

病 史
55岁女性,于2014-1-14 21:50因 “胸闷3天。”入院收入心内科。
现病史:患者近一周前受凉后出现鼻塞,全身不适等感冒症状,自服中药(具体不详),症状未有改善,3天前出现胸闷,与活动无关,且无胸痛,心悸,无咳嗽,咳痰,无发热等不适,未予重视,今日18时胸闷加重,同时觉咽部有异物感,至外院就诊,经检查提示“急性前壁心梗,室性心动过速”,故立即转入我院心内科。
既往体健。
查体:T36.2℃,BP89/50mmHg,R21bpm,P188bpm
神清,双肺闻及大量湿罗音,无哮鸣音,心率188次/分,律齐,无杂音。腹平软,全腹无压痛及反跳痛,肝脾未及,肠鸣音4次/分,双下肢无水肿。
检查资料
心电图



诊疗记录
入院后反复室性心动过速,休克——胺碘酮150mgji静推2次,后1.5mg/min维持,利多卡因100mg静推,多巴胺维持血压,第1天 1-15
22:00 室速 , SPO2 90%——200J电复律7次
22:16 心脏呼吸骤停, ——心肺复苏,气管插管,呼吸机辅助呼吸,
22:57自主心率恢复,意识恢复,休克
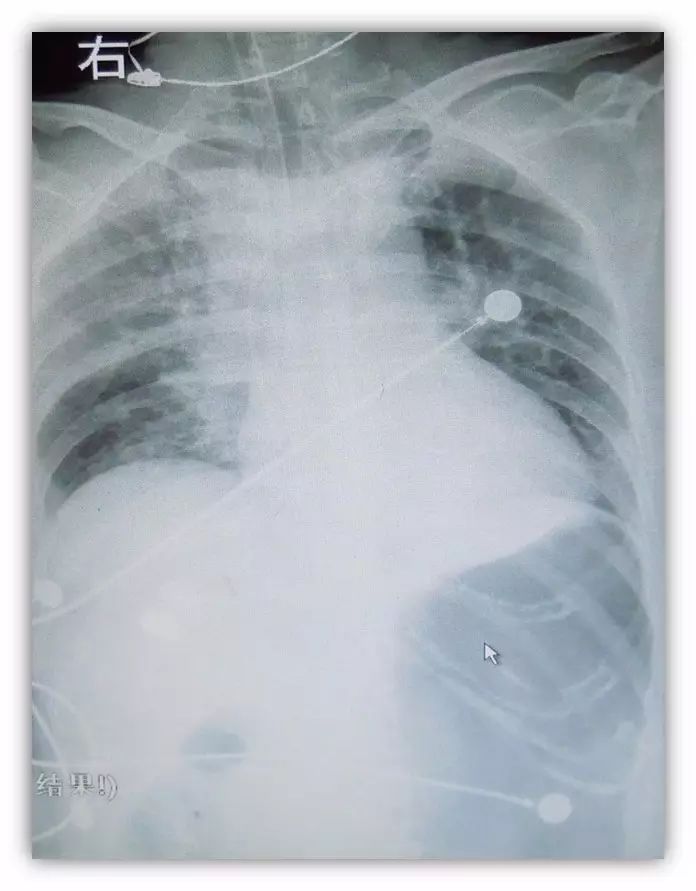
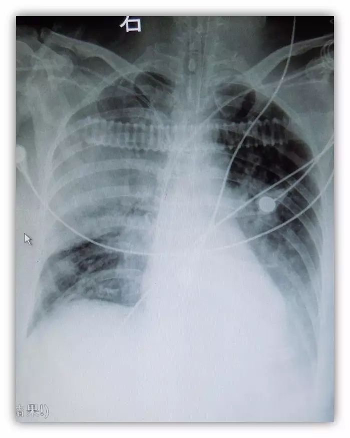
23:52 大量粉红色泡沫痰,双肺大量湿罗音
1-15 01:04 CA术+双侧肺动脉造影术:均未发现明显异常、
反复出现室速,予反复电除颤10余次。入院后无尿。
入院第一天
入科前再次频繁发作室速10余次,反复除颤,病人意识模糊,T36.4℃,BP80/40mmHg(股动脉),P196bpm SPO2 92%, SIMV,PC/PEEP12/10cmH2O, F16次/分,FiO2:100%, RLS4级,深昏迷,双瞳等大同圆,对光反射迟钝,双肺均可闻及湿罗音,无哮鸣音,心率196次/分。腹-,四肢无自主活动。



初步诊断
1.胸闷查因:爆发性心肌炎可能
2.恶性心律失常,交感风暴
3.多器官功能衰竭(肝,肾,循环)
4.误吸,肺部感染
5.心肺复苏术后
6.急性胰腺炎可能
7.高乳酸血症
8.电解质紊乱
APACHE II 32,死亡率71%


治疗过程
频繁发作室速,反复除颤不能控制,病人血压不稳,意识模糊
NO.1 控制心律失常



入院第二天
无心律失常发作,但持续高热40.5°,点头样呼吸,饱和度低,无尿
SIMV,PC/PEEP20/10cmH2O, F16次/分,FiO2:100%, T39℃,BP80/40mmHg(股动脉),P80-118bpm SPO2 85-88%, RLS8级,双瞳等大同圆,双无干湿罗音,无哮鸣音,心率80-118次/分。腹-,四肢无自主活动,四肢指端肿胀明显。

多巴胺20ug/kg/min
去甲肾上腺素1.5ug/kg/min



APACHE II 41,死亡率82%
病程趋势
血液净化

胺碘酮的使用
















特殊检查
血培养未有阳性结果
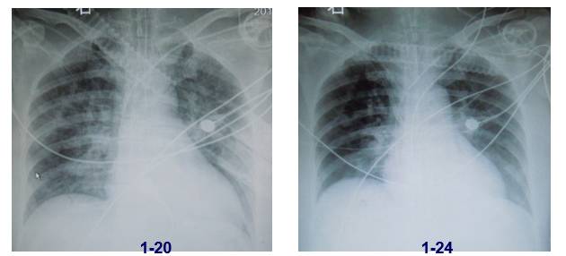
1.24痰培养 白色假丝酵母样菌
腹部B超未见有明显异常

治疗调整

病情转归

床旁心脏彩超:
室间隔运动减弱,各房室内径正常,EF64%



患者最终病情恶化考虑感染加重
思 考
血流动力学

治治疗调整疗调整
患者最终病情恶化患者最终病情恶化考虑感染加重考虑感染加重
患者最终病情恶化考虑感染加重
作者简介
姓名: 喻雯
单位:昆明医科大学 第一附属医院
科室:急诊ICU
联系方式:gates-w@163.com
学术兼职:医师
以上便是喻雯艾司洛尔在急性心梗合并心律失常及并发感染的综合应用病例分享。欢迎关注微信公众号“心力衰竭网”,在该篇病例留下的精彩点评!小编会用心品读您的点评。
点评后,请持续关注我们之后的评选结果。预祝您的点评榜上有名!
评论有奖 1、参与对象:关注心力衰竭网的所有粉丝
2、内容:对于公众号中发布的病例进行点评
3、本期奖品:价值50元的充值卡一张(仅限2名哦!)
4、评比规则:在每期病例发布后一周内,点击下方“写留言”进行评论。
5、精彩评论统计截止时间:下周一(10月31日)早上9:00。
6、中奖名单公布:中奖名单将于下期图文消息公布,中奖者可与小编联系。
【中奖名单】小编喊你来领话费充值卡!
截至2016年10月31日9时,(心力衰竭网)“爱悦心动力-艾司洛尔”病例大赛活动第二期——【病例大赛】魏欣:超短效静脉β受体阻滞剂 (爱络)的合理应用病例分享精彩评论时间已经结束。
不管您的评论是否榜上有名,感谢所有人的积极参与!
获奖名单 瞅瞅我们的获奖小伙伴的精彩点评!
第一名:
第二名:
恭喜以上2名小伙伴获得“50元的话费充值卡”一张!其他人也不要灰心,下期精彩点评我们不见不散!