

患者:陈xx
性别:男
年龄:49岁
主诉:活动后呼吸困难5年,加重伴下肢水肿7天
该患缘于5年前活动后出现呼吸困难,伴夜间不能平卧,遂前往当地医院住院治疗,经药物治疗好转后出院。此后仍有上述症状反复发作,多次于当地医院住院治疗。7天前患者上呼吸道感染后,出现上述症状加重,伴双下肢凹陷性水肿,为求系统诊治就诊于我科
否认高血压、糖尿病病史;否认青光眼病史;否认乙肝结核等传染病病史及密切接触史;否认药物食物过敏史;否认吸烟饮酒史;否认手术外伤输血史;否认遗传相关家族史。
体温:36.5℃ 血压:98/64 mmHg
脉搏:61次/分 呼吸:20次/分
专科查体:颈静脉略充盈,双肺听诊呼吸音粗,双肺底可闻及散在湿性啰音,叩诊心界向左右两侧扩大,心左界最远点位于第5肋间左锁骨中线外1.0 cm,听诊心音弱,心率61 次/分,律齐,二尖瓣、三尖瓣听诊区可闻及3/6级收缩期吹风样杂音,腹软,无压痛及反跳痛,肝脾肋下未触及,双下肢轻度凹陷性水肿。
(首次入院心电图)

(第一次入院、16-11-29)
FS: 11%. EF: 24%
LA: 51 mm
RV: 28 mm
LV: 71 mm
RA: 19 x 68 mm
AO、PA: 33 mm
左室后壁: 10 mm
肺动脉压力: 65 mmHg
二尖瓣返流面积 19.2 cm2
三尖瓣返流面积 12.3 cm2
全心增大
肺动脉增宽、肺动脉压力增高
室壁搏动弥漫性减弱
二尖瓣、三尖瓣重度返流
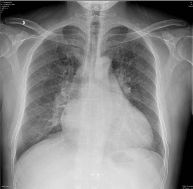
(胸片:心影增大)

扩张型心肌病
心功能IV级(D阶段)
(药物治疗方案)

反馈主治医生:建议改善容量负荷,改善运动耐量,进行院内康复
康复处方:肺动脉高压训练操 + 低频电刺激物理治疗(12月6日-12月11日)
(肺动脉高压训练操)

该患出院后4个月逐渐出现心衰症状加重,尿量显著减少,约800 ml/天,伴双下肢重度水肿,为求诊治再次入我科治疗。
(第二次入院心电图)

(第二次入院、17-4-24)
FS: 6%. EF: 13%
LA: 60 mm
RV: 28 mm
LV: 83 mm
RA: 49 x 64 mm
AO、PA: 30 mm
左室后壁: 6 mm
肺动脉压力:37 mmHg
二尖瓣返流面积 22 cm2
三尖瓣返流面积 5.3 cm2
全心增大
肺动脉增宽、肺动脉压力增高
室壁节段性运动异常
二尖瓣重度返流
三尖瓣中度返流
入院后给予减轻前负荷(硝酸异山梨酯 30 mg)强心(西地兰 0.4 mg)、利尿(速尿 20 mg)治疗后未见明显好转,于院内第二天给予左西孟旦12.5 mg 24h泵入后,患者症状好转,尿量2500 ml / 24 h。
(根据收缩压决定急性心力衰治疗策略)

琥珀酸美托洛尔 47.5 mg QD
呋塞米 40 mg TID
螺内酯 40 mg TID
单硝酸异山梨酯 50 mg QD
伊伐布雷定 7.5 mg QD
地高辛 0.125 mg QD
托伐普坦 15 mg QD
继续康复治疗
反馈主治医生:建议改善容量负荷,继续改善运动耐量,改善呼吸肌功能,继续门诊心脏康复
康复处方:低强度有氧运动(43watt,10-15分钟*2组,周3-4次)
+呼吸肌训练操(1月3日-3月3日)
(呼吸肌训练)

该患出院后2个月仍存在间断呼吸困难症状,较前加重不明显,为求进一步诊治再次入我科治疗。
(第三次入院心电图)

(第三次入院、17-6-15)
FS: 13%. EF: 26%
LA: 51x60x69 mm
RV: 27 mm
LV: 80 mm
RA: 53 x 55 mm
AO: 30 mm
左室后壁: 6 mm
肺动脉压力:49 mmHg
二尖瓣返流面积 23.0 cm2
三尖瓣返流面积 4.3 cm2
全心增大
肺动脉压力增高
室壁搏动弥漫性减弱
二尖瓣重度返流
反馈主治医生:改善运动耐量,进行门诊康复与居家康复相结合
康复处方:有氧运动(1000米,20分钟*2-3组,周3次)
+呼吸肌训练及抗阻运动 (弹力带,周1次)
+和温疗法(周1-2次)
终末期心衰-我们还能做些什么


1.McAlister FA,Stewart S,Ferrua S,et al.Multidisciplinary strategies for the management of heart failure patients at high risk for admission: a systematic review of randomized trials.J Am Coll Cardiol,2004,44(4):810-819.
2.杨明珠,方芳,魏红蕾,等.慢性心力衰竭患者管理的研究现状.中华护理杂志,2010,45(8):752-754.
3.马爱群.基于网络的陕西农村慢性心力衰竭规范化防治和管理.中国临床试验注册中心.http://www.chictr.org/cn/proj/show.aspx?proj=7917.
4.Jiang H,Yu Y,Ge J.Advances in diagnosis and management of chronic heart failure in China:reference limits of N-terminal-pro-B-type natriuretic peptide,pharmacal management,and community care.Chin Med J (Engl),2014,127(3):580-585.
1.住院及门诊的康复治疗可以改善患者的运动耐量,肺功能,提高生活质量。
2.居家康复需要和定期的门诊康复相结合,评估的基础上实时改进康复方案。
3.康复治疗减少再住院率,但并没有抑制或逆转心衰的进展。
4.临床标准化药物治疗与康复治疗相结合,参考康复治疗指标调整药物治疗方案。
作者简介

张志国
吉林大学第一医院心血管中心
副主任医师, 心血管中心副主任。擅长心律失常(室上速、房速、房颤、室速)的射频消融和起搏器的植入。发表SCI论文15篇,主持国家自然基金面上项目1项。现任中华医学会起搏电生理分会药物治疗组委员、中国心律协会青年委员、中国心律学会遗传性心律失常工作委员会委员、中国医促会心律与心电学会委员、吉林省医学会起搏电生理分会委员。