

评论有奖 1、评比规则:在公众号“心力衰竭网”本期病例发布后一周内,点击下方“写留言”进行评论。
(本期精彩评论统计截止时间:1月24日早上9:00)
2、本期奖品:
第一—二名价值50元的充值卡各一张
第三—五8G精美东芝优盘各一个(共计5名哦!)
病史
患者:许XX,男,26岁,以“反复喘憋1年,加重3天”于2016年3月15日收入院。
现病史:患者1年前饮酒后出现胸闷、心悸、大汗,不能平卧。于当地医院诊断为扩张型心肌病,心功能IV级。给予常规药物治疗,仍反复发作,1年来反复住院20余次。多为上呼吸道感染诱发。入院前3天前,患者再次出现喘憋,夜间不能平卧,伴咳嗽、咳白色粘痰。至我院急诊。
查超声心动:LA 48mm,LV 79mm,EF 28%,二尖瓣大量返流,三尖瓣大量返流。
2016-03-14 *丙氨酸氨基转移酶 142IU/L↑, *天门冬氨酸氨基转移酶 120IU/L↑, *肌酐 141.18umol/L↑*钾 4.31mmol/L, *钠 128.96mmol/l↓, *氯 93.86mmol/L↓。
急诊室给予强心,利尿,纠正电解质等治疗。
入院前1日患者突发意识丧失,心电监测提示:室性心动过速,立即予心外按压,数秒后恢复窦律、意识恢复,后给予可达龙1000ug/min持续泵入。
第二日复查 *GPT 2311 IU/L↑, *GOT 2116 IU/L↑。因肝功能异常,停用可达龙,改利多卡因1000μg/min静脉泵入,仍有频发室早。急诊以“扩张型心肌病,乙肝,肝功受损”收入院治疗。
入院查体
T: 36.2 ℃,P: 52 次/分,R: 18 次/分,BP: 85/42mmhg,神志清晰,精神差,慢性病容。颈静脉无怒张,双肺呼吸音清,未闻及明显干湿罗音,心界向左下扩大,心音低钝,心律不齐,心率52次/分,心尖部可闻及2/6级收缩期杂音,腹软,肝肋下2橫指,双下肢不肿。
入院诊断
扩张型心肌病
心脏扩大
二尖瓣中重度关闭不全
心律失常
持续性室性心动过速
心力衰竭
心功能IV级(NYHA分级)
慢性乙型病毒性肝炎
肝功能不全
辅助检查
化验:血常规大致正常。 肾功能正常, *白蛋白 35.1g/L↓, *GPT 1393IU/L↑, *GOT 518IU/L↑, *总胆红素 45.81μmol/L↑, 直接胆红素 14.11μmol/L↑, *钾 3.34mmol/L↓, *钠 135.06mmol/l↓。
心电图:窦性心律,ST-T改变。
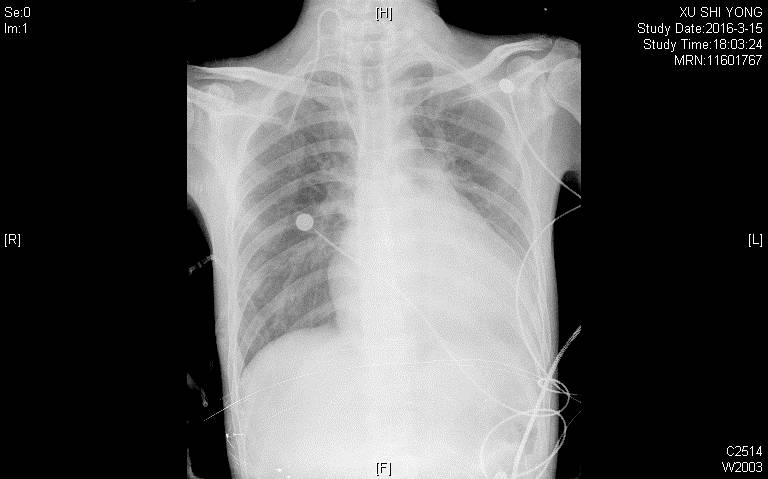
胸片:两肺淤血; 主动脉结不宽; 肺动脉段饱满; 心影增大,左心增大为主。

超声心动图:LA 45mm LV 82mm LVEF 30%,心肌受累疾患,全心扩大,二尖瓣返流(中量),三尖瓣返流(少量),心功能减低,肺动脉高压。
诊疗经过
入院后第二日,患者再次突发意识丧失、抽搐、心电监测提示:室速、室颤,立即给予电除颤,转为窦性心律。因血压低,最低64/34mmHg,给予多巴胺、去甲肾上腺素泵入后血压恢复正常(SBP90~110mmHg)。因患者有器质性肝脏疾病病史,基础肝功能即有轻度异常,入院前于急诊用静脉可达龙后出现转氨酶显著增高,(*GPT 1393IU/L↑, *GOT 518IU/L↑),考虑与患者基础肝病、全心衰竭、应用胺碘酮均有关,为避免肝功能进一步恶化,不宜再次应用胺碘酮,故继续给予利多卡因1000ug/min持续泵入控制室性心律失常,并积极给予血管活性药升压,在血压稳定(SBP90mmHg左右)的基础上从小剂量加用艾司洛尔2000μg/min静脉泵入(血压偏低,未用负荷量),后加量至4000μg/min,室早、室速明显减少。
2日后患者病情趋于稳定,停利多卡因,加美托洛尔3.125mg bid口服,后加量至3.125mg tid。
艾司洛尔应用4日后停用。每日监测电解质,酌情补钾治疗,血钾维持在4.5mmol/L左右。同时继续给予心衰的规范化治疗。
归 转
之后患者血压平稳,无室速、室颤再发,但仍有室早二联律。患者拒绝进一步心脏移植或植入ICD治疗。目前随访10个月,患者坚持服药(美托洛尔,螺内酯,地高辛,利尿剂及对症等治疗),一般情况好,未在发作室速、室颤,日常活动无明显不适。
讨 论
心力衰竭患者交感神经过度激活、心电活动不稳定增加了恶性心律失常的发生几率,要注意纠正可能导致心律失常的诱因,如低钾血症(建议血钾维持在>4.5mmol/L)、酸碱平衡紊乱、心衰、缺血缺氧等。室颤或无脉性室速患者应立即给予心肺复苏及静脉药物治疗。
β受体阻滞剂降低心脏性猝死及总死亡率作用明确。除了β受体阻滞剂外,现在所有的抗心律失常药对危及生命的室性心律失常和猝死的疗效都没有经随机临床试验证实。β受体阻滞剂与胺碘酮合用可使室速/室颤电风暴(24 h反复发作2次或以上的心室颤动或需要紧急电转复的室速,叫电风暴)的患者病情稳定,利多卡因对于终止血流动力学不稳定的室速相对无效,只作为第三种选择。心律失常急性发作期,尤其是交感风暴时,交感神经激活,高度兴奋、β受体阻滞剂很难起到即刻终止作用,但可以预防和减少心律失常复发,可作为基础用药,与其它抗心律失常药物发挥协同作用。高危患者可酌情给予机械通气、镇静及血流动力学支持等。
扩张型心肌病患者应用β受体阻滞剂可能会因为其抑制心肌收缩力的药理作用而诱发和加重心衰,且此类患者很多有低血压,使用β受体阻滞剂可能会导致血压进一步下降,为避免这种不良影响,起始剂量须小,递加剂量须慢。艾司洛尔由于起效和药效消失均快, 可将其作为β受体阻滞剂的探针,若疗效满意, 无严重不良反应, 可逐渐过渡至口服的β受体阻滞剂。如出现不良反应, 停药后作用可很快消失。
艾司洛尔一方面能够降低心肌氧需求量,从而使得严重缺血的心肌在较低水平上重新恢复氧供需平衡,迅速缓解症状。另一方面,交感神经过度激活增加了恶性心律失常的发生,艾司洛尔可以有效阻断交感活性,终止室速、室颤的发作,平息交感风暴,提高抢救的成功率。因此,恶性室性心律失常发作时,应尽早应用。
艾司洛尔用法用量:
推荐用法:负荷量+维持量,5分钟达稳态血浓度;
只给负荷量,作用不能持续;
只给维持量,延长起效时间(30分达稳态血浓度)。用药剂量:负荷量:0.5mg/kg iv;维持量0.05~0.3mg/kg/min,若无效,4分钟后追加维持量剂量。
对射血分数下降的心力衰竭患者出现室颤/室速时,β阻滞剂既能消除诱发心律失常因素(交感兴奋),又能阻断心肌细胞异常的钠、钙内流及钾外流,逆转交感风暴时的多种离子通道异常,从而能够终止及预防心律失常的发生。可以作为β受体阻滞剂的探针,可逐渐过渡至口服的β受体阻滞剂,以改善长期预后。
作者简介

黄燕
阜外医院心力衰竭中心主治医师
协和医学院临床医学硕士。中国医师协会心衰分会青年委员,北京生理学会心衰学组委员。从事心内科及急重症工作,对心力衰竭、心肌病、瓣膜病、冠心病、高血压等心血管疾病的预防、诊断、治疗和科研有丰富的理论功底和临床经验。熟悉掌握漂浮导管、床旁血滤、呼吸机等操作技能。参与十余项国际国内大规模临床研究,发表多篇论文。