
病例特点
➤ 入院日期:2018年8月12日 15:27
➤ 患者:女性,36岁
➤ 主诉:发热伴心悸、气促4天。
➤ 现病史:患者4天前出现发热,体温最高39.1℃,伴畏寒、咽痛、咳嗽,偶觉心悸,轻微活动后气促,休息数分钟可缓解,1天前出现头晕、恶心,呕吐4次,为胃内容物,伴左背部疼痛,于外院就诊,予止痛治疗后疼痛可缓解。今日上午复诊查心电图提示宽QRS波心动过速,心室率107-115bpm,心梗三项肌钙蛋白I 3.71ng/ml,后转至我院,拟诊“急性心肌炎”收入我科。
➤ 既往史:既往体健。
➤ 个人史:无特殊。
➤ 婚育史:已婚,有1子1女,配偶及子女体健。家族史:母亲有“风湿性心脏病”,余无特殊。
体格检查
➤ T37.5℃,BP91/65mmHg,P110次/分,R20次/分
➤ 自主体位,神清,急性面容,四肢干冷,口唇发绀,颈静脉充盈。双肺呼吸音粗,未闻及明显干湿啰音。
➤ 心前区平坦,心尖搏动位于第五肋间左锁骨中线,强度减弱,心率110次/分,心律不齐,心音低钝,可闻及奔马律,各瓣膜区未及明显杂音。
➤ 肝右肋缘下情况未触及,移动性浊音阴性,双下肢无水肿。
辅助检查
➤ 南方医科大学附属三院心电图

➤ 我院急诊心电图

➤ 2018-8-12 12:50 本院急诊:
血常规:WBC:6.23*10E9/L
炎症指标:CRP:98.8mg/L,PCT正常
凝血四项:PT:15.2s,D二聚体:1.11ug/ml
肝肾功能:ALT:41U/L,AST:134U/L,ALB:35.3g/L,CR:54umol/L
肌钙蛋白I: 5.5ng/ml
NT-pro-BNP:15200pg/ml
胸部CT:双肺散在少量炎症,右侧少量胸水
入院诊断
➤ 急性心肌炎(暴发性心肌炎?)
➤ 加速性室性自主心律
➤ 心功能III级
既往心电图
2016-4-23 正常心电图

入院心电图
窦性心律
加速性室性自主心律
损伤型ST段改变
(QTc 481ms)



治疗策略
➤ 一般处理:
开放中心静脉通道;重症监护+除颤监护
吸氧、留置尿管
➤ 药物治疗:
绝对卧床+镇静减少心肌耗氧:阿普唑仑、盐酸右美托咪定
营养心肌 :复合辅酶,极化液,维生素
免疫治疗 :丙球20g+甲泼尼龙琥珀酸钠160mg(PPI护胃)
抗炎治疗 :乌司他丁30万u tid
第一次抢救
入院2小时10分钟:
患者诉恶心,呕吐后意识丧失(阿斯发作),心电监护示心电波形同前,持续约10秒后意识恢复,复测血压46/20mmHg,心电监护示短阵室速。

处理措施
➤ 针对心源性休克:
扩容:补液速度200ml/h,补充白蛋白
升压:去甲肾上腺素0.3-0.6ug/kg/min
多巴胺3-6ug/kg/min
补碱:5%NaHCO3 125ml ivdrip
无创呼吸机辅助通气

➤ 针对心律失常:
短阵室速(QTc延长)
利多卡因50mg iv,1mg/min维持2h;
安装临时心脏起搏器,起搏频率80次/min;
补钾+持续泵镁0.25g/h
病情转归
➤ 患者无诉特殊不适,BP100/60mmHg,心率90bpm,SPO2:100%;心电图示加速性室性自主心律;
➤ 治疗方案调整:
入院8小时,重组人脑利钠肽0.01ug/min*kg抗心衰
第二次抢救
➤ 入院18小时20分钟
患者诉头晕,血压下降至67/37mmHg,指脉氧下降至83%,查体:四肢冰冷,末梢灌注差。
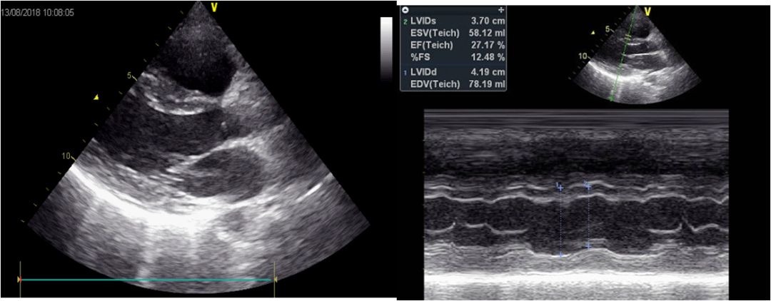
心脏彩超

➤ 左心室舒张末内径42mm,EF:27%
➤ 血气分析示:PH:7.49 Lac:3.0mmol/L
指南推荐

处理措施
➤ 提高升压药剂量:多巴胺 10ug/kg/min
去甲肾上腺素 0.7ug/kg/min
➤ 白蛋白扩容、大量补液(CVP20-25cmH20)
➤ 5%碳酸氢钠纠正酸中毒
经上述处理,血压仍难维持:
入院18小时40分安装IABP
反搏压约100mmHg,SPO2升至100%





入院19小时20分加用左西孟旦治疗
同时启动ECMO备用
第三次抢救
➤ 入院22小时
患者诉心悸,伴恶心,呕吐胃内容物1次,心电监护提示持续性室速,心室率170bpm。(QTc 531ms)

处理措施
➤ 急查动脉血气分析:pH7.49,PO2166mmHg,PCO229mmHg,K3.7mmol/L
➤ 稳定内环境:补镁补钾
➤ 抗心律失常:利多卡因
➤ 对症:昂丹司琼止吐,咪达锉仑镇静。
病情转归
患者室速逐渐减少,复查心电图示起搏心律+加速型室性自主心率,生命体征逐渐稳定。
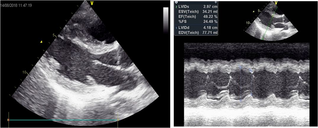
心脏彩超(入院第3天)

(左西孟旦后24h)左心室舒张末内径42mm,EF:49%
出入量

肌钙蛋白


心电图变化

治疗经过
➤ 第3天 停用咪达锉仑,关闭临时起搏器
➤ 第4天 停用丙球、多巴胺,甲泼尼龙琥珀酸钠减量为40mg qd
➤ 第5天 停用去甲肾上腺素、利多卡因
➤ 第6天 停用并拔除IABP,拔除临时起搏器
➤ 第7天 停用重组人脑利钠肽、硫酸镁、甲泼尼龙琥珀酸钠、乌司他丁
➤ 第20天好转出院
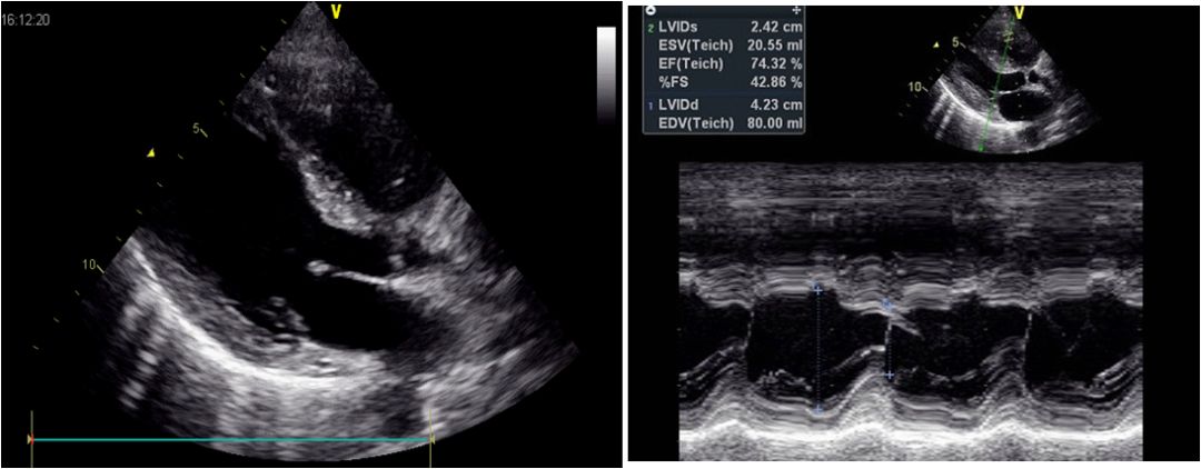
出院时心脏彩超

左心室舒张末内径42mm,EF:74%

➤ 出院诊断:
暴发性心肌炎:
心源性休克
阵发性室性心动过速
加速性室性自主心律
心得体会
➤ 暴发性心肌炎进展迅速,应“以生命支持为依托的综合救治方案”实施救治,争分夺秒,挽救患者生命。
➤ 在药物治疗的选择上,左西孟旦可改善心功能,安全有效!
作者简介
吴冰原
中山大学附属第三医院心内科主治医师
专家点评
该案例是一个成人暴发性心肌炎诊断及治疗的成功案例。对于患者的整个诊疗经过都记载的详实,非常有学习价值。同时,对于病例的诊疗计划都是基于目前相关的指南及询证医学证据进行,是值得作为继续教育经典案例推广的。在此案例中,诊疗方面不仅把握了危及生命的“大”方向,如及时准确诊断、激素冲击及免疫治疗等;也重视了细节,如及时跟踪乳酸水平、补钾补鎂、ECMO备用等,细节决定成败,这些细节往往体现全面管理病人的临床功底。
✦ 有几个希望:
1 对于左西孟旦的应用,文章结尾提出可以改善左室射血分数,如果更多临床患者均表现出类似结果,可考虑在血流动力学稳定后早期应用,使得患者可以更早获益;
2 在写结论时,希望提出这样可喜的临床结果中也与及时足量使用激素及免疫抑制剂控制心肌炎症、抗心律失常药物有效控制心率、延长舒张期,使得有效心搏数增加,改善心排量等综合因素相关。
专家简介
姜萌
上海交通大学医学院附属仁济医院
博士,主任医师,医学博士、硕士研究生导师。目前就任于上海交通大学医学院附属仁济医院心内科。
治疗方面,专攻冠心病心梗后的心肌受损、各种心肌病、心肌炎后的心肌病变严重程度的评估;心衰治疗。对肥厚性心肌病、扩张性心肌病、严重高血压性心脏病及其他疑难心肌病的基因诊断、组织学受损有独立诊疗团队。
国际心血管磁共振学会中国委员会委员;上海市医学会内科学组青年委员;上海市医学会心血管病心衰学组委员。先后获上海市卫生系统银蛇奖、上海市科技启明星、浦东杰出青年称号。主持国家自然科学基金3项.市科委课题等7项,作为第一作者先后发表了与课题相关的SCI收录全文20篇。