

入院信息
◆患者男性,41岁,因“劳累后心前区疼痛件胸闷、乏力3年余”为主诉于2016年7月20日入院。
◆入院体格检查:体温:36.8℃,脉搏:68次/min,呼吸:16次/min,血压:116/68 mmHg,神志清,精神可,双肺呼吸音清,未及干湿性罗音,心前区无异常隆起,心尖搏动不可明视,心律齐,心音低钝,心脏各瓣膜区未及病理性杂音,未闻及心包摩擦音。
辅助检查
◆2016年7月22日心电图:窦性心动过缓,45次/min,PR间期延长,224ms。
◆2016年7月22日心脏B超示:左室舒张功能减低,升主动脉及主动脉弓、降主动脉粥样斑块形成。
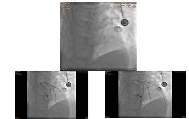
◆2016年3月15日冠状动脉造影示:前降支远段心肌桥,收缩时90%狭窄。
影像学资料

入院诊断
入院诊断
◆冠状动脉粥样硬化性心脏病
◆不稳定性心绞痛,心功能Ⅱ级(NYHA)
◆高血压病III 级(极高危组)。
修正诊断
◆先天性心脏病,冠状动脉心肌桥
◆不稳定性心绞痛,心功能Ⅱ级(NYHA)
诊治经过
◆入院后完善各项检查,无明确手术禁忌,于2016年8月1日15:00在脱泵(心脏不停跳)下行前降支心肌桥松解,冠状动脉搭桥术,术中见心脏明显扩大,收缩乏力,左心为主,前降支中段见一长约10mm,厚约2mm心肌桥,管壁正常,左侧乳内动脉前向血流佳。
◆游离左侧乳内动脉备用。松解前降支中段肌桥,行LIMA-LAD吻合,手术过程平稳,于17:00返回心外科监护室。入室后患者生命体征平稳,于2016年8月2日0:30无诱因出现室速,件血压下降,立即予心肺复苏。

一次性多功能除颤电极片

药物应用
胺碘酮150mg 静推,并持续微泵维持,300mg/50ml,10ml/h微量泵泵入,室速发作无明显改善,后给予艾司洛尔800mg/h微泵泵入, 室速发作次数开始减少,于3:40终止发作,后艾司洛尔200-300mg/h 微泵维持。胺碘酮3ml/h微量泵泵入。补充钾、镁,维持电解质及内环境稳定,共给予除颤/电复律治疗16次。
镇痛、镇静
◆充分镇痛、镇静:舒芬太尼100ug+力月西50mg+苯磺顺阿曲库胺10mg/50ml,微量泵泵入15ml/h
◆发作终止后,改为舒芬太尼100ug+佑美托咪啶200ug/50ml,10ml/h泵入
◆脱离呼吸机时,逐渐减停
术后心电图






术后当晚

脱离呼吸机后

转 归
◆患者于2016年8月4日拔除气管插管
◆2016年8月5日撤除IABP,2016年8月6日转出监护室
小 结
◆本病例有如下特点:患者为中年男性,冠状动脉搭桥术后,有缺血再灌注损伤。缺血再灌注可致细胞膜离子通道的构型最终改变,导致大量钠、钙离子内流,钾离子外流,引发各种恶性心律失常。
◆在电风暴急性发作期,尽快的电复律和抗心律失常药物的应用,终止室速或室颤,恢复有效的血流动力学,为后续治疗赢得机会,特别是大剂量β受体阻滞剂的应用可有效的控制电风暴的发作,且β受体阻滞剂可以使动作电位恢复曲线平滑,降低传导速度,把多子波室颤转化为局灶性的慢室颤。
◆2006年ACC/AHA/ESC的《室性心律失常治疗和心脏性猝死预防指南》指出β受体阻滞剂是“心室电风暴”一线治疗药物,兼有阻断钠、钙内流及钾外流的作用,同时抑制交感神经中枢,抑制其过度激活.提高室颤阈值,降低病死率。
◆本例病例在应用胺碘酮无效时及时改用大剂量艾司洛尔,终止了电风暴,并且未出现血流动力学恶化的不良后果。
◆发作终止后,继续静脉泵入艾司洛尔维持3-5天,一般维持治疗1周,改用口服β受体阻滞剂治疗。小 结
救治体会
◆心室交感电风暴是心源性猝死的重要机制,发病急、病情重、复苏难、病死率高,因此应迅速识别、及时救治,以尽快挽救患者生命,降低病死率。
◆心室交感电风暴最常见的原因是心肌缺血或心肌梗死,在救治时尽早应用主动脉内球囊反搏给予机械辅助,保证冠脉供血。
◆在除颤/电复律治疗时,给予有效的心外按压,保证重要脏器的血供。
◆除颤/电复律可应用一次性多功能除颤电极片,这样可以保证每次除颤/电复律的有效性,节约时间,还可以防止多次电击导致皮肤的灼伤。
◆镇痛、镇静足量,避免早清醒,高应激,增加交感神经系统的兴奋性。
◆给予综合治疗,保证供氧,改善心功能,可以改善预后。本例患者抢救成功,
无并发症,获益于综合有效的抢救措施,为以后的患者积累了一些宝贵经验。加重考虑感染加重
患者最终情恶化考虑感染加重
作者简介
姓名:孟树萍
单位:河南省人民医院
科室:心血管外科重症、 监护室
学术兼职:
中国医疗保健国际交流促进会心脏重症分会常务委员
中国心胸血管麻醉学会心血管外科围术期医学分会常务委员
河南省呼吸与危重症学会重症医学分会第一届委员会常务委员
河南省医师协会第一届心血管外科医师分会委员会委员
河南省医学会重症医学分会第三届委员会委员
河南省医师协会首届重症医学医师分会委员会委员
河南省医学会重症医学分会第二届呼吸学组委员
擅长领域:
熟练掌握各种心脏病外科围术期的各种临床管理,床旁可完成深静脉穿刺、动脉穿刺、气管插管、经皮气管切开术等高技术含量操作。并将体外膜式氧合器(ECMO)应用于心脏术后难以脱离体外循环或术后严重低心排综合征。可完成心脏术后左心室辅助(Impella)及右心室辅助(离心泵)的围术期的管理。熟练应用主动脉内球囊反搏(IABP)治疗成人心脏病术后脱机困难、低心排,冠心病术前恶性心律失常、心肌梗死等危重病例。应用吸入NO治疗肺动脉高压、术后低氧血症、ARDS,将床旁连续血滤(CRRT)应用到术后肾功能不全、高容量性低心排、难治性低氧血症,水、电解质、酸碱紊乱的患者。熟练掌握疑难先心病如中央分流、B-Ts分流、Glenn、Fontan、Swicth、Banding等围术期的管理,能及时判断术后体循环、肺循环的匹配情况。
以上便是孟树萍的冠脉搭桥术后心室电风暴救治分享。欢迎关注微信公众号“心力衰竭网”,在该篇病例留下的精彩点评!小编会用心品读您的点评。
点评后,请持续关注我们之后的评选结果。预祝您的点评榜上有名!
评论有奖 1、参与对象:关注心力衰竭网的所有粉丝
2、内容:对于公众号中发布的病例进行点评
3、本期奖品:
第一—二名价值50元的充值卡各一张
第三—五8G精美东芝优盘各一个(共计5名哦!)
4、评比规则:在每期病例发布后一周内,点击下方“写留言”进行评论。
5、精彩评论统计截止时间:12月16日早上9:00。
6、中奖名单公布:中奖名单将于下期图文消息公布,中奖者可与小编联系。