
一般资料
姓名:杨**
性别:男
年龄:73岁
民族:汉
职业:退休
身高:170cm,体重60kg,BMI 21
入院日期:2017-1-23
现病史
➤ 主诉:发作性胸闷、胸痛16年,加重6小时
➤ 现病史:16年前开始反复出现活动时胸闷、胸痛,曾查冠脉CTA提示狭窄75%(具体不详)诊断冠心病,多次住院治疗,未行造影、支架处理,平素服药不规律。5小时前睡眠中突发胸闷、胸痛持续不缓解,无放射,伴汗出,急诊120至我院,接诊时查血压66/32mmHg即给予多巴胺,查心电图提示窦速、前间壁QS型、ST段轻度抬高,收入我科
➤ 平素睡眠欠佳,食欲尚可,夜尿稍多、大便正常,体重无明显变化
既往史
➤ 高血压5年、糖尿病4年,不规律药物治疗,血压血糖控制不佳;既往超声提示室壁瘤、双下肢严重动脉硬化
➤ 过敏性哮喘、慢阻肺、肺间质纤维化改变病史9年,并长期服用甲泼尼龙、孟鲁斯特纳、吸入布地奈德福莫特罗粉剂的病史
➤ 慢性胃炎10余年
➤ 腰椎骨折史2年
➤ 过敏史:无特殊
➤ 个人史、婚育史:无烟酒嗜好、其他无特殊
➤ 家族史:无特殊
体格检查
➤ T 36.7℃,P117次/分,R26次/分,BP76/46mmHg
➤ 神志尚清,精神差,呼吸浅快,半卧位,全身皮肤可见散在瘀斑,结膜水肿,口唇紫绀,颈静脉无怒张
➤ 呼吸急促、双肺呼吸音低,遍及细湿罗音,散在哮鸣音v心前区无隆起,心尖搏动正常,无震颤,心界无扩大,心率117次/分,律齐,心音低弱,各瓣膜区未闻及病理性杂音v肝脾肋缘下未触及,双下肢无水肿
急诊心电图


急查心梗三项、NT-proBNP、D-Dimer
科内快检:
CK-MB:4.57ng/ml
cTnT:2.68ng/ml↑
Myo:<30ng/ml
NT-proBNP:2754pg/ml↑
D-Dimer:0.35mg/L
检验科:
CK-MB:24U/L
cTnT:0.66ng/ml ↑
Myo:529.4ng/ml ↑
急查床旁心脏超声、胸片

入院诊断
1、冠心病
陈旧前壁心梗,室壁瘤形成
急性前壁ST段抬高性心肌梗死
心源性休克
心功能IV级(killip分级)
2、高血压3级 很高危
3、2型糖尿病
4、慢性阻塞性肺疾病
过敏性哮喘
肺间质纤维化
肺部感染
风险评估
GRACE评分大于200——极高危
CRUSADE出血风险评分69分——很高危

IABP使用指征

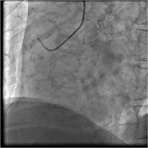
急诊PCI-左冠

急诊PCI--右冠

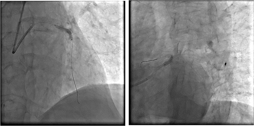
左冠植入支架

支架植入后

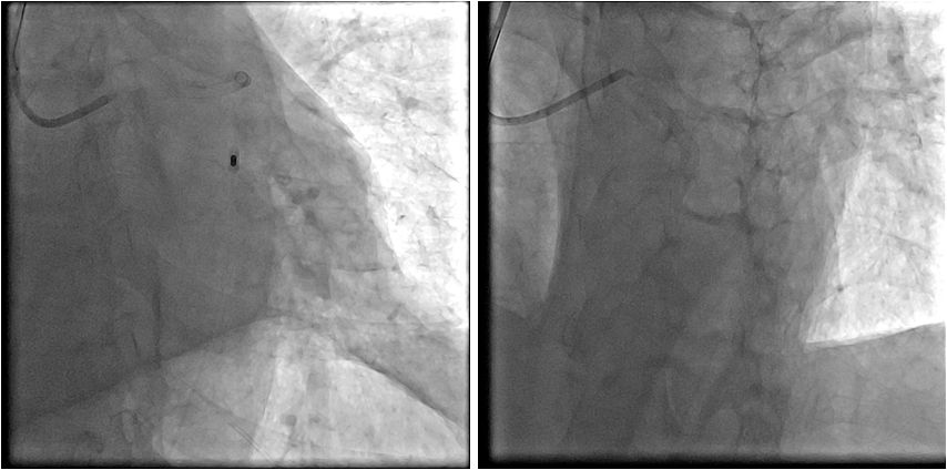
PCI术后

➤ 患者术程比较顺利,胸痛症状明显缓解
➤ 但术中使用多巴胺及IABP辅助下,血压始终在80/50mmHg左右,氧饱和度维持在95-99%
➤ 返回病房后,持续使用IABP辅助,大剂量的多巴胺及去甲肾上腺素联合使用,但是血压始终不能回升,患者精神欠佳,意识模糊,血气分析氧分压明显降低,与家属沟通后决定使用ECMO
ECMO适应症
ECMO(extracorporeal membrane oxygenation)是体外循环(CPB)技术范围的扩大和延伸,ECMO可对需要外来辅助的呼吸和(或)循环功能不全的重危患者进行有效的呼吸循环支持。
1.各种原因引起的心跳呼吸骤停
2.急性严重心功能衰竭
3.急性严重呼吸功能衰竭
4.各种严重威胁呼吸循环功能的疾患、酸碱电解质重度失衡、重症哮喘、溺水、冻伤、外伤、感染等

ECMO成功上机
➤ 遂再次返回导管室,在心血管科、周围血管科、麻醉科、ICU等相关科室的合作下,成功上机,返回病房后血压基本稳定在100/70mmHg以上,患者意识清醒
➤ 给予肝素抗凝,波立维单抗,同时给予升压、抗炎解痉化痰、胃粘膜保护、抗血小板、抗凝、营养支持、稳定电解质等治疗,患者氧饱和度及动脉血气基本稳定

病情变化

ECMO植入之后,患者出现下肢足背动脉搏动几乎消失,左下肢发凉,后穿刺左下肢动脉后从ECMO分流进行血液供应,症状逐渐缓解,既往也有出现因严重缺血导致下肢截肢的报道

➤ 逐渐减少降低多巴胺的量至停用
➤ 次日患者出现反复咯血,IABP穿刺处渗血明显,HBG及血小板显著下降,考虑与ECMO、IABP及肝素的使用等有关,停用IABP,尽快脱机ECMO,同时使用比伐卢定代替肝素抗凝,并输血及血小板
ECMO脱机

ECMO使用55小时后,经过评估患者心肺功能较前改善、血压稳定回升,可撤除ECMO,但考虑患者慢阻肺、哮喘、肺间质纤维化、肺部感染,双肺可闻及痰鸣音及哮鸣音,为防止ECMO撤机后出现肺部并发症,在ECMO撤机前行气管插管呼吸机支持
ECMO撤机后持续使用呼吸机支持呼吸,血压及心率基本稳定
但是双肺明显痰鸣音,有大量分泌物、血性液体,支气管镜下可见肺部出血明显,同时血小板下降,全身皮肤瘀斑,D-二聚体显著升高,不排除亚急性DIC
反复使用支气管镜抽出分泌物,局部使用凝血酶冲洗,大块的血栓抽洗不出来,使用气管刷进行洗涮,气管镜吸出

再次病情变化
➤ 在ECMO撤机的第二天(1.26),患者突发意识丧失、颈项强直,双侧瞳孔不等大
➤ 急诊行头颅CT检查排除梗塞及出血后,考虑为气管分泌物阻塞所致缺氧性脑水肿,请神经内科会诊,给予营养神经、脱水治疗后,次日意识恢复,但是遗留肢体肌力下降
➤ 之后呼吸机辅助期间反复出现血氧下降、因痰栓、血栓堵塞气道,多次行气管镜下治疗
临床转归
➤ 患者肺部疾病长期服用激素,双肺可闻及多发的湿罗音、哮鸣音,CT提示肺部感染、空洞、胸腔积液等,气管镜痰检病菌,G、GM实验均提示患者存在真菌感染,排除结核后使用抗菌素联合抗真菌药治疗,肺部情况逐渐稳定,使用13天后有创呼吸机撤掉
➤ 现神智清,心肺功能基本正常,无胸闷胸痛,饮食睡眠正常,药物和肢体康复治疗中
相关检查变化趋势




口服药物
氢氯吡格雷片 75mg qd po
阿托伐他汀钙片 20mg qd po
螺内酯片 20mg qd po
呋塞米片 20mg bid po
甲强龙片 4mg tid po
沐舒坦片 30mg bid po
信必可都保吸入剂
治疗体会
➤ 针对心梗合并心衰、休克等危重症,早期积极给予PCI、IABP、ECOM联合治疗,可使患者的心肺功能得以更快恢复、受益更大
➤ 长期使用激素治疗的患者合并急性心梗、心衰、心源性休克等给予PCI、IABP、ECMO、抗凝等治疗时带来很大影响,气管镜下治疗技术尤为重要
➤ 危重复杂病变时密切观察病情、及时检测凝血机制等相关指标,以及及时对症、支持治疗也非常重要