
心脏核磁共振被认为是无创性评估心脏结构和功能的“金标准”,对于心力衰竭患者,心脏核磁共振有哪些用途?近期,浙江大学医学院附属第二医院徐晓红、徐耕在我刊发文总结了磁共振在慢性心衰诊治中的作用。
作者认为,在不远的将来,心脏核磁共振或可成为心衰患者的常规检查手段之一。因为其不仅可显现心脏结构及功能,辨别各种导致心脏功能障碍的原因,还可以指导CRT治疗,提供临床危险分层和预后信息,已成为心衰患者的“一站式”检查手段。
1、缺血性心脏病:有效地识别存活心肌和瘢痕组织
心肌缺血组织的典型表现是按病变冠脉血流分布的区域性心内膜下或透壁性延迟强化。核磁共振诊断缺血性心脏病的敏感性为89%,特异性为87%,与冠状动脉造影术诊断一致性达70%以上。
其次可有效地识别存活心肌和瘢痕组织,与SPECT显示出良好的一致性。并可判断心内膜下心肌损害,甚至可以定量心肌存活比例。 钆剂延迟增强显示的延迟强化透壁程度与缺血性心脏病的临床预后密切相关。
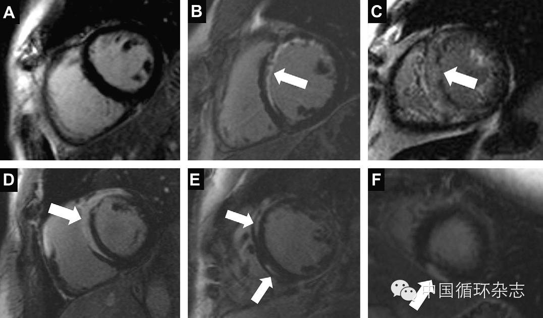
图1:

A、正常心肌组织:钆剂延迟增强没有强化
B、心梗/心肌纤维化:心内膜下延迟强化高信号
C、心肌淀粉样变性:左室增厚,心内膜下弥漫LGE强化
D、心肌结节病:左室前壁、室间隔、右室壁心外膜强化
E、扩张性心肌病:壁间延迟强化
F、活动性心肌炎:心外膜下片状延迟强化
2、扩张性心肌病:钆剂延迟增强延迟强化者预后不佳
钆剂延迟增强延迟强化典型表现为壁间斑片状或弥漫性延迟强化。但只有约1/3扩心患者可以表现为上述典型延迟强化,这种延迟强化被认为与临床预后不良相关。
3、肥厚型心肌病:识别需要植入ICD的患者
典型表现为发生在室间隔与右心室游离壁结合部或室间隔最厚区域的片状、多灶状强化,可见于约63%肥厚性心脏病患者中。钆剂延迟增强阳性者发生恶性心律失常的概率增加7倍,心源性死亡的概率增加8倍,提示在心衰患者中,钆剂延迟增强 阳性的肥厚性心脏病患者是植入ICD的强烈指征。
4、心肌致密化不全:心脏超声易漏诊
表现为除粗大肌小梁及隐窝外,收缩末期病变区除心尖外至少有一个节段舒张期非致密化层/致密化层(N/C)>2。心脏超声对于观察心尖部病变受到很大限制,容易出现漏诊。核磁共振可检测出心肌瘢痕及隐藏在隐窝中的血栓。
5、识别其他类型的心肌疾病:防患于未然
包括急性心肌炎、心肌结节病、心肌淀粉样变性、血色素沉积症。与特发性心肌病患者相比,浸润性心肌病患者死亡风险增大4.4倍,心肌淀粉样变性及血色素沉积性心肌病预后最差,死亡风险可分别达7.4倍、8.9倍。
6、核磁共振可更准确测量心功能
扩张性心肌病患者常常心脏形态变化,并进展成球形,不宜用几何模型假象;而缺血性心肌病心衰患者,因节段室壁运动异常、室壁瘤等因素可造成心功能测量误差。
有作者比较了心脏超声、放射性核素心室显像术和心脏磁共振,发现核磁共振更适于判断心衰患者的心脏容积与功能,而心脏超声的准确性较差。
7、舒张性心衰患者:评价心肌纤维化和左房功能
弥漫性心肌纤维化是舒张功能不全的一个重要因素。延迟增强MRI技术可以通过静脉注入钆对比剂后直接观察心肌纤维化,典型表现为“延迟强化效应”。
一方面,LGE延迟强化范围较小的心衰患者,经积极药物治疗后,心脏收缩功能可得到明显恢复。
另一方面,核磁显示的纤维化边缘心肌缺血区域的大小是室速的预测因子,可用于指导ICD治疗。
8、指导CRT植入:选择左室导线最佳植入位点
核磁共振可定量左心室壁心肌各节段运动最大径向位移,获得左心室不同步指数。左心室不同步指数是心衰患者植入CRT后全因死亡率及主要心血管事件的独立预测因素。核磁共振心肌标记技术绘制的三维心脏机械同步图,反映了左心室最晚激动区的分布及大小,对选择左室导线最佳植入位点有帮助,避免瘢痕处起搏,提高CRT患者的术后应答及临床预后。
文献来源:
徐晓红, 徐耕. 心脏磁共振成像在慢性心力衰竭诊断及治疗中的研究进展. 中国循环杂志, 2015, 30: 610-613.
转载请标明来源:中国循环杂志