

病 史
44岁,男性
反复心累3年 加重心悸伴双下肢水肿1周急诊入院。血压升高5年 、糖尿病2年,未正规治疗。
急诊BNP 1900+ng/ml,心脏彩超(床旁)LA 59、LV 58、IVS 9、EF43%,MR (轻度),心电图快速房颤。
急诊初步诊断考虑:高血压心脏病、快室率房颤、心功不全、2型糖尿病、肺部感染?
急诊收入住院。

心电图
体 格 检 查
HR:107次/分,BP:168/105mmHg,端坐呼吸,慢性病容,无黄疸,无紫绀,双肺呼吸音减弱,闻及湿鸣 ,心界扩大,律不齐,心尖区收缩期Sm,腹膨隆,肝脾未及,双下肢重度水肿。
辅 助 检 查

WBC7.9,HB143,N76.9%,PLT174

生化指标:Crea105,GFR 73.3,K4.48,Na142,ALT33,TBIL23.7

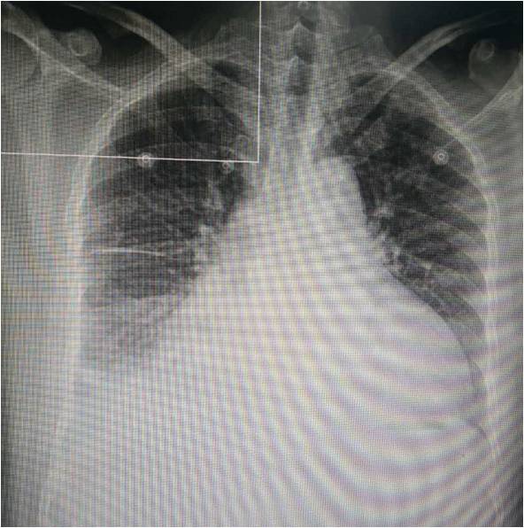
胸片:心影增大,右侧胸水,肺淤血改变,右下肺纹理增多炎变


LA 55*69*60,LV 58,IVS10,RV 26,RA 67*57,TRG 40.96,EF32%
心脏双源CT


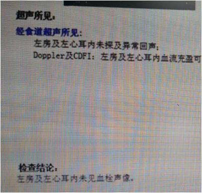
食道超声心动图未见血栓,心脏CTA 左房 89*46*67mm,左心耳入口 21.6mm



诊 断
高血压心脏病C期
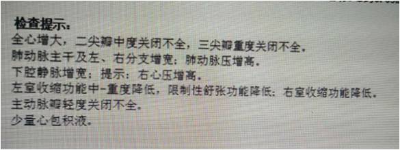
全心增大 MR TR重度
房颤心律 HFrEF 心功能IV级
高血压3级 极高危
CKD 2期
双肺肺炎 胸腔积液
2型糖尿病
高尿酸血症 痛风
处 理
慢性心衰急性加重 暖湿型
血管扩张剂+利尿剂
高血压 原发病因
控制血压
快速心律失常是心衰重要病因
控制心率/转律
治 疗
异舒吉静脉泵入 美洛西林 2.5g ivgtt bid
托拉塞米10mg iv q8h /呋塞米 20mg bid
氯化钾 1.0 bid
安博维 150mg qd
比索洛尔 5mg qd
螺内酯 20mg qd•克赛 6000U H qd
二甲双胍 捷诺维 /苯溴马隆 碳酸氢钠
硝酸酯类通过血管作用治疗HF

治疗调整

病 情 进 展
尿量1200ml-2500ml/24h 高枕卧位
异舒吉维持下血压逐渐下降,130-150/70 -90左右, HR102/min
倍他乐克 47.5mg qd ---95mg qd
贝那普利 10mg qd -----bid
氨氯地平 5mg bid
金三角药物滴定

房颤处理

病 程 进 展
血压 维持在110/70 左右 心率 60-70bpm
尿量1500-2000ml/24h
房颤处理?
药物转律/射频消融?
口服抗凝药物选择?
左心耳封堵?
心脏左房增大明显转律成功率低
CHADS-VAS 3分
抗凝 达比加群 150mg bid
年龄44岁长期抗凝 多种合并症
考虑左心耳封堵

病 情 转 归


带 药 出 院 和 随 访
贝那普利、氨氯地平、倍他乐克、螺内酯、呋塞米、阿托伐他汀、达比加群、达格列净、格华止、苯溴马隆。
一月后门诊随访,水肿基本消退。
总 结
慢性心衰急性加重期,根据血流动力学指标合理使用利尿、强心,扩管药物
心衰患者控制心率意义非凡
房颤综合管理(转律 抗凝 左心耳封堵)
