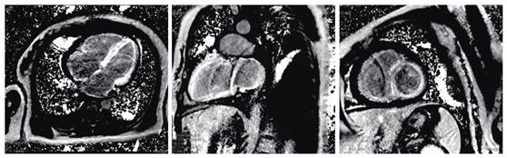
心脏MRI


诊 疗 经 过
求助于协和医院血液科
尿免疫固定电泳:尿游离λ型M蛋白阳性
血清M蛋白测定:血IgGλ型M蛋白强阳性
骨髓穿刺:浆细胞<10%,考虑与原发病有关
诊断:全身性原发性淀粉样变性

修正诊断及预后
患者拒绝了腹部脂肪、舌、心肌活检等检查
修正诊断:全身性原发性淀粉样变性
患者失去心脏移植可能,返回当地治疗,于9月份心源性猝死
淀粉样变性诊断
淀粉样变性分类

淀粉样变性累及多器官
淀粉样变性常分为原发性、继发性、遗传性和老年性四种类型。临床以原发性淀粉样变为最常见。是淀粉样物质沉着于全身各组织而引起的全身性疾病,临床表现复杂多样
我国AL淀粉样变性的流行病学特征:66.2%为男性,33.8%为女性。平均年龄为56岁:3.7%的患者小于40岁,7.3%的患者大于70岁。
肾脏最常受累,国内报道约占51.0%;
27.0%原发性淀粉样变性患者伴有肝淀粉样变性;
约9.0%舌受累。
其余可累及皮肤、脾脏、呼吸道、消化道、脑等。
AL型淀粉样变性器官受累诊断标准

AL型淀粉样变性检查项目

心脏淀粉样变性
心脏淀粉样变性是一种少见的继发性心肌病,目前已知是由淀粉样蛋白所引起,该蛋白系免疫球蛋白的轻链部分组成,并由浆细胞单克隆细胞群所分泌。心肌淀粉样变患者多有以下临床特征:
多数患者在40 岁后发病;
多个脏器受损,最常见为肾脏和(或)消化系统损害;
巨舌及眶周瘀斑为本病的特征性改变,但十分少见。

心脏淀粉样变临床表现
累及心血管系统时可出现五种主要类型:
1.限制型心有肌病,最常见。
2.充血性心力衰竭,通常出现在晚期。
3.直立性低血压约可见于10%的病例。
4.心脏激动形成和传导异常,并由此引起心律失常和传导障碍
5. 心绞痛
以上五种类型可相互重叠。
预后相关因素
NT-proBNP
肌钙蛋白
NYHA心功能分级
运动性晕厥
收缩压<100mmHg
胆红素
碱性磷酸酶
eGFR<50
24小时尿蛋白>5g
预后分期

诊 断 方 法
心电图特点
最常见的异常为肢体导联低电压。大约50%的患者可出现。P波多显著延长,提示淀粉浸润导致心房传导减慢
其它可能出现的改变
I度房室传导阻滞(21%)
房扑或房颤(20%)
非特异性的心室内传导延迟(16%)
室速(5%)
II度及III度房室传导阻滞(3%)
假性心肌梗死表现

超声心动图特点
左室壁变厚,伴舒张功能不全的证据是最早的心超异常。左室壁厚度可>15mm
进一步进展,可见室壁进一步增厚引起限制型心肌病表现:左心腔不扩大甚至变小,双房扩大。心脏淀粉样浸润引起心肌回声增强具有较强的诊断价值
心肌“颗粒状的闪烁的” 表现不正常心肌高显影。
据报道心肌回声增强(颗粒闪耀)在诊断心脏淀粉样变性时87%的敏感性和 81%的特异性,当合并有心房增厚大于6 mm时特异性可达到100%。
心脏MRI特点
心脏淀粉样变中晚期钆强化(LGE ,late gadoliniumenhancement )极为常见,由淀粉样蛋白沉积引起的间质膨胀产生。在诊断心脏淀粉样变中具有极高的特异性。
弥漫性透壁或心内膜下LGE最为常见。相当一部分患者在LV出现形态学增厚前已存在异常LGE,因此心脏MRI具有早期检出心脏浸润的潜力。
这两个特征均可出现在心室肌和心房。

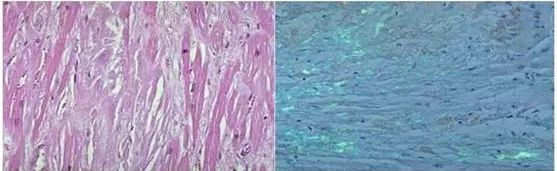
组织活检
心内膜心肌活检组织学检查是目前诊断心肌淀粉样变性的金标准
淀粉样物质光镜下呈无定形均匀的嗜伊红物质,刚果红染色在偏光镜下呈典型绿色双折光

治疗
心衰治疗的基石,β阻滞剂和ACE-I/ARB,可能增加低血压风险,谨慎使用
洋地黄容易与心肌内沉积的淀粉类物质结合,不易清除,引起洋地黄中毒
缓解症状主要是减低容量负荷
抗凝治疗,预防血栓(即便是窦性心律)
蛋白酶体抑制剂:硼替佐米,可极大改善轻链心肌淀粉样变患者预后
国内一组72例患者的回顾性研究显示,BD方案治疗累及肾的AL型淀粉样变性的血液学缓解率为75%,其中45%的患者达到完全缓解,中位缓解时间为2个月,患者1年及2年的总体生存率分别为83%和76%
化疗:烃化剂或抗肿瘤药物,联合糖皮质激素
ICD
自体造血干细胞移植
左心辅助装置 1年总生存率64%,左心室舒张末径<46mm,生存率极低
器官移植 心肌受浸润时,肝、心联合移植是唯一可能有效的办法
诊断线索
在临床上,如遇患者有以下改变时应注意与淀粉样变鉴别:
①难治性心力衰竭,但心脏无明显扩大;
②左心室肥厚伴心电图低电压或类似陈旧性心肌梗死图形;
③超声下增厚的室间隔见颗粒状增强回声;
④合并有肾病综合征;
⑤舌体宽大肥厚,眼眶紫斑。
总 结
心肌淀粉样变性,是一种易漏诊、误诊的的心肌病,病死率高、预后差
医生对该病的认知度,对及早确诊获得最佳治疗至关重要
心电图、超声、核磁可以提供重要诊断线索
以硼替佐米为代表的新药带来了希望,但总体治疗效果仍不满意
作者简介

赵连山
北京水利医院
✦ 赵连山,男,副主任医师,从事心血管内科
✦ 擅长冠心病、高血压、心衰、血栓性疾病、高脂血症等疾病的诊断和治疗。具有丰富的临床经验。