
黄燕
中国医学科学院阜外医院
患者:王XX 男性 70岁 1.83m 82kg
以“间断心悸3年,活动后胸闷2年,加重伴双下肢水肿1年”收入院
➤ 现病史













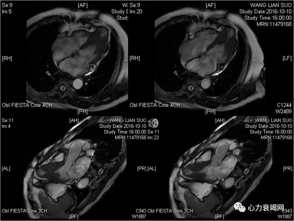
左房内径轻度增大,左室腔正常高限
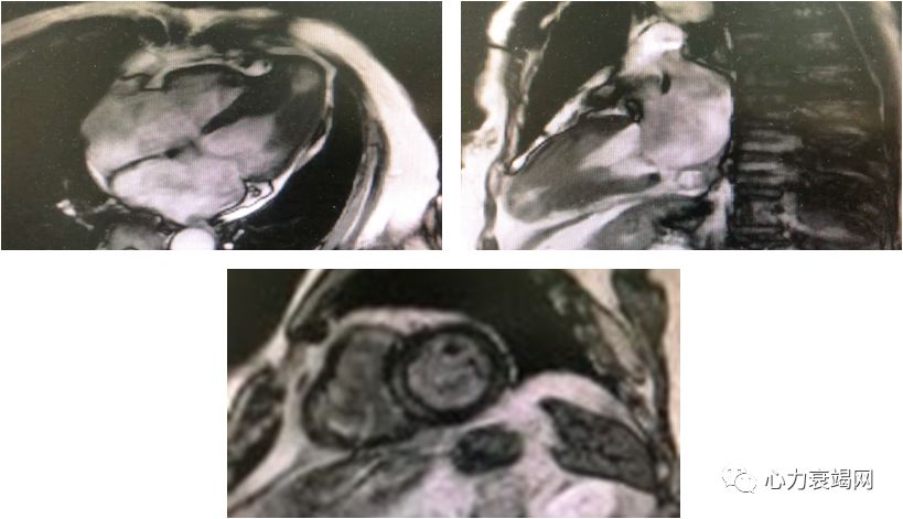
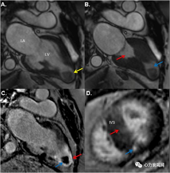
左室室间隔中远段及侧壁中段室壁增厚,致左室中部梗阻(最厚约19~20mm)
心尖部室壁变薄,可见矛盾运动
余左室壁各节段收缩运动大致正常,舒张轻度受限
左室流出道收缩期末未见明确梗阻征象,左室中部梗阻
延迟增强后心尖部可见明显透壁样强化
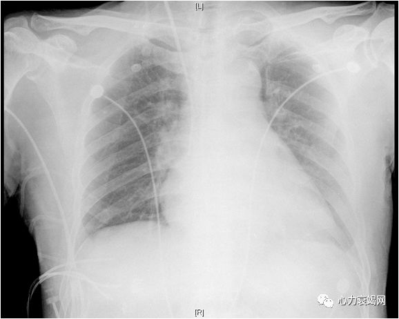
右房增大,右室不大
印象:肥厚性心肌病,左室心尖部室壁瘤形成


➤ 肥厚性梗阻型心肌病(左心室中部梗阻)
心脏扩大
心尖部室壁瘤
心律失常
心房颤动
心房扑动
心功能III级
➤ 2型糖尿病
➤ 高血压3级

左心室中部肥厚型梗阻性心肌病是HCM中的少见类型,发生率约占肥厚型心肌病的 l% ~10%
特征:左心室中部乳头肌与室间隔中部心肌异常肥厚,伴左心室心尖部与基底部心腔间存在压差
左心室中部收缩期梗阻或闭塞呈“沙漏形”或“哑铃形
症状明显但不特异:劳力性呼吸困难、乏力、心悸、晕厥(左心室梗阻、室性心律失常等原因)等
易合并心尖室壁瘤、室性心动过速等心律失常,从而发生猝死,较普通肥厚梗阻心肌病预后更差





治疗方法类似于其他肥厚型心肌病
左心室压力阶差>50 mmHg时需要处理
内科药物治疗(β受体阻滞剂,CCB经验性用药)
酒精消融术
双腔起搏器,疗效不确定
ICD:猝死高危者•外科手术:改良扩大morrow术
对合并左心室室壁瘤或冠状动脉病变的患者通常行外科手术


➤ 手术名称
改良morrow手术
左室流出道疏通术
经胸心脏射频消融改良迷宫术
左心耳切除术
室壁瘤折叠术三尖瓣成形术
➤ 手术情况描述
切除左心耳,切断Marshell韧带,双房路径行房颤消融术。
室间隔中下部增厚20mm,切除心肌5.0g
室间隔至心尖有肌束连接
二尖瓣大致正常
三尖瓣环明显扩大,植入30号硬环
心尖2.0×2.5cm大小变薄,未见明显膨出及矛盾运动,1-0线带毛毡片两针褥式折叠
停机后窦性心律,血压110/50mmHg,左室心尖至流出道通畅,无压差,二尖瓣微量反流,三尖瓣及主动脉瓣无反流

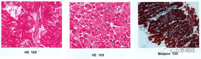
心肌细胞肥大、部分排列紊乱
室间隔心肌细胞肥大、轻度空泡变性,局部排列紊乱,局部内膜纤维组织增生,符合肥厚性心肌病的改变
左心耳心肌细胞肥大、变性


——左心室中部肥厚型梗阻性心肌病
临床表现不特异,不做详细检查易漏诊
疑诊的患者完善多普勒二维超声心动图,心脏MRI,左室造影检查
怀疑冠心病时行冠脉造影
主要风险在于致命性室性心律失常和心原性猝死
避免剧烈运动等增强心肌收缩力的因素
血流动力学检查对指导临床治疗非常重要
符合指征应及时手术