首页
新闻
学术前沿
公开课
心衰国际学院
心衰医联体
心衰年会
心衰日
专家团队
联系我们
学术前沿
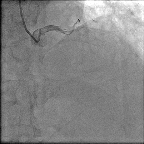
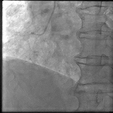
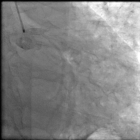
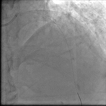
【临床病例】心肌梗死、心力衰竭患者心室率控制不佳怎么办?--新型If通道阻滞剂的应用
点击量: 时间:2016-06-21 20:00
文章来自:中山二院心脏病MDT 叶伟斌 张坤
上一篇:
【热点聚焦】新探索:伊伐布雷定在易损期内心衰患者中的应用价值
下一篇:
【热点聚焦】:2016 年 ESC《急慢性心力衰竭诊断与治疗指南》
学术前沿