
马慧元
甘肃省人民医院干部病房心内科
阜外医院心力衰竭中心进修医生
➤ 患者资料
姓名:张X 性别:男性 年龄:27岁
➤ 就诊时间
2018年1月9日就诊于阜外医院HFCU
➤ 患者主述
间断胸闷、气短、心悸1月,加重半月。
➤ 现病史:
入院前40天:受凉后发热,体温38℃-39℃ 2天,此后体温为37.5℃左右持续约1周。
入院前1月:出现劳累时胸闷、气短、心悸,活动耐量下降,双下肢水肿。
入院前半月:受凉后再次发热,体温38℃左右,胸闷、气短、心悸症状加重,伴夜间阵发性呼吸困难,双下肢重度水肿。
入院前10天:当地医院就诊,对症治疗后症状缓解。
➤ 既往史及个人史:
体健,否认高血压、糖尿病。
肥胖12年(体重指数35.6 kg/m2 )
喜高脂饮食
否认吸烟(但2年前经常接触二手烟)
否认饮酒
否认心血管病家族史
➤ 体格检查:
体温36.7℃,脉搏105次/分,呼吸19次/分,血压118/68mmHg。
体型肥胖,双肺呼吸音清,未闻及干湿性啰音,心界左下扩大,心率105次/分,律齐,各瓣膜听诊区未闻及病理性杂音,双下肢轻度水肿,压之凹陷。
➤ 外院检查:

自身抗体阴性(抗核抗体,抗双链DNA抗体等)
病毒抗体检测阴性(单纯疱疹、风疹病毒、巨细胞病毒、弓形体、肺炎支原体、结核分枝杆菌、柯萨奇B组、人呼吸道合胞病毒、流感病毒、副流感病毒、腺病毒)
➤ 心电图:

异常Q波,T波改变
➤ 心脏彩超:
左心增大(LA 40mm,LV 59mm)
左心室壁弥漫性运动减低
三尖瓣返流(轻度)
左心功能减低(EF:40%)
心包积液(少量)
➤ 肺部CT:
两肺多发炎性病变
心包少量积液
两侧胸膜增厚
利尿、强心、营养心肌、抗感染、降糖等。
患者胸闷、气短、心悸症状有所缓解,双下肢水肿减轻,平卧位休息,无夜间阵发性呼吸困难。
心功能改善,症状缓解。

➤ 入院诊断:
心力衰竭
心肌炎(可能性大)
扩张型心肌病(待除外)
冠状动脉粥样硬化性心脏病(待除外)
心脏扩大
心功能Ⅲ级(NYHA分级)
2 型糖尿病
糖尿病肾病
高脂血症
➤ 心肌标志物及心功能指标

➤ 与住院前相关指标进行比较

➤ 代谢指标

➤ 肝肾功

➤ 其它化验指标
血气分析
血常规、血沉、炎症介质、C-反应蛋白
免疫风湿因子
肿瘤标志物
传染病
➤ 心电图


异常Q波,T波改变。
➤ 动态心电图

窦性心律
偶发室性早搏
T 波改变
➤ 胸片

左房室增大
伴左心功能
不全改变
➤ 心脏彩超

阳性所见符合心肌受累疾患
左室扩大
(LA 40mm,LV 59mm)
左室壁运动幅度弥漫性减弱
左室心尖部附壁血栓形成
(10mm×9mm)
左心功能减低 EF:37%
少量心包积液


➤ 临床表现
急性胸痛、心包炎或心肌缺血。
新出现(数天到3个月)或加重的:静息或劳力的呼吸困难和/或乏力,伴或不伴左和/或右心衰体征。
亚急性/慢性(>3个月)或加重的:静息或劳力的呼吸困难和/或乏力,伴或不伴左和/或右心衰体征。
心悸,和/或不能解释的心律失常症状,和/或晕厥,和/或心脏骤停。不能解释的心源性休克。
➤ 诊断标准
ECG/Holter/负荷试验:Ⅰ-Ⅲ度AVB、束支传导阻滞、ST段或T波改变(ST段抬高或非抬高,T波倒置)、窦性停搏、室速或室颤和停搏、房颤、R波减小、室内传导阻滞(QRS增宽)、病理性Q波、低电压、频发早搏、室上性心动过速。
心肌细胞溶解的标志物:TNI或TNT升高。
心脏影像示功能和结构异常(超声/血管造影/CMR):新发的,不能用其他原因解释的左室和/或右室结构和功能异常:节段性室壁运动异常或整体收缩或舒张功能异常,伴或不伴心室扩张、室壁厚度增加、心包积液及腔内血栓。
CMR显示的组织特点:水肿和/或典型的心肌炎LGE。
➤ 临床拟诊心肌炎
1+1:≥1个临床表现+≥1个诊断标准
需排除:冠状动脉病变,已知的已存在的心血管疾病或可以导致临床症状的心外因素(如瓣膜病、先天性心脏病、甲亢)。
符合诊断条件越多怀疑性越高。如果没症状,需要≥2条诊断标准。



➤ 冠脉动脉成像
冠状动脉平扫:左、右冠状动脉可见钙化,积分698分;冠状动脉呈右优势型;前降支中远段管腔极细,考虑闭塞;回旋支中远段及钝缘支细小,间断显影;右冠状动脉未见有意义狭窄。
左房室增大;心包少量积液。
双肺下叶后基底段、外基底段少量渗出,考虑与心功能不全有关。

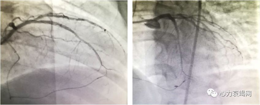
➤ 冠状动脉造影
左冠状动脉前降支近段:全程弥漫偏心不规则100%狭窄局部桥状侧支(完全闭塞>3个月),远端管腔差,病变属于原发病变。
左冠状动脉前降支中段:近段弥漫偏心不规则100%狭窄局部桥状侧支(完全闭塞>3个月),远端管腔差,病变属于原发病变。
诊断:单支病变,累及前降支。

➤ 介入治疗
冠状动脉介入治疗

于前降支病变处置入2枚支架
➤ 冠状动脉粥样硬化性心脏病
陈旧性前壁心肌梗死
心脏扩大
左心室附壁血栓
心力衰竭
心功能Ⅲ级(NYHA分级)
➤ 2 型糖尿病
糖尿病肾病
➤ 高脂血症
阿司匹林肠溶片100mgQd
氯吡格雷75mgQd
利伐沙班5mgBid
培哚普利2mgQd
比索洛尔10mgQd
消心痛15mgTid
匹伐他汀4mgQn
依折麦布10mgQd
托拉塞米20mgQd
螺内酯20mgQd
营养心肌、补钾、降糖等

➤ 心肌炎特点:
好发于青少年,起病前多有感染病史。
多无冠心病发病危险因素。
心肌酶谱升高相对不显著,心肌酶峰不显著。心电图异常Q波及ST-T改变,但不能定位诊断。
➤ 青年心肌梗死特点:
青年急性心肌梗死发病率呈上升趋势,且发病年龄日趋年轻化。
青年冠心病患者多以急性心肌梗死为首发症状,但部分患者心肌梗死症状不典型,易误诊。
青年急性心肌梗死的危险因素为吸烟,酗酒,男性,血脂,肥胖、遗传、高血压、精神心理因素、尿酸。
青年心肌梗死患者多为单支病变,常累及前降支,前壁心肌梗死多见。
青年人肌钙蛋白升高时,不要轻易诊断心肌炎。
关注青年人心肌梗死。
重视心肌炎与心肌梗死的早期诊断和鉴别诊断。