
宋嘉 进修医师
中国医学科学院阜外医院
患者:陈某 性别:男性 年龄:51岁
就诊时间:2018年1月23日 阜外医院HFCU就诊
➤ 主诉:发作性胸闷气短1年余,再发伴双下肢浮肿3天
1年余(2016年12月)开始出现活动时疲劳,休息后缓解。
2017年5月开始出现活动耐力下降。
2017年7月开始出现夜间睡眠后胸闷,伴憋醒,坐起后缓解。
入院3天前出现平地步行200米左右胸闷,气短,伴双下肢浮肿。
➤ 既往史:既往有高血压病史7年,最高血压150/110mmHg,长期服用“寿比山”,自诉发病后血压恢复正常;有慢性浅表性胃炎、2017年7月出现消化道出血(OB4+)、右眼赘生物史,有阑尾切除术及痔疮术史。
➤ 个人史:有吸烟史30年,吸烟20支/日;有饮酒史30年,饮酒50克/日。
➤ 家族史:无特殊家族史可询。
➤ 体温:36.4℃,脉搏:111次/分,呼吸:18次,血压:104/72mmHg
➤ 颜面部皮肤弥漫灰褐色色素沉着,舌体肥大,左侧肺部呼吸音清,右中下肺呼吸音低,左肺可闻及湿罗音,心律齐,心率111次/分,心音可,腹部饱满,无压痛及反跳痛,肝脏未扪及,肝颈静脉回流征阴性,双下肢中度浮肿,压之凹陷。
➤ 心脏超声
➤ 双房增大:LA:64.7*53.4*47mm,RA:57.4*46.1mm,左室右室不大
➤ 室间隔20mm,左室后壁15.7mm,左室壁弥漫性增厚,左室收缩功能减低(EF44.6%),左室限制性充盈障碍,右室收缩功能减低。
➤ 少量心包积液,体静脉淤血,二尖瓣中度返流,轻度三尖瓣返流轻度肺动脉返流。
➤ 冠脉CTA:右冠管壁毛糙增厚,远段局部管腔中段狭窄可能,左前降支近段、中段心肌桥。对角支近段管壁增厚,管腔中段狭窄。
活动感疲劳,休息后缓解。
活动耐力下降
夜间不能平卧,坐起后胸闷气短缓解
双下肢浮肿左肺闻及湿啰音

➤ 肥厚型心肌病
支持点:左室壁增厚≥15mm
不支持点:心房增大明显,室壁肥厚呈弥漫性
➤ 高血压心脏病
支持点:有高血压病史多年,左室肥厚
不支持点:心房增大明显,右心室增厚,ECG无左室高电压
➤ 限制型心肌病
支持点:胸导r波递增不良,双房大,双室不大,室壁弥漫性增厚,心包积液
不支持点:EF值明显下降
形态学分型:
限制型心肌病
➤ 入院诊断:
心力衰竭(待查)
限制型心肌病
心脏扩大
二尖瓣中度关闭不全
三尖瓣轻度关闭不全
心律失常
阵发性房颤
房性早搏
心功能III级(NYHA分级)
➤ 次要诊断
冠状动脉粥样硬化性心脏病
高血压病3级(极高危组)
冠状动脉肌桥
心包积液
胸腔积液
慢性浅表性胃炎
右眼赘生物
阑尾术后
痔疮术后
➤ 血常规:正常,HGB:160g/l。
➤ 肝功能:白蛋白:35.3g/l↓,总蛋白63g/l↓,碱性磷酸酶:126U/L↑,谷氨酰胺转肽酶:82U/L↑,总胆红素:43.04umol/l↑ ,直接胆红素:8.36umol/l↑,ALT、AST示正常。
➤ 肾功能:尿素氮:9.1mmol/l,尿酸:710.92umol/l↑,肌酐正常。
➤ 尿沉渣+尿十项:正常。
➤ 便常规+潜血:正常。
➤ NT-proBNP:7564pg/ml↑
➤ 心梗三项:cTNI:正常,CK-MB:5.9ng/ml↑ ,MYO:25ng/ml↑
➤ 甲功、血沉、CRP正常。

心肌受累疾患
左室壁增厚
二尖瓣返流(少量)
三尖瓣返流(少量)
全心功能减低(EF30%)
心包积液(少中量)
LA:41mm,RA:41mm,LV:37mm,RV:17mm,室间隔:19mm,左室后壁:17mm

窦性心动过速
胸导联r波递不良

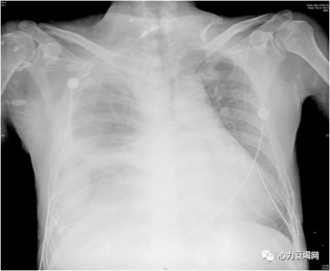
右肺野透过度普遍减低,右肺中下叶膨胀不全,左下肺纹理聚拢; 右侧肋膈角钝,少量胸腔积液; 主动脉结宽; 肺动脉段平直; 左心室增大;
左心功能不全,左下肺及右肺中下叶膨胀不全,右侧胸腔及右侧叶间积液。

平均心率:87bpm,最慢心率: 76bpm,最快心率:101bpm;室性异位搏动24次,4种形态,室性心动过速0次;室上性异位搏动88次,室上性心动过速0次;2.0秒以上R-R长间歇0次。
窦性心律
偶发房性早搏
偶发室性早搏
可见室性融合波
室内阻滞
部分QRS波群呈QS型
1.冠脉CTA:冠状动脉平扫未见钙化;
2.冠状动脉增强扫描:冠状动脉右优势型;左主干未见狭窄;前降支中段节段性肌桥,管腔略变细,其余各节段及对角支显影良好,未见狭窄;回旋支各节段及钝缘支显影好,未见狭窄; 右冠状动脉各节段及其远端分支均显影好,无狭窄;
3.心肌运动功能:双房增大,左心室未见增大,横径45mm,室壁普遍偏厚,密度均匀。上下腔静脉增宽。
4.扫描范围内:右上叶前段部分肺不张,右下叶大部分肺不张。右侧中量胸腔积液,左侧少许胸腔积液。膈下少量腹腔积液。少量心包积液。
1.冠状动脉平扫未见钙化;
2. 增强扫描:冠状动脉右优势型,前降支中段肌桥,各支冠状动脉未见有意义的狭窄。
3. 右上叶前段部分肺不张,右下叶大部分肺不张。右侧中量胸腔积液,左侧少许胸腔积液。少量腹腔积液。少量心包积液。

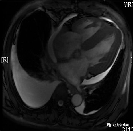
➤ 心脏MRI:检查过程中患者心律不齐,心率87次/分 双房增大(左房前后径:44mm,右房径前后径×左右径55×56mm)。两心室腔内径较小(左室舒张期短轴横径约40mm,右室横径约28mm)。左室各节段室壁普遍增厚(室间隔最厚约20mm,侧壁11mm,心尖部10mm);右室壁亦增厚,厚度约8mm。双室心尖部形态正常,未见闭塞,右室流出道不宽。两心室收缩功能减低,舒张运动受限,舒张期未见室间隔抖动征象。左室流出道通畅。 二尖瓣、三尖瓣可见少量返流信号,主动脉瓣未见返流信号。心包腔内少量积液信号。
➤ 心功能检查:LVEF 30%,CO 2.8 L/min,左室舒张末容积约 109 ml,EDVi 59.0 ml/m?。 右侧中量胸腔积液,左侧少量胸腔积液。

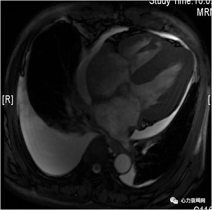
➤ 心脏MRI:双室壁增厚伴心功能减低,考虑心肌受累疾患,建议对比剂增强扫描,进一步明确心肌的组织学特性; 少量心包积液;右侧中量胸腔积液,左侧少量胸腔积液。

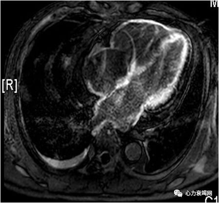
➤ 心脏MRI增强:心肌首过灌注可见心内膜下灌注减低,延迟扫描左、右心室可见弥漫性强化,以心内膜下强化为著。
➤ 心肌淀粉样变性,左室收缩及舒张运动减弱;少量心包积液;右侧中量胸腔积液,左侧少量胸腔积液。
➤ 定义:一侧或双侧心室充盈受限和舒张期容量降低为特征,收缩功能和室壁厚度正常或接近正常,可见间质纤维化。
➤ 相符:双侧心室充盈受限和舒张期容量降低。
➤ 不相符:本例的EF值下降明显(30%)。
➤ 病因:特发性
心肌淀粉样变(最常见)
心内膜病变伴或不伴嗜酸性细胞增多症
➤ 发病人群:男女比3:1,发病年龄15-50岁
➤ 进一步查找潜在病因非常重要!
➤ 发作性胸闷气短,不能平卧,夜间憋醒,有消化道出血史,有高血压病史,发病后血压恢复正常
➤ 颜面部皮肤弥漫性灰褐色色素沉着,舌体大,肺部闻及啰音,双下肢浮肿
➤ 心电图:胸导联r波递增不良;动态心电图:室内传导阻滞;心脏超声:双房明显增大,心室不大,室壁弥漫性增厚,心包积液,EF值下降;冠脉CTA:各支冠脉未见有意义狭窄;心脏MRI:双房明显增大,心室不大,双室壁弥漫性增厚,双室收缩及舒张功能减低,增强MRI提示双心室内膜下延迟强化
➤ 综上所述,患者心衰病因排除冠心病、高血压心脏病、肥厚型心肌病,支持限制型心肌病,患者心脏核磁提示心脏淀粉样变,结合患者颜面部皮肤弥漫性灰褐色色素沉着,舌体肥大、消化道出血及高血压恢复正常的多器官受累症状,考虑系统性淀粉样变性!

自身抗体(-)、抗核抗体谱(-)

抗可溶性核抗原抗体(-)ANCA(-)


狼疮抗凝物(-)
β 2微球蛋白升高

血、尿免疫固定电泳λ 型M蛋白(+)

心内膜心肌活检心肌淀粉样变性

腹壁活检淀粉样变性

心内膜心肌免疫组化免疫球蛋白
Lambda链沉积,Labmda(+)

腹壁免疫组化(-)


骨髓活检:浆细胞异常增生。免疫组化结果提示增生的浆细胞具有Lambda轻链优势表达,提示异常浆细胞。特殊染色(+/-)。免疫组化结果:CD138(散在小灶状+),CD56(-),CD235a(红系+),Kappa(个别+),Lambda(少量+),MUM1(散在小灶状)。
浆细胞病
➤ 淀粉样变性
淀粉样物质在器官中沉积、浸润
➤ 淀粉样物质
多种蛋白质形成独特的铰链状β褶形片层纤维沉着
➤ 心脏淀粉样变性
淀粉样物质沉积、浸润于心脏,引起功能改变

➤ 限制型心肌病
劳力性呼吸困难
颈静脉怒张、肝肿大、下肢水肿
➤ 低血压
高血压“自愈”
体位性低血压(自主神经受累、小血管受累张力失调、利尿)
➤ 心律失常
室上性心律失常、室内传导阻滞(常见)
猝死(少见)
➤ 心外淀粉样变的表现
胃肠道、神经系统、肾脏、皮肤、舌
最常见累及心脏的类型
单克隆免疫球蛋白轻链错误折叠形成淀粉样蛋白,沉积于组织器官造成组织结构破坏
主要与克隆性浆细胞异常增殖有关,少部分与淋巴细胞异常增殖有关
预后差异大,心脏受累程度对预后的影响大于其他任何器官
未经治疗的患者80%2年内死亡,出现心衰的患者中位生存期4-6个月
原发性轻链型淀粉样变患者主要器官受累诊断标准
受累器官
➤ 肾脏
诊断标准:24h尿蛋白>0.5g,主要为白蛋白尿
➤ 心脏
诊断标准:UCG提示室间隔>12mm(无其他原因);或NT-proBNP>332ng/l(无肾功能不全)
➤ 肝脏
诊断标准:肝脏总界>15cm(无心功能不全);或碱性磷酸酶超过正常上限1.5倍
➤ 周围神经
诊断标准:存在对称性的四肢感觉运动异常
➤ 胃肠道
诊断标准:需经活检证实
心室腔不大但呈进行性难治性心力衰竭
心室肥厚伴心电图低电压
室壁均匀肥厚
既往有高血压伴进行性低血压
多器官受累

➤ 心脏淀粉样变性合并心力衰竭
利尿剂、ACEI、ARB、β受体阻滞剂、血管扩张剂
传导异常—永久起搏器
➤ AL型淀粉样变性
硼替佐米、来那度胺、沙利度胺、地塞米松、马法兰、甲氨喋呤、秋水仙碱、自体外周血造血干细胞移植
➤ 心脏移植
相对禁忌
同时进行肝移植、肾脏移植
➤ 后续治疗:患者心功能III级,Mayo2012分期IV期,无自体造血干细胞移植指征,于2018-2-8开始BMD方案(硼替佐米+马法兰+地塞米松),化疗后复查血清游离轻链恢复正常,出现低血压休克,予以扩容、多巴胺、去甲肾上腺素升压治疗后恢复,3月7日转当地医院继续诊治。
➤ 目前情况:患者持续泵入去甲肾上腺素0.12ug/kg维持血压,未再胸闷、气短,夜间能平卧,食欲欠佳,双下肢轻度浮肿。

LA:45mm,LV:43mm,RA:44mm,EF:33%
室间隔:15.9mm,左室后壁:17.7mm
心肌进行性肥厚伴多器官受累应排除异常物质浸润性心肌病
诊断最重要,综合判断避免误诊
早期诊断,早期干预
心脏淀粉样变临床相对少见,因预后差,不容忽视