
基本资料
患者女,24岁,浙江人,家庭主妇
主诉:产后3天,突然气促、心悸1天
现病史
患者于3天前(2016/7/1)因“孕29+4周阴道流液”,拟诊为“胎膜早破”,在腰麻下行剖宫产术,早产1名男婴(995g,APGAR评估5分)、并引流淡黄色腹水约500ml。术后第3天,患者出现胸闷心悸、下肢酸痛,无咳嗽、胸痛,查NT-proBNP467↑pg/ml、K+3.42↓mM、Ca2+1.29↓mM、Alb25↓g/L、Hb92↓g/L、PLT48↓×109/L、D-dimer6.31↑mg/L,EKG示“窦速”,予以呋塞米、补钾、补钙后,症状无明显好转,翻身后胸闷心悸较前加重,伴呼吸困难,休息不能完全缓解,请我科急会诊。
病程中,患者昨日起体温有轻度升高,胃纳、睡眠欠佳,二便调,孕期体重增加10kg。
体格检查
T 37.5°C,P120 bpm,R30次/分,BP138/72mmHg
神清,精神较差,30°卧位,气促,面部红斑,全身皮肤可见散在瘀斑。左下肺呼吸音低,双肺底可及湿啰音。HR 120bpm,律齐,心音低钝,未闻及病理性杂音。腹膨,叩诊浊音,移动性浊音(+),双下肢不肿。
既往史
否认高血压、糖尿病、肾病、心脏病史。
有SLE史10年,平素口服强的松治疗 。孕期口服强的松30mg qd,硫酸羟氯喹片2#qd治疗,伴继发性血小板减少(30↓×109/L)、轻度肝损(AST 108IU/L)、低蛋白血症(21g/L),剖宫产前予以停用口服强的松,改为地塞米松10mg qdivgtt,并输注血小板,进行丙球冲击。
否认家族遗传性疾病史。
婚育史:头胎,否认其他怀孕、流产、生育史。
辅助检查-LAB(2016.7.3)
【血常规】
WBC20.40↑x109/L,NE% 92.1↑%,Ly%5.1↓%, Hb96↓g/L , Hct0.294↓,RBC 3.17↓×1012/L , PLT 48↓×109/L
【电解质】
Na+129↓mmol/L,K+3.49↓mmol/L,Cl-104mmol/L,CO218.0↓mmol/L,Ca2+1.16↓mmol/L,P0.67↓mmol/L
【肝肾功能】
葡萄糖3.77↓mmol/L,前白蛋白78↓mg/L,ALT29IU/L,AST49↑IU/L,AKP110IU/L,γ-GT151↑IU/L,TB20.4μmol/L,DB7.5↑μmol/L ,TP 57↓g/L,Alb25↓g/L,A/G0.78↓/L; BUN8.4↑mmol/L,SCr85μmol/L,UA403μmol/L
【血气分析】
PH7.4,PO211.34kpa,PCO23.66↓kpa,[HCO13-]19.4↓mmol/L
【心肌蛋白】
LDH640↑IU/L,CK59IU/L,CK-MB1.3ng/mL,Myo 30.6ng/ml,TnI0.03ng/mL
【C-反应蛋白】
129↑mg/L;【 NT-proBNP】813.0↑pg/mL
【DIC】
D-dimer6.31↑mg/L
【尿常规】
蛋白质 阳性(++++)↑,潜血阳性(++++)↑,红细胞(镜检)4-5/HP,白细胞(镜检)0/HP
辅助检查-心超(2016.7.3)

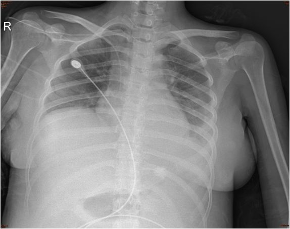
辅助检查-胸片

两肺纹理略增多,左侧胸腔积液
辅助检查-EKG

心脏初步印象
心功能不全(NYHAIII-IV 级)
SLE 相关性心肌损伤?
围产期心肌病?
肺栓塞?
感染?
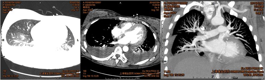
进一步检查
肺动脉CTA:双侧胸腔积液,两下肺膨胀不全伴部分实变;两肺纹理清晰(未见动脉栓塞征象)。

进一步检查-心超(2016.7.7)

进一步检查-SLE相关指标
【ANA】
周边型 (-) ,均质型 (-) 颗粒型 1:160阳性(+),核仁型 (-),着丝点型 阴性(-);抗核抗体 1:80(+),ANA主要核型-核颗粒型,主要核型强度 1:640;ANA次要核型-胞浆颗粒型,次要核型强度 1:640
【SLE抗体】
抗RNP/Sm抗体 (++) ,抗Sm抗体 (++),抗SSA抗体(++),抗Ro-52抗体 (++),抗SSB抗体(-) 抗SCL-70抗体 (-) 抗PM-Scl抗体 (-), 抗Jo-1抗体(-),抗着丝点蛋白B抗体(-),抗增殖细胞核抗原抗体 (-), 抗双链DNA抗体 (-), 抗核小体抗体 (±) ,抗组蛋白抗体 (-),抗核糖体P蛋白抗体 (±),抗线粒体-M2抗体 (±)
【dsDNA】
抗双链DNAIgG 113.7IU/mL ↑
【免疫球蛋白】
IgG2140↑mg/dl, IgA 314mg/dl, IgM 99mg/dl,IgE 301.0↑IU/mL
【补体】C323↓mg/dl,C44↓mg/dl
【类风湿因子】<20IU/mL
【狼疮抗凝物测定】1.35
【床边B超】腹、盆腔积液
进一步检查—感染相关
降钙素原(PCT): 3.41↑ng/mL
血培养:阴性
中段尿培养: 阴性
β-1,3-葡聚糖(真菌) :阴性
鼻拭子MRSA 筛选:阴性
肛拭子 ESBL筛选阳性(大肠埃希菌) ↑
进一步检查-腹穿
腹水性状:深褐色、浑浊 、无凝固物
总蛋白含量:21.00g/L
乳酸脱氢酶:2272.00IU/L
红细胞:阳性(+++)
中性多核 94%,淋巴细胞4%,间皮细胞2%,
李凡它试验:阳性(+)
培养:(-)
脱落细胞:(-)
初步诊断
心功能不全(NYHA IV级)
SLE活动期(中重度)
肺动脉高压
腹腔感染可能
多浆膜腔积液
继发性血小板减少低蛋白血症
处理措施
抗SLE炎症:甲强龙80mg qdivgtt,辅以免疫球蛋白调节免疫
加强抗感染:替考拉宁+美平+甲硝唑
增加利尿:托拉塞米10-20mg qd,维持尿量>1500ml/d
预防性抗凝:低分子肝素
加强营养支持:补充白蛋白、保肝、护胃、化痰
对症支持:腹水引流,维持出入量平衡
病情演变

化验结果对比

病情演变

病情转归

转归-心功能恢复

病理生理学

讨论-SLE 与围产期
SLE是一种全身性的自身免疫性疾病,主要发病人群是育龄期女性,其20年存活率已达60%以上。
SLE患者的生育能力本身与非SLE的同龄女性相比没有差异,因此婚育已经成为重要的临床问题,特别是国家实施二胎政策后。
但SLE患者的妊娠本身属于高危妊娠,约1/3的患者最终以剖宫产的方式终止妊娠,近1/3以上的患者出现早产,有半数以上的SLE患者在妊娠期间会出现病情复发或加重,危及胎儿及孕妇的安全,我国妊娠合并SLE患者的母婴死亡率高达8.9% 。

讨论-SLE与心血管疾病
我国SLE患者死亡原因前4位依次为感染(33.2%)、肾脏受累(18.7%)、狼疮脑病(13.8%)和心血管疾病(11.5%)。
SLE 的心脏表现:常伴发心包炎,表现为心包积液,心包填塞者少见,可有心肌炎、心律失常,重症SLE可伴有心功能不全,提示预后不良;可伴冠状动脉受累,表现为心绞痛和EKG ST-T改变,甚至AMI;也可表现为冠状动脉炎。
SLE的心血管并发症尚缺乏特异性治疗手段。
系统性红斑狼疮诊断及治疗指南,中华风湿病学杂志,2010,14(5):342-346.
讨论-心衰病因

AHF 的处理流程

Sepsis 的心脏保护治疗
β-阻滞剂是唯一证实改善sepsis预后的药物,它可降低交感活性、减弱高代谢状态、调节血糖和细胞因子释放[1]。
左西孟旦可降低Sepsis 小鼠的炎症[2],但未能改善sepsis患者的器官功能不全,反而增加室上速的发生[3];
糖皮质激素可保护sepsis大鼠免受心肌缺血[4];
小剂量ALM(腺苷、利多卡因和镁)混合液可降低sepsis大鼠的炎症,改善生存[5]。
[1]Shock.2016 Oct;46(4):341-51.
[2] Crit Care Med. 2015 Nov;43(11):e508-20;
[3] NEngl J Med. 2016 Oct 27;375(17):1638-1648.
[4]Int J Clin Exp Med.2015 Aug 15;8(8):12211-8;
[5]Clin Vaccine Immunol.2016 Nov4;23(11):863-872
总 结
炎症/免疫源性心功能不全,在疾病活动期,病情进展迅速,需高度提高警惕,加强监测和监护;
严格按照心衰指南管理,积极控制原发病,消除诱因,严防并发症;
利尿剂可缓解充血症状,为首选;
β-阻滞剂对于改善预后有益。