
病例资料
主述
男性,45岁
主因间断胸闷、气短20余天,胸痛3天,加重5小时于2018-9-29 2:20入院。
现病史
患者20余天前无明显诱因出现胸闷、气短,伴四肢无力,活动后症状明显,休息后可好转,无发热、咳嗽、咳痰、腹痛等,18天前就诊于当地医院,查肺CT示双肺散在结节,纵膈、肺门多发肿大淋巴结,心电图考虑冠心病陈旧心梗,心肌酶无异常,查冠状动脉CTA未见异常,右上肺动脉、双下肺动脉血栓(慢性期改变),给予抗凝、抗血小板等治疗后好转。
10天前就诊于“中国医学科学院肿瘤医院”,行颈部淋巴结活检后出院,3天前出现胸痛,为持续性压榨性疼痛,无发热、背痛等,约5分钟后可好转,每天发作2~3次,性质同前,5小时前大便后出现胸痛加重,伴气短、大汗,口服“速效救心丸”后无好转,就诊于县医院,查心电图考虑心梗,给予抗凝抗血小板等治疗后转入我院。
既往史
既往高血压病史10余年,血压最高180/120mmHg,未规律口服药物,否认冠心病、糖尿病等病史。
查体
T35℃ P 114次/分 R 27次/分 BP 84/46mmHg
神志欠清,精神差,喘息貌,双肺呼吸音粗,未闻及干湿性啰音。心率114次/分,律齐,心音低钝,各瓣膜听诊区未闻及杂音。腹软,肝脾肋下未触及,肠鸣音正常存在,双下肢不肿。
辅助检查



➤ cTnI:0.144ng/ml(0~0.08);
➤ NT-proBNP:6177.7pg/ml;
➤ D-D二聚体:11.68mg/L(0~0.55);
➤ PCT:0.2ng/ml(0~0.5)
➤ 血气分析示:PH7.327,PO2 114mmHg, PCO2 19.8mmHg, SPO2 97.4%,Lac 7.1mmol/L(FiO241%)。
入院诊断
1、冠心病
急性心肌心梗
Killip Ⅳ级
2、高血压3级 很高危
3、肺栓塞?
4、肺癌?
诊疗经过
诊疗经过
➤ 意识状态差
➤ 胸闷、胸痛无好转
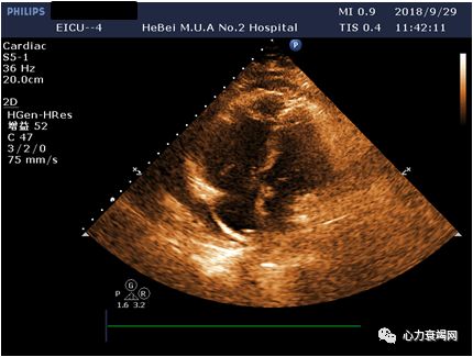
➤ 心功能差,心脏基本不动
➤ 心电不稳定
➤ 血压低
去甲肾0.5ug/kg/min
➤ 血气分析:PH7.067,PO28.7mmHg,PCO253.5mmHg,Lac11.9mmol/L(中心静脉)



(ECMO第1天,9.29)

EF20%

➤ 血常规:WBC14.3×109/L,NE%92.4%;
➤ 血生化:CK53U/L,CK-MB 37U/L,CREA102umol/L;
➤ 入院7小时后复查心肌酶: CK 99U/L,CK-MB38U/L,cTnI:0.385ng/ml,心电图无变化。



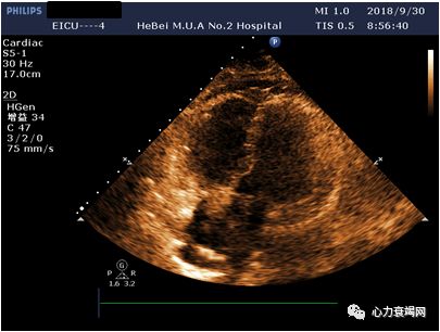
(ECMO第2天,9.30)

心功能较前变化不大


ECMO撤机指征
(1)小剂量血管活性药物即可维持血流动力学稳定;
(2)无致命性心律失常;
(3)无酸碱失衡及电解质紊乱;
(4)辅助流量减少到正常心排血量的10%~20%;
(5)超声心动图显示左室射血时间大于200ms,左室射血分数>40%。
成人体外心肺复苏专家共识. 中华急诊医学杂志,2018.
诊疗经过


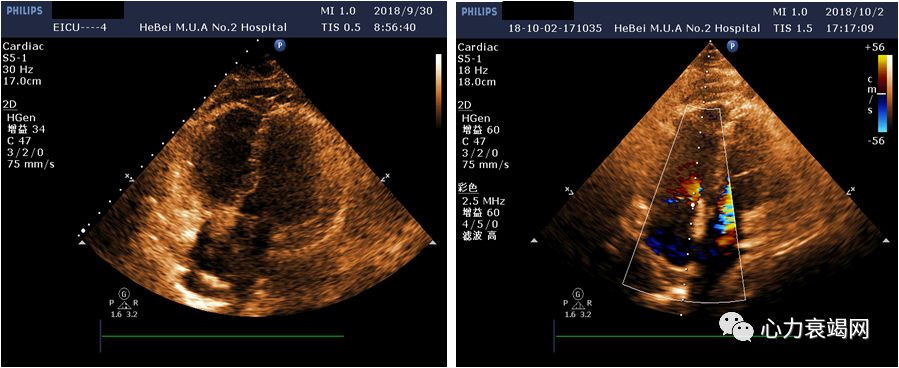
(ECMO第4天,10.2)

心功能较前明显好转,EF50%

➤ 心率120次/分
➤ 血压120/71mmHg
➤ 去甲肾0.2ug/kg/min
➤ SPO2100%
1. 10.2停ECMO
2. 10.3拔气管插管,停呼吸机
3. 10.4神志清楚,停去甲肾上腺素
后续治疗
治疗经过


肺动脉强化CT:右肺动脉分支及左下肺动脉分支局限性栓塞

诊疗进展
1、应激性心肌病
(1)特征
大部分患者发病前均遭受严重的精神或躯体应激,特征是一过性心尖部室壁运动异常,呈气球样变;
心电图主要表现有ST段抬高(11%~70%)、ST段压低(24%)、T波倒置(82%~100%)、异常Q波(26%~45%)等。
应激性心肌病的研究进展,中华心血管病杂志,2008.
(2)血流动力学特点
应激性心肌病发病初期病情急骤,常出现血液动力学不稳定,如低血压、心源性休克等;
有报道超过1/3的患者需要正性肌力药物或主动脉内球囊反搏来维持血液动力学稳定。
Acute andreversible cardiomyopathy provoked by stress in women from the United States.Circulation,2005.
(3)预后
应激性心肌病起病急骤,急性期可由于多器官功能衰竭、心源性休克、心室颤动、心室破裂而死亡,文献报道平均住院死亡率为1.1%~1.7% [1] ;
急性期存活者的心功能及左室运动异常一般在数周内迅速而完全恢复[2] 。
1.Apical ballooning syndrome ortakotsubo cardiomyopathy: a systematic review. Eur Heart J,2006.
2.Neurohumoral features of myocardial stunning due to sudden emotional stress. NEngl J Med,2005.
2、肺栓塞
(1)急性PTE常表现为低氧血症、低碳酸血症和肺泡-动脉血氧分压差增大,但部分患者结果可以正常,40%PTE患者动脉血氧饱和度正常;
(2)高危PTE:以休克和低血压为主要表现,即体循环收缩压<90mmHg,或较基础值下降幅度≥40mmHg持续15min以上。须除外新发生的心律失常、低血容量或感染中毒所致的血压下降;
(3)栓子阻塞肺动脉及其分支达一定程度(30%~50%)后,因机械阻塞作用,加之神经体液因素(血栓素A2和5-羟色胺的释放)和低氧所引起的肺动脉收缩,导致PVR增加,右心室后负荷增加,肺动脉压力升高,右心扩大致室间隔左移,使左心室功能受损;
(4)超声检查可以迅速得到结果并可在床旁进行,虽一般不能作为确诊方法,但对于提示PTE诊断和排除其他疾病具有重要价值,若同时发现下肢DVT的证据则更增加了诊断的可能性。
肺血栓栓塞症诊治与预防指南,中华医学杂志,2018.
3、肿瘤相关
类癌综合征:典型特征是皮肤、心血管、胃肠道和呼吸功能异常,主要表现为面部、上肢躯干的潮红或水肿、胃肠蠕动增强、腹泻、心动过速、喘息、瘙痒和感觉异常;这些症状和体征与肿瘤释放不同的血管活性物质有关,除了5-羟色胺外,还包括缓激肽、血管舒缓素和儿茶酚胺。
实用内科学,14版. 人民卫生出版社,2013.

作者简介
崔晓磊
河北医科大学第二医院
主治医师,河北省急诊质量管理与控制中心秘书,河北省医学会急诊医学分会青年学组委员。自2011年在急诊科工作以来,熟练掌握各种急危重病的诊治。2016年3月至8月在北京安贞医院进修学习体外膜肺氧合技术(ECMO),回医院后顺利开展ECMO技术。2017年两次受河北省卫生和计划生育委员会委派,协助廊坊市人民医院应用ECMO抢救重症H7N9患者,受到河北省卫生和计划生育委员会和医院表扬。课题“百草枯中毒口腔损伤的治疗研究”获河北省医学会二等奖,主编【急性中毒的诊断和处理】,参编【脓毒症】等多部著作。
专家点评
课件提供资料:本例患者以压榨性胸痛发作3天于9月29日转入,入院时Bp 84/46mmHg,心电图示S1QⅢTⅢ、V5导联R/S<1,cTnT 0.144ng/ml,NT-pro-BNP6177.7 pg/ml,D二聚体11.68mg/L,Lac 7.7mmol/L,入院考虑冠心病心梗,肺栓塞?肺癌?初步治疗后(不详)胸闷胸痛无好转,血压持续低,心电不稳定,PaQ2降至87mmHg,PaCO2及乳酸升高,即予ECMO、液体负平衡、抗凝抗血小板并加予”左西孟旦”治疗,逐渐血压上升,氧合改善,一周后转普通病房治疗,10月9日又突发胸闷气短,后续治疗未列出。入院前淋巴结活检提示:转移性低分化腺癌,CTPA示肺栓塞。
根据提供资料,患者初期表现类似于急性心梗,经动态心电、酶谱等监测,决定暂不予PCI,而予ECMO、去甲升压、液体管理、强心及抗凝抗血小板等治疗,一周后病人病情好转。病史及检查提示肺癌转移,有肺动脉分支及左下肺动脉分支局限栓塞,因而患者本次发病存在严重躯体应激,同时有一过性左心功能不全,血流动力学不稳定,纵观病情演变,考虑Takotsubo综合征、肺栓塞、心源性/梗阻性休克。及时给予ECMO、升压、液体管理等体外循环、血流动力学维持及抗凝抗血小板治疗,取得了第一阶段抢救的成功。
为增加悬念高潮,课件有意隐去了部分资料或迟推资料。但已提供资料中仍有部分标注不全、信息不连贯,如:
1.第一张心电图标为入院前半月,而第二第三张心电图未标注日期;
2.第二份血气分析未标明时间,HCO3-值未列,PaO2“8.7”有误,PO2(A-a)如何?何时上机械通气,相关模式参数?
3.ECMO连接方式?ECMO期间机械通气模式?4.超声心动图肺动脉测压情况?
专家简介
黄亮教授
南昌大学第一附属医院
主任医师、教授、硕士生导师。南昌大学一附院急诊科主任、党支部书记、急诊医学教研室主任,国家重点临床专科学科带头人。
社会兼职:江西省医学会急诊医学分会主任委员;江西省急诊质控中心主任、中华医学会急诊分会全国委员、中国医师协会急诊分会全国常委、海峡两岸医药卫生协会急诊专家委员会委员、中国救援协会常务理事、江西省医学会理事、江西省医师协会常务理事、江西省国际科技交流促进会理事;江西省人民政府突发事件应急救援咨询专家、卫生部特聘国家应急专家、《中华急诊医学杂志》、《中国急救医学》等多种杂志编委、全国高校规划教材编委、国家医学考试中心命题专家。
从事急诊及临床医疗、教学、科研工作三十余年,2004年赴澳大利亚新南士威尔州大学访问学习, 2009年参加马尼拉世卫组织应急救援培训,2015年赴英国伯明翰大学医学院学习。主持国家及省级科研课题多项,曾获省市科技进步奖。主编或参编专著10余部;发表学术论文150余篇;被授予“全国卫生应急先进个人”、“江西省五一劳动奖”、“全省十大师德标兵”,中国医师协会“急诊事业引领者”特殊贡献奖。