
郭潇潇 魏冲 方理刚
北京协和医院
【关键词】心功能不全;单克隆蛋白血症;左束支传导阻滞
患者,男性,59岁,因“发现心功能不全2周”于2014年5月16日入院。患者骨科手术前查心电图示完全性左束支传导阻滞(complete left bundle branch block,CLBBB);心肌酶正常;继之行超声心动图:左心室增大,左心室舒张末内径71mm,室间隔及后壁厚度均为11 mm,左心室前壁、室间隔运动明显减低,左心室下后壁中下段运动减低,左心室射血分数(left ventricle ejection fraction,LVEF)35%,左心室舒张功能减低;Holter未见明显节律异常;运动+静息心肌灌注显像:左心室心尖、前壁、下壁心肌可逆性血流灌注减低,考虑心肌缺血;心肌PET显像:左心室心腔增大,左心室侧壁代谢异常增高,心尖、前壁、下壁可逆性灌注减低区和室间隔血流灌注不可逆减低区18F-FDP摄取均明显减低。患者无胸闷、胸痛、心悸等,可器械锻炼30min及上6层楼,为进一步诊治入院。既往史:血脂异常半年;因“手足麻木、走路不稳半年”于我院诊断脊髓型颈椎病。吸烟40年,20支/d,不饮酒,无长期服药史。无心血管病家族史。入院查体:血压 125/68 mmHg,心率60 次/min,指氧饱和度96%,体质指数24.4kg/m^2,颈静脉无怒张,双肺未闻及啰音,心界左下扩大,心律齐,各瓣膜区未闻及杂音,腹部无异常发现,双下肢无水肿。
分析
患者纽约心脏病协会心功能分级Ⅰ级,存在左心室明显增大,室壁厚度正常高限,节段性室壁运动减低,LVEF明显下降和CLBBB。核素心肌灌注显像示多节段心肌灌注可逆性缺损。心肌代谢显像提示相应节段心肌代谢减低。此患者心肌病变的原因考虑:
(1)缺血性心肌病,支持点是患者为中老年男性,有吸烟及血脂异常等冠心病危险因素,存在节段性室壁运动异常及相应节段灌注、代谢异常,但是患者无心肌缺血症状,室壁不薄,这些不符合缺血性心肌病的典型临床表现,可行冠状动脉造影协助诊断;
(2)非缺血性扩张型心肌病,此类心肌病也可出现节段性室壁运动异常及灌注减低,常见运动异常的节段包括室间隔、左心室前壁和下壁,与本例相符。扩张型心肌病亦可合并左束支传导阻滞。扩张型心肌病又划分为家族性(可有遗传基因突变)与非家族性两大类。非家族性的常见病因包括大量摄入酒精、自身免疫性疾病、快速心律失常、感染、神经肌肉性疾病及药物毒物等。但该患者无心脏疾病家族史,病史亦未提示上述继发性因素;
(3)浸润性心肌 病,患者左心室虽然扩大但是室壁厚度为正常高限,结合患者为中老年男性,有手脚麻木的症状,应警惕这个年龄段高发的多发性骨髓瘤,系统性淀粉样变等疾病。 补充查体发现患者存在体位性低血压:卧位血压119/54mmHg,心率59次/min,立位3min血压86/57mmHg,心率 67次/min。体位性低血压可为心肌淀粉样变的经典表现之一。
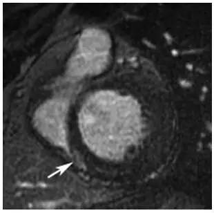
入院辅助检查:血常规:白细胞7.72×10^9/L,血红蛋白169g/L,血小板270×10^9/L;尿常规+沉渣未见异常;24 h尿蛋白0.09g;肝肾功能均正常;血脂:胆固醇4.35 mmol/L,三酰甘油2.43 mmol/L,高密度脂蛋白胆固醇1.03mmol/L,低密度脂蛋白胆固醇2.59 mmol/L;甲状腺功能正常;脑钠肽52ng/L;抗核抗体19项、抗中性粒细胞胞浆抗体均阴性;血清蛋白电泳:M蛋白19.2%,M蛋白15.10g/L;血免疫固定电泳:IgGκ(+);血游离轻链:κ/λ3.1(0.26~1.65);尿免疫固定电泳:游离κ阳性;血涂片:红细胞大小不等,呈缗钱状;骨髓涂片示浆细胞比例稍高(成熟浆细胞3.5%),形态正常。骨髓活检:骨髓中造血组织略增多,刚果红染色(-)。腹壁脂肪活检:刚果红染色弱阳性,κ和λ(-);齿龈、舌体活检:刚果红染色阴性。X线片:心影增大;头颅、骨盆、肱骨、股骨正侧位均未见异常。腹部超声:轻度脂肪肝;胸腹盆CT:双上肺偶见肺大泡。冠状动脉造影:前降支第一对角支近段管状狭窄最重50%,TIMI血流Ⅲ级;右冠状动脉后降支近段局限狭窄80%,TIMI血流Ⅲ级。心脏磁共振:左心室增大,左心室心肌略厚,LVEF35.4%,室间隔基底部及中部可疑灌注减低,室间隔与右心室下壁连接部位似见片状延迟强化(图1),心肌病变不除外。肌电图:双上肢神经源性损害(慢性)。睡眠呼吸监测:中度阻塞性睡眠呼吸暂停低通气综合征,侧卧位减轻。

图1 心脏磁共振显像(延迟钆增强)示室间隔与右心室下壁连接部位似见片状延迟强化(箭头所示)
分析
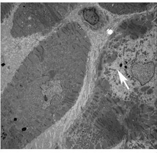
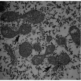
冠状动脉造影结果虽然明确提示存在冠心病,但前降支第一对角支和右冠状动脉后降支的狭窄不能解释左心室扩大和收缩功能重度减低。因患者存在IgGκ型M蛋白,故考虑浆细胞克隆性疾病,但后续检查未发现多发性骨髓瘤、浆细胞白血病、POEMS综合征等疾病相关证据。但轻链型系统性淀粉样变不能排除,该病可累及全身多系统包括心脏、肾脏、神经系统等。心肌淀粉样变的典型表现如下:心电图表现为QRS波低电压或假性心肌梗死样改变(如胸导联病理性Q波),可合并束支传导阻滞及多种类型心律失常。超声心动表现为左心室壁均匀增厚,心肌回声颗粒样增强,LVEF轻度降低,限制性舒张功能障碍,双心房增大,多数左心室腔不大或偏小,有些患者晚期可出现左心室扩大,LVEF明显下降。心肌磁共振表现为弥漫性片状延迟强化。其他系统表现包括眶周瘀斑、舌体肥大、大量蛋白尿、水肿、体位性低血压等,肌电图可提示神经源性损害。明确诊断需行骨髓、齿龈、舌体及腹壁脂肪活检,如发现淀粉样物质沉积即可确诊。本例患者虽然存在血清M蛋白,但心电图、心脏结构改变及心脏磁共振均非典型心肌淀粉样变表现,淀粉样物质沉积的其他系统表现亦不典型:无肾、肝、脾等脏器受累,肌电图异常仅 局限在上肢,并可用颈椎病来解释。体位性低血压可为系统性淀粉样变植物神经受累的特征表现,但是部分心力衰竭患者也会出现。进一步完善骨髓、齿龈、舌体及腹壁脂肪活检仅发现腹壁脂肪刚果红染色弱阳性。故诊断轻链型系统性淀粉样变证据不足,下一步应行心内膜活检。行心内膜活检,过程顺利;光镜病理(HE染色):部分心肌细胞肥大,排列紊乱,部分心肌细胞核增大,未见明确细胞坏死,间质纤维组织轻度增生,细胞间可见个别散在炎细胞浸润,心内膜下及小动脉壁见极少许粉染物,刚果红染色(局灶+),高锰酸钾化刚果红(-)。电镜:可见大量心肌细胞溶解坏死,细胞间闰盘结构破坏,线粒体变形,未见类淀粉蛋白细纤维聚集(图2)。


图2 电镜(心内膜活检病理)可见心肌细胞溶解坏死(A:箭头所示),细胞间闰盘结构破坏,线粒体变形(B:箭头所示)
分析
病理上诊断淀粉样变的要点包括:
(1)淀粉样沉积物在HE染色呈粉红色、无定形、蜡样、云絮样改变,有特征性裂纹;
(2)刚果红染色偏振光下呈特征性的双色性和苹果绿双折光;
(3)轻链型免疫组化染色蛋白沉积物呈λ或κ轻链阳性;
(4)电镜超微结构显示为随机排列、外径为7~10nm的原纤维结构。患者的电镜检查未能发现淀粉样蛋白细纤维沉积,光镜提示心肌淀粉样改变极轻微,且分布在心肌内小动脉壁周围,这些发现是否能解释临床所见如此严重的心脏结构和功能改变呢?检索文献发现,淀粉样物质可以多种方式在心脏沉积,常见为心内膜、心肌间质内,极少数可在毛细血管、冠状动脉沉积,导致心肌缺血性改变,后者常常有心绞痛症状并且病情进展迅速。因此,此例患者心肌活检明确心内膜下及心肌毛细血管壁仅存在极少量淀粉样物质沉积,不能解释其严重的心脏影像学改变,即不能认为左心室扩大及收缩减低是心肌淀粉样物质沉积的结果。再次回顾病例,患者存在CLBBB,具体持续时间不详,而CLBBB既是心肌病变结果,也可以是心肌病变的原因。研究表明,长期左束支传导阻滞可使左心室壁各节段收缩欠协调、不同步,室壁节段灌注减低,最终进展为扩张型心肌病,平均出现时间在LBBB出现后11.6年。此患者心肌病变不除外系由长期LBBB所致。此外,该患者存在中度阻塞性睡眠呼吸暂停低通气综合征及中度睡眠低氧,睡眠呼吸暂停与体位明显相关。研究发现,在40~70岁之间的男性患者中,睡眠呼吸暂停低通气指数>30次/h的患者较<5次/h的患者发生慢性心力衰竭的风险高58%。因此该患者睡眠呼吸障碍虽然不能解释心力衰竭的发生,但可成为加重心力衰竭的因素。建议行持续正压通气压力测定或口腔矫治器+体位治疗。
因此,在与患者充分交代病情及沟通后,予冠心病二级预防及抗心功能不全药物治疗,暂未予浆细胞疾病相关治疗。药物包括阿司匹林、倍他乐克缓释片(逐渐加量至47.5mg/d),培哚普利(逐渐加量至6mg/d),瑞舒伐他汀,单硝酸异山梨酯片。监测血压 90~100/50~60mmHg,心率55~65次/min。4个月后复查超声心动图示左心扩大及收缩功能较前好转,左心室舒张末内径64mm,LVEF44%。1年后随诊患者心功能Ⅰ级,复查超声心动示心脏结构和功能明显改善,左心室舒张末内径56 mm,LVEF54%,卧立位血压检查未提示体位性低血压。
分析
尽管患者有心肌淀粉变的部分证据,但不充分,心肌淀粉样变左心室腔多正常或减小,左心室扩大少见,患者心电图亦未见低电压和伪心肌梗死样改变。此外未经抗浆细胞病因治疗,只经最佳抗心力衰竭药物治疗后,左心室大小及LVEF明显改善也不符合心肌淀粉样变的一般转归。但因患者病理存在心肌淀粉样变证据,对此患者应进行规律随访。
本例提示在引起左心室收缩功能减低的原发病病因不很明确的情况下,可暂缓针对原发病的治疗,但应进行积极的规范抗慢性心力衰竭治疗,并密切随诊观察,患者的异常心脏结构和功能有可能明显改善。
来源:中国心血管杂志
