

比赛规则
1、评比规则:在公众号“心力衰竭网”本期病例发布后一周内,点击下方“留言”进行评论。我们将从每期发布病例的留言里选取3条针对具体的病例内容进行专业点评且点赞数多的评论予以奖励。(本期精彩评论统计截止时间:2月6日早上9:00)
2、本期奖品:前三名每人获奖50元红包。
以下是来自阜外华中心血管病医院的肖文涛分享的精彩病例《顽固性心衰的超滤治疗》。欢迎关注微信公众号“心力衰竭网”,在该篇病例留下的精彩点评!小编会用心品读您的点评。
点评后,请持续关注我们之后的评选结果。预祝您的点评榜上有名!
66岁女性患者,身高:156cm 体重:43kg
以“间断双下肢水肿30年,间断胸闷9年,加重2月”为主诉于2018.6.26日入院
30年前无明显诱因出现双下肢水肿,就诊于当地医院诊断为“风湿性心脏病”,未给予正规治疗
9年前出现活动后胸闷、心悸,就诊于“郑州市第七人民医院”,因炎症控制差,仅行药物保守治疗,症状好转后出院。院外口服改善心衰药物,症状仍间断再发
2年胸闷加重,伴睡眠中憋醒,曾就诊于“濮阳市人民医院”,按“风湿性心脏病 房颤 消化道出血”治疗,症状稳定后出院
2月前胸闷加重,伴腹胀、纳差,再次就诊于“濮阳市人民医院”,心脏超声示:双房大、二尖瓣重度狭窄并重度关闭不全重度肺动脉高压,治疗效果差
入院时,神志清、精神差,高枕卧位,烦躁不安,呼吸急促,未进食,小便少,体重未监测
既往史:无“糖尿病及脑血管病”病史,无食物药物过敏史
个人史:无吸烟、饮酒史
家族史:无家族性遗传病或传染病
T 36.5℃ P 80次/分 R 30次/分 BP124/87mmHg
慢性病容,恶病质,端坐体位,口唇发绀,颈静脉怒张,呼吸急促,双肺呼吸音清,双肺可闻及中等量湿性罗音,双肺底呼吸音弱。心浊音界向两侧扩大,HR:140次/分,心律绝对不齐,第一心音强弱不等,二尖瓣听诊区可闻及双期3/6级喷射样杂音,未闻及心包摩檫音。腹平坦,无压痛、反跳痛,肝静脉回流征阳性,肝脾肋下未触及,肠鸣音可。四肢凉,双下肢中度指凹性浮肿。

1.NT-ProBNP:11088pg/mL
2.血常规:HGB:83g/L HCT:28.3
3.血肌酐:114umol/L
4.肝功能:总胆红素:36.3umol/L
5.血脂分析:CHOL:5.35mmol/L LDL-C:4.08mmol/L
6.动脉血气分析:PH:7.373 PCO2:42.7mmHg PO2:59.1mmHg

➤ 风湿性心脏病
二尖瓣狭窄(重度)并关闭不全(重度)
主动脉瓣关闭不全(重度)
三尖瓣关闭不全(重度)
左房内血流瘀滞(血栓形成前兆)
肺动脉高压(重度):肺动脉压力100mmHg
全心增大:LA101mm LVEDd:61mm EF:50%

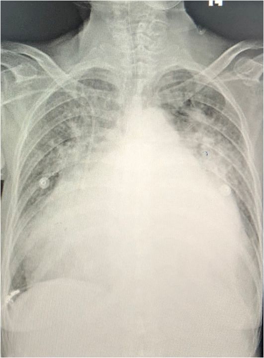
心影显著增大
肺淤血并炎症
纵膈增宽
1、风湿性心脏病 二尖瓣狭窄(重度)并关闭不全(重度),主动脉瓣关闭不全(重度)三尖瓣关闭不全(重度),持续性房颤 左房血流瘀滞 肺动脉高压(重度),全心增大,全心功能不全,心功能4级(NYHA)
2、肺部感染 呼吸衰竭(I型)
3、慢性肾功能不全
4、肝功能不全
5、恶病质 营养不良性贫血




➤ 风湿性心脏病
二尖瓣狭窄(重度)并关闭不全(重度)
主动脉瓣关闭不全(中度)
三尖瓣关闭不全(中度)
左房内血流瘀滞
肺动脉高压(重度):肺动脉压力73mmHg
全心增大: LA95mm LVEDd:66mm EF:53%
双侧胸腔积液(右侧已定位:94 × 70mm)



虽然CRRT治疗能有效减轻AHF患者容量负荷,但是不建议替代袢利尿剂作为AHF患者的一线治疗(ⅡaC)[2],而是应用于对利尿剂无效的患者






心衰治疗刻不容缓
因人而异、因时而异
病因的治疗及诱因的去除是关键
超滤治疗是救治心衰的利器
作者简介
肖文涛
阜外华中心血管病医院
主治医师,心内科博士,河南省卒中学会心血管分会心脏重症专业委员会常务委员,河南省呼吸与危重症学会重症医学分会青年委员。现工作于阜外华中心血管病医院、河南省人民医院心脏中心、冠心病监护病房(CCU)。主攻冠心病的诊断与治疗,在心脏急危重症的诊治方面也有一定的造诣,能熟练掌握心脏机械辅助装置(如呼吸机、CRRT、IABP、ECMO)的临床应用。工作以来共发表论文多篇,其中SCI论文2篇、中华系列2篇、核心期刊4篇。
本例重症心衰患者治疗及时有效,特别是在超滤的临床应用方面取得了良好的结果,给我们提供了成功的治疗经验。
心衰合并水钠潴留的治疗多依赖于利尿剂,但重症心衰常合并利尿剂抵抗,通常做法是在纠正了低血压,低蛋白血症等可逆因素之后,通过增加利尿剂剂量来改善利尿剂抵抗,但是增加剂量并不一定能带来尿量的显著增加,而不断有研究显示大剂量的袢利尿剂可能影响临床预后。襻利尿剂会激活神经内分泌系统,降低肾血流量,降低肾小球滤过率,而神经内分泌激活与病死率直接相关。肾小球滤过率越低,需要的利尿剂剂量就越大,病死率越高。ADHERE、SOLVD 等研究发现,基线时使用与不使用利尿剂比较,使用利尿剂的病人全病因死亡、心血管死亡和猝死均明显增加。
超滤治疗是指用机械装置从外周或中心静脉把血液抽出,通过血泵产生的静水压对血液进行过滤,过滤浓缩后再输送回患者静脉的过程。能够消除血管内、外过多的体液,恢复血管内和间隙容量正常化。超滤液成份相当于原尿,电解质浓度和晶体渗透压与血浆相同。因此,单纯超滤前后血浆钾、钠、氯、碳酸氢盐等变化不明显,不会造成电解质和酸碱平衡紊乱,也不会导致神经激素激活。
超滤在过量液体清除能力上表现良好,短期缓解患者急性状况效果明确,但对长期生存率指标及肾功能指标改善上的疗效仍然未知。
该患者严重心衰,肺水肿,在应用大剂量襻利尿剂基础上再加用新型保钠利尿剂托伐普坦仍然少尿,无尿,采用超滤治疗迅速帮助患者消除体内过多的钠和水,纠正了危急状态,取得了良好的效果。
思考:
1.患者存在贫血,低氧血症,感染(因为所提供的临床资料不全,不知是否同时合并低蛋白血症,电解质紊乱等)等可能会影响利尿效果的因素,若尽早给予输血等积极治疗,纠正可逆因素,是否能够对利尿剂抵抗有所改善?
2.超滤时机:患者入院时即有少尿,端坐体位,颈静脉怒张,呼吸急促,双肺湿性罗音,双下肢中度浮肿,胸片提示肺淤血,肺水肿,显示容量明显超负荷,若初始给予超滤治疗能够更迅速的定时定量清除过多的水分,改善临床症状,是否能尽早缓解急性心衰状态?
专家简介
张宇辉教授
中国医学科学院阜外医院
主任医师,中国医学科学院阜外医院心力衰竭中心HFCU副主任,博士导师,中国医师协会心力衰竭专业委员会总干事,中华医学会心力衰竭学组秘书,中华医学会心脏重症学组委员,北京心脏学会监事,中华心力衰竭和心肌病杂志编辑部主任,ESC fellow,CIHFC,CHC,长城会心衰论坛的秘书长。