

病史
患者男,49岁,因“被发现神志不清3天”入院。
患者3天前于家中被发现意识不清,呼之不应,伴呕吐、二便失禁,120送至某医院。
诊断为“急性冠脉综合症,脑梗塞”,生命体征不稳定,未行PCI,给予药物抗凝、抗血小板、抗休克、CRRT等治疗,患者血压需大剂量去甲肾上腺素维持,顽固性交界性逸博,体外起搏效果差,伴肝肾功能进行性恶化,为行ECMO治疗,转入我院。
入院情况
查体:T36.8℃,P82次/分,BP120/77mmhg(去甲肾上腺素针0.4ug/kg.min维持),气管插管辅助呼吸,pc模式,PC18cm H2O,F16次/分,PEEP10cm H2O,FIO₂ 80%。神志昏迷,GCS评分6分,双侧瞳孔0.1cm,对光反应迟钝,颈静脉充盈,双侧呼吸音粗,可闻及干湿啰音,心律不齐,心界无明显扩大,腹隆,肠鸣音弱,双下肢无水肿。右侧肢体活动少,巴氏征阳性。
急诊血常规5+CRP:白细胞 15.7*10^9/L,中性粒细胞% 81.3%,血红蛋白 142g/L,血小板 92*10^9/L,超敏C-反应蛋白 大于160mg/L;
TNI+急诊生化+降钙素原:丙氨酸氨基转移酶 6730U/L,门冬氨酸氨基转移酶 3650U/L,总蛋白 55.9g/L,白蛋白 31.8g/L,总胆红素 73.5μmol/L,尿素 21.63mmol/L,肌酐 424μmol/L,葡萄糖 13.12mmol/L,肌酸激酶 2821U/L,肌酸激酶同工酶MB 74U/L,乳酸脱氢酶 3149U/L,钾 4.83mmol/L,肌钙蛋白I定量 >80.0ug/L,降钙素原 1.98ng/ml;
血气分析示:PH7.34 PaO2 80mmhg BE-12mmol/l Lac6.8mmol/l Scvo2 60%.
心电图:窦性心律,房性早搏,下壁异常Q波伴ST段弓背向上抬高0.1-0.15mv,不完全性右束支传导阻滞,ST-T段改变

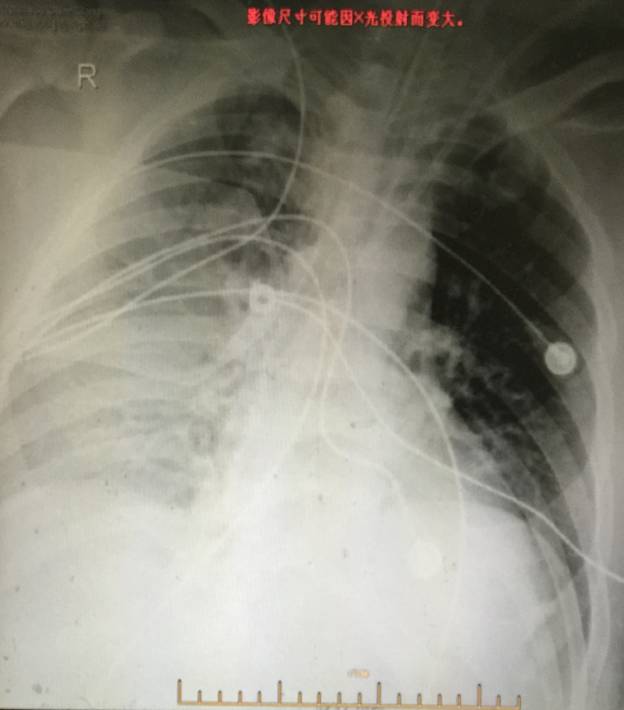
胸片:

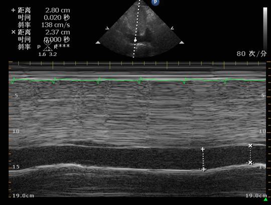
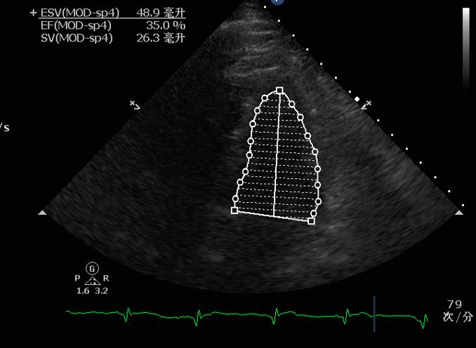
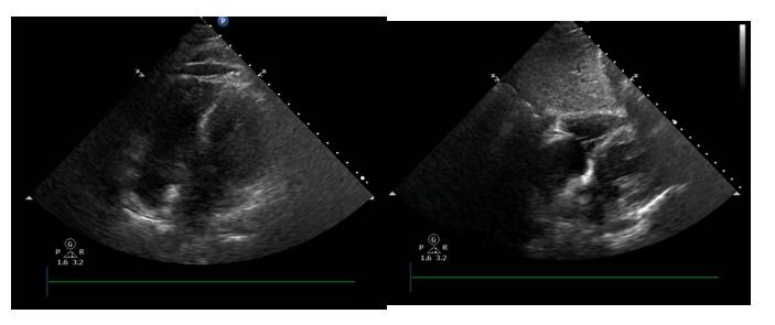
心脏彩超
右:左=1:1

IVC>2.5cm

EF:0.35

入院诊断
♥冠脉粥样硬化性心脏病 急性下壁心肌梗死 心源性休克 心律失常
♥ 左额叶脑梗塞
♥多脏器功能不全(循环,呼吸,肝,肾)
♥高血压病
♥糖尿病

诊疗方案
♥密切监测生命体征,抗休克,呼吸机保证氧供
♥监测心电图、心超、微循环灌注、脏器功能等变化,评估ECMO治疗指征
♥阿司匹林+氯吡格雷片抗血小板,磷酸肌酸、左卡尼汀针营养心肌,哌拉西林他唑巴坦针4.5g静滴q6h抗感染治疗,CRRT(超滤量250ml/h),护肝,醒脑等治疗
♥ECMO准备过程中患者心电活动不稳定,出现心跳骤停,立即给予胸外心脏按压,肾上腺素推注,患者心律转为室上速,给予艾司洛尔(0.05-0.1mg/kg/min)控制心律处理。


艾司洛尔注射前后心率血压变化



治疗过程
♥心电始终不稳定,以窦性和交界性心律为主,心率慢,最低38次/分,尝试小剂量多巴胺/肾上腺素强心、提升心率,但频发室上速/室速,伴血压下降,54/49mmHg左右
♥床边心超提示:心率增快时左心收缩力明显减弱,伴充盈压高,予以艾司洛尔(0.05mg/kg/min)控制心室率后心率降至55左右,血压明显改善,102/70mmHg,复查心超左心收缩舒张功能均改善。

功能改善情况


体循环淤血改善

循环有所改善
♥去甲肾上腺素:0.4ug—0.09ug/kg/min
♥乳酸:正常范围
心肌酶变化


肝酶变化



转 归
♥心电稳定
♥心脏舒缩功能好转,循环灌注改善(无酸中毒,乳酸正常)
♥神志清,咳嗽反射良好
♥撤离ECMO
小结
♥艾司洛尔可以抑制急性心梗交感风暴
♥艾司洛尔有效控制快速性心律失常,无明显负性肌力作用
♥艾司洛尔通过降低心率,可改善心室舒张功能

以上便是朱英的艾司洛尔应用于急性心肌梗死的病例分享。欢迎关注微信公众号“心力衰竭网”,在该篇病例留下的精彩点评!小编会用心品读您的点评。
点评后,请持续关注我们之后的评选结果。预祝您的点评榜上有名!
评论有奖 1、参与对象:关注心力衰竭网的所有粉丝
2、内容:对于公众号中发布的病例进行点评
3、本期奖品:价值50元的充值卡一张+8G优盘一个(仅限3名哦!)
4、评比规则:在每期病例发布后一周内,点击下方“写留言”进行评论。
5、精彩评论统计截止时间:11月30日早上9:00。
6、中奖名单公布:中奖名单将于下期图文消息公布,中奖者可与小编联系。