
女性,82岁
主诉:间断气紧4年,加重伴双下肢水肿10余天(2017-6-21)
4年前受凉后出现间断气紧,活动后为著,后逐渐进展为静息状态下气紧,夜间不能平卧,伴持续胸憋、胸闷,于我院行心电图、肌钙蛋白等化验检查诊断为急性非ST段抬高型心肌梗塞,Killip III级,予以抗血小板聚集、抗凝、稳定斑块、扩血管、利尿等治疗后症状好转,院外规律服用“阿司匹林、普伐他汀、比索洛尔、氯沙坦钾、螺内酯、呋塞米”等药物治疗。
之后每因受凉、劳累,上述症状反复发作,住院周期逐渐缩短,近1年平均每1-2月住院治疗1次,期间曾再次发生2次非ST段抬高型心肌梗塞。
10余天前受凉后咳嗽、咳痰加重,伴持续胸憋、气紧,双下肢水肿,尿量减少,近1周无法平卧。
T 37℃ P 76次/分 BP 134/74mmHg R 30次/分
喘息貌,端坐位,四肢皮肤湿冷
颈静脉怒张,口唇紫绀
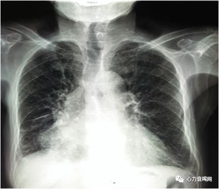
双肺呼吸音粗,双下肺可闻及湿性啰音
心界向左侧扩大,心率76次,律齐,心音低钝,各瓣膜听诊区未闻及病理性杂音
腹软,肝肋下2横指
双下肢重度可凹性水肿
BNP>4000pg/ml
血气分析:PH 7.387,PO2 57.7mmHg,PCO2 44.8mmHg,氧饱和度89.1%
血细胞分析:白细胞计数 10.4*109/L,中性粒% 89.3%
D-二聚体:390ng/ml
肌钙蛋白 0.06ng/ml(0-0.04ng/ml)
心肌酶、肌酐、肝酶、血糖、甲功均正常血钾4.88mmol/L、血钠136mmol/L



总心搏数80676次,最小心率58次/分,最大心率120次/分,平均心率73次/分,窦性心律,频发房性早搏569次,阵发性房性心动过速13阵次,最长8跳,偶发室性早搏151次,不完全性左束支传导阻滞,ST-T异常
冠状动脉粥样硬化性心脏病
陈旧性心肌梗死
心功能IV级(NYHA分级)
心律失常
阵发性房性心动过速
频发房性早搏
不完全性左束支传导阻滞
慢性阻塞性肺疾病急性加重期
慢性肺源性心脏病
I型呼吸衰竭
高血压3级(很高危)
阿司匹林肠溶片 100mg 1次/日
普伐他汀 20mg 1次/日
螺内酯 20mg 1次/日
氯沙坦钾 50mg 1次/日(既往ACEI药物干咳明显)
比索洛尔 1.25mg 1次/日
冠心丹参滴丸 10粒 3次/日
控制诱因:抗感染、吸氧
限制入量:控制总入量在2000ml以内
利尿:间断呋塞米/托拉塞米利尿,监测电解质、出入量
扩血管:硝酸甘油以10ug/min起始泵入,据血压逐渐调整滴速
治疗5天,效果不佳,仍气短明显,无法平卧
高龄,吸烟,冠心病,陈旧性心肌梗死,肺心病,全心扩大,EF30%,BNP>4000pg/ml以上,自2014年起反复因心功能不全住院,慢性心衰急性发作
分型:“湿冷型”
已长期服用醛固酮受体拮抗剂、β受体阻滞剂、ARB,现予以利尿、血管扩张剂等,效果不佳
患者及家属拒绝冠脉造影检查及治疗
如何进一步选择药物改善患者心功能?










经治疗,气短明显改善,可平卧位睡眠,静息状态下无明显气短,双下肢水肿消失
精神食欲较前好转
治疗第15天出院
生活方式指导:戒烟,避免受凉、劳累
口服药物治疗:规律服药
阿司匹林肠溶片 100mg 1次/日
普伐他汀 20mg 1次/日
单硝酸异山梨酯缓释片 60mg 1次/日
呋塞米 20mg 2次/日
螺内酯 20mg 2次/日
氯沙坦钾 50mg 1次/日
比索洛尔 1.25mg 1次/日
冠心丹参滴丸 10粒 3次/日
3月后因受凉后因“间断气紧伴双下肢水肿1周”再次入院。
体征:血压120/70mmHg,颈静脉怒张,口唇紫绀,双肺呼吸音粗,双肺底可闻及细小湿性啰音。心界向左侧扩大,心率75次,律齐,心音低钝,未闻及病理性杂音。肝肋下1横指。双下肢中度可凹性水肿。
BNP 2090pg/ml
患者此次住院周期较前延长至3个月
体征较前好转,BNP较前降低
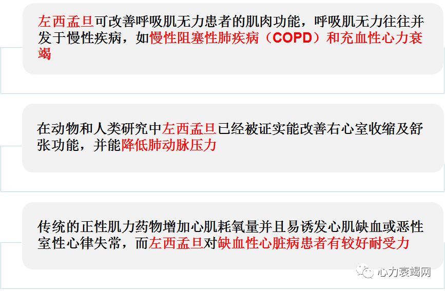
反复应用左西孟旦有无询证医学证据?



随访12个月时,左西孟旦组与基线时比较,左室射血分数增加,BNP降低;对照组与基线时比较左室射血分数无明显改善,BNP显著升高
随访6和12个月时,左西孟旦降低再入院率,减少住院天数
随访12个月时2组死亡率无显著差异,因为2组死亡率均较预期低(根据3C-HF评分,左西孟旦组和对照组1年预计死亡率应分别为28.36 ± 18.93% vs 29.88 ± 17.54%),本研究左西孟旦组死亡3例,对照组死亡2例(8% vs 12%)


治疗12天后出院
出院后间隔半年后因受凉(2018-3-3)再次入院,治疗方案同前,治疗10天出院








作者简介
李春霞
山西医学科学院山西大医院
医学硕士,现为山西大医院老年医学科主治医师,研究方向为老年医学心血管方向。现任山西省医师协会心脑血管慢病防治专业委员会总干事,山西高血压青年委员会委员, 山西老年医学学会心血管分会委员,山西省女医师协会心血管分会专业委员会委员,山西省医师协会老年医学医师分会心血管专业委员会委员。
专家点评
本例患者处理亮点:
本例患者是一个82岁女性患者,既往明确缺血性心肌病心功能不全病史,反复发生心肌梗死,同时合并COPD,近10余天感染后症状加重入院。入院时端坐位,四肢皮肤湿冷,双下肺可闻及湿性啰音,肝肋下2横指,双下肢重度可凹性水肿,BNP明显升高,心脏超声示全心大,肺动脉高压,左室、右室收缩舒张功能减低,EF 30%,根据其病情为左西孟旦的适应症,使用后患者临床症状缓解,BNP下降。此后患者曾2次因心衰加重入院,均使用左西孟旦治疗,患者入院频率减少,在院时间缩短,肺动脉压明显下降。
本例患者处理需要商榷的地方:
1、该患者入院时容量负荷明显增加,治疗上却间断使用利尿剂,病例并没有提供初始5天的出入液量情况,但根据使用左西孟旦后出入液量表可见使用左西孟旦后72小时仍入液大于出液,由此推断患者利尿剂使用不足,故初始5天治疗效果不佳。
2、 患者为高龄女性,建议提供患者肌酐清除率而不是血肌酐的数值。
3、 患者入院即为慢性心衰急性发作,湿冷型,应早期即使用左西孟旦,而不应该是治疗5天无效后才使用。
4、 此例患者重复使用左西孟旦的间隔时间分别为3个月及6个月,而不论是文中列举的荟萃分析或2014年15个国家30位专家对重复使用左西孟旦的推荐,用药间隔时间为2周至1个月,有的研究甚至为1周。
5、 患者出院医嘱中氯沙坦钾及比索洛尔用量均未达到靶剂量,PPT中没有提供患者出院时的血压心率情况,是否有调整的空间。患者规律服药后仍反复心衰发作,可考虑ARB换为诺欣妥进一步改善预后。
6、 患者为缺血性心肌病患者,反复发生心肌梗死,患者拒绝介入治疗,所以冠心病的二级预防更为重要,PPT中没有提供患者的血脂水平,血脂是否达标,他汀是否需要调整。
专家简介
李晓东教授
中国医科大学附属盛京医院
中国医科大学附属盛京医院心内科主任, 教授,主任医师, 博士研究生导师,欧洲心脏病学会委员(FESC),中国医疗保健国际交流促进会心脏重症分会 副主任委员,海峡两岸医药卫生交流协会心脏康复专业委员会 副主任委员,中国医疗保健国际交流促进会心脏重症分会辽宁工作委员会 主任委员,海峡两岸医药卫生交流协会心脏重症专业委员会辽宁工作委员会 主任委员,海峡两岸医药卫生交流协会心脏康复专业委员会辽宁工作委员会 主任委员,辽宁省医学会心血管分会 副主任委员,辽宁省预防医学会心血管病预防与控制专业委员会 副主任委员,中国医师协会心血管分会委员,美国心脏病学会中国教育基地负责人,卫生部首批冠脉介入和心律失常培训基地主任,《中国实用内科杂志》常务编委,《中国高血压杂志》、《中国医科大学报》 、《实用药物与临床》等杂志编委及审稿专家。
对高血压,冠心病,心肌病,心力衰竭,心律失常等疾病的诊治有专长,尤其擅长心血管疾病急重症的救治,冠心病的介入治疗和心脏永久起搏器的植入。获得国家级、省部级有关冠心病,高血压的研究课题6项,在国外杂志、国家级,省级杂志上发表论文60多篇。