

概要
一 .右心衰的定义
二 .右心系统的结构生理和病理
三 .右心衰的分类和临床表现
四 .右心衰的相关检查和诊断
五 .急性右心衰的治疗
六 .慢性右心衰的治疗
七 .右心衰的的病因治疗
右心衰竭是任何原因引起的右心室收缩和/或舒张功能障碍。是由于右心室充盈能力不足或排血量下降导致的以体循环淤血为主要表现的综合征。
右心衰竭是多种原因导致的复杂的多学科临床综合征。右室功能决定于前负荷,后负荷,收缩力,心包限制,与左室之间的相互作用及心律。
从20世纪50年代早期到70年代,开始认识到右心功能的重要性。
美国人群的右心衰竭患病率估计为5%,与左心衰竭相当。
右心衰竭病残率和病死率高于左心衰。急性右心衰在院病死率为5-17%。
近年,随着右心室心肌梗死、肺栓塞、肺动脉高压等疾病的深入研究,右心室功能的重要性正日益受到重视。
右心重要性的认识是一个漫长而渐进的过程





Chin KM, Kim NH, Rubin LJCoron Art Dis 2005; 16:13–18.
增加后负荷对右室和左室功能的影响
右心运动
最开始最重要是右室游离壁的内向运动(手风琴效应)
右心室收缩的特点纵向纤维收缩,主要沿长轴缩短明显,而左心室收缩主要
向心收缩和扭转运动
左心室收缩对右心室有牵引作用(扭转效应)
右心室的这种运动有利于降低右心室的舒张末压,便于静脉回流
心室交互作用的主要解剖决定因素包括室间隔,心包及左右心室间肌纤维的连续性。
收缩期左右心室的相互作用是通过室间隔介导的,右心室收缩压的产生以及心输出量20%-40%来自左心室的收缩。而舒张期左右心室的相互作用是通过心包的作用。
右室急性扩张时,室间隔左移,压迫左心室,影响左心室充盈,并导致左室收缩降低。心包张力的增加,也降低左室扩张性及左室充盈,导致搏出量降低。

Circulation, Volume 117(13).April 1, 2008.1717-1731

右心衰对全身的影响
急性右心衰竭
急性肺栓塞
急性右室心梗
慢性右心衰急性加重
围手术期肺动脉高压危象
慢性右心衰竭
左心疾病所致
COPD,肺间质疾病所致
PAH所致
其他:右心瓣膜、复杂先心病、器械植入
右心室压力超负荷
右心室容量超负荷
右心室心肌病变
症状:呼吸困难,消化道症状,心悸。
体循环淤血: 颈静脉充盈、肝颈静脉回流征阳性、外周性水肿、心包积液 腹水、胸水、淤血肝、周身水肿
右心衰表现:第三心音 三尖瓣听诊区收缩期杂音
低心排量表现 :低血压 心动过速 肢端凉 CNS异常 少尿
三尖瓣返流可能通过未闭的卵圆孔加重从右至左分流,导致低氧血症。
缺血性肠病偶见于右心室衰竭,复杂的病因可能会导致严重的低蛋白血症,营养不良,免疫缺陷。

心电图
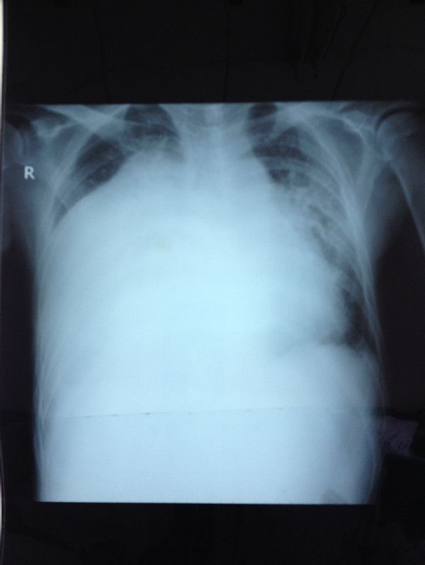
胸片
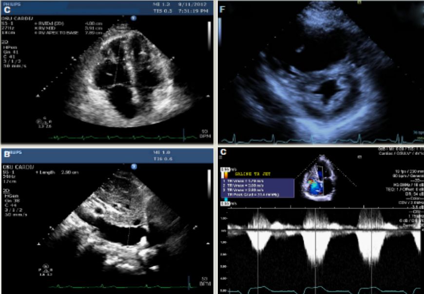
超声心动图
MR
核素心肌显像
右心导管
六分钟步行距离实验
心肺运动实验
血浆NT-proBNP、BNP
肌钙蛋白I/T

右心室肥厚


房颤





右心衰:右室大,左室小,左室呈D形,少量心包积液


Rudski LG, et al. J Am Soc Echocardiogr 2010;23:685–71


心脏核磁共振测量的右心功能指标包括:RV收缩/舒张末期容积,RV射血分数、室壁厚度、心肌质量、心肌质量指数等。
1级:小于300米;
2级:300-374.9米;
3级:375- 449.5米;
4级:大于450米。
( 3-4级接近正常或达到正常)
心肺运动试验
评价人体运动状态下的心肺功能
B型钠尿肽(BNP)、心脏肌钙蛋白的检测主要应用于诊断急性右心衰。乳酸,肝功,肾功,D-二聚体。
目前无右心衰的特异性生物标记物,急性右心衰新型生物标记物仍在研究评估中。
目前尚无国际公认诊断标准。中国右心衰指南建议采用以下述标准:
存在右心衰症状和体征;
存在右心结构,功能和心腔内压力增高的客观证据;
存在可能导致右心衰病因。
急性右心衰可根据引起右心衰疾病(如肺栓塞或右心梗),导致急性发作的低血压和休克而诊断。

Veli-Pekka Harjola et al.European Journal of Heart Failure (2016) 18, 226–241
磷酸二酯酶抑制剂抑制剂III,增加右室收缩力,但不增加肺血管阻力
在左心疾病导致的肺动脉高压患者中,左西孟旦或磷酸二酯酶III抑制剂可能是优于多巴酚丁胺的选择
1.肺血管阻力降低至少20%
2.心输出量增加或不变
3.肺动脉压降低或不变
4.全身血压没有显著降低
药物治疗:
1.利尿剂
2.洋地黄制剂
3.抗凝治疗
4.血管活性药物 硝酸酯类和硝普钠,多巴酚丁胺,多巴胺
5.血管紧张素转化酶抑制剂与β受体阻滞剂,
6.抗心律失常治疗。
合并右心衰竭高危因素但无器质性心脏病或心衰症状;
如合并肺高压(早期)、左心室异常或瓣膜疾病、心肌病家族史或 ARVD、心脏毒性药物应用史、动脉粥样硬化性疾病等。
此阶段对应于左心衰竭分期的“前心衰阶段”(pre-heart failure )。


合并右心室功能障碍或器质性心脏病,但无心衰症状;
如合并肺高压、先心病、左心衰竭或瓣膜病、心肌病家族史或ARVD、无症状性心瓣膜病 、既往RVMI病史。
此阶段对应于左心衰竭分期的“前临床心衰阶段”(pre-clinical heart failure)。


合并右心衰竭且既往或现在有心衰症状;
如患者合并器质性心脏病或右心室功能障碍、液体潴留、疲劳、运动耐力减退、心悸等。
此阶段对应于左心衰竭分期的临床心力衰竭(心衰)阶段。


难治性右心衰竭且需特殊治疗干预措施;
如合并接受了最大剂量药物或介入手段或外科手术治疗后静息状态下仍有显著心衰症状、顽固性危及生命的心律失常等。
此阶段对应于左心衰竭分期的难治性心衰阶段。


七
左右心室在组织结构、功能、药物敏感性等方面均是不同的,不能简单按照治疗左心功能不全的方法来治疗右心衰。
右心衰竭的治疗应该与其发生原因及其发病情形相结合。
1.降低肺血管阻力
钙通道阻滞剂
前列环素及其类似物
内皮素受体拮抗剂
磷酸二酯酶-5抑制剂
选择性的前列环素IP受体激动剂
鸟甘酸环化酶激动剂
2.右心衰竭治疗
利尿剂:有静脉及全身淤血表现肺高压患者首选利尿剂治疗。
正性肌力药:多巴酚丁胺,磷酸二酯酶抑制剂
避免非选择性血管扩张剂
经皮房间隔造口术
肺移植
冠脉血运重建基础上,包括晚期再灌注治疗。
慎用避免使用利尿剂,血管扩张剂和吗啡。
如没有左心衰和肺水肿,优化右室前后负荷,中心静脉压不足12-15mmHg,扩容治疗。补液至RAP升高,CO不增加或PCWP≥18mmHg。每次补液200-300ml,根据血压,心率,周围灌注判断疗效。
扩容后仍有低血压使用正性肌力药:多巴胺,多巴酚丁胺,米力农,左西孟旦。
总之,右心衰是一种复杂的临床综合征,准确的诊断及治疗需要对右室解剖和功能的理解,需要针对病因治疗。很多假说尚未得到证实,需要大量循证医学证据,这将是一个较漫长的过程。
作者简介

富路
哈尔滨医科大学第一附属医院 心内科
主任医师,教授,心血管内科三病房主任,心血管内科副主任,心血管医院副院长,博士生导师,1982年毕业于哈尔滨医科大学获学士学位;1988年获哈医大内科专业硕士学位;1991年获哈医大内科专业博士学位。近年来发表学术论文四十余篇,部分论文被美国生物文摘及美国综合医学杂志摘录。其中PA2与动脉粥样硬化系列研究获国家教育部科技进步二等奖,部分课题获省科技进步奖二等奖1项,省科技进步奖三等奖2项、四等奖1项,省教委科技进步一等奖1项、三等奖1项,省卫生厅科技进步二等奖1项、三等奖2项。教学工作中独立培养硕士研究生23名,博士生8名。技术专长:主要研究方向冠心病发病机制、心力衰竭发病机制及治疗、心房颤动的治疗。在各种重危症抢救和心律失常诊治方面积累了大量临床经验。