

评论有奖 1、评比规则:在公众号“心力衰竭网”本期病例发布后一周内,点击下方“写留言”进行评论。
(本期精彩评论统计截止时间:1月11日早上9:00)
2、本期奖品:
第一—二名价值50元的充值卡各一张
第三—五8G精美东芝优盘各一个(共计5名哦!)
入院信息
◆患者,男,34岁,江西省洪城监狱罪犯,因“胸痛9小时”于2016年6月29日15时18分入我科。
◆病史特点:9小时前突发心前区压榨感及闷痛感,放射至左肩部,持续不能缓解,就诊于当地医院,心电图示窦性心律,V2-4导联ST段抬高,心肌酶谱结果未出,考虑“急性心肌梗死”,紧急转入我科。
◆既往体健。
◆入院查体:血压118/70mmHg,心率98次/分,神清,听诊两肺呼吸音粗,未闻及干湿性啰音,心律齐,心界不大,各瓣膜区未闻及心脏杂音,双下肢不肿。
◆入院诊断:
冠心病,急性ST段抬高型广泛前壁心肌梗死,心功能Killip I级
辅助检查
血常规

生化

凝血功能

NT-proBNP

肝功能、血脂谱



心率:98次/分
心脏彩超

影像学资料
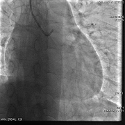
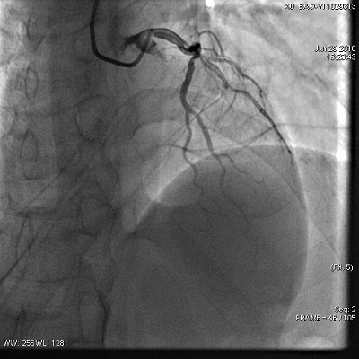
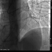
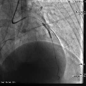
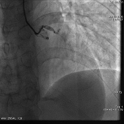
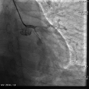
◆冠脉造影结果
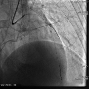
◆左主干未见斑块及狭窄,前降支近段可见斑块,狭窄约50-60%,中段分出第二对角支后完全闭塞,血流Timi0级,回旋支中段及远段斑块,狭窄约80-90%,血流Timi3级,右冠全程管壁不规则,斑块狭窄约30-40%。
冠脉造影(左冠)


罪犯血管:左前降支
冠脉造影(右冠)

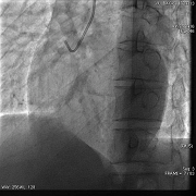
急诊PCI小插曲
未见心包积液

血流Timi3级、分支都在
术中球囊预扩张诱发患者剧烈胸痛,使用吗啡止痛
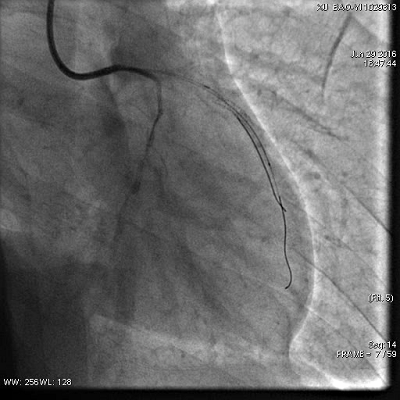
急诊PCI


患者经济原因,仅于前降支中段植入一枚2.5*36mm乐普支架
非罪犯血管病变未处理

术后心电图(16:58)

仍有胸闷痛
心率:100次/分
血压:110/70mmHg
术后用药
| 药物名称 | 药物规格 | 用药频率 |
| 拜阿司匹林 | 100mg | qd |
| 泰嘉 | 75mg | qd |
| 可定 | 10mg | qn |
| 万爽力 | 20mg | tid |
| 欣康 | 40mg | qd |
| 代文 | 80mg | qd |
| 爱络 | 维持量0.05mg/kg/min | |
| 欣维宁 | 维持量0.15ug/kg/min | |
术后心电图(21:15)

心率:75次/分 胸闷痛好转
ST段较前回落 Q波形成
再次剧烈胸闷痛(23:29)
心率:100次/分


静脉加用硝酸甘油症状无好转
胸闷痛原因?
血运重建后再发心绞痛
◆急性、亚急性、晚期支架内血栓
◆非靶血管病变的余冠脉病变的恶化
◆不完全的血运重建术
◆冠脉心肌内微血管功能障碍
◆心外膜冠脉的痉挛
◆支架边缘的冠脉血管收缩
◆支架扩张后疼痛
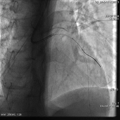
6.30凌晨复查冠脉造影


术后爱络加量为0.10mg/kg/min,减慢心率,降低心肌氧耗
胸闷痛缓解(6.30)

胸闷痛缓解(6.30)

心率变化图

艾司洛尔使用记录
【使用日期】
2016年6月29日17时至2016年7月1日16时
【使用方法及剂量】
艾司洛尔注射液50ml持续微量泵入,起初剂量为0.05mg/kg/min,后因心率控制不佳,加量为0.1mg/kg/min
转 归
◆2016年6月30日后患者未再发胸闷痛
◆2016年7月1日停用艾司洛尔,住院期间心率维持在60-70次/分
◆住院期间口服倍他乐克缓释片逐渐加量至95mg/d
◆出院用药:拜阿司匹林100mg/qd,泰嘉75mg/qd,可定10mg/qn,万爽力20mg/tid,欣康40mg/qd,代文80mg/qd断入院诊断
小 结
◆β受体阻滞剂减慢心率,降低心肌氧耗,抑制交感神经兴奋,指南推荐STEM患者应早期应用
◆该STEMI患者急诊PCI术后仍有胸闷痛,控制心室率后症状好转,考虑与其心肌对缺血很敏感有关,也与其冠脉未完全血运重建有关,因此心率管理显得尤为重要
◆艾司洛尔起效快,半衰期短,耐受性好,推荐用于此类患者
