
以下是来自中国医学科学院阜外医院的叶蕴青医师带来精彩病例《结缔组织病致重症心肌炎一例》,病例中患者为48岁中年男性,出现反复胸闷、纳差3个月,加重1周...
叶蕴青
中国医学科学院阜外医院
►患者:男性,48岁
►主诉:反复胸闷、纳差3个月,加重1周
►现病史:患者3个月前无诱因出现胸闷、气短、乏力及腹胀纳差,当地医院查高敏肌钙蛋白I764.3ng/L,CK 1163U/L,CK-MB33U/L,BNP1250pg/ml。超声心动图示:LA40mm,LV57mm,LVEF34%,全心扩大,左室收缩及舒张功能减低,二尖瓣中量反流,三尖瓣大量反流。冠脉造影未见明显异常。考虑诊断“重症心肌炎、频发室早(4200次)、短阵室速”。给予美托洛尔缓释片、螺内酯、托伐普坦、胺碘酮等药物治疗后效果不佳,症状反复加重。1周前患者再次出现气喘、不能平卧,乏力明显,收入院。 患者起病以来,有脱发、皮肤色素沉着,体重近3个月减轻15kg左右。
►既往史:10年前甲亢病史,药物治疗后缓解。
►个人史:吸烟20年,20支/天,已戒1年。无长期饮酒史。否认放射线及毒物接触史。
►家族史:适龄结婚,育有1男,无家族心肌病病史。
►入院查体:慢性病容,精神偏差,巩膜黄染,血压113/79mmHg,心率90次/分,双肺未闻及明显干湿罗音,心界扩大,心律齐,未闻及明显心前区杂音,肝脏肋下2指,双下肢轻度浮肿。
►血常规正常
►血生化
GPT55:IU/L,GOT99:IU/L,ALP:337U/L,GGT:619U/L,TBIL:51.6umol/L,DBIL:23.4umol/L;
肾功能,电解质,血脂等大致正常
►肌酶谱:CK:734 IU/L,LDH:365 IU/L
►心梗三项:肌钙蛋白I0.045 ng/ml(<0.02),MYO192ng/ml,CK-MB 14.4ng/ml
►心衰标记物:
NT-proBNP:4556pg/ml(<125)
►甲状腺功能 TG-Ab TPO-Ab 未见异常
►凝血功能大致正常
►炎症指标:ESR 51 mm/h;hsCRP6.24mg/L.
►Ig+补体:IgG29 g/L,IgA5.76 g/L,IgM6.91 g/L;C3、C4未见异常。
►肢导低电压,V1-V6胚胎R波,递增不良
►有室内传导阻滞,QRS增宽

两肺淤血,心影明显增大


►LA 38mm,LVEDD 56mm,LVEF36 %,RV 32mm
►全心增大,右心为著,左室壁运动弥漫性减低
►结论:心肌受累疾患,全心增大,三尖瓣大量反流

►未见明显肺栓塞征象
►心脏扩大,右心为著,下腔静脉及肝静脉扩张,考虑右心功能不全改变
►右侧少量胸腔积液,右下肺膨胀不全

►窦性心律,平均心率64bpm,最快78bpm,最慢55bpm
►室性早搏(619次),偶见成对,室内阻滞

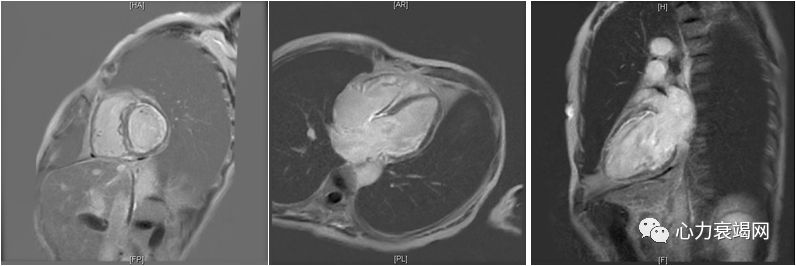
►平扫:左室及右心扩大(LA33mm,RA47mm,LV57mm,RV37mm),双室收缩功能减低,三尖瓣中量反流,LVEF 30%
►增强:心肌首过灌注室间隔壁内可见弧形早期充盈,延迟扫描室间隔近中段、前壁基底段肌壁间可见线样强化,左室游离壁可见心内膜下强化,左室乳头肌及侧壁肌小梁亦可见强化信号
►结论:考虑重症心肌炎可能性大,左右室壁充血水肿或纤维化改变
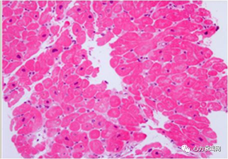
(右室间隔面心内膜心肌)心肌细胞肥大,轻度空泡样变性,未见炎细胞浸润

►青中年男性,病程较短,病史3个月
►无前驱上呼吸道感染史,突发心肌损伤及坏死,心力衰竭,胆红素显著增高,皮肤黄染。
►详细追问病史,患者近半年有皮肤色素沉着、脱发等免疫色彩,周身乏力显著,体重下降15kg
►血沉、CRP、Ig升高

►感染系列:
EBV、风疹病毒、CMV、单纯疱疹病毒1型、柯萨奇病毒Ig G(+)、IgM(-)。EBV及CMV-DNA(-)
TB-spot (-)
►免疫系列:
ANA全项
ANA(IgG型)1:640(+),抗细胞浆抗体1:640,抗线粒体抗体M2亚型强阳性(+++)
抗β2-GP1(+)
狼疮抗凝物、抗Sm、抗Jo-1抗体、ANCA(-)
►患者血胆红素增高,结合免疫学结果(AMA-M2强阳性),考虑原发性胆汁性肝硬化(PBC)可能性大
►CK增高,需考虑免疫性肌炎,应作肌电图及近端肌活检
►治疗建议加用优思弗及糖皮质激素。
► 重症心肌炎
◆ 心脏扩大
三尖瓣大量反流
◆ 心律失常
频发室性期前收缩
短阵室速
室内传导阻滞
◆ 心力衰竭
心功能IV级(NYHA分级)
► 结缔组织病
◆ 原发性胆汁性肝硬化(可能性大)
◆ 多发性肌炎(待查)
► 针对心肌炎治疗
◆ 维生素C10g qd静点
◆ 辅酶Q10
◆ 曲美他嗪
► 改善心衰症状治疗
◆ 多巴胺静脉泵入
◆ 小剂量地高辛口服
◆ 泮利尿剂
◆ 可达龙口服抗心律失常,熊去氧胆酸片降胆红素治疗
► 改善心衰预后药物——“金三角”
◆ β-bloker
◆ ACEI
◆ 螺内酯
◆ 患者心衰症状改善,可平卧,下肢浮肿消退
◆ 肝脏仍大,高胆红素改善不明显,一般状况差、纳差、乏力显著,下肢无力进行性加重
◆ 肌酶及肌钙蛋白持续增高

◆ PBC自身抗体谱:
AMA(+)1:320,抗GP210(+)
◆ 腹部B超:胆囊内中低回声,胆汁淤积可能
◆ EMG:符合肌原性损害
◆ 双大腿MRI:双侧部分大腿肌群内、肌间隙内、皮下多发异常信号,考虑炎性改变
◆ 股四头肌活检病理:肌源性改变伴糖原颗粒增多,肌纤维空泡变性坏死为主
诊断:多发性肌炎可能性大,心肌受累,原发性胆汁性肝硬化可能性大
◆ 甲强龙1g*3天冲击治疗®80mg qd*2天静脉®美卓乐48mgqd口服(每周减一片,减至8片时复诊)
◆ 丙球20g*3天
◆ CTX0.4g qw静脉、甲氨喋呤3片(7.5mg) qw口服
◇ 患者精神状态、食欲明显好转
◇ 出院前复查CK 355U/L,CTNI0.64ng/ml,TBIL 18umol/L,DBIL10umol/L,均较前明显改善
◇ 复查超声心动图:
LA39mm,LV59mm,RV33mm,LVEF39%,TAPSE10mm,心肌病变,三尖瓣中量反流,左右室收缩功能减低,下腔静脉增宽
► 免疫+抗心衰治疗一个月后
下肢肌力好转,可慢步自己行走
胆红素:TBIL16.57umol/L,DBIL 4.4umol/L
心肌酶谱:CK207 IU/L,CK-MB 22IU/L,LDH 462 IU/L
肌钙蛋白I 0.11ng/ml(<0.04)
NT-proBNP:2869pg/ml(<125)
► 心电图改善明显:前壁导联R波、肢导低电压情况明显好转,束支阻滞消失,QRS变窄


► 超声心动图:
LA 40mm,LV 56mm,LVEF46%,RV 25mm, TAPSE 15mm
结论:心肌受累,左心右房增大,三尖瓣少中量反流。
►免疫性肌炎包括多发性肌炎(PM)和皮肌炎(DM)
►PM/DM主要侵犯横纹肌,心脏受累常见
发生率国外报道9-72%
症状不典型甚至呈亚临床表现(无症状、心肌酶轻度升高及心电图异常)
心脏受累是PM/DM患者死亡的首位原因
►骨骼肌病理改变
骨骼肌局部血管周围、肌肉神经纤维束内及肌纤维周围出现淋巴细胞及巨噬细胞浸润;肌纤维变性、坏死及再生
►心肌病理改变
炎症细胞浸润(占38%)
心肌细胞纤维化(占22%)
传导系统淋巴细胞浸润
血管病变(冠脉血管炎、内膜增生、中膜硬化、血管痉挛、微血管病变)
►临床表现多样
心力衰竭最常见(44%-77%)
心律失常
房性/室性早搏
房性/室性心动过速
传导阻滞(左前分支阻滞及右束支阻滞最常见)
心绞痛、心肌梗死
亚临床心脏损害(无症状,仅有心电图改变)
► PM/DM心脏受累诊断
临床表现(有时表现隐匿)
实验室检查:肌钙蛋白、CK-MB/CK超过6%
心电图异常:心律失常、传导异常、ST-T改变、心肌梗死样表现
超声心动图:心脏内径增大、收缩功能异常及瓣膜反流
核医学检查:99锝-焦磷酸盐闪烁扫描可见室壁整体或局部运动异常及功能下降
MRI:心肌炎、间质纤维化
心肌活检:金标准
► PM/DM心脏受累评估建议:
(每年)评估血压、血脂、血糖水平,并积极控制危险因素
观察有无心脏受累相关临床表现
(每年)常规行心电图及UCG检查,如异常,进一步行TNI、HOLTER、MRI检查

►治疗
糖皮质激素+免疫抑制剂:治疗心律失常效果好
抗心力衰竭规范化治疗
血管痉挛、缺血:CCB可能有效
严重传导阻滞:起搏器
恶性室性心律失常:ICD
心脏移植
1.对于心肌炎/心肌病患者应仔细寻找继发性病因(感染、免疫、药物等);不要忽视患者心外的其他合并症状。
2.PM/DM发生心脏损害常见,临床表现隐匿,易被临床医生忽略,但是死亡的主要因素。
3.PM/DM患者应每年常规行心电图及超声心动图筛查。
4.早期开始免疫治疗及规范化抗心衰药物治疗是这类疾病治疗的关键,也是改善预后的重要手段,需要免疫学家和心内科专家共同制定治疗方案。