
今天与大家一起分享,来自南京大学医学院附属鼓楼医院心内科的
王涟、魏钟海教授为我们带来了题为“激素逆转IgG4 相关胆管炎伴发的完全性左束支传导阻滞及心力衰竭”的病例讨论。
首次就诊
【2014-5-14】
◆患者,女,38岁
◆现病史:2014-5-13患者拟行子宫肌瘤手术住院,超声发现LVDd 6.4cm ,EF40%,二尖瓣轻-中度反流,BNP 215 pg/ml。ECG示完全性左束支传导阻滞(CLBBB)。医生拒绝手术,患者遂至心衰门诊就诊。平时日常活动不受限。
既往史
◆2011/10/17 因“慢性胆囊炎急性发作、胆囊结石”行胆囊切除术。ECG示:CLBBB,UCG:LVDd 5.5cm,LAD 4cm,EF57%,轻度二闭
◆2012/6/28~7/9 在当地因“眼型格林氏病(浸润性突眼)”住院,予激素治疗好转
◆2013/4/1因“眼黄、尿黄、皮肤黄一周”住院,ERCP诊断“胆总管狭窄”,行肝外胆管切除+胆管空肠吻合术,病理示“IgG4 相关性胆管炎”,术后长期口服熊去氧胆酸,间断服用羟氯喹
◆否认高血压、糖尿病、卒中、高脂血症、早发冠心病家族史
◆无吸烟、饮酒嗜好
体格检查
◆ T: 36.8℃, P: 78 bpm, R: 14 bpm, BP: 110/70mmHg
◆颈静脉无怒张,肺部未及啰音,心界向左扩大,未及杂音。腹软、无压痛,下肢无浮肿
实验室检查
◆WBC 5.2×109/L, N: 57%, Hb 125g/L, PLT 126×109/L
◆TnT 0.02ug/L
◆BNP 215pg/ml
◆甲功五项:正常
辅助检查
ECG(2014/5/14)

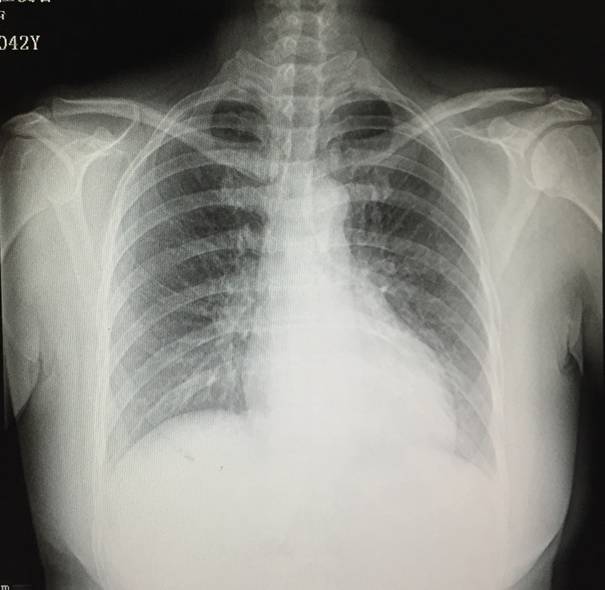
全胸片

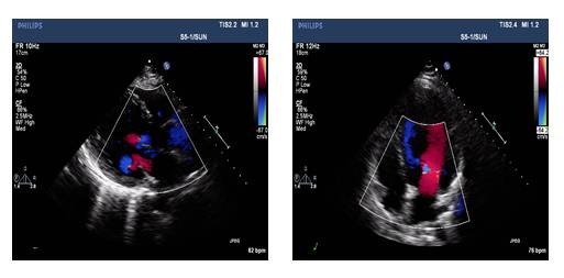
UCG(2014-5-14):
◆IVS 0.86cm, LVDd 6.4cm, EF 40%
◆轻-中度二尖瓣关闭不全

初步诊断
◆扩张性心肌病
◆完全性左束支传导阻滞
◆NYHA心功能 I 级
药物治疗
◆培哚普利 4mg po qd→→ 6mg po qd→→ 8mg po qd
◆美托洛尔缓释片 23.75mg po qd →→35.625 mg→→ 47.5mg qd
随 访
8个月后复查(2015-1-21)
◆BP 115/68mmHg, HR 67bpm
◆ECG: CLBBB
◆UCG: IVSTd 0.7cm, LVDd 6.6cm, LVEF 32%


治疗9个月(2015-2-5)
感体力下降、劳力性呼吸困难
| 药物名称 | 服药剂量 | 服药方式 | 服药频率 |
| 培哚普利 | 8mg | po | qd |
| 美托洛尔缓释片 | 47.5mg | po | qd |
| 呋塞米 | 10mg | po | qd |
| 螺内酯 | 20mg | po | qd |
1年半随访 2015-11-19
◆BP 110/65mmHg, HR 63bpm
◆ECG:窦性心律,CLBBB, QRS 158ms
◆UCG: IVSTd 0.75cm, LVDd 6.1cm, LVEF 33%
药物治疗下心功能恶化的原因?

鉴别诊断
冠心病?
◆无冠心病危险因素,冠状动脉 CTA 正常,可排除

心肌炎?炎症性心肌病?
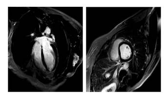
◆2016/1/27 心脏 MRI: 心肌灌注正常,心肌无延迟强化
◆多次TNT正常
◆患者拒绝心肌活检


下一步治疗——CRT?
◆患者正规药物治疗1年余,有心衰症状,窦性心律,CLBBB,QRS≥ 150ms,LVEF≤ 35%,有CRT指征 (I, A)
◆患者拒绝CRT,要求继续药物治疗

鉴别诊断——免疫相关的系统性疾病?
◆既往有IgG4相关胆管炎,手术及病理证实
◆既往有浸润性突眼(已排除甲亢),激素治疗有效
◆但IgG4 相关疾病中未见有累及心肌或心脏传导系统的报导
免疫科门诊
【2016-02-03 】
◆IgG 21.4g/L(参考值8-16 g/L), IgG4亚型 14.9g/L (参考值0.03~2.0g/L)
◆自身抗体全套(-) ,RF (-)
◆抗核小体抗体(-),抗组蛋白抗体(-) ,抗核糖体P蛋白抗体(-) ,抗AMA-M2抗体(-)
诊断:IgG4相关疾病
处方:
| 药物名称 | 服药剂量 | 服药方式 | 服药频率 |
| 甲基泼尼松龙 | 16mg | po | qd |
| 雷公藤 | 2# | po | bid |
| 羟化氯喹 | 0.1g | po | bid |

【2016/5/18处方】
| 药物名称 | 服药剂量 | 服药方式 | 服药频率 |
| 甲基泼尼松龙 | 8mg | po | qd减量 |
| 雷公藤 | 2# | po | bid |
| 羟化氯喹 | 0.1g | po | bid |
激素治疗3个月
2016-5-20 气喘减轻,体重增加,能上6 楼
◆BP 100/70mmHg, HR 65bpm
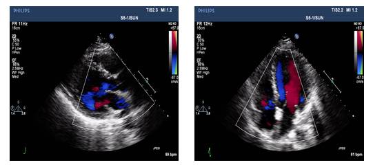
◆ECG: 窦性心律,完左消失,QRS 98ms
◆UCG: LVDd 5.7cm, LAD3.9cm, LVEF 50%, 轻中度二闭


激素治疗8个月
【2016-12-15】
◆IgG4 5.18g/L (0.3-2.01 g/L)
◆ECG: 窦性心律, HR 67bpm, QRS 98ms
◆UCG: LVDd 5.6cm, LVEF 53%
| 药物名称 | 服药剂量 | 服药频率 |
| 培哚普利 | 8mg | qd |
| 倍他乐克缓释片 | 47.5mg | qd |
| 甲基泼尼松龙 | 6mg | qd |
| 雷公藤 | 2# | bid |
| 羟化氯喹 | 0.1g | bid |
末次随访
【2017/05/22】
◆IgG4 4.78g/L
◆ECG: 窦性心律,HR 66bpm, QRS 正常
◆UCG: LVDd 5.65cm, LAD3.9cm, LVEF: 50%
◆服药同前
讨 论
[1]
◆IgG4 相关疾病(IgG4-RD)是近年来新认识的一种由免疫介导的慢性自身炎症伴纤维化的疾病
◆日本学者于 2011 年在国际会议上提出命名IgG4-RD
◆表现为各种器官同时或非同时的器官肿大或结节 / 增生病变,归因于淋巴细胞和 IgG4+浆 细 胞 的 显 著 浸 润 , 还 有 不 明 原 因 的 纤 维 化
◆罕见,日本报导发病率0.28~1.08/10万人,中老年男性多见

IgG4-RD 的综合诊断标准 2011:
◆(1) 临床检查显示一个或多个器官存在典型的弥漫性 / 局限性肿大或团块;
◆(2) 血液学检查显示血清 IgG4 浓度增高( ≥1.35g/L);
◆(3)组织病理学检查显示:
——a:显著的淋巴细胞和浆细胞浸润和纤维化。
——b:IgG4+ 浆细胞浸润:IgG4+/IgG+ 细胞比例 >40%并且>10 个 IgG4+ 浆细胞 /HPF。
◆确诊:(1)+(2)+(3);很可能:(1)+(3);可能:(1)+(2);不太可能:(1)。
[2]
◆IgG4 相关的心血管疾病:累及胸主动脉、腹主动脉、冠状动脉及一些小动脉,形成动脉瘤、假瘤、心包炎
◆本例患者心脏扩大、CLBBB,不能用冠状动脉病变解释
◆先后出现浸润性眼病、胆管炎,后出现心脏扩大、EF进行性下降,常规抗心室重构药物治疗无效,提示为系统性疾病的心脏表现

[3]
◆IgG4 RD的治疗:糖皮质激素为一线药物, 可加用免疫抑制剂如环磷酰胺、硫唑嘌呤等,新型药物:利妥昔单抗
◆本例患者皮质激素及免疫抑制治疗后IgG4水平明显下降,同时心脏逆重构、CLBBB消失,支持CLBBB及心脏扩大也与IgG4相关疾病
◆不足之处:缺乏心肌活检的直接证据
◆2016年我们在国内外首次发表了该病例
◆该病例应邀在2017 ESC上作了大会发言
参考文献
[1]
Motohisa Yamamoto,et al. Nat. Rev. Rheumatol. 2014,10(3):148-159
Terumi Kamisawa, et al. Lancet. 2015,385(9976): 1460-1471
[2]
Nobukazu Ishizaka. Clinica Chimica Acta.2013,415:220-225
中华心血管病杂志 2015;43(12):1103-1107
Int J Cardiol. 2016 Nov 1;222:257-9
[3]
中国循环杂志 2016 ,31 (11):1129
Int J Cardiol 2016 Nov 1;222:257-9
专家简介

王涟教授
主任医师,硕士生导师
◆2011年~2012年在美国Rochester大学Aab 心血管病研究所作访问学者。
◆现为中国医疗保健国际交流促进会心脏重症分会江苏省副主任委员、中国医师协会心衰专业委员会委员、江苏省微循环学会委员、江苏省心血管病学会心衰学组成员、江苏省“六大人才高峰”高层次人才。
◆从事心血管疾病诊疗21年,冠心病介入治疗16年。
◆2013年起开设心力衰竭专病门诊,组建心衰诊治团队。
◆主持省级课题两项、南京市重点课题两项,发表论文20余篇、SCI论文8篇。
◆获得江苏省新技术引进奖一等奖1次,南京市科技进步三等奖2次。