

在2016年中国国际心力衰竭大会暨中国医师协会心力衰竭专业委员会第一届学术年会上,来自阜外医院HFCU的周琼教授给我们带来了“冠脉微血管病变”精彩报告。
心外膜血管狭窄
心外膜血管痉挛
血小板聚集
冠状动脉微血管功能异常
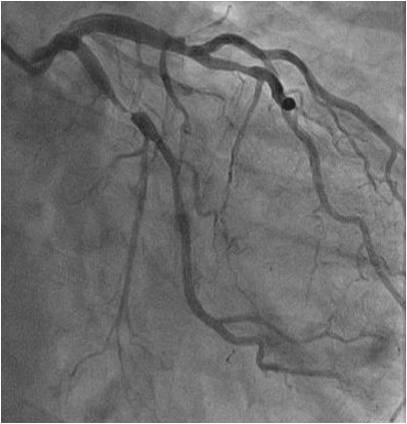
冠脉造影只能检测到5%的冠脉树,95%的冠脉微血管不可见



微血管功能障碍是SCAD的基本发病机制之一

心肌缺血的发病机制:
固定的或动态的心外膜冠状动脉狭窄
微血管功能障碍
局灶性或弥漫性心外膜冠脉痉挛
以上机制可能重叠,并随着 时间的迁移而改变
SCAD临床表现
稳定型心绞痛
病因: 心外膜血管狭窄
微血管心绞痛
病因: 冠状动脉微血管功能异常

接受择期冠状动脉患者的非有创检查结果和症状与阻塞CAD 的患病率(n=398,978)

心绞痛患者阻塞型ATS的观察与预测的患病率


(Cheng et al, Circultion 2011)
稳定型心绞痛,无阻塞ATS患者,对乙酰胆碱病理反应的发生率高

(Ong et al, JACC 2008)
内皮依赖的血管扩张反应受损,独立的血管扩张反应,CFR下降
对缩血管刺激反应增强,引起微血管痉挛
疼痛感知增强
心绞痛
1) 主要是劳累相关的
2) 偶尔安静时发作
3) 偶尔发作时间延长
负荷试验阳性
缺血性 ECG 改变或局部低灌注,无RWMA
缺乏阻塞性动脉粥样硬化
FFR >0.80
比较SA 和MVA时的心肌缺血

乙酰胆碱引发的微血管痉挛,提示微血管对缩血管刺激的反应增强


CFR < 2 提示微血管扩张 受损

女性SA伴NCA发生MACEs的危险较高(n=1,540)

无阻塞型CAD的SA女性发生MACEs的危险较高 (n=4,711)

微血管心绞痛的危险分层 (n=1218)

治疗MVA的流程图

Na+/Ca2+ 超负荷和心肌缺血

抑制窦房结: 依伐布雷定

If 电流是是一种 Na+/K+ 电流,激活窦房结起搏细胞
依伐布雷定
1) 选择性阻断If ,电流依赖
2) 降低了舒张期除极斜率, 减慢HR
抑制晚Na+电流: 雷诺嗪

研究设计

Seattle 心绞痛问卷和欧洲euro-qol
Higher is better



依伐布雷定和雷诺嗪 用于微血管心绞痛患者治疗中的作用
Higher is better

预适应血管扩张: 尼可地尔

尼可地尔对日本CAD患者心血管事件的影响 (n=5116)

尼可地尔对稳定型心绞痛高危患者冠状动脉事件的作用


尼可地尔对MVA患者运动引发的心绞痛的影响

总结
冠状动脉微血管功能异常 (CMD) 是引发微血管心绞痛 (MVA)的病因
MVA患者存在于至少1/3 的稳定型心绞痛患者中
MVA的预后比既往认为的更差; 因此识别并适当的治疗是非常重要的
CMD起非常关键的作用,也是稳定型心绞痛和阻塞型动脉粥样硬化的治疗靶点