

入院信息
日期:2016年6月16日 1点50分
患者基本信息:华X,男,45岁7月
主诉:胸闷胸痛8小时
入院诊断:
1、冠心病、急性冠脉综合征?
2、主动脉夹层?
3、低钾血症
病 例 介 绍
现病史:
入院前8小时,患者于活动中突然出现胸闷胸痛,呈胸前区持续闷痛感,伴明显气促、大汗,无明显放射性疼痛,无恶心呕吐,无晕厥黑矇,症状持续1小时左右稍有缓解,但胸闷胸痛仍较明显,立即到当地医院就诊,给予相关处理,无明显改善,为求进一步诊治,遂来我院就诊,门诊以“急性冠脉综合征”收入CCU治疗。
患者自发病以来,精神差,食欲差,睡眠可,二便正常
既往史:否认高血压病史(自诉未测量过血压),否认糖尿病病史,否认肝炎、结核或其他传染病史,否认过敏史,否认手术史。
体格检查
T:36℃,P:79次/分,R:20次/分,BP 220/134mmHg。
神志清楚,痛苦病容,皮肤巩膜无黄染,全身浅表淋巴结未扪及肿大。颈静脉正常。心界正常,心律齐,各瓣膜区未闻及杂音。胸廓未见异常,双肺叩诊呈清音。双肺呼吸音清,未闻及干湿罗音。腹部外形正常,全腹软,无压痛及反跳痛,腹部未扪及包块。肝脏肋下未触及。脾脏肋下未触及。双肾未触及。双下肢无水肿。
辅助检查
急诊心电图显示:“广泛胸前导联ST段抬高,T波倒置”
◆血钾:4.45mmol/L,
◆尿钠素(NT-proBNP):460pg/ml (0-88)
◆肌钙蛋白-T: 31ng/L。
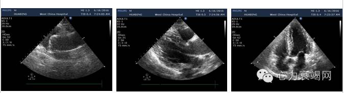
心脏彩超

1、左房稍大,余房室大小正常;主动脉明显增宽。主动脉弓降部近端未见明显异常。
2、室间隔明显增厚(IVS 14mm) ,左室后壁稍厚(LVPW 12mm),左室壁搏幅正常,未见明显室壁节段性运动异常。
3、左室流出道前向血流未见明显加速。
4、心包未见积液;
5、左室收缩功能侧值正常。
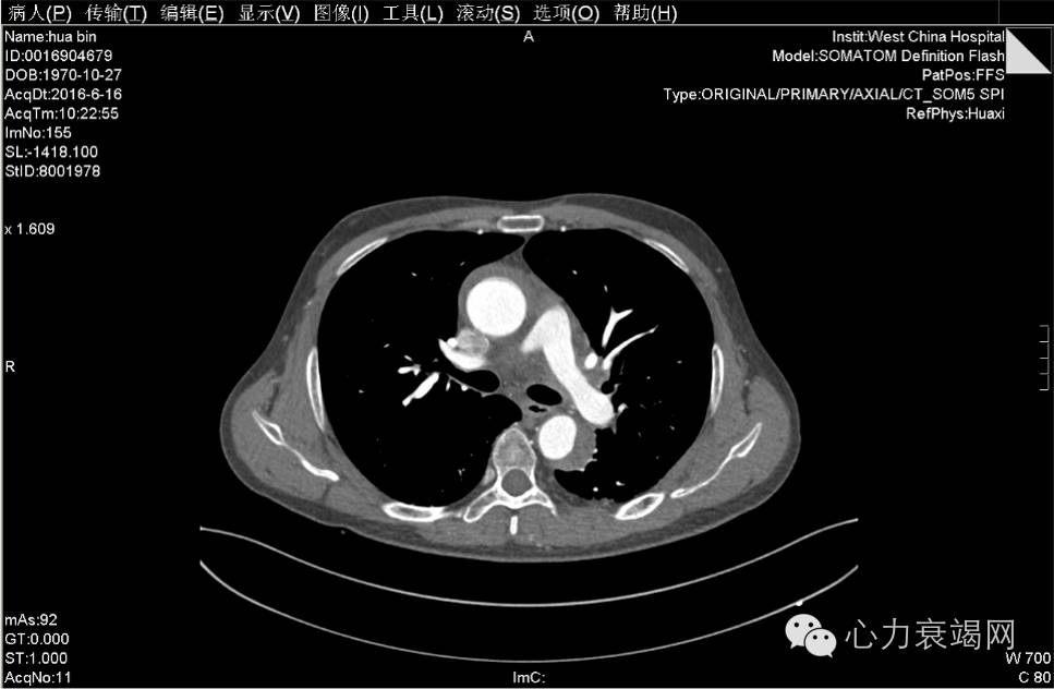
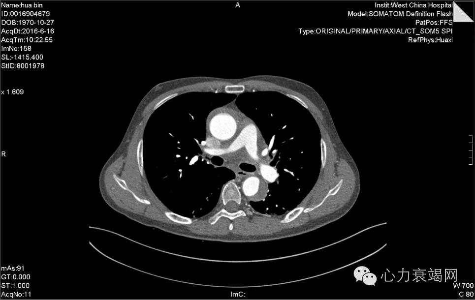
夹层动脉瘤CT
CTA示:主动脉壁内血肿,起自升主动脉根部,至降主动脉下段,并累及头臂干、左颈总动脉、左锁骨下动脉起始处,主动脉弓水平壁内血肿内见团片状低密度影,并见内膜小破口,增强见造影剂由破口进入壁内血肿,考虑局限性夹层?或其他,请结合临床。脾动脉稍迂曲。心脏稍增大,心包少许积液或心包增厚,主动脉壁少许钙化。双肺少许炎症,下叶为主。双侧胸腔少许积液或胸膜增厚。肝左外叶小囊肿。肝右后叶钙化灶。左肾囊肿。




实验室检查





患者诊断
◆急性主动脉壁内血肿伴局限性夹层形成
◆高血压病3级 极高危
诊疗经过
药物及其他处理
◆急诊心脏外科会诊,意见:患者以主动脉壁内血肿为主,仅见局限性夹层,目前可内科保守治疗,治疗过程中出现胸痛加重,夹层进展再考虑外科手术治疗。
◆口服药物:
| 药物名称 | 服用剂量 | 服用频率 |
| 硝苯地平控释片 | 30mg | bid |
| 培哚普利 | 8mg | qd |
| 瑞舒伐他汀 | 10mg | qn |
| 安定 | 2.5mg | tid |
◆静脉药物:艾司洛尔(用法见后)、乌拉地尔
◆其他:肌注吗啡止痛
爱络使用记录
◆使用方法:持续静脉泵入
◆使用时间及剂量:
2016年6月16日 500mg+NS至50ml
10ml/h→15ml/h →20ml/h →25ml/h
2016年6月16日至19日 25ml/h 维持
2016年6月20日调整剂量为15ml
2016年6月21日调整剂量为25ml(降压后反射性心率加快)
住院期间心率变化

病情转归
◆2016年6月21日转入心内科普通病房,患者一般情况可,稍感乏力。未诉胸闷及胸痛,无呼吸困难,无咳嗽及咳痰。
◆主要体征:T:37.5℃,P 62次/分,R:20次/分,BP:142/90mmHg
主动脉壁间血肿
◆主动脉壁间血肿(Intramural hemorrhage,IMH)是发病率较低的一种心血管疾病,既往曾有学者将其作为主动脉夹层的特殊类型或先兆病变来看待,随着对本病认识程度加深,目前认为本病为一种独立的疾病,其与主动脉夹层、穿透性粥样硬化主动脉溃疡统称为主动脉综合征。
◆本病治疗原则同急性冠脉综合征类似,以降压缓解胸痛为主要治疗目的。常采用的手段包括药物治疗、手术治疗及介入治疗,首先,由于患者多伴有高血压,药物治疗通常以β受体阻滞剂联合血管扩张剂为主。
参考文献:
主动脉壁间血肿的诊疗进展[J]. 海南医学,2014,06:854-856.
主动脉壁间血肿的诊断与治疗[J]. 中国胸心血管外科临床杂志,2014,05:690-692
小结与讨论
◆β受体阻滞剂通过减慢心率、减低心肌收缩力、降低血压,能减轻血液对主动脉壁的剪切力,同时降低交感兴奋产生的不良效应,是急性主动脉综合征治疗中相当重要的药物。
◆口服β受体阻滞剂起效较慢,在急性主动脉综合征的急救治疗中,推荐尽早使用静脉β受体阻滞剂,以期能迅速起效,尽快控制症状,降低早期死亡率。
◆若血压心率能耐受,可考虑初始给予静推负荷量以尽快达到足够的血药浓度。
◆该例患者年龄不大,一般情况较好,对β受体阻滞剂耐受性较好,使用中我们逐渐加大了给药量,直到患者心率血压稳定在我们的目标范围内。
◆该患者在降压的同时出现了反射性的心率增快,我们及时加大了β受体阻滞剂的剂量,抵消了心率增快带来的不良效果。
◆对急性主动脉综合征的患者,静脉β受体阻滞剂起效快、耐受性好,控制心率、血压稳定,在无禁忌症的情况下可积极考虑使用。
作者简介
姓名: 魏欣
单位:四川大学华西医院
科室:CCU
联系方式:gates-w@163.com
学术兼职:
中国医师协会心脏重症青年委员
中国医师协会高血压专委会青年委员
四川医师协会心血管分会青年委员
擅长领域:高血压及心脏重症的诊治
以上便是魏欣的超短效静脉β受体阻滞剂 (爱络)的合理应用病例分享。欢迎关注微信公众号“心力衰竭网”,在该篇病例留下的精彩点评!小编会用心品读您的点评。
点评后,请持续关注我们之后的评选结果。预祝您的点评榜上有名!
评论有奖 1、参与对象:关注心力衰竭网的所有粉丝
2、内容:对于公众号中发布的病例进行点评
3、本期奖品:价值50元的充值卡一张(仅限2名哦!)
4、评比规则:在每期病例发布后一周内,点击下方“写留言”进行评论。
5、精彩评论统计截止时间:下周一(10月31日)早上9:00。
6、中奖名单公布:中奖名单将于下期图文消息公布,中奖者可与小编联系。
【中奖名单】小编喊你来领话费充值卡!
截至2016年10月17日9时,(心力衰竭网)“爱悦心动力-艾司洛尔”病例大赛活动第一期——汪洁的急性心梗应用艾司洛尔病例分享精彩评论时间已经结束。
不管您的评论是否榜上有名,感谢所有人的积极参与!
获奖名单 瞅瞅我们的获奖小伙伴的精彩点评!
第一名:
第二名:
恭喜以上2名小伙伴获得“50元的话费充值卡”一张!其他人也不要灰心,下期精彩点评我们不见不散!