

在2016年中国国际心力衰竭大会暨中国医师协会心力衰竭专业委员会第一届学术年会上,来自海南省人民医院心内科的吴忠主任医师给我们带来了“心力衰竭合并肝功能不全的诊疗”精彩报告。

(1)心衰由各种心脏疾病发展而来
(2)心排出量不能满足组织代谢需要量
(3)各种器官灌注不足、淤血
(4)导致多系统及其器官受累:肝、肾、肺、脑、骨骼肌等
戴希友选取96例心力衰竭患者按照心功能分级(NYHA)分为心功能Ⅰ、Ⅱ、Ⅲ级组分别计算各组肝功能不全发生率的关系。结果(表1):不同分级患者肝功能不全发生率比较中,96名心衰患者中,有35例(36.5%)肝功能不全,且各级别中肝功能不全发生率随心功能分级升高而升高。

夏邦俊:选取288例CHF患者的临床资料,根据NYHA心功能分级将患者分为心功能I、Ⅱ、Ⅲ、Ⅳ级组,计算各组肝功能损伤发生率,结果:CHF患者肝功能损伤发生率分别为42.0%,并且随着心功能分级的升高.肝功能损伤患病率也在升高;随着心功能的恶化,血清ALT、Cr浓度在升高,组间有统计学差异(P<0.05)。
李斌:回顾性分析了心衰患者72 例病案, 按照 NYHA及LVEF 分组,对组间各项指标进行比较。结果 按照 NYHA 分级进行分组的 NYHA Ⅲ级组和 NYHAⅣ级组组间谷丙转氨酶、NT-ProBNP、α-羟丁酸、左室收缩末期内径差异有统计学意义。本研究结果表明,心衰患者普遍存在着肝功能损害,因此在制订治疗方案时应予以充分的评价和重视。
1.张健:肝功能不全多表现为以ALT升高为主的急性肝损害,而且与药物引起的肝损害有关。心衰患者也常因慢性肝淤血而表现为以胆红素升高而ALT不高的慢性肝损害,这部分肝功能不全在失代偿期则无明显增加。
2.药物性肝损害——心衰合并肝功能不全的原因之一
心衰者常需服用多种药物,部分具有潜在肝毒性

3.心源性肝损害——心衰合并肝功能不全的主要原因
可分为以下两类:
急性心衰——急性心源性肝损害
慢性心衰——慢性淤血性肝病
急性心源性肝损害
(1)
l 以“缺血性肝炎”概念为基础
l 从前认为主要由心源性休克时心输出量不能满足肝细胞代谢需要而造成——“缺血”
l 目前认为是在中心静脉压升高、肝淤血基础上,受到灌注不足的“二次打击”—“缺血+淤血”
l 更为准确的概念:急性心源性肝损害
(2)发病特点:
l 发病2-24小时:出现症状:
乏力、淡漠、意识模糊、震颤、黄疸、肝昏迷、出血倾向;
ALT、AST、LDH、胆红素升高;
LDH早期快速升高、且ALT/LDH<1.5具有特征性
l 发病1-4天:达到高峰
酶学指标可达正常值10-20倍
l 病情缓解7-10天:恢复正常
极少数可能发展至肝衰竭
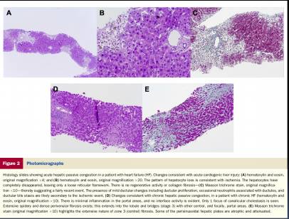
(3)病理学特点:

不同程度的肝细胞坏死(由小叶中央静脉周围开始)及小叶结构破坏
慢性淤血性肝病
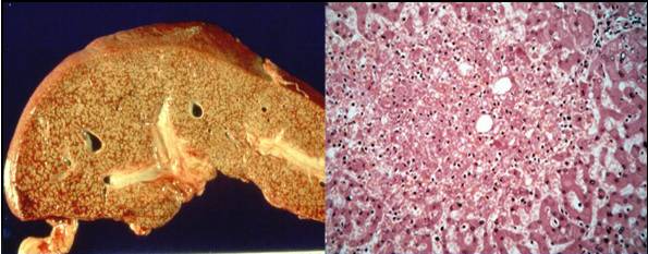
(1)病理特征

槟榔肝 镜下:小叶中央开始扩展的肝细胞萎缩、坏死
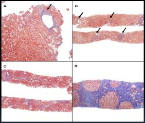
(2)心衰合并肝损害的四个阶段

(A)静脉周纤维化(第1阶段)
(B)纤维化影响多数中央静脉(第2阶段)
(C)广泛的桥接纤维化和多发性结节,无肝硬化(第3阶段)
(D)肝硬化弥漫性纤维化周围再生结节(第4阶段)
(3)定义
慢性右心衰或全心衰患者,右心充盈压升高,肝静脉回流受阻引起肝内淤血。
(4)轻症表现
间断右上腹不适感、恶心、纳差、厌食等。可出现在下肢水肿、腹水症状之前,有助于心衰失代偿的早期识别
(5)重症表现
肝硬化的各种症状及并发症。多见于终末期全心衰、重度三尖瓣返流、限制型心肌病
(6)实验室检查
胆汁淤积性改变为主
(7)GGT、LDH、胆红素、ALT、AST不同程度升高,白蛋白降低
(8)肝功能指标变化水平与心功能水平(NYHA分级)、三尖瓣返流程度均密切相关。
(1)急性心衰时,心排出量降低,肝脏血流灌注不足,从而导致急性心源性肝损害
(2)慢性心衰时,右心充盈压升高,肝静脉淤血,出现慢性淤血性肝病,从而导致心源性肝硬化
心力衰竭(指右心衰或全心衰)时,心排血量减少,体循环淤血,肝细胞缺血缺氧,肝细胞膜通透性增加,线粒体呼吸功能降低,ATP生成减少,钠 / 钾泵不能充分运转,最终导致肝细胞溶解、坏死。
以体静脉淤血为主
(一)症状
体循环淤血:→腹胀、食欲不振、恶心、呕吐、肝区胀痛、黄疸等(右心衰最常见的症状)
慢性心衰反复发作可以导致心源性肝硬化,继而出现慢性肝硬化的临床表现。
(二)体征
(1)颈静脉怒张/肝颈V反流征(+)
(2)水肿:下肢、全身、胸水、腹水
(3)紫绀:周围性

下肢凹陷性水肿

颈静脉怒张
肝衰体征
(1)周围体征:黄疸
(2)肝脏肿大、常伴压痛:表面不易触到细小结节,触痛不明显,肝脏质地较硬
(3)腹水:常伴腹部静脉曲张、上腹部饱胀、腹痛
(4)严重的全身中毒症状及重度消化道症状,高度乏力、严重食欲不振、频繁恶心、呕吐、明显腹胀

黄疸

腹水
合并急重症
(1)肝性脑病(肝昏迷)
(2)凝血功能障碍
(3)腹水突增
腹水可以突然产生,例如在胃肠大出血、感染、酗酒、情绪激动或劳累之后,或者有门静脉血栓形成时,引起心力衰竭加重的因素,比如水钠潴留、血压控制差、心脏供血不好、瓣膜异常未能得到比较好的控制、心肌的炎症、心室率过快或者严重减慢等等,都有可能造成心源性肝硬化患者腹水骤然增加。患者腹围增加,常常加重心衰患者原有的呼吸困难。
(1)排除肝胆系统原发性疾病:
各种肝炎(病毒性、酒精性、自身免疫性……),胆石症,肝胆系统恶性肿瘤,原发性胆汁性肝硬化、原发性硬化性胆管炎、血色病……
(2)排除同时累及心脏、肝脏等多脏器的系统性疾病:淀粉样变,系统性红斑狼疮,心衰患者出现肝功能异常,伴有心内充盈压升高,排除上述疾病,即可考虑心源性肝损害。
(3)辅助检查
生化检查:
严重的肝功损害:AST升高大于ALT;酶胆分离现象;胆红素继续上升,转氨酶反而下降;AFP明显升高,代表肝细胞再生状态;PT延长,是肝细胞坏死程度和预后判定的最灵敏指标。
1.急性心源性肝损害的治疗原则
(1)目标:维持心输出量,降低右心充盈压
(2)监测肝功能,调整药物用量
2.慢性淤血性肝病的治疗原则
(1)心脏原发病治疗
(2)积极降低右心充盈压:利尿、强心、腹水引流、血液滤过
(3)监测肝功能,调整药物用量
(4)保肝、护肝治疗
(5)淤血性肝硬化:参考肝硬化的一般治疗,综合评估后可以考虑肝移植或心肝联合移植。
原则一:尽量选择不经肝脏代谢又对肝脏无毒性的药物,避免肝脏功能的进一步损害

原则二:
精简用药种类,减少或停用无特异性治疗作用的药物;不宜使用疗效不确定的“保肝药”,而加重肝脏消除负担,宜停止用药,充分卧床休息
原则三:
避免选用经肝脏代谢活化的前体药物,直接选用活性母药。
依那普利活性低→肝内水解成二羧酸依那普利钠,作用是依那普利的10倍以上
原则四:
评估肝功能受损程度,结合药物经肝脏清除的程度和肝毒性大小,选择用药。必须使用对肝脏有毒性的药物时,应进行严密的生化监测,应定期检查肝脏功能(转氨酶、胆红素等);必须使用经肝脏代谢的药物时,应适当调整剂量;使用吗啡、芬太尼等麻醉镇痛药时,剂量应减半
原则五:
正确解读血药浓度监测结果;考虑蛋白结合率的影响;血药浓度测定值:全血浓度,肝功能损害→游离药物↑;某药的正常蛋白结合率99%,某肝硬化患者TDM测得全血浓度为A,则推测的游离药物浓度为1%A。而该患者实际蛋白结合率98%,实际游离药物浓度为2%A,比预计值增加一倍;考虑活性代谢物的影响
原则六:
充分考虑肝功能障碍时机体对药物敏感性的变化
(1)避免使用易诱发肝昏迷的药物:中枢抑制药(镇静催眠药、麻醉镇痛药)、强效利尿剂等
(2)避免使用ACEI、NSAID,以免诱发急性肾衰竭
1.药物剂量调整策略
2.对抗凝治疗的调整
(1)心衰合并肝功能不全患者凝血酶原浓度降低,常有PT延长,且静脉注射Vit K不能纠正,增加了抗凝治疗的出血风险。
(2)华法林:密切监测PT、INR,调整剂量。
(3)新型口服抗凝药(达比加群、利伐沙班、阿哌沙班等):由于无具体监测手段,建议更改为华法林。
3.肝硬化腹水患者应用利尿剂应注意:
(1)髓袢利尿剂反应低,效果差;
(2)宜采用保钾利尿药螺内酯:可以拮抗患者的高醛固酮水平,而且不受肾小球滤过率下降的影响;
(3)不宜长期使用排钾利尿药:因为低血钾可使神经元兴奋性增加,诱发肝性脑病;
不宜使用强效利尿药,或者一次利尿过多,导致有效循环血量减少,诱发肝昏迷。
4.加用针对肝功能不全的药物
(1)促肝细胞生长素和前列腺素E1等
(2)使用乳果糖或拉克替醇
(3)选用改善微循环药物
(4)抗氧化剂如还原型谷胱甘肽和N-乙酰半胱胺酸(NAC)
总结
(1)由心衰所致的心源性肝损害,分为急性心源性肝损害和慢性淤血性肝病两类。
(2)右心充盈压升高导致的肝静脉淤血及心排出量降低导致的血流灌注不足是心源性肝损害的两条主要机制。
(3)GGT、胆红素、白蛋白等肝功能指标可作为患者不良预后的预测因子。
(4)心源性肝损害的诊断需排除其他原发或系统性疾病,肝穿刺活检是诊断金标准。
(5)治疗上以针对病因为主,注意肝功能不全对药物代谢的影响,尤其是抗凝治疗。